扫码关注公众号           扫码咨询技术支持           扫码咨询技术服务
  
客服热线:400-901-9800  客服QQ:4009019800  技术答疑  技术支持  质量反馈  人才招聘  关于我们  联系我们
产品中心-北京博奥森生物技术有限公司
首页 > 产品中心 > 一抗 > 产品信息
Telomerase Binding Protein, P23 Rabbit pAb (bs-1909R)  
订购热线:400-901-9800
订购邮箱:sales@bioss.com.cn
订购QQ:  400-901-9800
技术支持:techsupport@bioss.com.cn
50ul/1180.00元
100ul/1980.00元
200ul/2800.00元
大包装/询价

产品编号 bs-1909R
英文名称 Telomerase Binding Protein, P23 Rabbit pAb
中文名称 端粒酶结合蛋白P23抗体
别    名 P23; TEBP; cPGES; Gm9769; 5730442A20Rik; Ptges; sid3177; RGD1561913; TEBP_HUMAN; PTGES3; Cytosolic prostaglandin E2 synthase (cPGES); Hsp90 co-chaperone; Progesterone receptor complex p23; Telomerase-binding protein p23; 5.3.99.3; TEBP_MOUSE; Sid 3177; TEBP_RAT; prostaglandin E synthase 3; prostaglandin E synthase 3 (cytosolic)  
研究领域 肿瘤  细胞生物  免疫学  神经生物学  细胞凋亡  转录调节因子  
抗体来源 Rabbit
克隆类型 Polyclonal
交叉反应 Human,Rat (predicted: Mouse,Rabbit,Pig,Cow,Chicken,Dog,Horse)
产品应用 WB=1:500-2000,IHC-P=1:100-500,IHC-F=1:100-500,IF=1:100-500
not yet tested in other applications.
optimal dilutions/concentrations should be determined by the end user.
理论分子量 18kDa
检测分子量 18
细胞定位 细胞浆 
性    状 Liquid
浓    度 1mg/ml
免 疫 原 KLH conjugated synthetic peptide derived from human Telomerase Binding Protein, P23: 31-130/160 
亚    型 IgG
纯化方法 affinity purified by Protein A
缓 冲 液 0.01M TBS (pH7.4) with 1% BSA, 0.02% Proclin300 and 50% Glycerol.
保存条件 Shipped at 4℃. Store at -20℃ for one year. Avoid repeated freeze/thaw cycles.
注意事项 This product as supplied is intended for research use only, not for use in human, therapeutic or diagnostic applications.
PubMed PubMed
产品介绍 Molecular chaperone that localizes to genomic response elements in a hormone-dependent manner and disrupts receptor-mediated transcriptional activation, by promoting disassembly of transcriptional regulatory complexes. Belongs to the p23/wos2 family.

Function:
Molecular chaperone that localizes to genomic response elements in a hormone-dependent manner and disrupts receptor-mediated transcriptional activation, by promoting disassembly of transcriptional regulatory complexes.

Subunit:
Binds to telomerase and to the progesterone receptor.

Subcellular Location:
Cytoplasm.

Similarity:
Belongs to the p23/wos2 family.
Contains 1 CS domain.

SWISS:
Q15185

Gene ID:
10728

Database links:

Entrez Gene: 10728 Human

Entrez Gene: 100043508 Mouse

Entrez Gene: 100048119 Mouse

Entrez Gene: 56351 Mouse

Entrez Gene: 362809 Rat

Omim: 607061 Human

SwissProt: Q15185 Human

SwissProt: Q9R0Q7 Mouse

SwissProt: P83868 Rat

Unigene: 50425 Human

Unigene: 305816 Mouse

Unigene: 2344 Rat



Telomerase Binding Protein,P23是一种端粒酶结合蛋白。
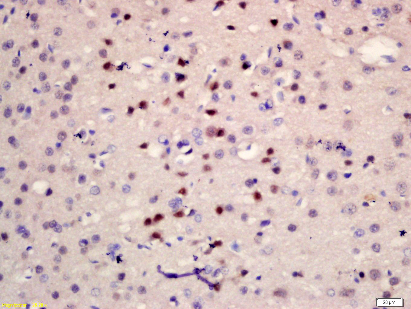
产品图片
Sample: Jurkat(Human) Cell Lysate at 30 ug Primary: Anti-Telomerase Binding Protein, P23 (bs-1909R) at 1/500 dilution Secondary: IRDye800CW Goat Anti-Rabbit IgG at 1/20000 dilution Predicted band size: 18 kD Observed band size: 18 kD
Tissue/cell: rat brain tissue; 4% Paraformaldehyde-fixed and paraffin-embedded; Antigen retrieval: citrate buffer ( 0.01M, pH 6.0 ), Boiling bathing for 15min; Block endogenous peroxidase by 3% Hydrogen peroxide for 30min; Blocking buffer (normal goat serum,C-0005) at 37℃ for 20 min; Incubation: Anti-Telomerase Binding Protein, P23 Antibody, Unconjugated(bs-1909R) 1:200, overnight at 4°C, followed by conjugation to the secondary antibody(SP-0023) and DAB(C-0010) staining
版权所有 2004-2026 www.bioss.com.cn 北京博奥森生物技术有限公司
通过国际质量管理体系ISO 9001:2015 GB/T 19001-2016    证书编号: 00124Q34771R2M/1100
通过国际医疗器械-质量管理体系ISO 13485:2016 GB/T 42061-2022     证书编号: CQC24QY20047R0M/1100
京ICP备05066980号-1         京公网安备110107000727号