扫码关注公众号           扫码咨询技术支持           扫码咨询技术服务
  
客服热线:400-901-9800  客服QQ:4009019800  技术答疑  技术支持  质量反馈  人才招聘  关于我们  联系我们
产品中心-北京博奥森生物技术有限公司
首页 > 产品中心 > 一抗 > 产品信息
Ezrin/Radixin Rabbit pAb (bs-1343R)  
订购热线:400-901-9800
订购邮箱:sales@bioss.com.cn
订购QQ:  400-901-9800
技术支持:techsupport@bioss.com.cn
50ul/1180.00元
100ul/1980.00元
200ul/2800.00元
大包装/询价

产品编号 bs-1343R
英文名称 Ezrin/Radixin Rabbit pAb
中文名称 埃兹蛋白抗体
别    名 VIL2; CVIL; CVL; HEL-S-105; p81; EZRI_BOVIN; EZR; Cytovillin; Villin-2; EZRI_HUMAN; EZRI_MOUSE;   
Specific References  (1)     |     bs-1343R has been referenced in 1 publications.
[IF=2.55] Zhao, Ran, et al. "Hepatoma cell line HepG2. 2.15 demonstrates distinct biological features compared with parental HepG2." World journal of gastroenterology: WJG 17.9 (2011): 1152.  WB ;  Human.  
研究领域 肿瘤  信号转导  
抗体来源 Rabbit
克隆类型 Polyclonal
克 隆 号
交叉反应 Human,Rat (predicted: Mouse,Rabbit,Pig,Cow,Dog,GuineaPig,Horse)
产品应用 IHC-P=1:100-500,IHC-F=1:100-500,IF=1:100-500,Flow-Cyt=1μg/Test
not yet tested in other applications.
optimal dilutions/concentrations should be determined by the end user.
理论分子量 69 kDa
细胞定位 细胞浆 细胞膜 
性    状 Liquid
浓    度 1mg/ml
免 疫 原 KLH conjugated synthetic peptide derived from human Ezrin: 455-586/586 
亚    型 IgG
纯化方法 affinity purified by Protein A
缓 冲 液 0.01M TBS (pH7.4) with 1% BSA, 0.02% Proclin300 and 50% Glycerol.
保存条件 Shipped at 4℃. Store at -20℃ for one year. Avoid repeated freeze/thaw cycles.
注意事项 This product as supplied is intended for research use only, not for use in human, therapeutic or diagnostic applications.
PubMed PubMed
产品介绍 The cytoplasmic peripheral membrane protein encoded by this gene functions as a protein-tyrosine kinase substrate in microvilli. As a member of the ERM protein family, this protein serves as an intermediate between the plasma membrane and the actin cytoskeleton. This protein plays a key role in cell surface structure adhesion, migration and organization, and it has been implicated in various human cancers. A pseudogene located on chromosome 3 has been identified for this gene. Alternatively spliced variants have also been described for this gene.

Function:
Probably involved in connections of major cytoskeletal structures to the plasma membrane. In epithelial cells, required for the formation of microvilli and membrane ruffles on the apical pole. Along with PLEKHG6, required for normal macropinocytosis.

Subunit:
Interacts with MPP5 and SLC9A3R2. Found in a complex with EZR, PODXL and SLC9A3R2 (By similarity). Interacts with MCC, PLEKHG6, PODXL, SCYL3/PACE1, SLC9A3R1 and TMEM8B. Interacts (when phosphorylated) with FES/FPS.

Subcellular Location:
Apical cell membrane; Peripheral membrane protein; Cytoplasmic side. Cell projection. Cell projection, microvillus membrane; Peripheral membrane protein; Cytoplasmic side. Cell projection, ruffle membrane; Peripheral membrane protein; Cytoplasmic side. Cytoplasm, cell cortex. Cytoplasm, cytoskeleton. Note=Localization to the apical membrane of parietal cells depends on the interaction with MPP5. Localizes to cell extensions and peripheral processes of astrocytes. Microvillar peripheral membrane protein (cytoplasmic side).

Tissue Specificity:
Expressed in cerebral cortex, basal ganglia, hippocampus, hypophysis, and optic nerve. Weakly expressed in brain stem and diencephalon. Stronger expression was detected in gray matter of frontal lobe compared to white matter (at protein level). Component of the microvilli of intestinal epithelial cells. Preferentially expressed in astrocytes of hippocampus, frontal cortex, thalamus, parahippocampal cortex, amygdala, insula, and corpus callosum. Not detected in neurons in most tissues studied.

Post-translational modifications:
Phosphorylated by tyrosine-protein kinases. Phosphorylation by ROCK2 suppresses the head-to-tail association of the N-terminal and C-terminal halves resulting in an opened conformation which is capable of actin and membrane-bindin.

Similarity:
Contains 1 FERM domain.

SWISS:
P15311

Gene ID:
7430

Database links:

Entrez Gene: 281574 Cow

Entrez Gene: 7430 Human

Entrez Gene: 22350 Mouse

Entrez Gene: 54319 Rat

Omim: 123900 Human

SwissProt: P31976 Cow

SwissProt: P15311 Human

SwissProt: P26040 Mouse



信号传导(Signaling Intermediates)
目前研究发现Ezrin蛋白与维持细胞的形状、极性、生长运动以及信号转导方面发挥重要作用,该蛋白与肿瘤的侵袭、转移有关。Erzin是埃兹蛋白(Ezrin)、根蛋白(Radxin)、膜突蛋白(Moesin)(ERM)家族成员,是一种位于细胞表面受体,黏附分子和肌动蛋白细胞骨架间的连接蛋白。Ezrin活性由N端和C端ERM缔合结构域间的分子内相互作用所调节。ERM家族在上皮细胞瘤中表达,它们可能在癌变过程中扮演重要角色。
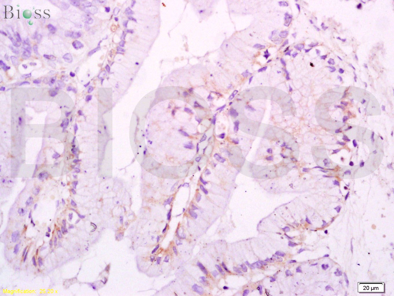
产品图片
Tissue/cell: human endometrium carcinoma; 4% Paraformaldehyde-fixed and paraffin-embedded; Antigen retrieval: citrate buffer ( 0.01M, pH 6.0 ), Boiling bathing for 15min; Block endogenous peroxidase by 3% Hydrogen peroxide for 30min; Blocking buffer (normal goat serum,C-0005) at 37℃ for 20 min; Incubation: Anti-Ezrin Polyclonal Antibody, Unconjugated(bs-1343R) 1:400, overnight at 4°C, followed by conjugation to the secondary antibody(SP-0023) and DAB(C-0010) staining
Blank control: RSC96(blue), the cells were fixed with 2% paraformaldehyde (10 min) and then permeabilized with ice-cold 90% methanol for 30 min on ice.. Isotype Control Antibody: Rabbit IgG(orange) ; Secondary Antibody: Goat anti-rabbit IgG-FITC(white blue), Dilution: 1:100 in 1 X PBS containing 0.5% BSA ; Primary Antibody Dilution: 1μg in 100 μL1X PBS containing 0.5% BSA(green).
版权所有 2004-2026 www.bioss.com.cn 北京博奥森生物技术有限公司
通过国际质量管理体系ISO 9001:2015 GB/T 19001-2016    证书编号: 00124Q34771R2M/1100
通过国际医疗器械-质量管理体系ISO 13485:2016 GB/T 42061-2022     证书编号: CQC24QY20047R0M/1100
京ICP备05066980号-1         京公网安备110107000727号