扫码关注公众号           扫码咨询技术支持           扫码咨询技术服务
  
客服热线:400-901-9800  客服QQ:4009019800  技术答疑  技术支持  质量反馈  关于我们  联系我们
产品中心-北京博奥森生物技术有限公司
首页 > 产品中心 > 一抗 > 产品信息
Caldesmon Rabbit pAb (bs-1589R)  
订购热线:400-901-9800
订购邮箱:sales@bioss.com.cn
订购QQ:  400-901-9800
技术支持:techsupport@bioss.com.cn
50ul/1180.00元
100ul/1980.00元
200ul/2800.00元
大包装/询价

产品编号 bs-1589R
英文名称 Caldesmon Rabbit pAb
中文名称 钙介质素抗体
别    名 CDM; H-CAD; HCAD; L-CAD; LCAD; NAG22; h-CD; 4833423D12Rik; C920027I18Rik; caldesmon; CALD1_HUMAN; CALD1; CAD;   
研究领域 免疫学  
抗体来源 Rabbit
克隆类型 Polyclonal
克 隆 号
交叉反应 Rat (predicted: Human,Mouse,Rabbit,Cow,Chicken,Dog)
产品应用 IHC-P=1:100-500,IHC-F=1:100-500,IF=1:100-500
not yet tested in other applications.
optimal dilutions/concentrations should be determined by the end user.
理论分子量 94 kDa
细胞定位 细胞浆 
性    状 Liquid
浓    度 1mg/ml
免 疫 原 KLH conjugated synthetic peptide derived from human Caldesmon: 701-798/798 
亚    型 IgG
纯化方法 affinity purified by Protein A
缓 冲 液 0.01M TBS (pH7.4) with 1% BSA, 0.02% Proclin300 and 50% Glycerol.
保存条件 Shipped at 4℃. Store at -20℃ for one year. Avoid repeated freeze/thaw cycles.
注意事项 This product as supplied is intended for research use only, not for use in human, therapeutic or diagnostic applications.
PubMed PubMed
产品介绍 This gene encodes a calmodulin- and actin-binding protein that plays an essential role in the regulation of smooth muscle and nonmuscle contraction. The conserved domain of this protein possesses the binding activities to Ca(2+)-calmodulin, actin, tropomyosin, myosin, and phospholipids. This protein is a potent inhibitor of the actin-tropomyosin activated myosin MgATPase, and serves as a mediating factor for Ca(2+)-dependent inhibition of smooth muscle contraction. Alternative splicing of this gene results in multiple transcript variants encoding distinct isoforms.[provided by RefSeq, Jul 2008].

Function:
Actin- and myosin-binding protein implicated in the regulation of actomyosin interactions in smooth muscle and nonmuscle cells (could act as a bridge between myosin and actin filaments). Stimulates actin binding of tropomyosin which increases the stabilization of actin filament structure. In muscle tissues, inhibits the actomyosin ATPase by binding to F-actin. This inhibition is attenuated by calcium-calmodulin and is potentiated by tropomyosin. Interacts with actin, myosin, two molecules of tropomyosin and with calmodulin. Also play an essential role during cellular mitosis and receptor capping. Involved in Schwann cell migration during peripheral nerve regeneration.

Subcellular Location:
Cytoplasm, cytoskeleton. Cytoplasm, myofibril. Note=On thin filaments in smooth muscle and on stress fibers in fibroblasts (nonmuscle).

Tissue Specificity:
High-molecular-weight caldesmon (isoform 1) is predominantly expressed in smooth muscles, whereas low-molecular-weight caldesmon (isoforms 2, 3, 4 and 5) are widely distributed in non-muscle tissues and cells. Not expressed in skeletal muscle or heart.

Post-translational modifications:
In non-muscle cells, phosphorylation by CDK1 during mitosis causes caldesmon to dissociate from microfilaments. Phosphorylation reduces caldesmon binding to actin, myosin, and calmodulin as well as its inhibition of actomyosin ATPase activity. Phosphorylation also occurs in both quiescent and dividing smooth muscle cells with similar effects on the interaction with actin and calmodulin and on microfilaments reorganization. CDK1-mediated phosphorylation promotes Schwann cell migration during peripheral nerve regeneration (By similarity).

Similarity:
Belongs to the caldesmon family.

SWISS:
Q05682

Gene ID:
800

Database links:

Entrez Gene: 800 Human

Entrez Gene: 109624 Mouse

Entrez Gene: 204926 Rat

Entrez Gene: 25687 Rat

Omim: 114213 Human

SwissProt: Q05682 Human

SwissProt: Q8VCQ8 Mouse

SwissProt: Q05682 Rat

Unigene: 490203 Human



Caldesmon是一种平滑肌肌动蛋白和钙调蛋白的结合蛋白,被认为是一种平滑肌细胞的标志物,存在于平滑肌或非平滑肌细胞中的一种细胞骨架蛋白。它可以与肌动蛋白、肌球蛋白、原肌球蛋白和钙调蛋白相互作用,是平滑肌细胞的一个标志物,可用于判断子宫肿瘤来源。在结肠直肠肿瘤中是区分纤维细胞和肌纤维细胞的一个标志物。
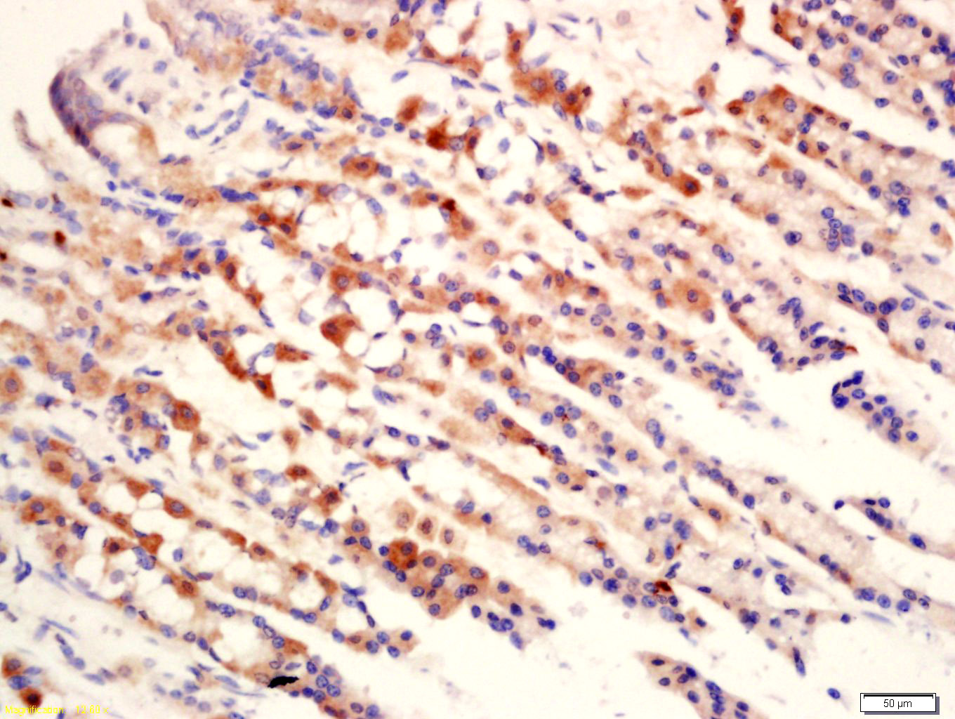
产品图片
Paraformaldehyde-fixed, paraffin embedded (Rat spinal cord); Antigen retrieval by boiling in sodium citrate buffer (pH6.0) for 15min; Block endogenous peroxidase by 3% hydrogen peroxide for 20 minutes; Blocking buffer (normal goat serum) at 37°C for 30min; Antibody incubation with (Caldesmon) Polyclonal Antibody, Unconjugated (bs-1589R) at 1:400 overnight at 4°C, followed by operating according to SP Kit(Rabbit) (sp-0023) instructionsand DAB staining.
Tissue/cell: Rat stomach tissue; 4% Paraformaldehyde-fixed and paraffin-embedded; Antigen retrieval: citrate buffer ( 0.01M, pH 6.0 ), Boiling bathing for 15min; Block endogenous peroxidase by 3% Hydrogen peroxide for 30min; Blocking buffer (normal goat serum,C-0005) at 37℃ for 20 min; Incubation: Anti-Caldesmon Polyclonal Antibody, Unconjugated(bs-1589R) 1:200, overnight at 4°C, followed by conjugation to the secondary antibody(SP-0023) and DAB(C-0010) staining
版权所有 2004-2026 www.bioss.com.cn 北京博奥森生物技术有限公司
通过国际质量管理体系ISO 9001:2015 GB/T 19001-2016    证书编号: 00124Q34771R2M/1100
通过国际医疗器械-质量管理体系ISO 13485:2016 GB/T 42061-2022     证书编号: CQC24QY20047R0M/1100
京ICP备05066980号-1         京公网安备110107000727号