扫码关注公众号           扫码咨询技术支持           扫码咨询技术服务
  
客服热线:400-901-9800  客服QQ:4009019800  技术答疑  技术支持  质量反馈  人才招聘  关于我们  联系我们
产品中心-北京博奥森生物技术有限公司
首页 > 产品中心 > 一抗 > 产品信息
NGB Rabbit pAb (bs-1859R)  
订购热线:400-901-9800
订购邮箱:sales@bioss.com.cn
订购QQ:  400-901-9800
技术支持:techsupport@bioss.com.cn
50ul/1180.00元
100ul/1980.00元
200ul/2800.00元
大包装/询价

产品编号 bs-1859R
英文名称 NGB Rabbit pAb
中文名称 脑红蛋白/神经血红蛋白/神经球蛋白抗体
别    名 Glnh; NGB_HUMAN; NGB; Nitrite reductase; NGB_MOUSE; NGB_RAT;   
Specific References  (2)     |     bs-1859R has been referenced in 2 publications.
[IF=3.77] Hui-xian Li. et al. PACAP-derived mutant peptide MPAPO protects trigeminal ganglion cell and the retina from hypoxic injury through anti-oxidative stress, anti-apoptosis, and promoting axon regeneration. Bba-Gen Subjects. 2021 Dec;1865:130018  IF ;  mouse .  
[IF=1.95] Xiaohua Du. et al. Expression and distribution of neuroglobin and hypoxia-inducible factor-1α in the adult yak telencephalon. 2021 Jun 19  WB ;  Yak.  
研究领域 细胞生物  免疫学  神经生物学  信号转导  细胞凋亡  
抗体来源 Rabbit
克隆类型 Polyclonal
克 隆 号
交叉反应 Rat (predicted: Human,Mouse,Rabbit,Pig,Cow)
产品应用 IHC-P=1:100-500,IHC-F=1:100-500,IF=1:100-500
not yet tested in other applications.
optimal dilutions/concentrations should be determined by the end user.
理论分子量 17 kDa
细胞定位 细胞浆 
性    状 Liquid
浓    度 1mg/ml
免 疫 原 KLH conjugated synthetic peptide derived from mouse NGB: 51-151/151 
亚    型 IgG
纯化方法 affinity purified by Protein A
缓 冲 液 0.01M TBS (pH7.4) with 1% BSA, 0.02% Proclin300 and 50% Glycerol.
保存条件 Shipped at 4℃. Store at -20℃ for one year. Avoid repeated freeze/thaw cycles.
注意事项 This product as supplied is intended for research use only, not for use in human, therapeutic or diagnostic applications.
PubMed PubMed
产品介绍 This gene encodes an oxygen-binding protein that is distantly related to members of the globin gene family. It is highly conserved among other vertebrates. It is expressed in the central and peripheral nervous system where it may be involved in increasing oxygen availability and providing protection under hypoxic/ischemic conditions. [provided by RefSeq, Jul 2008]

Function:
Involved in oxygen transport in the brain. Hexacoordinate globin, displaying competitive binding of oxygen or the distal His residue to the iron atom. Not capable of penetrating cell membranes. The deoxygenated form exhibits nitrite reductase activity inhibiting cellular respiration via NO-binding to cytochrome c oxidase. Involved in neuroprotection during oxidative stress. May exert its anti-apoptotic activity by acting to reset the trigger level of mitochondrial cytochrome c release necessary to commit the cells to apoptosis.

Subunit:
Monomer. Homodimer and homotetramer; disulfide-linked.

Subcellular Location:
Perikaryon.

Tissue Specificity:
Predominantly expressed in brain, the strongest expression is seen in the frontal lobe, the subthalamic nucleus and the thalamus.

Post-translational modifications:
A redox disulfide bond regulates the heme pocket coordination and the rate of nitrite reduction to NO.
Phosphorylated in vitro by ERK1, ERK2 and PKA, and in vivo during hypoxia. Phosphorylation increases nitrite reductase activity.

Similarity:
Belongs to the globin family.

SWISS:
Q9ER97

Gene ID:
64242

Database links:

Entrez Gene: 58157 Human

Entrez Gene: 64242 Mouse

Entrez Gene: 85382 Rat

Omim: 605304 Human

SwissProt: Q9NPG2 Human

SwissProt: Q9ER97 Mouse

SwissProt: Q99JA8 Rat

Unigene: 274363 Human

Unigene: 64645 Rat



Neuroglobin是一种在神经组织和神经冲动中携氧、转运氧气和供氧的特异性蛋白,并和神经组织微循环有关,神经球蛋白能在缺氧的环境下保护神经元.
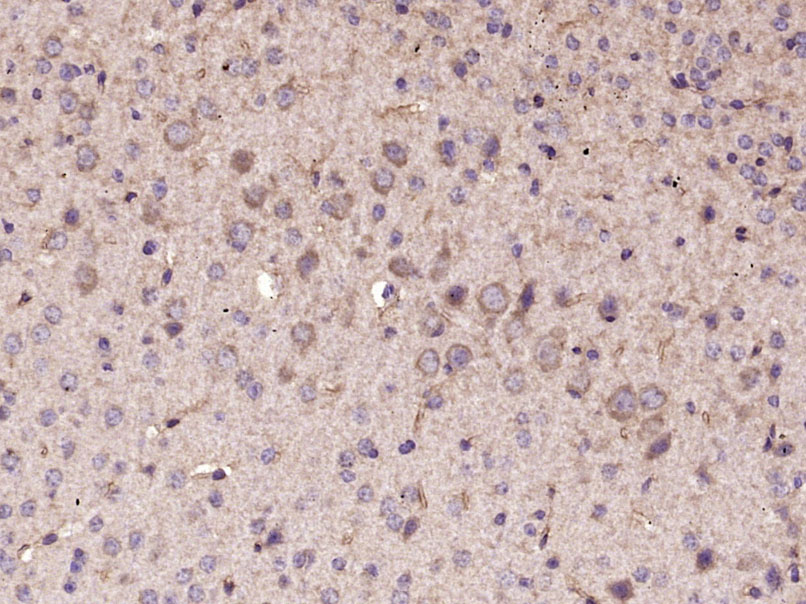
产品图片
Paraformaldehyde-fixed, paraffin embedded (Rat brain); Antigen retrieval by microwave in sodium citrate buffer (pH6.0) ; Block endogenous peroxidase by 3% hydrogen peroxide for 30 minutes; Blocking buffer (3% BSA) at RT for 30min; Antibody incubation with (NGB) Polyclonal Antibody, Unconjugated (bs-1859R) at 1:400 overnight at 4°C, followed by conjugation to the secondary antibody (labeled with HRP)and DAB staining.
版权所有 2004-2026 www.bioss.com.cn 北京博奥森生物技术有限公司
通过国际质量管理体系ISO 9001:2015 GB/T 19001-2016    证书编号: 00124Q34771R2M/1100
通过国际医疗器械-质量管理体系ISO 13485:2016 GB/T 42061-2022     证书编号: CQC24QY20047R0M/1100
京ICP备05066980号-1         京公网安备110107000727号