扫码关注公众号           扫码咨询技术支持           扫码咨询技术服务
  
客服热线:400-901-9800  客服QQ:4009019800  技术答疑  技术支持  质量反馈  关于我们  联系我们
产品中心-北京博奥森生物技术有限公司
首页 > 产品中心 > 一抗 > 产品信息
BIRC6 Rabbit pAb (bs-1489R)  
订购热线:400-901-9800
订购邮箱:sales@bioss.com.cn
订购QQ:  400-901-9800
技术支持:techsupport@bioss.com.cn
50ul/1180.00元
100ul/1980.00元
200ul/2800.00元
大包装/询价

产品编号 bs-1489R
英文名称 BIRC6 Rabbit pAb
中文名称 Apollon凋亡抑制蛋白抗体
别    名 APOLLON; BRUCE; A430032G04Rik; A430040A19Rik; D630005A10Rik; mKIAA1289; BIRC6_HUMAN; BIRC6; BIR repeat-containing ubiquitin-conjugating enzyme (BRUCE); Baculoviral IAP repeat-containing protein 6; Ubiquitin-conjugating BIR domain enzyme apollon (APOLLON);  
研究领域 肿瘤  细胞生物  细胞凋亡  
抗体来源 Rabbit
克隆类型 Polyclonal
克 隆 号
交叉反应 Human (predicted: Mouse,Rat,Rabbit,Pig,Cow,Horse)
产品应用 IHC-P=1:100-500,IHC-F=1:100-500,IF=1:100-500
not yet tested in other applications.
optimal dilutions/concentrations should be determined by the end user.
理论分子量 530 kDa
细胞定位 细胞浆 
性    状 Liquid
浓    度 1mg/ml
免 疫 原 KLH conjugated synthetic peptide derived from human Apollon C terminus: 4701-4857/4857 
亚    型 IgG
纯化方法 affinity purified by Protein A
缓 冲 液 0.01M TBS (pH7.4) with 1% BSA, 0.02% Proclin300 and 50% Glycerol.
保存条件 Shipped at 4℃. Store at -20℃ for one year. Avoid repeated freeze/thaw cycles.
注意事项 This product as supplied is intended for research use only, not for use in human, therapeutic or diagnostic applications.
PubMed PubMed
产品介绍 Conserved genes that encode inhibitors of apoptosis proteins (IAPs) are frequently overexpressed in human cancers and are associated with resistance to therapy. IAPs contain a 70 amino acid cysteine and histidine rich baculovirus IAP repeat (BIR) and often a zinc binding RING finger. Chen et al. (1999) found that some brain cancer cell lines with high expression of BIRC6 exhibited resistance to apoptosis in the presence of anticancer drugs. Treatment of a high expressing cell line with BIRC6 antisense oligonucleotides reduced BIRC6 expression and reversed the resistance to anticancer drugs.

Function:
Anti-apoptotic protein which can regulate cell death by controlling caspases and by acting as an E3 ubiquitin-protein ligase. Has an unusual ubiquitin conjugation system in that it could combine in a single polypeptide, ubiquitin conjugating (E2) with ubiquitin ligase (E3) activity, forming a chimeric E2/E3 ubiquitin ligase. Its tragets include CASP9 and DIABLO/SMAC. Acts as an inhibitor of CASP3, CASP7 and CASP9. Important regulator for the final stages of cytokinesis. Crucial for normal vesicle targeting to the site of abscission, but also for the integrity of the midbody and the midbody ring, and its striking ubiquitin modification.

Subunit:
Homodimer. Binds the activated, processed forms of CASP3, CASP6, CASP7 and CASP9. Interacts with RNF41, DIABLO/SMAC, HTRA2, KIF23/MKLP1, USP8/UBPY, BIRC5/survivin, MAP2K1/MEK1, RAB8A/RAB8, RAB11A/RAB11, PLK1, EXOC3/SEC6 and EXOC4/SEC8.

Subcellular Location:
Golgi apparatus, trans-Golgi network membrane. Midbody. Endosome. Cytoplasm, cytoskeleton, spindle pole. Cytoplasm, cytoskeleton, centrosome. Note=Concentrates in a pericentriolar compartment in interphase, moves partially to spindle poles in metaphase, and finally localizes to the spindle midzone and the midbody in telophase and during cytokinesis.

Tissue Specificity:
Expressed in brain cancer cells.

Post-translational modifications:
Ubiquitinated. Ubiquitination is mediated by the RNF41 E3 ligase and leads to proteasomal degradation, impairing inhibition of apoptosis. Deubiquitinated by USP8/UBPY.

Similarity:
In the C-terminal section; belongs to the ubiquitin-conjugating enzyme family.
Contains 1 BIR repeat.

SWISS:
Q9NR09

Gene ID:
57448

Database links:

Entrez Gene: 57448 Human

Entrez Gene: 12211 Mouse

Omim: 605638 Human

SwissProt: Q9NR09 Human

SwissProt: O88738 Mouse

Unigene: 150107 Human

Unigene: 290908 Mouse



Apollon是凋亡抑制蛋白家族IAP(inhibitors of apoptosis protein 凋亡抑制因子)的成员之一,它通过抑制Smac和caspase-9酶活性而产生抗凋亡作用它是IAP家族中分子量最大的成员,Apollon在某些肿瘤组织中表达。
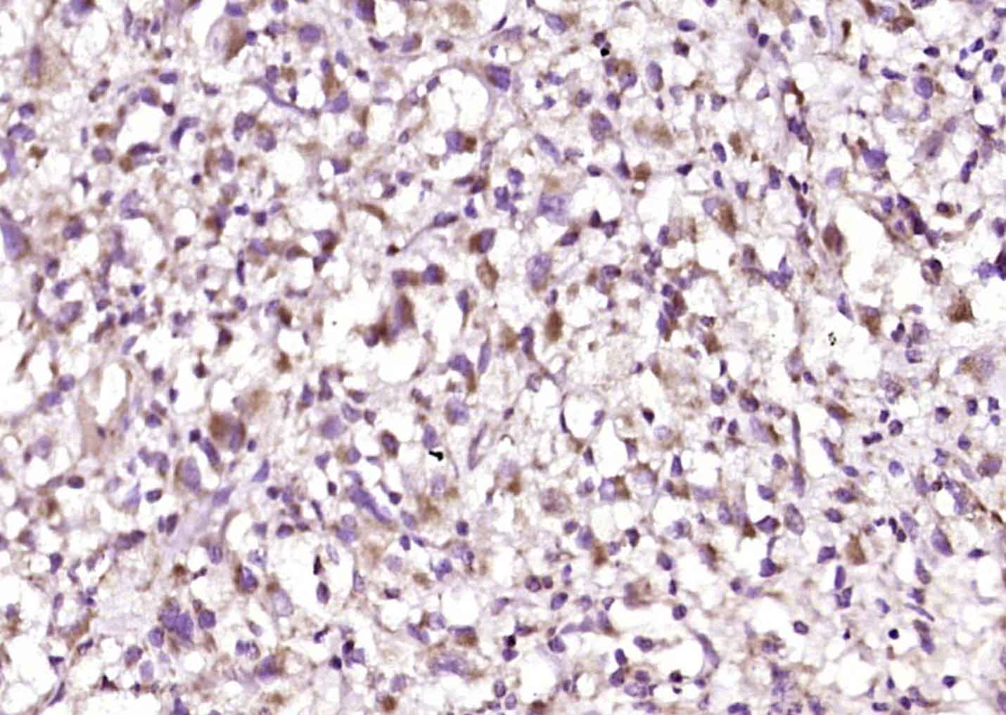
产品图片
Paraformaldehyde-fixed, paraffin embedded (human brain glioma); Antigen retrieval by boiling in sodium citrate buffer (pH6.0) for 15min; Block endogenous peroxidase by 3% hydrogen peroxide for 20 minutes; Blocking buffer (normal goat serum) at 37°C for 30min; Antibody incubation with (BIRC6) Polyclonal Antibody, Unconjugated (bs-1489R) at 1:400 overnight at 4°C, followed by operating according to SP Kit(Rabbit) (sp-0023) instructionsand DAB staining.
版权所有 2004-2026 www.bioss.com.cn 北京博奥森生物技术有限公司
通过国际质量管理体系ISO 9001:2015 GB/T 19001-2016    证书编号: 00124Q34771R2M/1100
通过国际医疗器械-质量管理体系ISO 13485:2016 GB/T 42061-2022     证书编号: CQC24QY20047R0M/1100
京ICP备05066980号-1         京公网安备110107000727号