扫码关注公众号           扫码咨询技术支持           扫码咨询技术服务
  
客服热线:400-901-9800  客服QQ:4009019800  技术答疑  技术支持  质量反馈  关于我们  联系我们
产品中心-北京博奥森生物技术有限公司
首页 > 产品中心 > 一抗 > 产品信息
LAT Rabbit pAb (bs-10126R)  
订购热线:400-901-9800
订购邮箱:sales@bioss.com.cn
订购QQ:  400-901-9800
技术支持:techsupport@bioss.com.cn
50ul/1180.00元
100ul/1980.00元
200ul/2800.00元
大包装/询价

产品编号 bs-10126R
英文名称 LAT Rabbit pAb
中文名称 T细胞活化连接蛋白抗体
别    名 IMD52; LAT1; pp36; p36-38; LAT_HUMAN; LAT; 36 kDa phosphotyrosine adapter protein (pp36); LAT_MOUSE; LAT_RAT;   
研究领域 细胞生物  免疫学  信号转导  
抗体来源 Rabbit
克隆类型 Polyclonal
克 隆 号
交叉反应 Human,Mouse (predicted: Rat,Rabbit,Cow,Chicken,Dog)
产品应用 IHC-P=1:100-500,IHC-F=1:100-500,IF=1:100-500
not yet tested in other applications.
optimal dilutions/concentrations should be determined by the end user.
理论分子量 29 kDa
细胞定位 细胞浆 细胞膜 
性    状 Liquid
浓    度 1mg/ml
免 疫 原 KLH conjugated synthetic peptide derived from human LAT: 165-262/262 
亚    型 IgG
纯化方法 affinity purified by Protein A
缓 冲 液 0.01M TBS (pH7.4) with 1% BSA, 0.02% Proclin300 and 50% Glycerol.
保存条件 Shipped at 4℃. Store at -20℃ for one year. Avoid repeated freeze/thaw cycles.
注意事项 This product as supplied is intended for research use only, not for use in human, therapeutic or diagnostic applications.
PubMed PubMed
产品介绍 The protein encoded by this gene is phosphorylated by ZAP-70/Syk protein tyrosine kinases following activation of the T-cell antigen receptor (TCR) signal transduction pathway. This transmembrane protein localizes to lipid rafts and acts as a docking site for SH2 domain-containing proteins. Upon phosphorylation, this protein recruits multiple adaptor proteins and downstream signaling molecules into multimolecular signaling complexes located near the site of TCR engagement. Alternative splicing results in multiple transcript variants encoding different isoforms. [provided by RefSeq, Jul 2008]

Function:
Required for TCR (T-cell antigen receptor)- and pre-TCR-mediated signaling, both in mature T-cells and during their development. Involved in FCGR3 (low affinity immunoglobulin gamma Fc region receptor III)-mediated signaling in natural killer cells and FCER1 (high affinity immunoglobulin epsilon receptor)-mediated signaling in mast cells. Couples activation of these receptors and their associated kinases with distal intracellular events such as mobilization of intracellular calcium stores, PKC activation, MAPK activation or cytoskeletal reorganization through the recruitment of PLCG1, GRB2, GRAP2, and other signaling molecules.

Subunit:
When phosphorylated, interacts directly with the PIK3R1 subunit of phosphoinositide 3-kinase and the SH2 domains of GRB2, GRAP, GRAP2, PLCG1 and PLCG2. Interacts indirectly with CBL, SOS, VAV, and LCP2. Interacts with SHB, SKAP2 and CLNK. Interacts with FCGR1A. Interacts with GRB2, PLCG1 and THEMIS upon TCR activation in thymocytes.

Subcellular Location:
Cell membrane; Single-pass type III membrane protein. Note=Present in lipid rafts.

Tissue Specificity:
Expressed in thymus, T-cells, NK cells, mast cells and, at lower levels, in spleen. Present in T-cells but not B-cells (at protein level).

Post-translational modifications:
Phosphorylated on tyrosines by ZAP70 upon TCR activation, or by SYK upon other immunoreceptor activation; which leads to the recruitment of multiple signaling molecules. Is one of the most prominently tyrosine-phosphorylated proteins detected following TCR engagement. May be dephosphorylated by PTPRJ. Phosphorylated by ITK leading to the recruitment of VAV1 to LAT-containing complexes.
Palmitoylation of Cys-26 and Cys-29 is required for raft targeting and efficient phosphorylation.

SWISS:
O43561

Gene ID:
27040

Database links:
Entrez Gene: 27040 Human

Entrez Gene: 16797 Mouse

Entrez Gene: 81511 Rat

Omim: 602354 Human

SwissProt: O43561 Human

SwissProt: O54957 Mouse

SwissProt: O70601 Rat

Unigene: 632179 Human

Unigene: 10280 Mouse

Unigene: 9773 Rat



产品图片
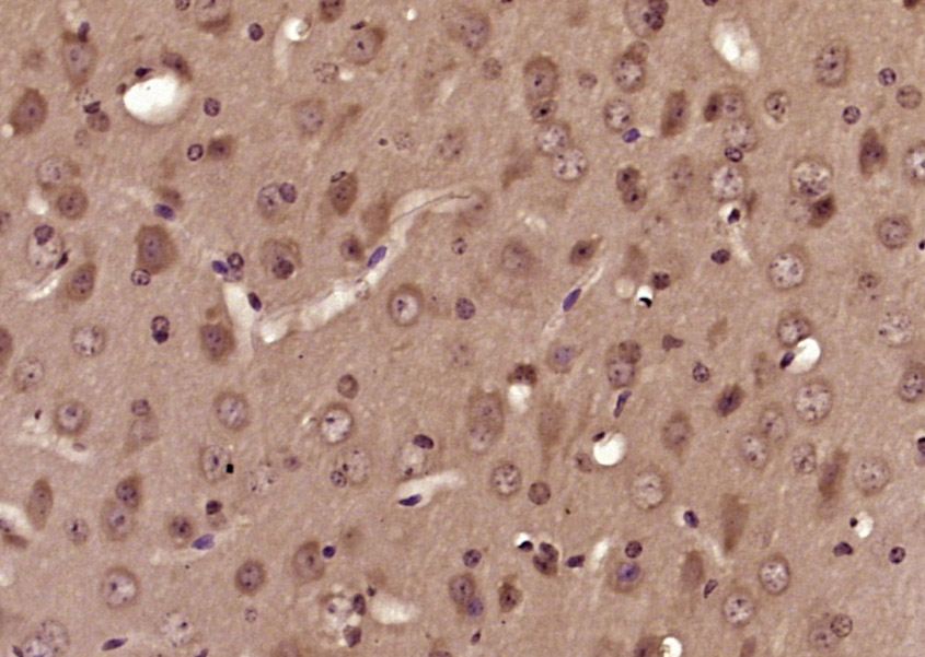
Paraformaldehyde-fixed, paraffin embedded (mouse brain tissue); Antigen retrieval by boiling in sodium citrate buffer (pH6.0) for 15min; Block endogenous peroxidase by 3% hydrogen peroxide for 20 minutes; Blocking buffer (normal goat serum) at 37°C for 30min; Antibody incubation with (SOD1) Polyclonal Antibody, Unconjugated (bs-10216R) at 1:200 overnight at 4°C, followed by operating according to SP Kit(Rabbit) (sp-0023) instructionsand DAB staining.
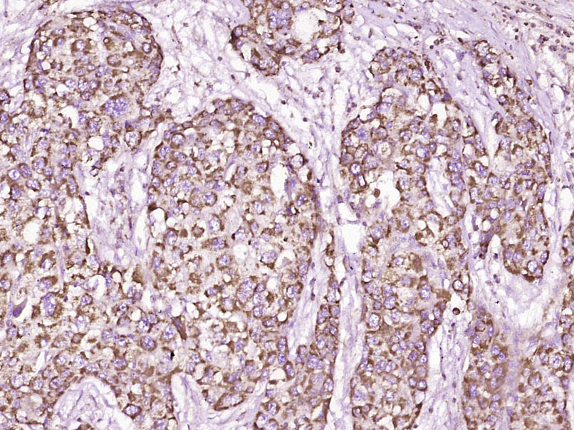
Paraformaldehyde-fixed, paraffin embedded (Human liver carcinoma); Antigen retrieval by boiling in sodium citrate buffer (pH6.0) for 15min; Block endogenous peroxidase by 3% hydrogen peroxide for 20 minutes; Blocking buffer (normal goat serum) at 37°C for 30min; Antibody incubation with (LAT) Polyclonal Antibody, Unconjugated (bs-10126R) at 1:400 overnight at 4°C, followed by operating according to SP Kit(Rabbit) (sp-0023) instructionsand DAB staining.
版权所有 2004-2026 www.bioss.com.cn 北京博奥森生物技术有限公司
通过国际质量管理体系ISO 9001:2015 GB/T 19001-2016    证书编号: 00124Q34771R2M/1100
通过国际医疗器械-质量管理体系ISO 13485:2016 GB/T 42061-2022     证书编号: CQC24QY20047R0M/1100
京ICP备05066980号-1         京公网安备110107000727号