扫码关注公众号           扫码咨询技术支持           扫码咨询技术服务
  
客服热线:400-901-9800  客服QQ:4009019800  技术答疑  技术支持  质量反馈  人才招聘  关于我们  联系我们
产品中心-北京博奥森生物技术有限公司
首页 > 产品中心 > 一抗 > 产品信息
Netrin 1 Rabbit pAb (bs-1858R)  
订购热线:400-901-9800
订购邮箱:sales@bioss.com.cn
订购QQ:  400-901-9800
技术支持:techsupport@bioss.com.cn
50ul/1180.00元
100ul/1980.00元
200ul/2800.00元
大包装/询价

产品编号 bs-1858R
英文名称 Netrin 1 Rabbit pAb
中文名称 轴突导向因子1抗体
别    名 MRMV4; NET1; NTN1L; Netrin-1; NET1_HUMAN; NTN1; Epididymis tissue protein Li 131P; NET1_MOUSE; NET1_RAT; netrin 1  
Specific References  (5)     |     bs-1858R has been referenced in 5 publications.
[IF=4.315] Zongding Wang. et al. Netrin-1 promotes liver regeneration possibly by facilitating vagal nerve repair after partial hepatectomy in mice. Cell Signal. 2022 Mar;91:110227  IHC ;  Mouse.  
[IF=3.467] Victor H. Guaiquil. et al. Expression of axon guidance ligands and their receptors in the cornea and trigeminal ganglia and their recovery after corneal epithelium injury. EXP EYE RES. Exp Eye Res. 2022 Apr;:109054  IF ;  Mouse.  
[IF=2.766] Chhabra V et al. Hypobaric hypoxia induced renal damage is mediated by altering redox pathway.PLoS One. 2018 Jul 13;13(7):e0195701.  ELISA ;  Rat.  
[IF=1.49] Ko CL et al. Netrin-1 Dampens Hypobaric Hypoxia-Induced Lung Injury in Mice. High Alt Med Biol. 2019 Jul 22.  IHF ;  Mouse.  
[IF=0.872] Sato Y et al. Expression of Draxin in Lung Carcinomas. (2018) ACTA HISTOCHEMICA ET CYTOCHEMICA, Feb 27;51(1):53-62.  IHC ;  Human.  
研究领域 神经生物学  
抗体来源 Rabbit
克隆类型 Polyclonal
交叉反应 Human,Rat (predicted: Mouse,Pig,Cow,Chicken,Dog)
产品应用 IHC-P=1:100-500,IHC-F=1:100-500,IF=1:100-500,ICC/IF=1:100-500
not yet tested in other applications.
optimal dilutions/concentrations should be determined by the end user.
理论分子量 64kDa
细胞定位 细胞外基质 分泌型蛋白 
性    状 Liquid
浓    度 1mg/ml
免 疫 原 KLH conjugated synthetic peptide derived from human NtN1: 501-604/604 
亚    型 IgG
纯化方法 affinity purified by Protein A
缓 冲 液 0.01M TBS (pH7.4) with 1% BSA, 0.02% Proclin300 and 50% Glycerol.
保存条件 Shipped at 4℃. Store at -20℃ for one year. Avoid repeated freeze/thaw cycles.
注意事项 This product as supplied is intended for research use only, not for use in human, therapeutic or diagnostic applications.
PubMed PubMed
产品介绍 Netrin is included in a family of laminin-related secreted proteins. The function of this gene has not yet been defined; however, netrin is thought to be involved in axon guidance and cell migration during development. Mutations and loss of expression of netrin suggest that variation in netrin may be involved in cancer development. [provided by RefSeq, Jul 2008]

Function:
Netrins control guidance of CNS commissural axons and peripheral motor axons. Its association with either DCC or some UNC5 receptors will lead to axon attraction or repulsion, respectively. It also serve as a survival factor via its association with its receptors which prevent the initiation of apoptosis. Involved in tumorigenesis by regulating apoptosis.

Subunit:
Binds to its receptors; DCC, DSCAM, UNC5A, UNC5B, UNC5C and probably UNC5D.

Subcellular Location:
Secreted, extracellular space, extracellular matrix.

Tissue Specificity:
Widely expressed in normal adult tissues with highest levels in heart, small intestine, colon, liver and prostate. Reduced expression in brain tumors and neuroblastomas.

Similarity:
Contains 3 laminin EGF-like domains.
Contains 1 laminin N-terminal domain.
Contains 1 NTR domain.

SWISS:
O95631

Gene ID:
9423

Database links:

Entrez Gene: 9423 Human

Entrez Gene: 18208 Mouse

Entrez Gene: 114523 Rat

Omim: 601614 Human

SwissProt: O95631 Human

SwissProt: O09118 Mouse

SwissProt: Q924Z9 Rat

Unigene: 128002 Human

Unigene: 660885 Human

Unigene: 39095 Mouse

Unigene: 41052 Rat



Netrin-1是与层粘连蛋白相关的、高度保守的小分子分泌蛋白家族成员的一种。
产品图片
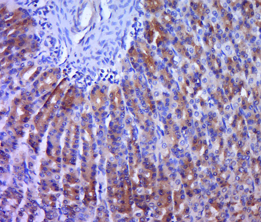
Paraformaldehyde-fixed, paraffin embedded (rat stomach tissue); Antigen retrieval by boiling in sodium citrate buffer (pH6.0) for 15min; Block endogenous peroxidase by 3% hydrogen peroxide for 20 minutes; Blocking buffer (normal goat serum) at 37°C for 30min; Antibody incubation with (Netrin 1) Polyclonal Antibody, Unconjugated (bs-1858R) at 1:400 overnight at 4°C, followed by a conjugated secondary (sp-0023) for 20 minutes and DAB staining.
Paraformaldehyde-fixed, paraffin embedded (Rat adrenal gland); Antigen retrieval by boiling in sodium citrate buffer (pH6.0) for 15min; Block endogenous peroxidase by 3% hydrogen peroxide for 20 minutes; Blocking buffer (normal goat serum) at 37°C for 30min; Antibody incubation with (Netrin 1) Polyclonal Antibody, Unconjugated (bs-1858R) at 1:400 overnight at 4°C, followed by a conjugated secondary (sp-0023) for 20 minutes and DAB staining.
SHSY5Y cell; 4% Paraformaldehyde-fixed; Triton X-100 at room temperature for 20 min; Blocking buffer (normal goat serum, C-0005) at 37°C for 20 min; Antibody incubation with (Netrin 1) polyclonal Antibody, Unconjugated (bs-1858R) 1:100, 90 minutes at 37°C; followed by a conjugated Goat Anti-Rabbit IgG antibody at 37°C for 90 minutes, DAPI (blue, C02-04002) was used to stain the cell nuclei.
版权所有 2004-2026 www.bioss.com.cn 北京博奥森生物技术有限公司
通过国际质量管理体系ISO 9001:2015 GB/T 19001-2016    证书编号: 00124Q34771R2M/1100
通过国际医疗器械-质量管理体系ISO 13485:2016 GB/T 42061-2022     证书编号: CQC24QY20047R0M/1100
京ICP备05066980号-1         京公网安备110107000727号