扫码关注公众号           扫码咨询技术支持           扫码咨询技术服务
  
客服热线:400-901-9800  客服QQ:4009019800  技术答疑  技术支持  质量反馈  关于我们  联系我们
产品中心-北京博奥森生物技术有限公司
首页 > 产品中心 > 一抗 > 产品信息
GRM1 Rabbit pAb (bs-1803R)  
订购热线:400-901-9800
订购邮箱:sales@bioss.com.cn
订购QQ:  400-901-9800
技术支持:techsupport@bioss.com.cn
50ul/1180.00元
100ul/1980.00元
200ul/2800.00元
大包装/询价

产品编号 bs-1803R
英文名称 GRM1 Rabbit pAb
中文名称 促代谢型谷氨酸受体1抗体
别    名 GRM1_HUMAN; GRM1; mGluR1; GPRC1A; GRM1_MOUSE; GRM1_RAT;   
Specific References  (2)     |     bs-1803R has been referenced in 2 publications.
[IF=3.73] Atluri, Venkata Subba Rao, et al. "Human Synaptic Plasticity Gene Expression Profile and Dendritic Spine Density Changes in HIV-Infected Human CNS Cells: Role in HIV-Associated Neurocognitive Disorders (HAND)." PLOS ONE 8.4 (2013): e61399.  Human.  
[IF=2.666] X Zhou et al. Modulating NMDA receptors to treat MK-801-induced schizophrenic cognition deficit: effects of clozapine combining with PQQ treatment and possible mechanisms of action. BMC Psychiatry. 2020 Mar 6;20(1):106.  WB ;  rat.  
研究领域 免疫学  
抗体来源 Rabbit
克隆类型 Polyclonal
克 隆 号
交叉反应 Human,Mouse (predicted: Rat,Pig,Cow,Chicken,Dog,Horse)
产品应用 IHC-P=1:100-500,IHC-F=1:100-500,IF=1:100-500,Flow-Cyt=1μg /test
not yet tested in other applications.
optimal dilutions/concentrations should be determined by the end user.
理论分子量 130 kDa
检测分子量 140-150
细胞定位 细胞膜 
性    状 Liquid
浓    度 1mg/ml
免 疫 原 KLH conjugated synthetic peptide derived from human GRM1: 651-750/1194 <Cytoplasmic>
亚    型 IgG
纯化方法 affinity purified by Protein A
缓 冲 液 0.01M TBS (pH7.4) with 1% BSA, 0.02% Proclin300 and 50% Glycerol.
保存条件 Shipped at 4℃. Store at -20℃ for one year. Avoid repeated freeze/thaw cycles.
注意事项 This product as supplied is intended for research use only, not for use in human, therapeutic or diagnostic applications.
PubMed PubMed
产品介绍 L-glutamate is the major excitatory neurotransmitter in the central nervous system and activates both ionotropic and metabotropic glutamate receptors. Glutamatergic neurotransmission is involved in most aspects of normal brain function and can be perturbed in many neuropathologic conditions. The metabotropic glutamate receptors are a family of G protein-coupled receptors, that have been divided into 3 groups on the basis of sequence homology, putative signal transduction mechanisms, and pharmacologic properties. Group I includes GRM1 and GRM5 and these receptors have been shown to activate phospholipase C. Group II includes GRM2 and GRM3 while Group III includes GRM4, GRM6, GRM7 and GRM8. Group II and III receptors are linked to the inhibition of the cyclic AMP cascade but differ in their agonist selectivities. The canonical alpha isoform of the metabotropic glutamate receptor 1 gene is a disulfide-linked homodimer whose activity is mediated by a G-protein-coupled phosphatidylinositol-calcium second messenger system. Alternative splicing results in multiple transcript variants encoding distinct isoforms; some of which may have distinct functions. [provided by RefSeq].

Function:
Receptor for glutamate. The activity of this receptor is mediated by a G-protein that activates a phosphatidylinositol-calcium second messenger system. May participate in the central action of glutamate in the CNS, such as long-term potentiation in the hippocampus and long-term depression in the cerebellum.

Subunit:
Homodimer; disulfide-linked. The PPXXF motif binds HOMER1, HOMER2 and HOMER3. Interacts with SIAH1, RYR1, RYR2, ITPR1, SHANK1, SHANK3 and GRASP.

Subcellular Location:
Cell membrane; Multi-pass membrane protein.

DISEASE:
Spinocerebellar ataxia, autosomal recessive, 13 (SCAR13) [MIM:614831]: Spinocerebellar ataxia is a clinically and genetically heterogeneous group of cerebellar disorders. Patients show progressive incoordination of gait and often poor coordination of hands, speech and eye movements, due to degeneration of the cerebellum with variable involvement of the brainstem and spinal cord. SCAR13 is characterized by delayed psychomotor development beginning in infancy. Affected individuals show mild to profound mental retardation with poor or absent speech as well as gait and stance ataxia and hyperreflexia. Note=The disease is caused by mutations affecting the gene represented in this entry.

Similarity:
Belongs to the G-protein coupled receptor 3 family.

SWISS:
Q13255

Gene ID:
2911

Database links:

Entrez Gene: 2911 Human

Entrez Gene: 14816 Mouse

Entrez Gene: 24414 Rat

SwissProt: Q13255 Human

SwissProt: P97772 Mouse

SwissProt: P23385 Rat



产品图片
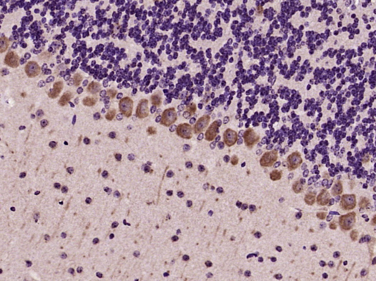
Paraformaldehyde-fixed, paraffin embedded (Mouse cerebellum); Antigen retrieval by boiling in sodium citrate buffer (pH6.0) for 15min; Block endogenous peroxidase by 3% hydrogen peroxide for 20 minutes; Blocking buffer (normal goat serum) at 37°C for 30min; Antibody incubation with (GRM1) Polyclonal Antibody, Unconjugated (bs-1803R) at 1:400 overnight at 4°C, followed by operating according to SP Kit(Rabbit) (sp-0023) instructions and DAB staining.
Cell: SK-N-MC Concentration:1:100 Host/Isotype:Rabbit/IgG Flow cytometric analysis of Rabbit IgG isotype control (Cat#: bs-1803R) on SK-N-MC(green) compared with control in the absence of primary antibody (blue) followed by Alexa Fluor 488-conjugated goat anti-rabbit IgG(H+L) secondary antibody .
版权所有 2004-2026 www.bioss.com.cn 北京博奥森生物技术有限公司
通过国际质量管理体系ISO 9001:2015 GB/T 19001-2016    证书编号: 00124Q34771R2M/1100
通过国际医疗器械-质量管理体系ISO 13485:2016 GB/T 42061-2022     证书编号: CQC24QY20047R0M/1100
京ICP备05066980号-1         京公网安备110107000727号