扫码关注公众号           扫码咨询技术支持           扫码咨询技术服务
  
客服热线:400-901-9800  客服QQ:4009019800  技术答疑  技术支持  质量反馈  人才招聘  关于我们  联系我们
产品中心-北京博奥森生物技术有限公司
首页 > 产品中心 > 一抗 > 产品信息
CYP1A1 Rabbit pAb (bs-1606R)  
订购热线:400-901-9800
订购邮箱:sales@bioss.com.cn
订购QQ:  400-901-9800
技术支持:techsupport@bioss.com.cn
50ul/1180.00元
100ul/1980.00元
200ul/2800.00元
大包装/询价

产品编号 bs-1606R
英文名称 CYP1A1 Rabbit pAb
中文名称 细胞色素P450 1A1抗体
别    名 CP1A1_HUMAN; CYP1A1; CYPIA1; Cytochrome P450 form 6; Cytochrome P450-C; Cytochrome P450-P1; Hydroperoxy icosatetraenoate dehydratase; 1.14.14.1; CP1A2_HUMAN; CYP1A2; CYPIA2; Cholesterol 25-hydroxylase; Cytochrome P(3)450; Cytochrome P450 4; Cytochrome P45  
Specific References  (4)     |     bs-1606R has been referenced in 4 publications.
[IF=4.932] Wenjuan Xun. et al. Resveratrol protects intestinal integrity, alleviates intestinal inflammation and oxidative stress by modulating AhR/Nrf2 pathways in weaned piglets challenged with diquat. Int Immunopharmacol. 2021 Oct;99:107989  WB ;  Pig.  
[IF=3.269] Jiasui Wang. et al. Aryl hydrocarbon receptor is a prognostic biomarker and is correlated with immune responses in cervical cancer. 2021 Nov 16  IHC ;  Human.  
[IF=3.12] Yan R et al. PM2. 5 exposure induces age-dependent hepatic lipid metabolism disorder in female mice. journal of environmental science.2019.  WB ;  Mouse.  
[IF=2.34] Cedervall, Therése, Pia Monica Lind, and Lars Sävendahl. "Expression of the Aryl Hydrocarbon Receptor in Growth Plate Cartilage and the Impact of Its Local Modulation on Longitudinal Bone Growth." International Journal of Molecular Sciences 16.4 (2015): 8059-8069.  IHC-P ;  Human.  
研究领域 细胞生物  免疫学  
抗体来源 Rabbit
克隆类型 Polyclonal
克 隆 号
交叉反应 Human,Mouse,Rat (predicted: Pig)
产品应用 WB=1:500-2000,IHC-P=1:100-500,IHC-F=1:100-500,IF=1:100-500
not yet tested in other applications.
optimal dilutions/concentrations should be determined by the end user.
理论分子量 58 kDa
检测分子量 58
细胞定位 细胞浆 细胞膜 
性    状 Liquid
浓    度 1mg/ml
免 疫 原 KLH conjugated synthetic peptide derived from human CYP1A1: 361-460/512 <Cytoplasmic>
亚    型 IgG
纯化方法 affinity purified by Protein A
缓 冲 液 0.01M TBS (pH7.4) with 1% BSA, 0.02% Proclin300 and 50% Glycerol.
保存条件 Shipped at 4℃. Store at -20℃ for one year. Avoid repeated freeze/thaw cycles.
注意事项 This product as supplied is intended for research use only, not for use in human, therapeutic or diagnostic applications.
PubMed PubMed
产品介绍 The Cytochrome P450 (P450) superfamily of enzymes is one of three enzyme systems which metabolize the fatty acid arachadonic acid (AA) to regulators of vascular tone. P450 enzymes are monooxygenase enzymes which require several cofactors such as nicotinamide adenine dinucleotide phosphate (NADPH) and P450 reductase. There are over 200 known genes which encode P450s. Epoxygenases are those P450s which metabolize AA to epoxyeicosatrienoic acid (EETs) and omega hydroxylases are those P450s which produce 19- and 20-hydroxyeicosatetraenoic acids (19- and 20-HETE). As well as fatty acid metabolism, P450s also metabolize many drugs and toxins. Cytochrome P450 3A4 is abundantly expressed in liver and small intestine and is inducible by barbiturates, glucocorticoids and rifampicin.

Function:
Mediates dioxin toxicity and is involved in regulation of cell growth and differentiation. Represses the transcription activity of AHR by competing with this transcription factor for heterodimer formation with the ARNT and subsequently binding to the xenobiotic response element (XRE) sequence present in the promoter regulatory region of variety of genes. Represses CYP1A1 by binding the XRE sequence and recruiting ANKRA2, HDAC4 and/or HDAC5. Autoregulates its expression by associating with its own XRE site.

Subcellular Location:
Cytochrome P450 1A1: Cytoplasm.
Cytochrome P450MT2A: Endoplasmic reticulum membrane. Mitochondrion membrane. Microsome membrane.
Cytochrome P450MT2B: Endoplasmic reticulum. Mitochondrion.

Tissue Specificity:
Highly expressed in testis, lung, ovary, spleen and pancreas. Highly expressed in mononuclear cells (MNCs) from umbilical cord blood. Isoform 3 is highly expressed in lung, kidney, spleen and thymus. Down-regulated malignant tissue from different anatomical origins, including colon, breast, lung, stomach, cervix, and ovary.

Similarity:
Belongs to the cytochrome P450 family.

SWISS:
P05177

Gene ID:
1544

Database links:

Entrez Gene: 57491 Human

Entrez Gene: 11624 Mouse

Entrez Gene: 498999 Rat

Omim: 606517 Human

SwissProt: A9YTQ3 Human

SwissProt: Q3U1U7 Mouse

SwissProt: Q75NT5 Rat

Unigene: 50823 Human

Unigene: 290446 Mouse

Unigene: 145524 Rat



合成与降解(Synthesis and Degradation)
产品图片
Sample:K562 Cell (Human) Lysate at 30 ug Primary: Anti- CYP1A1 (bs-1606R)at 1/300 dilution Secondary: IRDye800CW Goat Anti-Rabbit IgG at 1/20000 dilution Predicted band size: 58kD Observed band size: 58kD
Sample:Lung (Mouse) Lysate at 40 ug Primary: Anti- CYP1A1 (bs-1606R)at 1/300 dilution Secondary: IRDye800CW Goat Anti-Rabbit IgG at 1/20000 dilution Predicted band size: 58kD Observed band size: 58kD
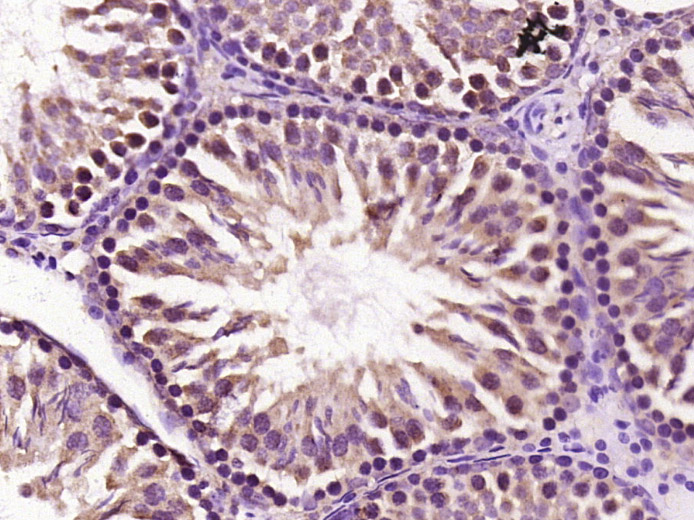
Paraformaldehyde-fixed, paraffin embedded (rat testis tissue); Antigen retrieval by boiling in sodium citrate buffer (pH6.0) for 15min; Block endogenous peroxidase by 3% hydrogen peroxide for 20 minutes; Blocking buffer (normal goat serum) at 37°C for 30min; Antibody incubation with (CYP1A1) Polyclonal Antibody, Unconjugated (bs-1606R) at 1:400 overnight at 4°C, followed by operating according to SP Kit(Rabbit) (sp-0023) instructionsand DAB staining.
版权所有 2004-2026 www.bioss.com.cn 北京博奥森生物技术有限公司
通过国际质量管理体系ISO 9001:2015 GB/T 19001-2016    证书编号: 00124Q34771R2M/1100
通过国际医疗器械-质量管理体系ISO 13485:2016 GB/T 42061-2022     证书编号: CQC24QY20047R0M/1100
京ICP备05066980号-1         京公网安备110107000727号