扫码关注公众号           扫码咨询技术支持           扫码咨询技术服务
  
客服热线:400-901-9800  客服QQ:4009019800  技术答疑  技术支持  质量反馈  人才招聘  关于我们  联系我们
产品中心-北京博奥森生物技术有限公司
首页 > 产品中心 > 一抗 > 产品信息
FAF1 Rabbit pAb (bs-1348R)  
订购热线:400-901-9800
订购邮箱:sales@bioss.com.cn
订购QQ:  400-901-9800
技术支持:techsupport@bioss.com.cn
50ul/1180.00元
100ul/1980.00元
200ul/2800.00元
大包装/询价

产品编号 bs-1348R
英文名称 FAF1 Rabbit pAb
中文名称 Fas相关1因子抗体
别    名 CGI-03; HFAF1s; UBXD12; UBXN3A; hFAF1; Dffrx; Fam; FAF1_HUMAN; FAF1; UBX domain-containing protein 12; UBX domain-containing protein 3A; FAF1_MOUSE; FAF1_RAT;   
Specific References  (1)     |     bs-1348R has been referenced in 1 publications.
[IF=2.583] He XY et al. C18H17NO6 and Its Combination with Scutellarin Suppress the Proliferation and Induce the Apoptosis of Human Glioma Cells via Upregulation of Fas-Associated Factor 1 Expression. BioMed Research International.2019.  WB ;  Human.  
研究领域 细胞生物  免疫学  
抗体来源 Rabbit
克隆类型 Polyclonal
克 隆 号
交叉反应 Rat (predicted: Human,Mouse,Rabbit,Cow,Chicken,Dog)
产品应用 IHC-P=1:100-500,IHC-F=1:100-500,IF=1:100-500
not yet tested in other applications.
optimal dilutions/concentrations should be determined by the end user.
理论分子量 74 kDa
细胞定位 细胞核 
性    状 Liquid
浓    度 1mg/ml
免 疫 原 KLH conjugated synthetic peptide derived from human FAF1: 551-650/650 
亚    型 IgG
纯化方法 affinity purified by Protein A
缓 冲 液 0.01M TBS (pH7.4) with 1% BSA, 0.02% Proclin300 and 50% Glycerol.
保存条件 Shipped at 4℃. Store at -20℃ for one year. Avoid repeated freeze/thaw cycles.
注意事项 This product as supplied is intended for research use only, not for use in human, therapeutic or diagnostic applications.
PubMed PubMed
产品介绍 FAF1 (Fas-associated protein factor 1) specifically interacts with the cytoplasmic domain of wild type, but not mutated, Fas in both yeast and mammalian cells. It is transiently expressed in T cells and potentiates Fas-induced apoptosis. FAF1 lacks a DDH (Death domain homologous region), in contrast to TRADD, FADD, and RIP, and cannot induce apoptosis independent of Fas activation. Fas associated factor 1; CGI ; FAF1 protein; Fas (TNFRSF6) associated factor 1; FAS associated factor 1; FLJ37524; hFAF1; HFAF1s; Protein FAF1; TNFRSF6 associated factor 1.

Function:
Potentiates but cannot initiate FAS-induced apoptosis.

Subunit:
Specifically interacts with the cytoplasmic domain of FAS. Interacts with NLRP12 DAPIN/PYRIN domain via its UBA domain.

Subcellular Location:
Nucleus.

Tissue Specificity:
Most abundant in testis, slightly less abundant in skeletal muscle and heart, followed by prostate, thymus, ovary, small intestine, and colon. Not detected in the peripheral blood leukocytes.

Similarity:
Contains 1 UBA domain.
Contains 1 UBX domain.

SWISS:
Q9UNN5

Gene ID:
11124

Database links:

Entrez Gene: 11124 Human

Entrez Gene: 14084 Mouse

Entrez Gene: 140657 Rat

Omim: 604460 Human

SwissProt: Q9UNN5 Human

SwissProt: P54731 Mouse

SwissProt: Q924K2 Rat

Unigene: 530402 Human

Unigene: 318259 Mouse

Unigene: 198288 Rat



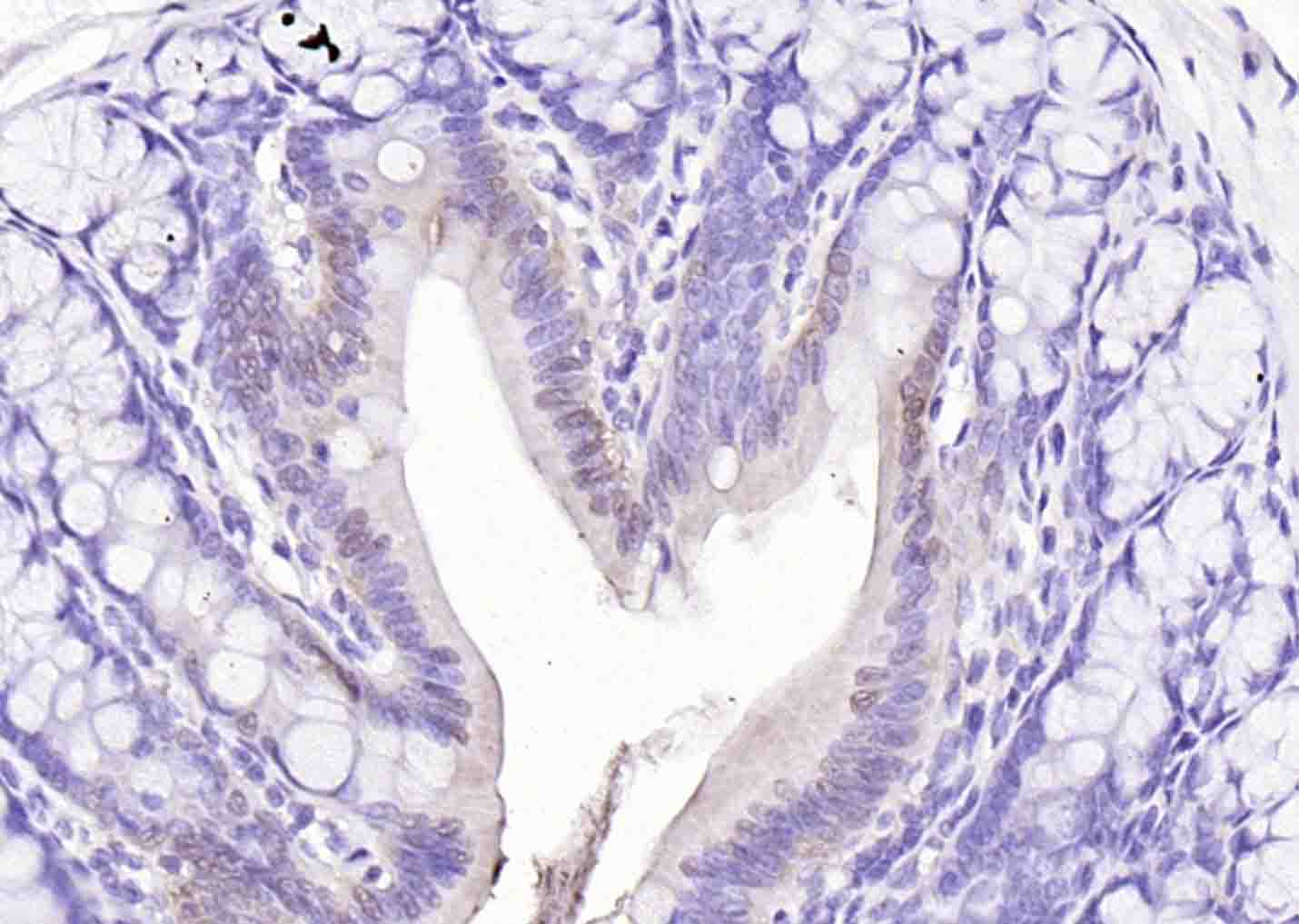
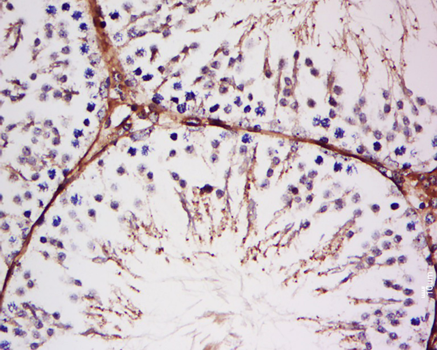
产品图片
Paraformaldehyde-fixed, paraffin embedded (rat colon); Antigen retrieval by boiling in sodium citrate buffer (pH6.0) for 15min; Block endogenous peroxidase by 3% hydrogen peroxide for 20 minutes; Blocking buffer (normal goat serum) at 37°C for 30min; Antibody incubation with (FAF1) Polyclonal Antibody, Unconjugated (bs-1348R) at 1:200 overnight at 4°C, followed by operating according to SP Kit(Rabbit) (sp-0023) instructionsand DAB staining.
Tissue/cell: Rat testis tissue; 4% Paraformaldehyde-fixed and paraffin-embedded; Antigen retrieval: citrate buffer ( 0.01M, pH 6.0 ), Boiling bathing for 15min; Block endogenous peroxidase by 3% Hydrogen peroxide for 30min; Blocking buffer (normal goat serum,C-0005) at 37℃ for 20 min; Incubation: Anti-FAF1 Polyclonal Antibody, Unconjugated(bs-1348R) 1:200, overnight at 4°C, followed by conjugation to the secondary antibody(SP-0023) and DAB(C-0010) staining
版权所有 2004-2026 www.bioss.com.cn 北京博奥森生物技术有限公司
通过国际质量管理体系ISO 9001:2015 GB/T 19001-2016    证书编号: 00124Q34771R2M/1100
通过国际医疗器械-质量管理体系ISO 13485:2016 GB/T 42061-2022     证书编号: CQC24QY20047R0M/1100
京ICP备05066980号-1         京公网安备110107000727号