扫码关注公众号           扫码咨询技术支持           扫码咨询技术服务
  
客服热线:400-901-9800  客服QQ:4009019800  技术答疑  技术支持  质量反馈  关于我们  联系我们
产品中心-北京博奥森生物技术有限公司
首页 > 产品中心 > 一抗 > 产品信息
CNR1 Rabbit pAb (bs-1683R)  
订购热线:400-901-9800
订购邮箱:sales@bioss.com.cn
订购QQ:  400-901-9800
技术支持:techsupport@bioss.com.cn
50ul/1180.00元
100ul/1980.00元
200ul/2800.00元
大包装/询价

产品编号 bs-1683R
英文名称 CNR1 Rabbit pAb
中文名称 钙粘蛋白相关的神经受体1抗体
别    名 CNR1_HUMAN; Cannabinoid receptor 1; CB-R; CB1; CANN6; CNR; CB1A; CB1R; CB1K5;  
Specific References  (2)     |     bs-1683R has been referenced in 2 publications.
[IF=6.799] Brenda L. K. Coles. et al. A microfluidic platform enables comprehensive gene expression profiling of mouse retinal stem cells. Lab Chip. 2021 Oct;:  FC ;  Human.  
[IF=2.96] Xinna Wang. et al. Hejie Zhitong prescription promotes sleep and inhibits nociceptive transmission-associated neurotransmitter activity in a rodent migraine model. Chin Med-Uk. 2020 Dec;15(1):1-12  IHC ;  Mouse.  
研究领域 细胞生物  免疫学  神经生物学  
抗体来源 Rabbit
克隆类型 Polyclonal
克 隆 号
交叉反应 Human,Rat (predicted: Mouse,Rabbit,Pig,Cow,Dog,GuineaPig,Horse)
产品应用 WB=1:500-2000,IHC-P=1:100-500,IHC-F=1:100-500,IF=1:100-500
not yet tested in other applications.
optimal dilutions/concentrations should be determined by the end user.
理论分子量 52 kDa
检测分子量
细胞定位 细胞膜 
性    状 Liquid
浓    度 1mg/ml
免 疫 原 KLH conjugated synthetic peptide derived from human CNR-1: 401-472/472 
亚    型 IgG
纯化方法 affinity purified by Protein A
缓 冲 液 0.01M TBS (pH7.4) with 1% BSA, 0.02% Proclin300 and 50% Glycerol.
保存条件 Shipped at 4℃. Store at -20℃ for one year. Avoid repeated freeze/thaw cycles.
注意事项 This product as supplied is intended for research use only, not for use in human, therapeutic or diagnostic applications.
PubMed PubMed
产品介绍 This gene encodes one of two cannabinoid receptors. The cannabinoids, principally delta-9-tetrahydrocannabinol and synthetic analogs, are psychoactive ingredients of marijuana. The cannabinoid receptors are members of the guanine-nucleotide-binding protein (G-protein) coupled receptor family, which inhibit adenylate cyclase activity in a dose-dependent, stereoselective and pertussis toxin-sensitive manner. The two receptors have been found to be involved in the cannabinoid-induced CNS effects (including alterations in mood and cognition) experienced by users of marijuana. Multiple transcript variants encoding two different protein isoforms have been described for this gene. [provided by RefSeq, May 2009]

Function:
Involved in cannabinoid-induced CNS effects. Acts by inhibiting adenylate cyclase. Could be a receptor for anandamide. Inhibits L-type Ca(2+) channel current. Isoform 2 and isoform 3 have altered ligand binding.

Subunit:
Interacts (via C-terminus) with CNRIP1.

Subcellular Location:
Cell membrane.

Tissue Specificity:
Widely expressed.

Similarity:
Belongs to the G-protein coupled receptor 1 family.

Gene ID:
1268

Database links:

Entrez Gene: 1268 Human

Entrez Gene: 12801 Mouse

Entrez Gene: 25248 Rat

Entrez Gene: 281087 Cow

Entrez Gene: 481913 Dog

Omim: 114610 Human

SwissProt: Q5IS73 Chimpanzee

SwissProt: P21554 Human

SwissProt: P47746 Mouse

SwissProt: P20272 Rat

Unigene: 709067 Human

Unigene: 75110 Human

Unigene: 7992 Mouse

Unigene: 222240 Rat

Unigene: 89774 Rat



CB1又称大麻素受体1,可导致大麻素类物质作用及代谢异常,从而影响胃肠动力及感觉.
产品图片
Sample: Cerebrum (Rat) Lysate at 40 ug Primary: Anti-CNR1 (bs-1683R) at 1/1000 dilution Secondary: IRDye800CW Goat Anti-Rabbit IgG at 1/20000 dilution Predicted band size: 52 kD Observed band size: 52 kD
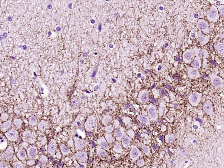
Paraformaldehyde-fixed, paraffin embedded (Rat brain); Antigen retrieval by boiling in sodium citrate buffer (pH6.0) for 15min; Block endogenous peroxidase by 3% hydrogen peroxide for 20 minutes; Blocking buffer (normal goat serum) at 37°C for 30min; Antibody incubation with (CNR1) Polyclonal Antibody, Unconjugated (bs-1683R) at 1:500 overnight at 4°C, followed by a conjugated secondary (sp-0023) for 20 minutes and DAB staining.
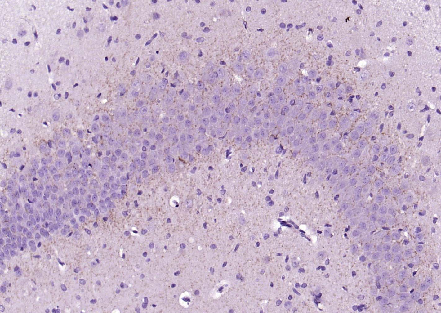
Paraformaldehyde-fixed, paraffin embedded (Rat hippocampus); Antigen retrieval by boiling in sodium citrate buffer (pH6.0) for 15min; Block endogenous peroxidase by 3% hydrogen peroxide for 20 minutes; Blocking buffer (normal goat serum) at 37°C for 30min; Incubation with (CNR1) Polyclonal Antibody, Unconjugated (bs-1683R) at 1:200 overnight at 4°C, followed by operating according to SP Kit(Rabbit) (sp-0023) instructionsand DAB staining.
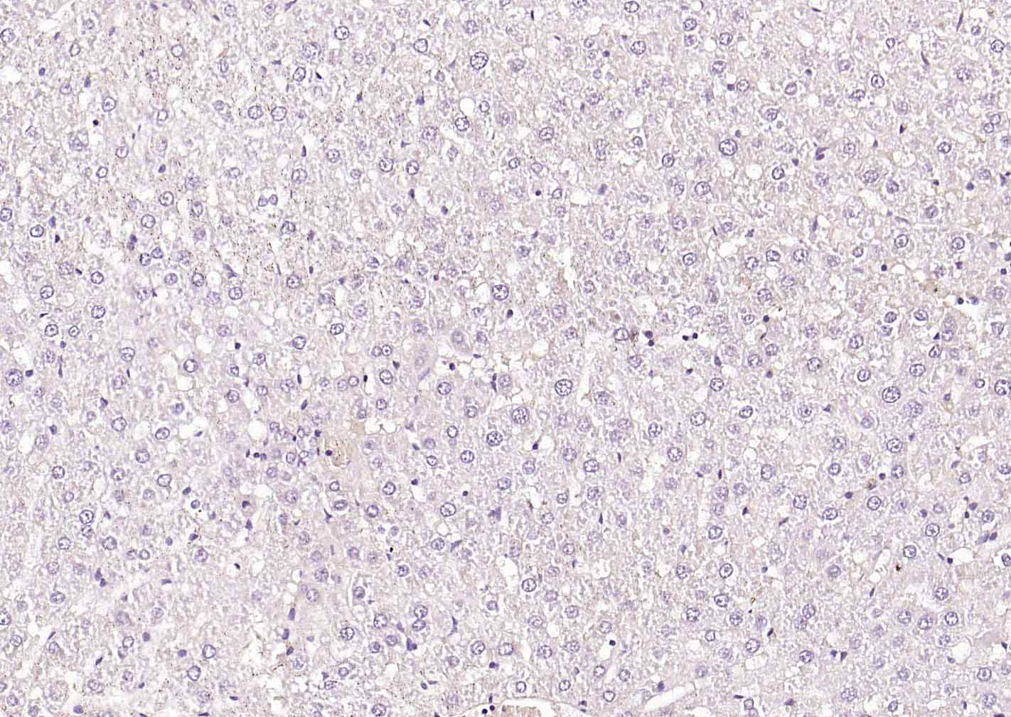
Negative sample:Paraformaldehyde-fixed, paraffin embedded (rat liver);Antigen retrieval by boiling in sodium citrate buffer (pH6.0) for 15min;Paraformaldehyde-fixed, paraffin embedded (rat liver); Antigen retrieval by boiling in sodium citrate buffer (pH6.0) for 15min; Block endogenous peroxidase by 3% hydrogen peroxide for 20 minutes; Blocking buffer (normal goat serum) at 37°C for 30min; Incubation with (CNR1) Polyclonal Antibody, Unconjugated (bs-1683R) at 1:200 overnight at 4°C, followed by operating according to SP Kit(Rabbit) (sp-0023) instructionsand DAB staining.
版权所有 2004-2026 www.bioss.com.cn 北京博奥森生物技术有限公司
通过国际质量管理体系ISO 9001:2015 GB/T 19001-2016    证书编号: 00124Q34771R2M/1100
通过国际医疗器械-质量管理体系ISO 13485:2016 GB/T 42061-2022    证书编号: CQC24QY10047R0M/1100
京ICP备05066980号-1         京公网安备110107000727号