扫码关注公众号           扫码咨询技术支持           扫码咨询技术服务
  
客服热线:400-901-9800  客服QQ:4009019800  技术答疑  技术支持  质量反馈  人才招聘  关于我们  联系我们
产品中心-北京博奥森生物技术有限公司
首页 > 产品中心 > 一抗 > 产品信息
LIS1 Rabbit pAb (bs-2035R)  
订购热线:400-901-9800
订购邮箱:sales@bioss.com.cn
订购QQ:  400-901-9800
技术支持:techsupport@bioss.com.cn
50ul/1180.00元
100ul/1980.00元
200ul/2800.00元
大包装/询价

产品编号 bs-2035R
英文名称 LIS1 Rabbit pAb
中文名称 无脑回的致病基因LIS1抗体
别    名 LIS1; LIS2; MDCR; MDS; NudF; PAFAH; LIS-1; MMS10-U; Mdsh; Ms10u; Pafaha; LIS1_BOVIN; PAFAH1B1; Lissencephaly-1 protein (LIS-1); PAF acetylhydrolase 45 kDa subunit (PAF-AH 45 kDa subunit); PAF-AH alpha (PAFAH alpha); LIS1_HUMAN; LIS1_MOUSE; LIS1_PIG; LIS1_RAT; platelet activating factor acetylhydrolase 1b regulatory subunit 1; platelet-activating factor acetylhydrolase, isoform Ib, alpha subunit (45kD); Miller-Dieker syndrome chromosome region; platelet-activating factor acetylhydrolase, isoform Ib, alpha subunit 45kDa; platelet-activating factor acetylhydrolase, isoform Ib, subunit 1 (45kDa); platelet-activating factor acetylhydrolase 1b, regulatory subunit 1 (45kDa); lissencephaly-1  
研究领域 细胞生物  神经生物学  信号转导  
抗体来源 Rabbit
克隆类型 Polyclonal
交叉反应 Human,Mouse,Rat
产品应用 WB=1:500-2000,IHC-P=1:100-500,IHC-F=1:100-500,IF=1:100-500
not yet tested in other applications.
optimal dilutions/concentrations should be determined by the end user.
理论分子量 47kDa
检测分子量 50
细胞定位 细胞核 细胞浆 
性    状 Liquid
浓    度 1mg/ml
免 疫 原 KLH conjugated synthetic peptide derived from human LIS1: 311-410/410 
亚    型 IgG
纯化方法 affinity purified by Protein A
缓 冲 液 0.01M TBS (pH7.4) with 1% BSA, 0.02% Proclin300 and 50% Glycerol.
保存条件 Shipped at 4℃. Store at -20℃ for one year. Avoid repeated freeze/thaw cycles.
注意事项 This product as supplied is intended for research use only, not for use in human, therapeutic or diagnostic applications.
PubMed PubMed
产品介绍 Positively regulates the activity of the minus-end directed microtubule motor protein dynein. May enhance dynein-mediated microtubule sliding by targeting dynein to the microtubule plus end. Required for several dynein- and microtubule-dependent processes such as the maintenance of Golgi integrity, the peripheral transport of microtubule fragments and the coupling of the nucleus and centrosome. Required during brain development for the proliferation of neuronal precursors and the migration of newly formed neurons from the ventricular/subventricular zone toward the cortical plate. Neuronal migration involves a process called nucleokinesis, whereby migrating cells extend an anterior process into which the nucleus subsequently translocates. During nucleokinesis dynein at the nuclear surface may translocate the nucleus towards the centrosome by exerting force on centrosomal microtubules. Also required for proper activation of Rho GTPases and actin polymerization at the leading edge of locomoting cerebellar neurons and postmigratory hippocampal neurons in response to calcium influx triggered via NMDA receptors. May also play a role in other forms of cell locomotion including the migration of fibroblasts during wound healing. Non-catalytic subunit of an acetylhydrolase complex which inactivates platelet-activating factor (PAF) by removing the acetyl group at the SN-2 position.

Function:
Required for proper activation of Rho GTPases and actin polymerization at the leading edge of locomoting cerebellar neurons and postmigratory hippocampal neurons in response to calcium influx triggered via NMDA receptors. Non-catalytic subunit of an acetylhydrolase complex which inactivates platelet-activating factor (PAF) by removing the acetyl group at the SN-2 position (By similarity). Positively regulates the activity of the minus-end directed microtubule motor protein dynein. May enhance dynein-mediated microtubule sliding by targeting dynein to the microtubule plus end. Required for several dynein- and microtubule-dependent processes such as the maintenance of Golgi integrity, the peripheral transport of microtubule fragments and the coupling of the nucleus and centrosome. Required during brain development for the proliferation of neuronal precursors and the migration of newly formed neurons from the ventricular/subventricular zone toward the cortical plate. Neuronal migration involves a process called nucleokinesis, whereby migrating cells extend an anterior process into which the nucleus subsequently translocates. During nucleokinesis dynein at the nuclear surface may translocate the nucleus towards the centrosome by exerting force on centrosomal microtubules. May also play a role in other forms of cell locomotion including the migration of fibroblasts during wound healing.

Subunit:
Component of cytosolic PAF-AH IB, which is composed of PAFAH1B1 (alpha), PAFAH1B2 (beta) and PAFAH1B3 (gamma) subunits. Trimer formation is not essential for the catalytic activity of the enzyme which is contributed solely by the PAFAH1B2 (beta) and PAFAH1B3 (gamma) subunits. Interacts with IQGAP1, KATNB1 and NUDC. Interacts with DAB1 when DAB1 is phosphorylated in response to RELN/reelin signaling (By similarity). Can self-associate. Interacts with DCX, dynein, dynactin, NDE1, NDEL1 and RSN. Interacts with DISC1, and this interaction is enhanced by NDEL1. Interacts with ASUN.

Subcellular Location:
Cytoplasm, cytoskeleton. Cytoplasm, cytoskeleton, centrosome. Cytoplasm, cytoskeleton, spindle (By similarity). Nucleus membrane (Potential). Note=Redistributes to axons during neuronal development. Also localizes to the microtubules of the manchette in elongating spermatids and to the meiotic spindle in spermatocytes (By similarity). Localizes to the plus end of microtubules and to the centrosome. May localize to the nuclear membrane.

Tissue Specificity:
Fairly ubiquitous expression in both the frontal and occipital areas of the brain.

DISEASE:
Lissencephaly 1 (LIS1) [MIM:607432]: A classical lissencephaly. It is characterized by agyria or pachygyria and disorganization of the clear neuronal lamination of normal six-layered cortex. The cortex is abnormally thick and poorly organized with 4 primitive layers. Associated with enlarged and dysmorphic ventricles and often hypoplasia of the corpus callosum. Note=The disease is caused by mutations affecting the gene represented in this entry.
Subcortical band heterotopia (SBH) [MIM:607432]: SBH is a mild brain malformation of the lissencephaly spectrum. It is characterized by bilateral and symmetric plates or bands of gray matter found in the central white matter between the cortex and cerebral ventricles, cerebral convolutions usually appearing normal. Note=The disease is caused by mutations affecting the gene represented in this entry.
Miller-Dieker lissencephaly syndrome (MDLS) [MIM:247200]: A contiguous gene deletion syndrome of chromosome 17p13.3, characterized by classical lissencephaly and distinct facial features. Additional congenital malformations can be part of the condition. Note=The disease is caused by mutations affecting the gene represented in this entry.

Similarity:
Belongs to the WD repeat LIS1/nudF family.
Contains 1 LisH domain.
Contains 7 WD repeats.

SWISS:
P43034

Gene ID:
5048

Database links:

Entrez Gene: 5048 Human

Entrez Gene: 18472 Mouse

Entrez Gene: 83572 Rat

Omim: 601545 Human

Omim: 607432 Human

SwissProt: P43033 Cow

SwissProt: P43034 Human

SwissProt: P63005 Mouse

SwissProt: Q9GL51 Pig

SwissProt: P63004 Rat

Unigene: 77318 Human

Unigene: 397111 Mouse

Unigene: 5827 Rat



产品图片
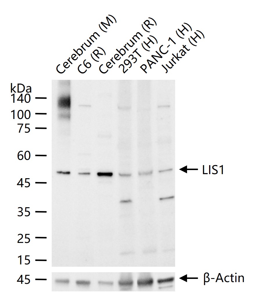
25 ug total protein per lane of various lysates (see on figure) probed with LIS1 polyclonal antibody, unconjugated (bs-2035R) at 1:1000 dilution and 4°C overnight incubation. Followed by conjugated secondary antibody incubation at r.t. for 60 min.
Paraformaldehyde-fixed, paraffin embedded (rat ovary); Antigen retrieval by boiling in sodium citrate buffer (pH6.0) for 15min; Block endogenous peroxidase by 3% hydrogen peroxide for 20 minutes; Blocking buffer (normal goat serum) at 37°C for 30min; Incubation with (LIS1) Polyclonal Antibody, Unconjugated (bs-2035R) at 1:200 overnight at 4°C, followed by operating according to SP Kit(Rabbit) (sp-0023) instructionsand DAB staining.
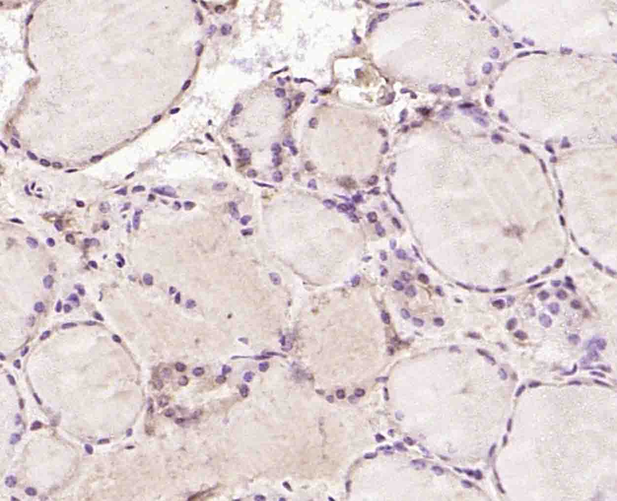
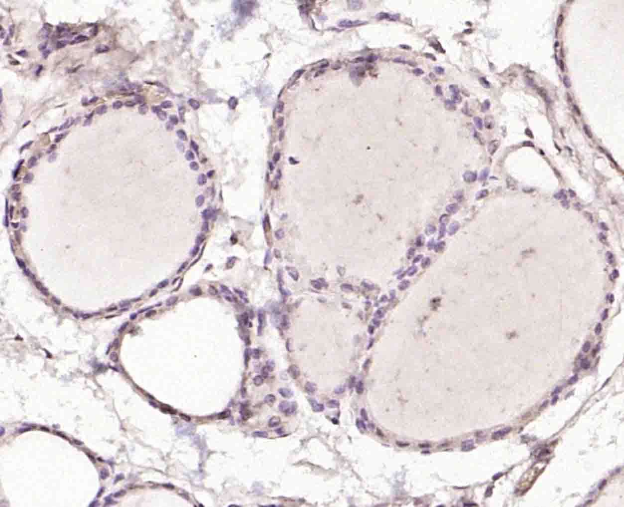
Paraformaldehyde-fixed, paraffin embedded (mouse thyroid gland); Antigen retrieval by boiling in sodium citrate buffer (pH6.0) for 15min; Block endogenous peroxidase by 3% hydrogen peroxide for 20 minutes; Blocking buffer (normal goat serum) at 37°C for 30min; Incubation with (LIS1) Polyclonal Antibody, Unconjugated (bs-2035R) at 1:200 overnight at 4°C, followed by operating according to SP Kit(Rabbit) (sp-0023) instructionsand DAB staining.
Paraformaldehyde-fixed, paraffin embedded (rat thyroid gland); Antigen retrieval by boiling in sodium citrate buffer (pH6.0) for 15min; Block endogenous peroxidase by 3% hydrogen peroxide for 20 minutes; Blocking buffer (normal goat serum) at 37°C for 30min; Incubation with (LIS1) Polyclonal Antibody, Unconjugated (bs-2035R) at 1:200 overnight at 4°C, followed by operating according to SP Kit(Rabbit) (sp-0023) instructionsand DAB staining.
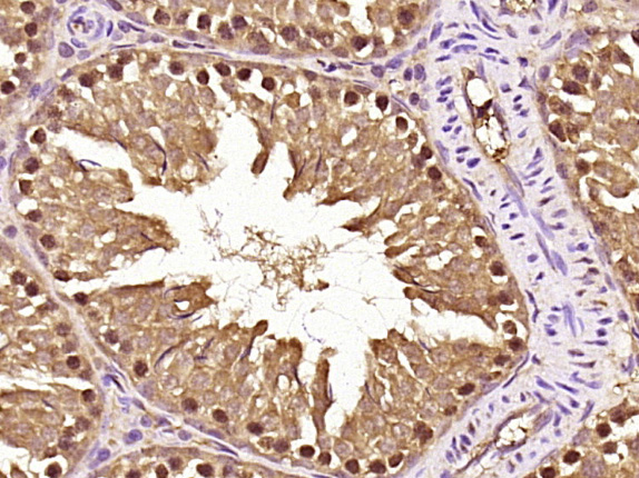
Paraformaldehyde-fixed, paraffin embedded (Rat testis); Antigen retrieval by boiling in sodium citrate buffer (pH6.0) for 15min; Block endogenous peroxidase by 3% hydrogen peroxide for 20 minutes; Blocking buffer (normal goat serum) at 37°C for 30min; Antibody incubation with (LIS1) Polyclonal Antibody, Unconjugated (bs-2035R) at 1:400 overnight at 4°C, followed by operating according to SP Kit(Rabbit) (sp-0023) instructionsand DAB staining.
Paraformaldehyde-fixed, paraffin embedded (Mouse brain); Antigen retrieval by boiling in sodium citrate buffer (pH6.0) for 15min; Block endogenous peroxidase by 3% hydrogen peroxide for 20 minutes; Blocking buffer (normal goat serum) at 37°C for 30min; Antibody incubation with (LIS1) Polyclonal Antibody, Unconjugated (bs-2035R) at 1:400 overnight at 4°C, followed by operating according to SP Kit(Rabbit) (sp-0023) instructionsand DAB staining.
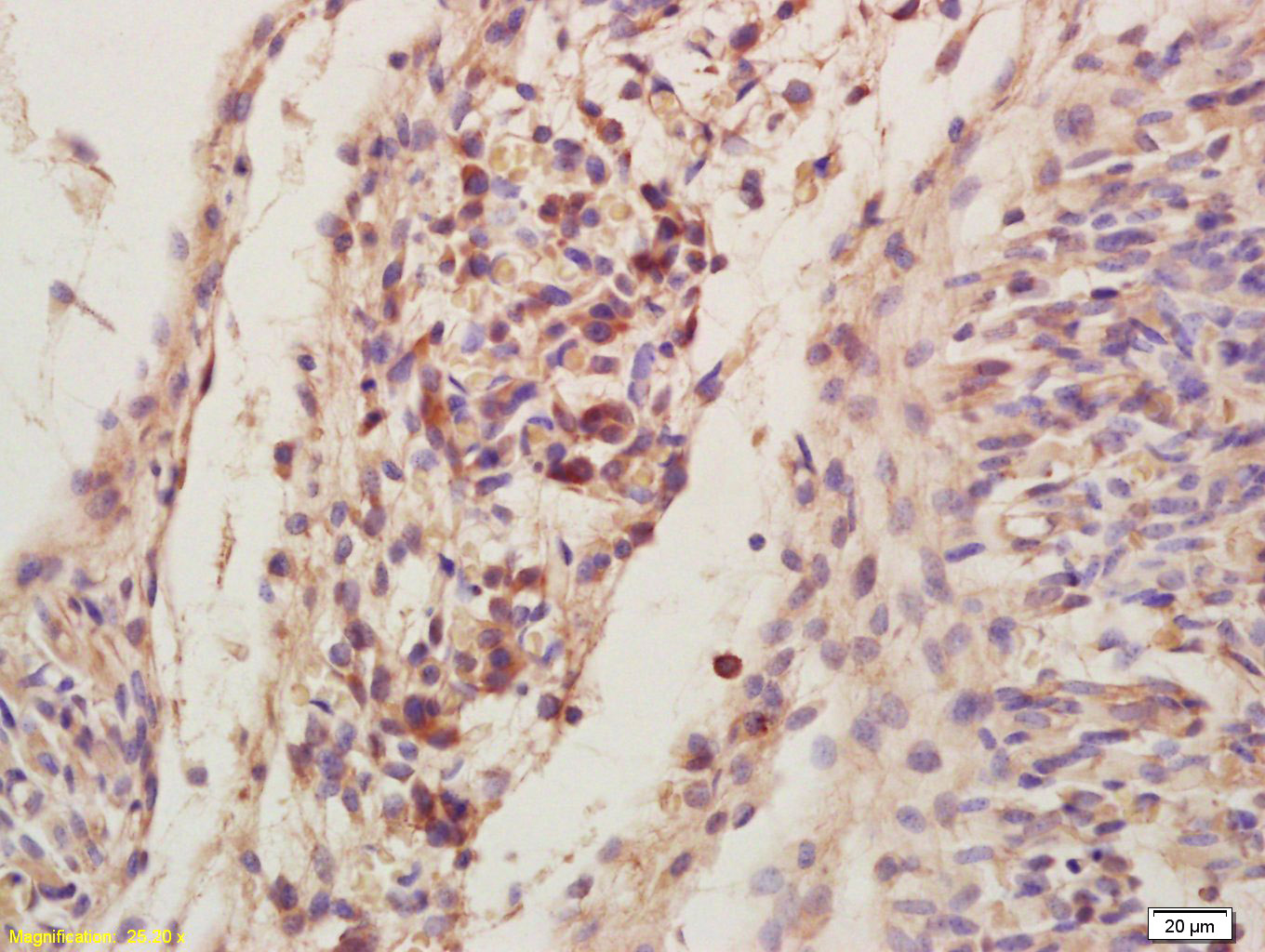
Tissue/cell: Mouse embryos; 4% Paraformaldehyde-fixed and paraffin-embedded; Antigen retrieval: citrate buffer ( 0.01M, pH 6.0 ), Boiling bathing for 15min; Block endogenous peroxidase by 3% Hydrogen peroxide for 30min; Blocking buffer (normal goat serum,C-0005) at 37℃ for 20 min; Incubation: Anti-LIS1 Polyclonal Antibody, Unconjugated(bs-2035R) 1:200, overnight at 4°C, followed by conjugation to the secondary antibody(SP-0023) and DAB(C-0010) staining
版权所有 2004-2026 www.bioss.com.cn 北京博奥森生物技术有限公司
通过国际质量管理体系ISO 9001:2015 GB/T 19001-2016    证书编号: 00124Q34771R2M/1100
通过国际医疗器械-质量管理体系ISO 13485:2016 GB/T 42061-2022     证书编号: CQC24QY20047R0M/1100
京ICP备05066980号-1         京公网安备110107000727号