扫码关注公众号           扫码咨询技术支持           扫码咨询技术服务
  
客服热线:400-901-9800  客服QQ:4009019800  技术答疑  技术支持  质量反馈  关于我们  联系我们
产品中心-北京博奥森生物技术有限公司
首页 > 产品中心 > 一抗 > 产品信息
MMP8 Rabbit pAb (bs-1913R)  
订购热线:400-901-9800
订购邮箱:sales@bioss.com.cn
订购QQ:  400-901-9800
技术支持:techsupport@bioss.com.cn
50ul/1180.00元
100ul/1980.00元
大包装/询价

产品编号 bs-1913R
英文名称 MMP8 Rabbit pAb
中文名称 基质金属蛋白酶-8/胶原酶2抗体
别    名 Matrilysin/matrix metalloproteinases-8; CLG 1; CLG1; Collagenase II; Collagenase 2; Collagenase neutrophil; HNC; Matrix metalloprotease 8; MMP8; MMP 8; MMP-8; Neutrophil collagenase; PMNL CL; PMNL collagenase; PMNLCL; neutrophil collagenase preproprotein; MMP8_HUMAN; Neutrophil collagenase; Matrix metalloproteinase-8; PMNL-CL.  
Specific References  (4)     |     bs-1913R has been referenced in 4 publications.
[IF=5.246] Yin Zhuang. et al. Exosomes Secreted by Nucleus Pulposus Stem Cells Derived From Degenerative Intervertebral Disc Exacerbate Annulus Fibrosus Cell Degradation via Let-7b-5p. Front Mol Biosci. 2021; 8: 766115  WB ;  Human.  
[IF=3.27] Oralova, V., et al. "Osteogenic Potential of the Transcription Factor c-MYB." Calcified Tissue International: 1-12.  WB ;  Mouse.  
[IF=3.04] Sîrbulescu, Ruxandra F., et al. "Mature B cells accelerate wound healing after acute and chronic diabetic skin lesions." Wound Repair and Regeneration (2017).  IHC-F ;  Mouse.  
[IF=2.35] Zhang, Chao-ying, et al. "Hydrogen sulfide suppresses the expression of MMP-8, MMP-13, and TIMP-1 in left ventricles of rats with cardiac volume overload." Acta Pharmacologica Sinica (2013).  Rat.  
研究领域 肿瘤  细胞生物  神经生物学  信号转导  
抗体来源 Rabbit
克隆类型 Polyclonal
克 隆 号
交叉反应 Human,Mouse,Rat
产品应用 WB=1:500-2000,ELISA=1:5000-10000
not yet tested in other applications.
optimal dilutions/concentrations should be determined by the end user.
理论分子量 38 kDa
检测分子量
细胞定位 细胞浆 细胞外基质 分泌型蛋白 
性    状 Liquid
浓    度 1mg/ml
免 疫 原 KLH conjugated synthetic peptide derived from human MMP8: 241-340/467 
亚    型 IgG
纯化方法 affinity purified by Protein A
缓 冲 液 0.01M TBS (pH7.4) with 1% BSA, 0.02% Proclin300 and 50% Glycerol.
保存条件 Shipped at 4℃. Store at -20℃ for one year. Avoid repeated freeze/thaw cycles.
注意事项 This product as supplied is intended for research use only, not for use in human, therapeutic or diagnostic applications.
PubMed PubMed
产品介绍 Proteins of the matrix metalloproteinase (MMP) family are involved in the breakdown of extracellular matrix in normal physiological processes, such as embryonic development, reproduction, and tissue remodeling, as well as in disease processes, such as arthritis and metastasis. Most MMP's are secreted as inactive proproteins which are activated when cleaved by extracellular proteinases. However, the enzyme encoded by this gene is stored in secondary granules within neutrophils and is activated by autolytic cleavage. Its function is degradation of type I, II and III collagens. The gene is part of a cluster of MMP genes which localize to chromosome 11q22.3. [provided by RefSeq, Jul 2008]

Function:
Can degrade fibrillar type I, II, and III collagens.

Subcellular Location:
Cytoplasmic granule. Secreted, extracellular space, extracellular matrix (Probable). Note=Stored in intracellular granules.

Tissue Specificity:
Neutrophils.

Similarity:
Belongs to the peptidase M10A family.
Contains 4 hemopexin-like domains.

SWISS:
P22894

Gene ID:
4317

Database links:

Entrez Gene: 4317 Human

Entrez Gene: 17394 Mouse

Entrez Gene: 63849 Rat

Omim: 120355 Human

SwissProt: P22894 Human

SwissProt: O70138 Mouse

SwissProt: O88766 Rat

Unigene: 161839 Human

Unigene: 16415 Mouse

Unigene: 44474 Rat



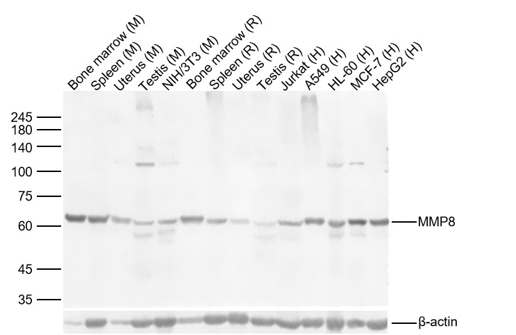
产品图片
Sample: Lane 1: Mouse Bone marrow Lysates Lane 2: Mouse Spleen Lysates Lane 3: Mouse Uterus Lysates Lane 4: Mouse Testis Lysates Lane 5: Mouse NIH/3T3 cell Lysates Lane 6: Rat Bone marrow Lysates Lane 7: Rat Spleen Lysates Lane 8: Rat Uterus Lysates Lane 9: Rat Testis Lysates Lane 10: Human Jurkat cell Lysates Lane 11: Human A549 cell Lysates Lane 12: Human HL-60 cell Lysates Lane 13: Human MCF-7 cell Lysates Lane 14: Human HepG2 cell Lysates Primary: Anti-MMP8 (bs-1913R) at 1/1000 dilution Secondary: IRDye800CW Goat Anti-Rabbit IgG at 1/20000 dilution Predicted band size: 38kDa Observed band size: 60kDa
版权所有 2004-2026 www.bioss.com.cn 北京博奥森生物技术有限公司
通过国际质量管理体系ISO 9001:2015 GB/T 19001-2016    证书编号: 00124Q34771R2M/1100
通过国际医疗器械-质量管理体系ISO 13485:2016 GB/T 42061-2022     证书编号: CQC24QY20047R0M/1100
京ICP备05066980号-1         京公网安备110107000727号