扫码关注公众号           扫码咨询技术支持           扫码咨询技术服务
  
客服热线:400-901-9800  客服QQ:4009019800  技术答疑  技术支持  质量反馈  关于我们  联系我们
产品中心-北京博奥森生物技术有限公司
首页 > 产品中心 > 一抗 > 产品信息
AQP1 Rabbit pAb (bs-1506R)  
订购热线:400-901-9800
订购邮箱:sales@bioss.com.cn
订购QQ:  400-901-9800
技术支持:techsupport@bioss.com.cn
50ul/1180.00元
100ul/1980.00元
200ul/2800.00元
大包装/询价

产品编号 bs-1506R
英文名称 AQP1 Rabbit pAb
中文名称 水通道蛋白1抗体
别    名 AQP 1; AQP-1; AQP1_HUMAN; Aquaporin-1; Aquaporin-CHIP; Channel like integral membrane protein 28 kDa; MGC26324; Water channel protein CHIP 29; AQP CHIP; AQP1; Aquaporin CHIP; Aquaporin1; Aquaporin 1; Channel forming integral protein 28kDa; CHIP 28; CHIP28; CO; Colton blood group; Growth factor induced delayed early response protein; Urine water channel; Water channel protein CHIP29; Water channel protein for red blood cells and kidney proximal tubule.  
Specific References  (8)     |     bs-1506R has been referenced in 8 publications.
[IF=8.786] Zhaoqi Zhang. et al. Central gene transcriptional regulatory networks shaping monocyte development in bone marrow.. FRONT IMMUNOL. 2022 Oct;13:1011279-1011279  FC ;  Mouse.  
[IF=8.718] Yang, Jiashu. et al. m6A-mediated upregulation of AC008 promotes osteoarthritis progression through the miR-328-3p‒AQP1/ANKH axis. Exp Mol Med. 2021 Nov;:1-12  WB ;  Human.  
[IF=3.216] Chao Lu. et al. Inhibition of Pre-B Cell Colony Enhancing Factor Reduces Lung Injury in Rats Receiving Cardiopulmonary Bypass. Drug Des Dev Ther. 2021; 15: 51–60  WB ;  Rat.  
[IF=3.03] Long, Youming, et al. "Development of a cell-based assay for detection of anti-aquaporin 1 antibodies in neuromyelitis optica spectrum disorders." Journal of Neuroimmunology (2014).  WB ;  Human.  
[IF=2.826] Takanori Watanabe et al. Aquaporin 3 Expression in Endometrioid Carcinoma of the Uterine Body Correlated With Early Stage and Lower Grade. Pathol Oncol Res. 2020 Oct;26(4):2247-2253.  IHC ;  Human.  
[IF=2.705] Wang EX et al. Stem cells from trabecular meshwork cells can secrete extracellular matrix. Biochem Biophys Res Commun. 2020 Mar 5;523(2):522-526.  ICF ;  cattle.  
[IF=2.311] Haifa Alkhalifa. et al. Inhibition of aquaporins as a potential adjunct to breast cancer cryotherapy. Oncol Lett. 2021 Jun;21(6):1-11  WB ;  Human.  
[IF=1.935] Sato K et al. Different Prognostic Implications of Aquaporin-1 and Aquaporin-5 Expression among Different Histological Types of Ovarian Carcinoma.Pathol Oncol Res. 2018 Jul 19.  IHC-P ;  Human.  
研究领域 肿瘤  信号转导  通道蛋白  新陈代谢  
抗体来源 Rabbit
克隆类型 Polyclonal
克 隆 号
交叉反应 Human,Mouse,Rat (predicted: Pig,Sheep,Cow,Dog,Horse)
产品应用 IHC-P=1:200-500,IHC-F=1:200-500,IF=1:200-500
not yet tested in other applications.
optimal dilutions/concentrations should be determined by the end user.
理论分子量 28 kDa
检测分子量
细胞定位 细胞膜 
性    状 Liquid
浓    度 1mg/ml
免 疫 原 KLH conjugated synthetic peptide derived from human AQP1: 181-269/269 <Cytoplasmic>
亚    型 IgG
纯化方法 affinity purified by Protein A
缓 冲 液 0.01M TBS (pH7.4) with 1% BSA, 0.02% Proclin300 and 50% Glycerol.
保存条件 Shipped at 4℃. Store at -20℃ for one year. Avoid repeated freeze/thaw cycles.
注意事项 This product as supplied is intended for research use only, not for use in human, therapeutic or diagnostic applications.
PubMed PubMed
产品介绍 Aquaporin 1 is a 28kD integral membrane protein which was originally identified in red blood cells and renal proximal tubules. AQP1 is also expressed by the choroid plexus and various other tissues. It forms a water-specific channel that provides the plasma membranes of red cells and kidney proximal tubules with high permeability to water, thereby permitting water to move in the direction of an osmotic gradient.

Function:
Forms a water-specific channel that provides the plasmamembranes of red cells and kidney proximal tubules with highpermeability to water, thereby permitting water to move in thedirection of an osmotic gradient.

Subunit:
Homotetramer. Interacts with EPHB2; involved in endolymphproduction in the inner ear (By similarity).

Subcellular Location:
Membrane; Multi-pass membrane protein.

Tissue Specificity:
Expressed in a number of tissues including erythrocytes, renal tubules, retinal pigment epithelium, heart, lung, skeletal muscle, kidney and pancreas. Weakly expressed in brain, placenta and liver.

Similarity:
Belongs to the MIP/aquaporin (TC 1.A.8) family.

SWISS:
P29972

Gene ID:
358

Database links:

Entrez Gene: 358 Human

Entrez Gene: 11826 Mouse

Entrez Gene: 25240 Rat

Entrez Gene: 442999 Sheep

Entrez Gene: 282653 Cow

Entrez Gene: 403732 Dog

Omim: 107776 Human

SwissProt: P47865 Cow

SwissProt: Q9N2J4 Dog

SwissProt: P29972 Human

SwissProt: Q02013 Mouse

SwissProt: P29975 Rat

SwissProt: P56401 Sheep

Unigene: 76152 Human

Unigene: 18625 Mouse

Unigene: 1618 Rat



通道蛋白(Channel Protein)
产品图片
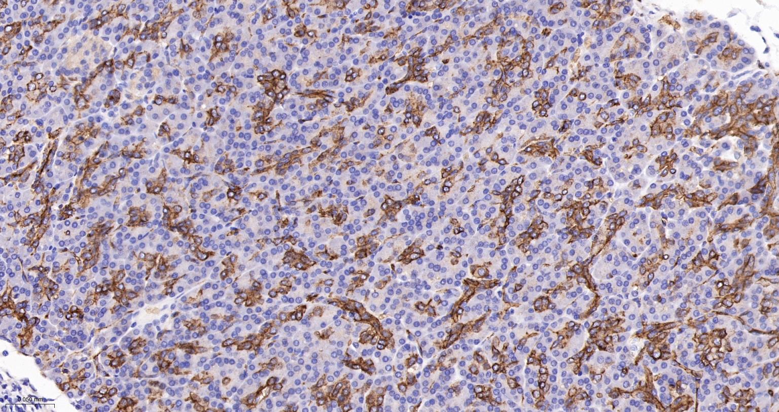
Paraformaldehyde-fixed, paraffin embedded Human Pancreas; Antigen retrieval by boiling in sodium citrate buffer (pH6.0) for 15 min; The section was incubated with AQP1 Polyclonal Antibody, Unconjugated (bs-1506R) at 1:200 overnight at 4°C, followed by conjugation to the bs-0295G-HRP and DAB (C-0010) staining.
Paraformaldehyde-fixed, paraffin embedded Human Breast; Antigen retrieval by boiling in sodium citrate buffer (pH6.0) for 15 min; The section was incubated with AQP1 Polyclonal Antibody, Unconjugated (bs-1506R) at 1:200 overnight at 4°C, followed by conjugation to the bs-0295G-HRP and DAB (C-0010) staining.
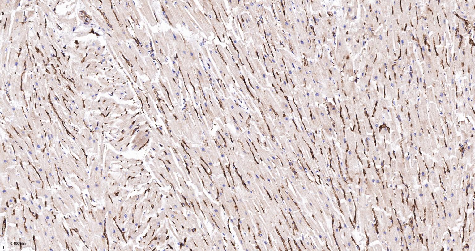
Paraformaldehyde-fixed, paraffin embedded Human Heart; Antigen retrieval by boiling in sodium citrate buffer (pH6.0) for 15 min; The section was incubated with AQP1 Polyclonal Antibody, Unconjugated (bs-1506R) at 1:200 overnight at 4°C, followed by conjugation to the bs-0295G-HRP and DAB (C-0010) staining.
Paraformaldehyde-fixed, paraffin embedded Rat Heart; Antigen retrieval by boiling in sodium citrate buffer (pH6.0) for 15 min; The section was incubated with AQP1 Polyclonal Antibody, Unconjugated (bs-1506R) at 1:200 overnight at 4°C, followed by conjugation to the bs-0295G-HRP and DAB (C-0010) staining.
Paraformaldehyde-fixed, paraffin embedded Mouse Heart; Antigen retrieval by boiling in sodium citrate buffer (pH6.0) for 15 min; The section was incubated with AQP1 Polyclonal Antibody, Unconjugated (bs-1506R) at 1:200 overnight at 4°C, followed by conjugation to the bs-0295G-HRP and DAB (C-0010) staining.
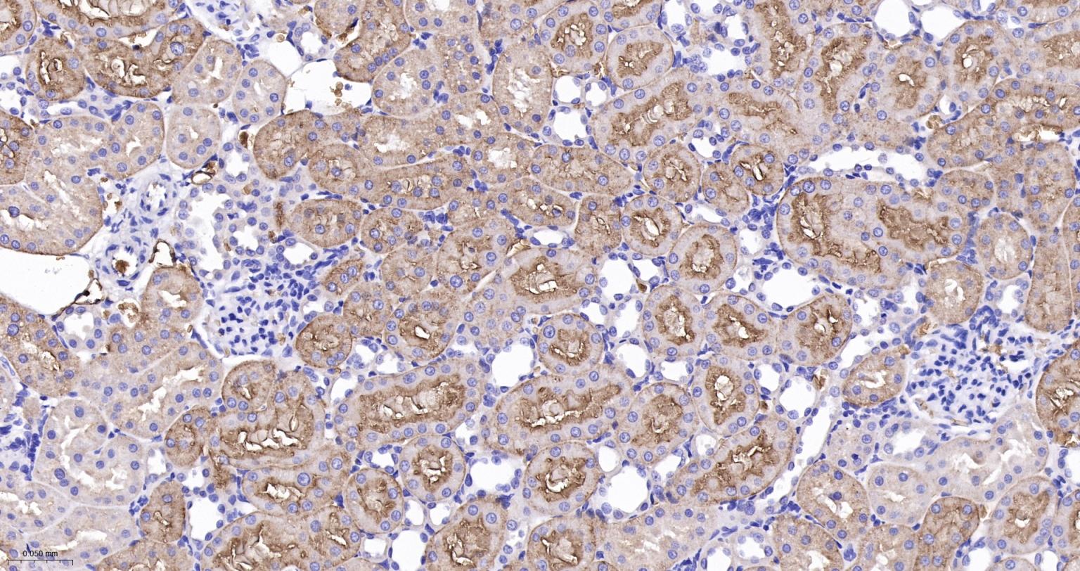
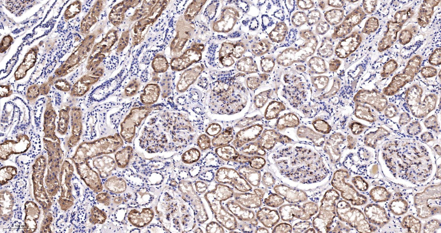
Paraformaldehyde-fixed, paraffin embedded Human Kidney; Antigen retrieval by boiling in sodium citrate buffer (pH6.0) for 15 min; The section was incubated with AQP1 Polyclonal Antibody, Unconjugated (bs-1506R) at 1:200 overnight at 4°C, followed by conjugation to the bs-0295G-HRP and DAB (C-0010) staining.
Paraformaldehyde-fixed, paraffin embedded Rat Kidney; Antigen retrieval by boiling in sodium citrate buffer (pH6.0) for 15 min; The section was incubated with AQP1 Polyclonal Antibody, Unconjugated (bs-1506R) at 1:200 overnight at 4°C, followed by conjugation to the bs-0295G-HRP and DAB (C-0010) staining.
Paraformaldehyde-fixed, paraffin embedded Mouse Kidney; Antigen retrieval by boiling in sodium citrate buffer (pH6.0) for 15 min; The section was incubated with AQP1 Polyclonal Antibody, Unconjugated (bs-1506R) at 1:200 overnight at 4°C, followed by conjugation to the bs-0295G-HRP and DAB (C-0010) staining.
版权所有 2004-2026 www.bioss.com.cn 北京博奥森生物技术有限公司
通过国际质量管理体系ISO 9001:2015 GB/T 19001-2016    证书编号: 00124Q34771R2M/1100
通过国际医疗器械-质量管理体系ISO 13485:2016 GB/T 42061-2022     证书编号: CQC24QY20047R0M/1100
京ICP备05066980号-1         京公网安备110107000727号