扫码关注公众号           扫码咨询技术支持           扫码咨询技术服务
  
客服热线:400-901-9800  客服QQ:4009019800  技术答疑  技术支持  质量反馈  人才招聘  关于我们  联系我们
产品中心-北京博奥森生物技术有限公司
首页 > 产品中心 > 一抗 > 产品信息
DAP5 Rabbit pAb (bs-1350R)  
订购热线:400-901-9800
订购邮箱:sales@bioss.com.cn
订购QQ:  400-901-9800
技术支持:techsupport@bioss.com.cn
50ul/1180.00元
100ul/1980.00元
200ul/2800.00元
大包装/询价

产品编号 bs-1350R
英文名称 DAP5 Rabbit pAb
中文名称 死亡相关蛋白5抗体
别    名 AAG1; DAP5; NAT1; P97; DAP-5; E130105L11Rik; Natm1; IF4G2_HUMAN; EIF4G2; eIF-4-gamma 2; eIF-4G 2; eIF4G 2; Death-associated protein 5 (DAP-5); IF4G2_MOUSE; Novel APOBEC-1 target 1; Translation repressor NAT1;   
Specific References  (1)     |     bs-1350R has been referenced in 1 publications.
[IF=1.664] Zhang PF et al. MicroRNA-139 suppresses hepatocellular carcinoma cell proliferation and migration by directly targeting Topoisomerase I. ONCOLOGY LETTERS 17: 1903-1913, 2019  WB ;  Human.  
研究领域 细胞生物  染色质和核信号  细胞凋亡  
抗体来源 Rabbit
克隆类型 Polyclonal
克 隆 号
交叉反应 Rat (predicted: Human,Mouse,Rabbit,Pig,Sheep,Cow,Chicken,Dog,GuineaPig,Horse)
产品应用 IHC-P=1:100-500,IHC-F=1:100-500,IF=1:100-500
not yet tested in other applications.
optimal dilutions/concentrations should be determined by the end user.
理论分子量 102 kDa
细胞定位 细胞浆 
性    状 Liquid
浓    度 1mg/ml
免 疫 原 KLH conjugated synthetic peptide derived from human DAP-5: 41-150/907 
亚    型 IgG
纯化方法 affinity purified by Protein A
缓 冲 液 0.01M TBS (pH7.4) with 1% BSA, 0.02% Proclin300 and 50% Glycerol.
保存条件 Shipped at 4℃. Store at -20℃ for one year. Avoid repeated freeze/thaw cycles.
注意事项 This product as supplied is intended for research use only, not for use in human, therapeutic or diagnostic applications.
PubMed PubMed
产品介绍 Death Associated Protein 5 (DAP5) is a 97 kDa protein with high amino acid sequence homology to Eukaryotic Translation Initiation Factor 4G (eIF4G). Compared with eIF4G, DAP5 lacks the N-terminal region necessary for cap-dependent translation and has a unique C-terminal part functioning as a regulator for interferon-gamma induced cell death. During apoptosis, DAP5 is cleaved at Asp790. The C-terminal truncated form of DAP5 functions as a cap-independent translation initiation factor responsible for the mediation of its own translation during apoptosis.

Subcellular Location:
Cytoplasm.

Tissue Specificity:
Ubiquitous.

SWISS:
P78344

Gene ID:
1982

Database links:

Entrez Gene: 1982 Human

Entrez Gene: 13690 Mouse

Entrez Gene: 361628 Rat

Omim: 602325 Human

SwissProt: P78344 Human

SwissProt: Q62448 Mouse

Unigene: 183684 Human

Unigene: 185453 Mouse

Unigene: 103276 Rat



DAP-5又称p97, 是白细胞转移抑制因子4G (ELF4G)家族成员. DAP-5在各种种系表达广泛并高度保守。
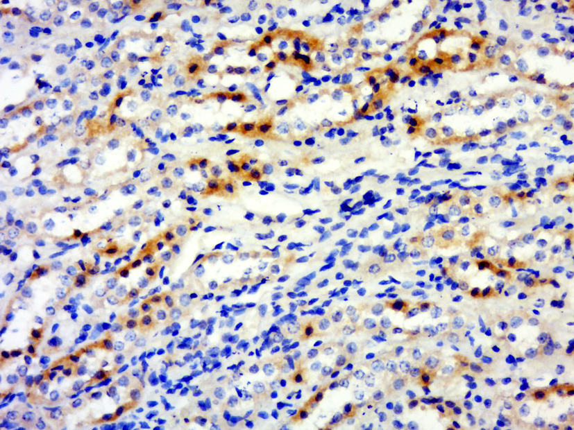
产品图片
Paraformaldehyde-fixed, paraffin embedded (rat kidney); Antigen retrieval by boiling in sodium citrate buffer (pH6.0) for 15min; Block endogenous peroxidase by 3% hydrogen peroxide for 20 minutes; Blocking buffer (normal goat serum) at 37°C for 30min; Antibody incubation with (EIF4G2) Polyclonal Antibody, Unconjugated (bs-1350R) at 1:500 overnight at 4°C, followed by a conjugated secondary (sp-0023) for 20 minutes and DAB staining.
版权所有 2004-2026 www.bioss.com.cn 北京博奥森生物技术有限公司
通过国际质量管理体系ISO 9001:2015 GB/T 19001-2016    证书编号: 00124Q34771R2M/1100
通过国际医疗器械-质量管理体系ISO 13485:2016 GB/T 42061-2022     证书编号: CQC24QY20047R0M/1100
京ICP备05066980号-1         京公网安备110107000727号