扫码关注公众号           扫码咨询技术支持           扫码咨询技术服务
  
客服热线:400-901-9800  客服QQ:4009019800  技术答疑  技术支持  质量反馈  关于我们  联系我们
产品中心-北京博奥森生物技术有限公司
首页 > 产品中心 > 一抗 > 产品信息
E2F4 Rabbit pAb (bs-1399R)  
订购热线:400-901-9800
订购邮箱:sales@bioss.com.cn
订购QQ:  400-901-9800
技术支持:techsupport@bioss.com.cn
50ul/1180.00元
100ul/1980.00元
200ul/2800.00元
大包装/询价

产品编号 bs-1399R
英文名称 E2F4 Rabbit pAb
中文名称 转录因子E2F-4抗体
别    名 E2F-4; E2F4_HUMAN; E2F4;   
Specific References  (1)     |     bs-1399R has been referenced in 1 publications.
[IF=5.722] Zou, Xiaopan. et al. ZMIZ2 promotes the development of triple-receptor negative breast cancer. Cancer Cell Int. 2022 Dec;22(1):1-16  WB ;  Human.  
研究领域 免疫学  转录调节因子  
抗体来源 Rabbit
克隆类型 Polyclonal
克 隆 号
交叉反应 Human,Mouse (predicted: Rat,Pig,Cow,Chicken,Dog,Horse)
产品应用 WB=1:500-2000,IHC-P=1:100-500,IHC-F=1:100-500,IF=1:100-500
not yet tested in other applications.
optimal dilutions/concentrations should be determined by the end user.
理论分子量 44 kDa
细胞定位 细胞核 
性    状 Liquid
浓    度 1mg/ml
免 疫 原 KLH conjugated synthetic peptide derived from human E2F4: 1-150/413 
亚    型 IgG
纯化方法 affinity purified by Protein A
缓 冲 液 0.01M TBS (pH7.4) with 1% BSA, 0.02% Proclin300 and 50% Glycerol.
保存条件 Shipped at 4℃. Store at -20℃ for one year. Avoid repeated freeze/thaw cycles.
注意事项 This product as supplied is intended for research use only, not for use in human, therapeutic or diagnostic applications.
PubMed PubMed
产品介绍 The protein encoded by this gene is a member of the E2F family of transcription factors. The E2F family plays a crucial role in the control of cell cycle and action of tumor suppressor proteins and is also a target of the transforming proteins of small DNA tumor viruses. The E2F proteins contain several evolutionally conserved domains found in most members of the family. These domains include a DNA binding domain, a dimerization domain which determines interaction with the differentiation regulated transcription factor proteins (DP), a transactivation domain enriched in acidic amino acids, and a tumor suppressor protein association domain which is embedded within the transactivation domain. This protein binds to all three of the tumor suppressor proteins pRB, p107 and p130, but with higher affinity to the last two. It plays an important role in the suppression of proliferation-associated genes, and its gene mutation and increased expression may be associated with human cancer. [provided by RefSeq, Jul 2008]

Function:
Transcription activator that binds DNA cooperatively with DP proteins through the E2 recognition site, 5'-TTTC[CG]CGC-3' found in the promoter region of a number of genes whose products are involved in cell cycle regulation or in DNA replication. The DRTF1/E2F complex functions in the control of cell-cycle progression from G1 to S phase. E2F4 binds with high affinity to RBL1 and RBL2. In some instances can also bind RB1.

Subunit:
Component of the DRTF1/E2F transcription factor complex. Binds cooperatively with TFDP1/Dp-1 to E2F sites. The E2F4/TFDP1 dimer interacts preferentially with pocket protein RBL1, which inhibits the E2F transactivation domain. Lower affinity interaction has been found with retinoblastoma protein RB1. Interacts with TRRAP, which probably mediates its interaction with histone acetyltransferase complexes, leading to transcription activation. Interacts with HCFC1. Component of the DREAM complex (also named LINC complex) at least composed of E2F4, E2F5, LIN9, LIN37, LIN52, LIN54, MYBL1, MYBL2, RBL1, RBL2, RBBP4, TFDP1 and TFDP2. The complex exists in quiescent cells where it represses cell cycle-dependent genes. It dissociates in S phase when LIN9, LIN37, LIN52 and LIN54 form a subcomplex that binds to MYBL2. Interacts with PML (isoform PML-1, isoform PML-2, isoform PML-3, isoform PML-4 and isoform PML-5).

Subcellular Location:
Nucleus.

Tissue Specificity:
Found in all tissue examined including heart, brain, placenta, lung, liver, skeletal muscle, kidney and pancreas.

Post-translational modifications:
Differentially phosphorylated in vivo.

Similarity:
Belongs to the E2F/DP family.

SWISS:
Q16254

Gene ID:
1874

Database links:

Entrez Gene: 1874 Human

Entrez Gene: 100360427 Rat

Omim: 600659 Human

SwissProt: Q16254 Human

Unigene: 108371 Human



转录调节因子(Transcriptin Regulators)
产品图片
Sample: Lane 1: Human A431 cell lysates Lane 2: Human 293T cell lysates Lane 3: Human HL-60 cell lysates Lane 4: Human Jurkat cell lysates Primary: Anti-E2F4 (bs-1399R) at 1/1000 dilution Secondary: IRDye800CW Goat Anti-Rabbit IgG at 1/20000 dilution Predicted band size: 44 kDa Observed band size: 59 kDa
CK18 was immunoprecipitated from human hela cells lysate with bs-1399R at 1/150 dilution. Western blot was performed from the immunoprecipitate using protein A/G beads. HRP Conjugated Mouse anti-Rabbit IgG (Light Chain specific) was used as secondary antibody at 1:5000 dilution. Lane 1: human hela cells lysate 10 µg (Input). Lane 2: bs-1399R IP in human hela cells lysate. Lane 3: native rabbit IgG IP in human hela cells lysate (negative control). Secondary All lanes : Mouse anti-Rabbit IgG (Light Chain specific), HRP Conjugated, 1:5000
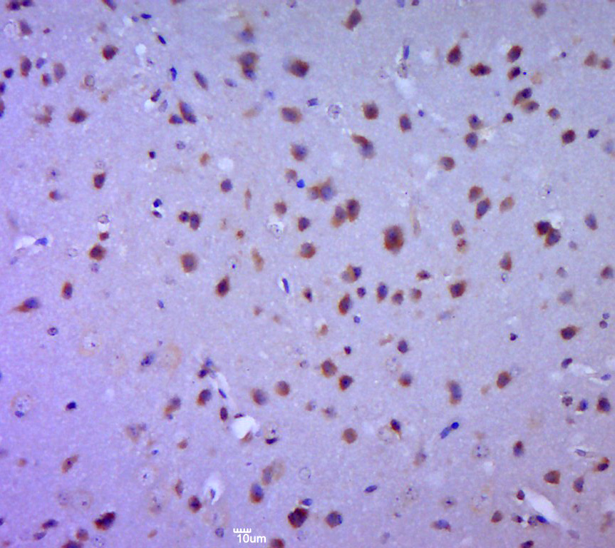
Paraformaldehyde-fixed, paraffin embedded (mouse brain tissue); Antigen retrieval by boiling in sodium citrate buffer (pH6.0) for 15min; Block endogenous peroxidase by 3% hydrogen peroxide for 20 minutes; Blocking buffer (normal goat serum) at 37°C for 30min; Antibody incubation with (E2F4) Polyclonal Antibody, Unconjugated (bs-1399R) at 1:400 overnight at 4°C, followed by a conjugated secondary (sp-0023) for 20 minutes and DAB staining.
版权所有 2004-2026 www.bioss.com.cn 北京博奥森生物技术有限公司
通过国际质量管理体系ISO 9001:2015 GB/T 19001-2016    证书编号: 00124Q34771R2M/1100
通过国际医疗器械-质量管理体系ISO 13485:2016 GB/T 42061-2022     证书编号: CQC24QY20047R0M/1100
京ICP备05066980号-1         京公网安备110107000727号