扫码关注公众号           扫码咨询技术支持           扫码咨询技术服务
  
客服热线:400-901-9800  客服QQ:4009019800  技术答疑  技术支持  质量反馈  关于我们  联系我们
产品中心-北京博奥森生物技术有限公司
首页 > 产品中心 > 一抗 > 产品信息
SREBP1 Rabbit pAb (bs-1402R)  
订购热线:400-901-9800
订购邮箱:sales@bioss.com.cn
订购QQ:  400-901-9800
技术支持:techsupport@bioss.com.cn
50ul/1180.00元
100ul/1980.00元
200ul/2800.00元
大包装/询价

产品编号 bs-1402R
英文名称 SREBP1 Rabbit pAb
中文名称 胆固醇调节元件结合蛋白1抗体
别    名 Sterol regulatory element binding protein 1; ADD 1; BHLHD1; D630008H06; SREBF 1; SREBP-1; SREBF1; SREBP 1; SREBP1; SREBP 1c; Sterol regulatory element binding protein 1; Sterol Regulatory Element Binding Transcription Factor 1/Protein 1; Sterol regulatory element binding transcription factor 1; SRBP1_HUMAN; Sterol regulatory element-binding protein 1; SREBP-1; Class D basic helix-loop-helix protein 1; bHLHd1; Sterol regulatory element-binding transcription factor 1; Processed sterol regulatory element-binding protein 1.  
Specific References  (38)     |     bs-1402R has been referenced in 38 publications.
[IF=9.225] Nora Helmrich. et al. Pharmacological Antagonization of Cannabinoid Receptor 1 Improves Cholestasis in Abcb4-/- Mice. Cell Mol Gastroenter. 2021 Dec;:  WB ;  Mouse.  
[IF=8.073] Shuang-Feng Xu. et al. Astrocyte-specific loss of lactoferrin influences neuronal structure and function by interfering with cholesterol synthesis. GLIA. 2022 Aug;:  WB ;  Mouse.  
[IF=7.67] Zhang, Xian, et al. "ROS-induced TXNIP drives fructose-mediated hepatic inflammation and lipid accumulation through NLRP3 inflammasome activation."Antioxidants and Redox Signaling ja (2015).  WB ;  Rat.  
[IF=6.15] Hu, Shuang. et al. Deletion of p38γ attenuates ethanol consumption- and acetaminophen-induced liver injury in mice through promoting Dlg1. Acta Pharmacol Sin. 2021 Nov;:1-16  WB ;  Mouse.  
[IF=6.025] Yue-Qiang Huang. et al. Di-2-ethylhexyl phthalate (DEHP) induced lipid metabolism disorder in liver via activating the LXR/SREBP-1c/PPARα/γ and NF-κB signaling pathway. FOOD CHEM TOXICOL. 2022 Jul;165:113119  WB ;  Bird.  
[IF=5.717] Jia Han. et al. Zonarol Protected Liver from Methionine- and Choline-Deficient Diet-Induced Nonalcoholic Fatty Liver Disease in a Mouse Model. Nutrients. 2021 Oct;13(10):3455  WB ;  Mouse.  
[IF=5.561] Ang Li. et al. Tartary Buckwheat (Fagopyrum tataricum) Ameliorates Lipid Metabolism Disorders and Gut Microbiota Dysbiosis in High-Fat Diet-Fed Mice. FOODS. 2022 Jan;11(19):3028  WB ;  Mouse.  
[IF=5.502] Lin Zhu. et al. Berberine Ameliorates Abnormal Lipid Metabolism via the Adenosine Monophosphate–Activated Protein Kinase/Sirtuin 1 Pathway in Alcohol-Related Liver Disease. LAB INVEST. 2023 Jan;:100041  WB ;  Mouse.  
[IF=5.5] Fu et al. Lack of ClC-2 Alleviates High Fat Diet-Induced Insulin Resistance and Non-Alcoholic Fatty Liver Disease. (2018) Cell.Physiol.Biochem. 45:2187-2198  WB ;  Mouse.  
[IF=5.467] Muñoz, V. R.. et al. Short-term physical exercise controls age-related hyperinsulinemia and improves hepatic metabolism in aged rodents. J ENDOCRINOL INVEST. 2022 Nov;:1-13  WB ;  Mouse.  
[IF=5.279] Shuhua Tian. et al. Sulforaphane Regulates Glucose and Lipid Metabolisms in Obese Mice by Restraining JNK and Activating Insulin and FGF21 Signal Pathways. J Agr Food Chem. 2021;XXXX(XXX):XXX-XXX  WB ;  Mouse.  
[IF=4.48] José R. Pauli. et al. Exercise training restores weight gain and attenuates hepatic inflammation in a rat model of non-celiac gluten sensitivity. J CELL BIOCHEM. 2023 Feb;:  WB ;  Rat.  
[IF=4.473] Xin Jin. et al. GPRC6A is a key mediator of palmitic acid regulation of lipid synthesis in bovine mammary epithelial cells. CELL BIOL INT. 2022 Aug;:  WB ;  Bovine.  
[IF=4.225] Yuyan Gu. et al. Ferulic Acid Ameliorates Atherosclerotic Injury by Modulating Gut Microbiota and Lipid Metabolism. Front Pharmacol. 2021; 12: 621339  WB,IF ;  Mouse.  
[IF=4.171] Yunhong Ren. et al. Probiotic-fermented black tartary buckwheat alleviates hyperlipidemia and gut microbiota dysbiosis in rats fed with high-fat diet. 2021 May 05  WB ;  Rat.  
[IF=4.171] Chuang Guoet al. Recombinant Human lactoferrin attenuates the progression of hepatosteatosis and hepatocellular death by regulating iron and lipid homeostasis in ob/ob mice. Food Funct . 2020 Aug 1;11(8):7183-7196.  WB ;  
[IF=4.12] Ma et al. Beneficial effects of paeoniflorin on non-alcoholic fatty liver disease induced by high-fat diet in rats. (2017) Sci.Rep. 7:44819  WB ;  Rat.  
[IF=4.081] Liu Jiayi. et al. Lithium Chloride Promotes Endogenous Synthesis of CLA in Bovine Mammary Epithelial Cells. BIOL TRACE ELEM RES. 2023 Apr;:1-14  WB ;  Bovine.  
[IF=4.008] Flavia G De Carvalho. et al. Taurine upregulates insulin signaling and mitochondrial metabolism in vitro, but not in adipocytes of obese women. Nutrition. 2021 Jul;:111430  WB ;  Mouse.  
[IF=3.848] Chen Luyao. et al. Epicatechin gallate prevents the de novo synthesis of fatty acid and the migration of prostate cancer cells. Acta Bioch Bioph Sin. 2021 Oct;:  WB ;  Human.  
[IF=3.738] Zong, Jinxin. et al. Lithium Chloride Promotes Milk Protein and Fat Synthesis in Bovine Mammary Epithelial Cells via HIF-1α and β-Catenin Signaling Pathways. Biol Trace Elem Res. 2022 Jan;:1-16  WB ;  Bovine.  
[IF=3.654] Yingjun Zhou. et al. Chrysin improves diabetic nephropathy by regulating the AMPK-mediated lipid metabolism in HFD/STZ-induced DN mice. J FOOD BIOCHEM. 2022 Aug;:e14379  WB ;  Mouse.  
[IF=3.647] Shuang Huet al. MicroRNA-708 prevents ethanol-induced hepatic lipid accumulation and inflammatory reaction via direct targeting ZEB1. Life Sci . 2020 Oct 1;258:118147.  WB ;  Human.  
[IF=3.571] Li X et al. Lysine enhances the stimulation of fatty acids on milk fat synthesis via the GPRC6A-PI3K-FABP5 signaling in bovine mammary epithelial cells. J Agric Food Chem. 2019 Jun 26;67(25):7005-7015.  WB ;  Cow.  
[IF=3.571] Li P et al. CRTC2 is a key mediator of amino acid-induced milk fat synthesis in mammary epithelial cells. J Agric Food Chem. 2019 Sep 18;67(37):10513-10520.  WB ;  Cow.  
[IF=3.448] Yang X et al. miR‐760 exerts an antioncogenic effect in esophageal squamous cell carcinoma by negatively driving fat metabolism via targeting c‐Myc. J Cell Biochem. 2019 Nov 10.  WB ;  Human.  
[IF=3.241] Sun W et al. Baicalein reduced hepatic fat accumulation by activating AMPK in oleic acid-induced HepG2 cells and high-fat diet-induced non-insulin resistant mice. Food Funct. 2020 Jan 7.  WB ;  Mouse.  
[IF=3.234] Vicente JM et al. The absence of lactation after pregnancy induces long-term lipid accumulation in maternal liver of mice.(2018) Life Sci. 217  WB ;  Mouse.  
[IF=3.234] Dong S et al. Dihydromyricetin alleviates acetaminophen-induced liver injury via the regulation of transformation, lipid homeostasis, cell death and regeneration. Life Sci. 2019 Jun 15;227:20-29.  WB ;  Mouse.  
[IF=3.231] Jing Fan. et al. Chitosan Oligosaccharide Inhibits the Synthesis of Milk Fat in Bovine Mammary Epithelial Cells through AMPK-Mediated Downstream Signaling Pathway. ANIMALS. 2022 Jan;12(13):1692  WB ;  Bovine.  
研究领域 心血管  转录调节因子  合成与降解  
抗体来源 Rabbit
克隆类型 Polyclonal
克 隆 号
交叉反应 Human,Mouse,Rat (predicted: Sheep,Chicken)
产品应用 WB=1:500-2000,IHC-P=1:100-500,IHC-F=1:100-500,IF=1:100-500
not yet tested in other applications.
optimal dilutions/concentrations should be determined by the end user.
理论分子量 54/126 kDa
检测分子量
细胞定位 细胞核 细胞浆 
性    状 Liquid
浓    度 1mg/ml
免 疫 原 KLH conjugated synthetic peptide derived from human SREBP-1: 301-450/1147 
亚    型 IgG
纯化方法 affinity purified by Protein A
缓 冲 液 0.01M TBS (pH7.4) with 1% BSA, 0.02% Proclin300 and 50% Glycerol.
保存条件 Shipped at 4℃. Store at -20℃ for one year. Avoid repeated freeze/thaw cycles.
注意事项 This product as supplied is intended for research use only, not for use in human, therapeutic or diagnostic applications.
PubMed PubMed
产品介绍 This gene encodes a transcription factor that binds to the sterol regulatory element-1 (SRE1), which is a decamer flanking the low density lipoprotein receptor gene and some genes involved in sterol biosynthesis. The protein is synthesized as a precursor that is attached to the nuclear membrane and endoplasmic reticulum. Following cleavage, the mature protein translocates to the nucleus and activates transcription by binding to the SRE1. Sterols inhibit the cleavage of the precursor, and the mature nuclear form is rapidly catabolized, thereby reducing transcription. The protein is a member of the basic helix-loop-helix-leucine zipper (bHLH-Zip) transcription factor family. This gene is located within the Smith-Magenis syndrome region on chromosome 17. Two transcript variants encoding different isoforms have been found for this gene. [provided by RefSeq, Jul 2008]

Function:
Transcriptional activator required for lipid homeostasis. Regulates transcription of the LDL receptor gene as well as the fatty acid and to a lesser degree the cholesterol synthesis pathway. Binds to the sterol regulatory element 1 (SRE-1) (5'-ATCACCCCAC-3'). Has dual sequence specificity binding to both an E-box motif (5'-ATCACGTGA-3') and to SRE-1 (5'-ATCACCCCAC-3').

Subunit:
Forms a tight complex with SCAP in the ER membrane. Efficient DNA binding of the soluble transcription factor fragment requires dimerization with another bHLH protein. Interacts with LMNA.

Subcellular Location:
Endoplasmic reticulum membrane; Multi-pass membrane protein. Golgi apparatus membrane; Multi-pass membrane protein. Cytoplasmic vesicle, COPII-coated vesicle membrane; Multi-pass membrane protein. Note=Moves from the endoplasmic reticulum to the Golgi in the absence of sterols.
Processed sterol regulatory element-binding protein 1: Nucleus.
Isoform SREBP-1aDelta: Nucleus.
Isoform SREBP-1cDelta: Nucleus.

Tissue Specificity:
Expressed in a wide variety of tissues, most abundant in liver and adrenal gland. In fetal tissues lung and liver shows highest expression. Isoform SREBP-1C predominates in liver, adrenal gland and ovary, whereas isoform SREBP-1A predominates in hepatoma cell lines. Isoform SREBP-1A and isoform SREBP-1C are found in kidney, brain, white fat, and muscle.

Post-translational modifications:
At low cholesterol the SCAP/SREBP complex is recruited into COPII vesicles for export from the ER. In the Golgi complex SREBPs are cleaved sequentially by site-1 and site-2 protease. The first cleavage by site-1 protease occurs within the luminal loop, the second cleavage by site-2 protease occurs within the first transmembrane domain and releases the transcription factor from the Golgi membrane. Apoptosis triggers cleavage by the cysteine proteases caspase-3 and caspase-7.
Phosphorylated by AMPK, leading to suppress protein processing and nuclear translocation, and repress target gene expression. Phosphorylation at Ser-402 by SIK1 represses activity possibly by inhibiting DNA-binding.

Similarity:
Belongs to the SREBP family.
Contains 1 bHLH (basic helix-loop-helix) domain.

SWISS:
P36956

Gene ID:
6720

Database links:

Entrez Gene: 6720 Human

Entrez Gene: 20787 Mouse

Entrez Gene: 78968 Rat

Omim: 184756 Human

SwissProt: P36956 Human

SwissProt: Q9WTN3 Mouse

SwissProt: P56720 Rat

Unigene: 592123 Human

Unigene: 278701 Mouse

Unigene: 296366 Mouse

Unigene: 198857 Rat



转录调节因子(Transcriptin Regulators)
胆固醇调节元件结合蛋白1(SREBP1)是膜结合的转录因子,参与脂质自稳态的许多作用(胆固醇、脂肪酸、甘油三酯和磷酯的合成/摄取).SREBP1在内质网上合成,需要被转运到高尔基体并经过一系列蛋白水解后才能到核内发挥作用。
未成熟时在胞浆表达,水解后的成熟片段在胞核表达。
产品图片
Sample: MCF-7(Human) Cell Lysate at 30 ug A549(Human) Cell Lysate at 30 ug Hela(Human) Cell Lysate at 30 ug SH-SY5Y(Human) Cell Lysate at 30 ug U87MG(Human) Cell Lysate at 30 ug A431(Human) Cell Lysate at 30 ug Primary: Anti-SREBP1 (bs-1402R) at 1/1000 dilution Secondary: IRDye800CW Goat Anti-Rabbit IgG at 1/20000 dilution Predicted band size: 54/126 kD Observed band size: 124 kD
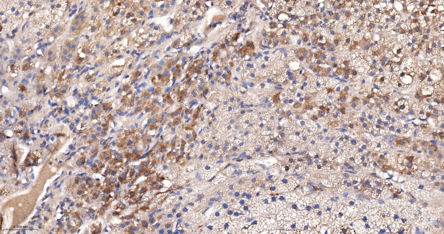
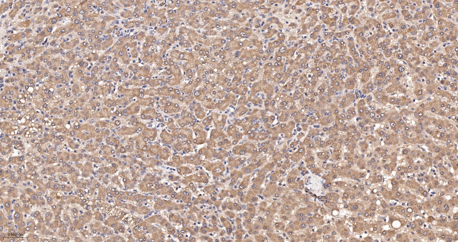
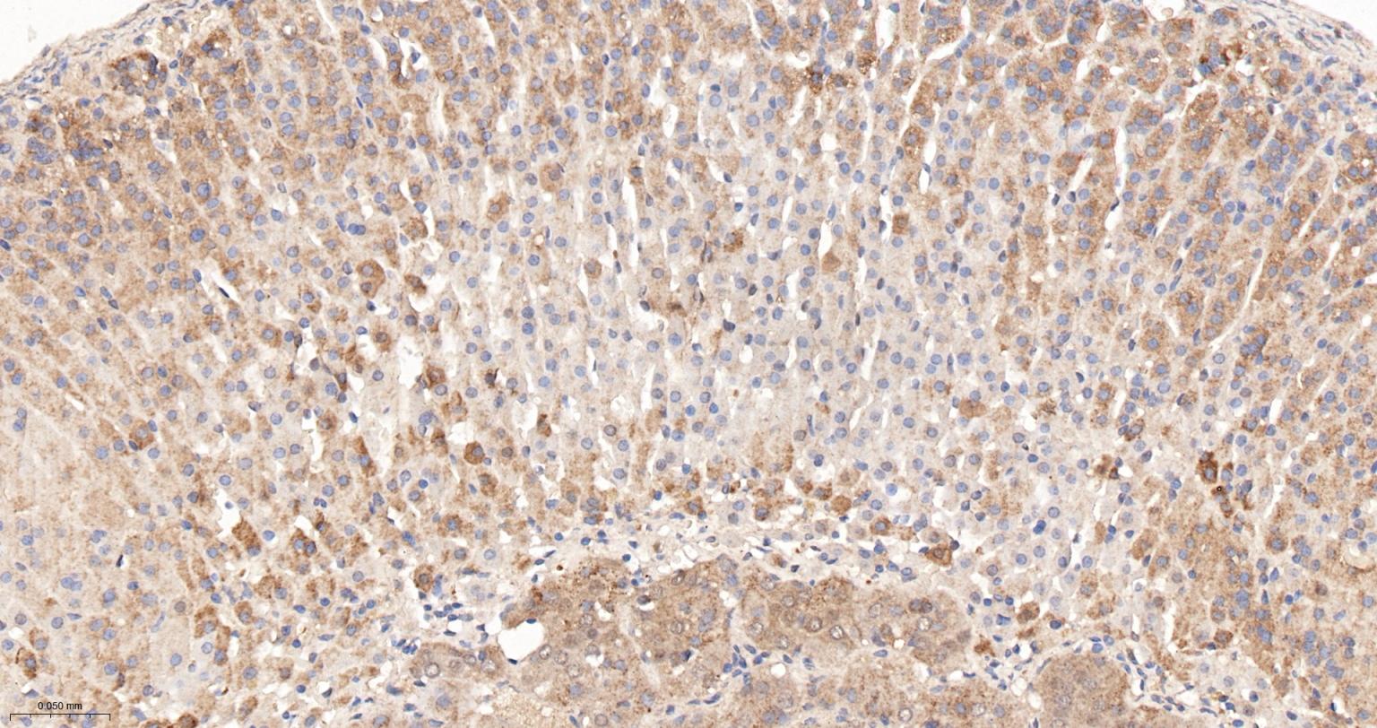
Paraformaldehyde-fixed, paraffin embedded (rat adrenal gland); Antigen retrieval by boiling in sodium citrate buffer (pH6.0) for 15min; Block endogenous peroxidase by 3% hydrogen peroxide for 20 minutes; Blocking buffer (normal goat serum) at 37°C for 30min; Antibody incubation with (SREBP1) Polyclonal Antibody, Unconjugated (bs-1402R) at 1:400 overnight at 4°C, followed by operating according to SP Kit(Rabbit) (sp-0023) instructionsand DAB staining.
Paraformaldehyde-fixed, paraffin embedded (mouse liver); Antigen retrieval by boiling in sodium citrate buffer (pH6.0) for 15min; Block endogenous peroxidase by 3% hydrogen peroxide for 20 minutes; Blocking buffer (normal goat serum) at 37°C for 30min; Antibody incubation with (SREBP1) Polyclonal Antibody, Unconjugated (bs-1402R) at 1:200 overnight at 4°C, followed by operating according to SP Kit(Rabbit) (sp-0023) instructionsand DAB staining.
Paraformaldehyde-fixed, paraffin embedded (rat brain); Antigen retrieval by boiling in sodium citrate buffer (pH6.0) for 15min; Block endogenous peroxidase by 3% hydrogen peroxide for 20 minutes; Blocking buffer (normal goat serum) at 37°C for 30min; Antibody incubation with (SREBP1) Polyclonal Antibody, Unconjugated (bs-1402R) at 1:200 overnight at 4°C, followed by operating according to SP Kit(Rabbit) (sp-0023) instructionsand DAB staining.
Paraformaldehyde-fixed, paraffin embedded (human colon carcinoma); Antigen retrieval by boiling in sodium citrate buffer (pH6.0) for 15min; Block endogenous peroxidase by 3% hydrogen peroxide for 20 minutes; Blocking buffer (normal goat serum) at 37°C for 30min; Antibody incubation with (SREBP-1) Polyclonal Antibody, Unconjugated (bs-1402R) at 1:200 overnight at 4°C, followed by a conjugated secondary (sp-0023) for 20 minutes and DAB staining.
Paraformaldehyde-fixed, paraffin embedded (rat brain); Antigen retrieval by boiling in sodium citrate buffer (pH6.0) for 15min; Block endogenous peroxidase by 3% hydrogen peroxide for 20 minutes; Blocking buffer (normal goat serum) at 37°C for 30min; Antibody incubation with (SREBP-1) Polyclonal Antibody, Unconjugated (bs-1402R) at 1:200 overnight at 4°C, followed by a conjugated secondary (sp-0023) for 20 minutes and DAB staining.
版权所有 2004-2026 www.bioss.com.cn 北京博奥森生物技术有限公司
通过国际质量管理体系ISO 9001:2015 GB/T 19001-2016    证书编号: 00124Q34771R2M/1100
通过国际医疗器械-质量管理体系ISO 13485:2016 GB/T 42061-2022    证书编号: CQC24QY10047R0M/1100
京ICP备05066980号-1         京公网安备110107000727号