扫码关注公众号           扫码咨询技术支持           扫码咨询技术服务
  
客服热线:400-901-9800  客服QQ:4009019800  技术答疑  技术支持  质量反馈  人才招聘  关于我们  联系我们
产品中心-北京博奥森生物技术有限公司
首页 > 产品中心 > 一抗 > 产品信息
Tenascin C Rabbit pAb (bs-1327R)  
订购热线:400-901-9800
订购邮箱:sales@bioss.com.cn
订购QQ:  400-901-9800
技术支持:techsupport@bioss.com.cn
50ul/1180.00元
100ul/1980.00元
200ul/2800.00元
大包装/询价

产品编号 bs-1327R
英文名称 Tenascin C Rabbit pAb
中文名称 细胞粘合素/腱糖蛋白-C/固生蛋白抗体
别    名 150-225; DFNA56; GMEM; GP; HXB; JI; TN; TN-C; C130033P17Rik; Ten; cytotactin; tenascin-C; TENA_HUMAN; TNC; GP 150-225; Glioma-associated-extracellular matrix antigen; Hexabrachion; Myotendinous antigen; Neuronectin; Tenascin-C (TN-C); TENA_MOUSE; B2LYI9_RAT; tenascin C; hexabrachion (tenascin C, cytotactin); deafness, autosomal dominant 56; hexabrachion (tenascin)  
Specific References  (4)     |     bs-1327R has been referenced in 4 publications.
[IF=2.813] Lu, Kang. et al. N-Acetyl-L-cysteine facilitates tendon repair and promotes the tenogenic differentiation of tendon stem/progenitor cells by enhancing the integrin α5/β1/PI3K/AKT signaling. BMC MOL CELL BIOL. 2023 Dec;24(1):1-13  IF ;  Rat.  
[IF=2.566] Yang Z et al. Tenascin-C is involved in promotion of cancer stemness via the Akt/HIF1ɑ axis in esophageal squamous cell carcinoma.Exp Mol Pathol. 2019 Mar 20.  WB ;  Human.  
[IF=2.45] Kau, S., et al. "S100A4 (metastasin) positive mesenchymal canine mammary tumour spheroids reduce Tenascin C synthesis under DMSO exposure in vitro." Veterinary and Comparative Oncology (2017).  IHC ;  Dog.  
[IF=0.971] Yang et al. Isolation and biological characterization of tendon-derived stem cells from fetal bovine. (2016) In.Vitro.Cell.Dev.Biol.Ani. 52:846-56  IF(ICC) ;  Rat.  
研究领域 细胞生物  免疫学  神经生物学  
抗体来源 Rabbit
克隆类型 Polyclonal
交叉反应 Mouse,Rat (predicted: Human,Rabbit,Pig,Cow,Chicken,Dog)
产品应用 IHC-P=1:100-500,IHC-F=1:100-500,IF=1:100-500
not yet tested in other applications.
optimal dilutions/concentrations should be determined by the end user.
理论分子量 230kDa
细胞定位 细胞外基质 
性    状 Liquid
浓    度 1mg/ml
免 疫 原 KLH conjugated synthetic peptide derived from human Tenascin C: 2101-2201/2201 
亚    型 IgG
纯化方法 affinity purified by Protein A
缓 冲 液 0.01M TBS (pH7.4) with 1% BSA, 0.02% Proclin300 and 50% Glycerol.
保存条件 Shipped at 4℃. Store at -20℃ for one year. Avoid repeated freeze/thaw cycles.
注意事项 This product as supplied is intended for research use only, not for use in human, therapeutic or diagnostic applications.
PubMed PubMed
产品介绍 This gene encodes an extracellular matrix protein with a spatially and temporally restricted tissue distribution. This protein is homohexameric with disulfide-linked subunits, and contains multiple EGF-like and fibronectin type-III domains. It is implicated in guidance of migrating neurons as well as axons during development, synaptic plasticity, and neuronal regeneration. [provided by RefSeq, Jul 2011]

Function:
Extracellular matrix protein implicated in guidance of migrating neurons as well as axons during development, synaptic plasticity as well as neuronal regeneration. Promotes neurite outgrowth from cortical neurons grown on a monolayer of astrocytes. Ligand for integrins alpha-8/beta-1, alpha-9/beta-1, alpha-V/beta-3 and alpha-V/beta-6.

Subunit:
Homohexamer; disulfide-linked. A homotrimer may be formed in the triple coiled-coil region and may be stabilized by disulfide rings at both ends. Two of such half-hexabrachions may be disulfide linked within the central globule. Interacts with CSPG4.

Subcellular Location:
Secreted, extracellular space, extracellular matrix.

Similarity:
Belongs to the tenascin family.
Contains 15 EGF-like domains.
Contains 1 fibrinogen C-terminal domain.
Contains 15 fibronectin type-III domains.

SWISS:
P24821

Gene ID:
3371

Database links:

Entrez Gene: 3371 Human

Entrez Gene: 21923 Mouse

Entrez Gene: 116640 Rat

Omim: 187380 Human

SwissProt: P24821 Human

SwissProt: Q80YX1 Mouse

SwissProt: B2LYI9 Rat

Unigene: 143250 Human

Unigene: 454219 Mouse

Unigene: 980 Mouse

Unigene: 12723 Rat



产品图片
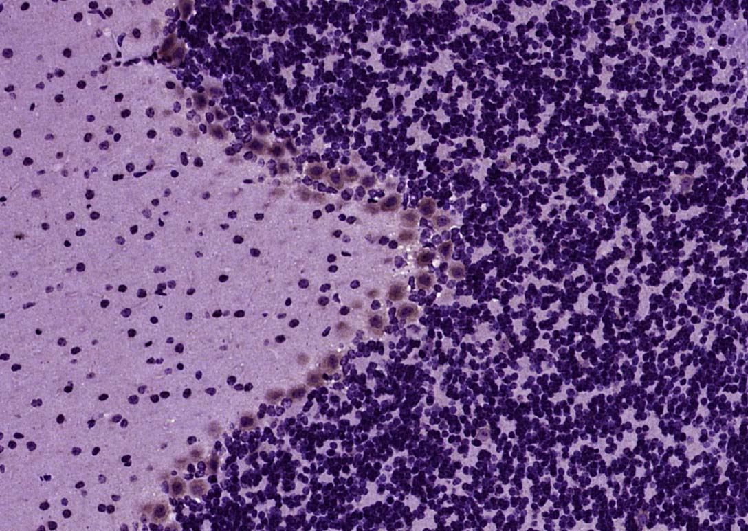
Paraformaldehyde-fixed, paraffin embedded (Mouse cerebellum); Antigen retrieval by boiling in sodium citrate buffer (pH6.0) for 15min; Block endogenous peroxidase by 3% hydrogen peroxide for 20 minutes; Blocking buffer (normal goat serum) at 37°C for 30min; Antibody incubation with (Tenascin C) Polyclonal Antibody, Unconjugated (bs-1327R) at 1:400 overnight at 4°C, followed by operating according to SP Kit(Rabbit) (sp-0023) instructionsand DAB staining.
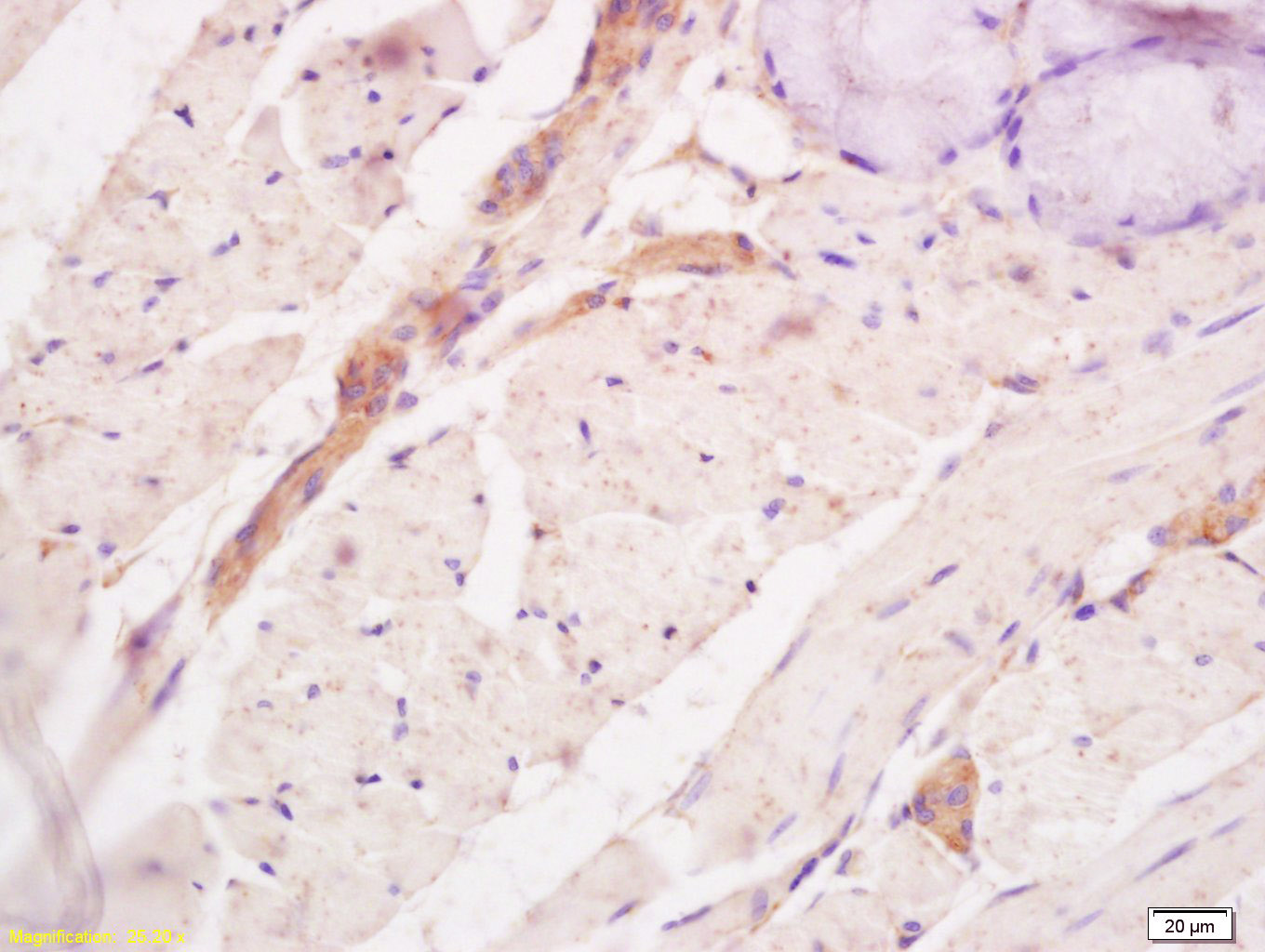
Tissue/cell: rat tongue tissue; 4% Paraformaldehyde-fixed and paraffin-embedded; Antigen retrieval: citrate buffer ( 0.01M, pH 6.0 ), Boiling bathing for 15min; Block endogenous peroxidase by 3% Hydrogen peroxide for 30min; Blocking buffer (normal goat serum,C-0005) at 37℃ for 20 min; Incubation: Anti-Tenascin C(C terminal) Polyclonal Antibody, Unconjugated(bs-1327R) 1:200, overnight at 4°C, followed by conjugation to the secondary antibody(SP-0023) and DAB(C-0010) staining
版权所有 2004-2026 www.bioss.com.cn 北京博奥森生物技术有限公司
通过国际质量管理体系ISO 9001:2015 GB/T 19001-2016    证书编号: 00124Q34771R2M/1100
通过国际医疗器械-质量管理体系ISO 13485:2016 GB/T 42061-2022     证书编号: CQC24QY20047R0M/1100
京ICP备05066980号-1         京公网安备110107000727号