扫码关注公众号           扫码咨询技术支持           扫码咨询技术服务
  
客服热线:400-901-9800  客服QQ:4009019800  技术答疑  技术支持  质量反馈  关于我们  联系我们
产品中心-北京博奥森生物技术有限公司
首页 > 产品中心 > 一抗 > 产品信息
STMN1 Rabbit pAb (bs-1902R)  
订购热线:400-901-9800
订购邮箱:sales@bioss.com.cn
订购QQ:  400-901-9800
技术支持:techsupport@bioss.com.cn
50ul/1180.00元
100ul/1980.00元
200ul/2800.00元
大包装/询价

产品编号 bs-1902R
英文名称 STMN1 Rabbit pAb
中文名称 白血病相关蛋白18/癌蛋白18抗体
别    名 C1orf215; LAP18; Lag; OP18; PP17; PP19; PR22; SMN; 19k; P18; P19; Pig; Pp18; prosolin; STMN1_HUMAN; STMN1; Leukemia-associated phosphoprotein p18; Metablastin; Oncoprotein 18 (Op18); Phosphoprotein p19 (pp19); Protein Pr22; STMN1_MOUSE; Leukemia-associate  
Specific References  (1)     |     bs-1902R has been referenced in 1 publications.
[IF=1.39] Ma et al. Siva 1 inhibits proliferation, migration and invasion by phosphorylating Stathmin in ovarian cancer cells. (2017) Oncol.Let. 14:1512-1518  WB ;  Homo sapiens (Human).  
研究领域 肿瘤  细胞生物  免疫学  信号转导  细胞凋亡  转录调节因子  
抗体来源 Rabbit
克隆类型 Polyclonal
克 隆 号
交叉反应 Mouse (predicted: Human,Rat,Rabbit,Chicken)
产品应用 IHC-P=1:100-500,IHC-F=1:100-500,IF=1:100-500
not yet tested in other applications.
optimal dilutions/concentrations should be determined by the end user.
理论分子量 17 kDa
细胞定位 细胞浆 
性    状 Liquid
浓    度 1mg/ml
免 疫 原 KLH conjugated synthetic peptide derived from human Stathmin 1: 51-149/149 
亚    型 IgG
纯化方法 affinity purified by Protein A
缓 冲 液 0.01M TBS (pH7.4) with 1% BSA, 0.02% Proclin300 and 50% Glycerol.
保存条件 Shipped at 4℃. Store at -20℃ for one year. Avoid repeated freeze/thaw cycles.
注意事项 This product as supplied is intended for research use only, not for use in human, therapeutic or diagnostic applications.
PubMed PubMed
产品介绍 This gene belongs to the stathmin family of genes. It encodes a ubiquitous cytosolic phosphoprotein proposed to function as an intracellular relay integrating regulatory signals of the cellular environment. The encoded protein is involved in the regulation of the microtubule filament system by destabilizing microtubules. It prevents assembly and promotes disassembly of microtubules. Multiple transcript variants encoding different isoforms have been found for this gene. [provided by RefSeq, Feb 2009]

Function:
Involved in the regulation of the microtubule (MT) filament system by destabilizing microtubules. Prevents assembly and promotes disassembly of microtubules. Phosphorylation at Ser-16 may be required for axon formation during neurogenesis. Involved in the control of the learned and innate fear.

Subunit:
Binds to two alpha/beta-tubulin heterodimers. Interacts with KIST.

Subcellular Location:
Cytoplasm; cytoskeleton.

Tissue Specificity:
Ubiquitous. Expression is strongest in fetal and adult brain, spinal cord, and cerebellum, followed by thymus, bone marrow, testis, and fetal liver. Expression is intermediate in colon, ovary, placenta, uterus, and trachea, and is readily detected at substantially lower levels in all other tissues examined. Lowest expression is found in adult liver. Present in much greater abundance in cells from patients with acute leukemia of different subtypes than in normal peripheral blood lymphocytes, non-leukemic proliferating lymphoid cells, bone marrow cells, or cells from patients with chronic lymphoid or myeloid leukemia.

Post-translational modifications:
Many different phosphorylated forms are observed depending on specific combinations among the sites which can be phosphorylated. MAPK is responsible for the phosphorylation of stathmin in response to NGF. Phosphorylation at Ser-16 seems to be required for neuron polarization. Phosphorylation at Ser-63 reduces tubulin binding 10-fold and suppresses the MT polymerization inhibition activity.

Similarity:
Belongs to the stathmin family.

SWISS:
P16949

Gene ID:
3925

Database links:

Entrez Gene: 3925 Human

Entrez Gene: 16765 Mouse

Entrez Gene: 29332 Rat

Omim: 151442 Human

SwissProt: P16949 Human

SwissProt: P54227 Mouse

SwissProt: P13668 Rat

Unigene: 209983 Human

Unigene: 378957 Mouse

Unigene: 555 Rat



    原癌基因蛋白18(oncogene protein 18,Op18),是一种广泛存在于细胞质的蛋白质,可与微管蛋白结合,参与微管和纺锤体的组装;与细胞的增殖、分化、再生和运动均有关,并具有信号活性调节的功能。在细胞增殖、分化的信号途径、传到通路激活中也具有多种调节功能。
近年来有研究发现,stathmin在多种肿瘤中高表达,并可通过调节微管的解聚,促进肿瘤细胞的运动及侵袭。Stathmin翻译后修饰状态的改变,可影响与p53蛋白的相互作用,参与肿瘤的发生发展.
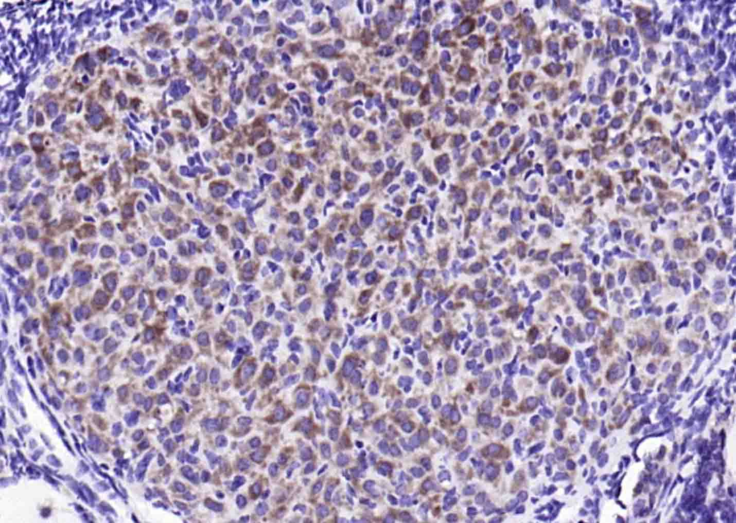
产品图片
Paraformaldehyde-fixed, paraffin embedded (mouse ovary); Antigen retrieval by boiling in sodium citrate buffer (pH6.0) for 15min; Block endogenous peroxidase by 3% hydrogen peroxide for 20 minutes; Blocking buffer (normal goat serum) at 37°C for 30min; Antibody incubation with (STMN1) Polyclonal Antibody, Unconjugated (bs-1902R) at 1:200 overnight at 4°C, followed by operating according to SP Kit(Rabbit) (sp-0023) instructionsand DAB staining.
Paraformaldehyde-fixed, paraffin embedded (mouse brain); Antigen retrieval by boiling in sodium citrate buffer (pH6.0) for 15min; Block endogenous peroxidase by 3% hydrogen peroxide for 20 minutes; Blocking buffer (normal goat serum) at 37°C for 30min; Antibody incubation with (Stathmin 1) Polyclonal Antibody, Unconjugated (bs-1902R) at 1:400 overnight at 4°C, followed by a conjugated secondary (sp-0023) for 20 minutes and DAB staining.
版权所有 2004-2026 www.bioss.com.cn 北京博奥森生物技术有限公司
通过国际质量管理体系ISO 9001:2015 GB/T 19001-2016    证书编号: 00124Q34771R2M/1100
通过国际医疗器械-质量管理体系ISO 13485:2016 GB/T 42061-2022     证书编号: CQC24QY20047R0M/1100
京ICP备05066980号-1         京公网安备110107000727号