扫码关注公众号           扫码咨询技术支持           扫码咨询技术服务
  
客服热线:400-901-9800  客服QQ:4009019800  技术答疑  技术支持  质量反馈  关于我们  联系我们
产品中心-北京博奥森生物技术有限公司
首页 > 产品中心 > 一抗 > 产品信息
Caspase-12 Rabbit pAb (bs-0967R)  
订购热线:400-901-9800
订购邮箱:sales@bioss.com.cn
订购QQ:  400-901-9800
技术支持:techsupport@bioss.com.cn
50ul/1180.00元
100ul/1980.00元
200ul/2800.00元
大包装/询价

产品编号 bs-0967R
英文名称 Caspase-12 Rabbit pAb
中文名称 半胱胺酸蛋白酶蛋白-12抗体
别    名 CASP-12; CASP12P1; CASPC_HUMAN; CASP12;   
Specific References  (2)     |     bs-0967R has been referenced in 2 publications.
[IF=3.53] Fang C, Zhang J, Qi D, Fan X, Luo J, et al. (2014) Evodiamine Induces G2/M Arrest and Apoptosis via Mitochondrial and Endoplasmic Reticulum Pathways in H446 and H1688 Human Small-Cell Lung Cancer Cells. PLoS ONE 9(12): e115204.  WB ;  Rat.  
[IF=0.931] Xu H et al. Glutamine protects intestine against ischemia-reperfusion injury by alleviating endoplasmic reticulum stress induced apoptosis in rats. Acta Cir Bras. 2020 Mar 9;35(1):e202000104.  WB ;  rat.  
研究领域 细胞凋亡  
抗体来源 Rabbit
克隆类型 Polyclonal
克 隆 号
交叉反应 Human
产品应用 IHC-P=1:100-500,IHC-F=1:100-500,IF=1:100-500
not yet tested in other applications.
optimal dilutions/concentrations should be determined by the end user.
理论分子量 38 kDa
细胞定位 细胞浆 
性    状 Liquid
浓    度 1mg/ml
免 疫 原 KLH conjugated synthetic peptide derived from the middle of human Caspase-12: 161-250/341 
亚    型 IgG
纯化方法 affinity purified by Protein A
缓 冲 液 0.01M TBS (pH7.4) with 1% BSA, 0.02% Proclin300 and 50% Glycerol.
保存条件 Shipped at 4℃. Store at -20℃ for one year. Avoid repeated freeze/thaw cycles.
注意事项 This product as supplied is intended for research use only, not for use in human, therapeutic or diagnostic applications.
PubMed PubMed
产品介绍 Caspases are cysteine proteases that cleave C-terminal aspartic acid residues on their substrate molecules. This gene is most highly related to members of the ICE subfamily of caspases that process inflammatory cytokines. In rodents, the homolog of this gene mediates apoptosis in response to endoplasmic reticulum stress. However, in humans this gene contains a polymorphism for the presence or absence of a premature stop codon. The majority of human individuals have the premature stop codon and produce a truncated non-functional protein. The read-through codon occurs primarily in individuals of African descent and carriers have endotoxin hypo-responsiveness and an increased susceptibility to severe sepsis. Several alternatively spliced transcript variants have been noted for this gene. [provided by RefSeq, Feb 2011]

Function:
Has no protease activity. May reduce cytokine release in response to bacterial lipopolysaccharide during infections. Reduces activation of NF-kappa-B in response to TNF.

Tissue Specificity:
Detected in heart, kidney, liver, lung, pancreas, small intestine, spleen, stomach, thymus and testis.

Similarity:
Belongs to the peptidase C14A family.
Contains 1 CARD domain.

SWISS:
Q6UXS9

Gene ID:
100506742

Database links:

Entrez Gene: 100506742 Human

SwissProt: Q6UXS9 Human

Unigene: 476989 Human



ASPASE-12是caspase家族成员,是存在于内质网上的促凋亡因子,内质网应激早期可通过GRP(glucose-regulated protein,GRP)的表达增多来保护细胞;CASPASE-12是内质网细胞关键介导因子,caspase-12还是caspase-1的抑制剂。
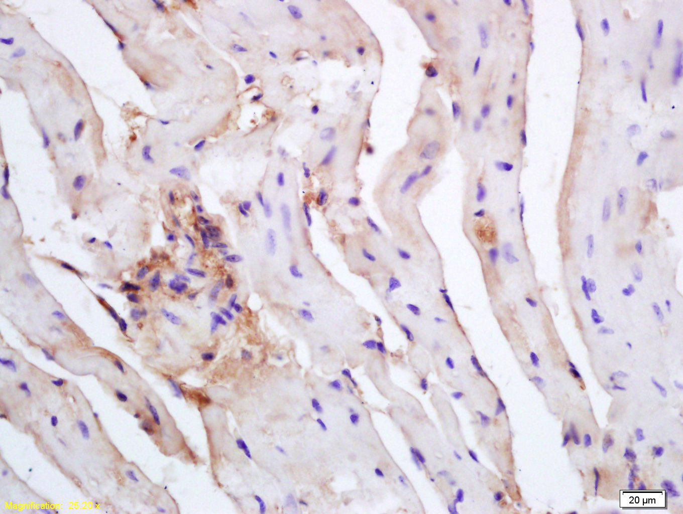
产品图片
Tissue/cell: human lung carcinoma; 4% Paraformaldehyde-fixed and paraffin-embedded; Antigen retrieval: citrate buffer ( 0.01M, pH 6.0 ), Boiling bathing for 15min; Block endogenous peroxidase by 3% Hydrogen peroxide for 30min; Blocking buffer (normal goat serum,C-0005) at 37℃ for 20 min; Incubation: Anti-Caspase-12 Polyclonal Antibody, Unconjugated(bs-0967R) 1:200, overnight at 4°C, followed by conjugation to the secondary antibody(SP-0023) and DAB(C-0010) staining
版权所有 2004-2026 www.bioss.com.cn 北京博奥森生物技术有限公司
通过国际质量管理体系ISO 9001:2015 GB/T 19001-2016    证书编号: 00124Q34771R2M/1100
通过国际医疗器械-质量管理体系ISO 13485:2016 GB/T 42061-2022     证书编号: CQC24QY20047R0M/1100
京ICP备05066980号-1         京公网安备110107000727号