扫码关注公众号           扫码咨询技术支持           扫码咨询技术服务
  
客服热线:400-901-9800  客服QQ:4009019800  技术答疑  技术支持  质量反馈  人才招聘  关于我们  联系我们
产品中心-北京博奥森生物技术有限公司
首页 > 产品中心 > 一抗 > 产品信息
Parvalbumin Rabbit pAb (bs-1299R)  
订购热线:400-901-9800
订购邮箱:sales@bioss.com.cn
订购QQ:  400-901-9800
技术支持:techsupport@bioss.com.cn
50ul/1180.00元
100ul/1980.00元
200ul/2800.00元
大包装/询价

产品编号 bs-1299R
英文名称 Parvalbumin Rabbit pAb
中文名称 细小清蛋白抗体
别    名 pvalb1; ATH; OCM2; D22S749; PV; Parv; Pva; PALB1; PRVA_HUMAN; PVALB; Alpha-parvalbumin (Alpha-PV); PRVA_MOUSE; PRVA_RAT; parvalbumin; parvalbumin alpha  
Specific References  (2)     |     bs-1299R has been referenced in 2 publications.
[IF=2.21] Qi et al. Interaction of basolateral amygdala, ventral hippocampus and medial prefrontal cortex regulates the consolidation and extinction of social fear. (2018) Behav.Brain.Funct. 14:7  other ;  Mouse.  
[IF=1.68] Chen J et al. Morphology of Inner Retina in Rhesus Monkeys of Various Ages: A Comparative Study.J Ophthalmol. 2019 Mar 3;2019:7089342.  IF ;  Monkey.  
研究领域 神经生物学  
抗体来源 Rabbit
克隆类型 Polyclonal
交叉反应 Mouse,Rat (predicted: Human,Pig,Cow,Chicken,Horse)
产品应用 WB=1:500-2000,IHC-P=1:100-500,IHC-F=1:100-500,IF=1:100-500
not yet tested in other applications.
optimal dilutions/concentrations should be determined by the end user.
理论分子量 12kDa
检测分子量 10
细胞定位 细胞核 细胞外基质 
性    状 Liquid
浓    度 1mg/ml
免 疫 原 KLH conjugated synthetic peptide derived from human Parvalbumin: 7-110/110 
亚    型 IgG
纯化方法 affinity purified by Protein A
缓 冲 液 0.01M TBS (pH7.4) with 1% BSA, 0.02% Proclin300 and 50% Glycerol.
保存条件 Shipped at 4℃. Store at -20℃ for one year. Avoid repeated freeze/thaw cycles.
注意事项 This product as supplied is intended for research use only, not for use in human, therapeutic or diagnostic applications.
PubMed PubMed
产品介绍 The protein encoded by this gene is a high affinity calcium ion-binding protein that is structurally and functionally similar to calmodulin and troponin C. The encoded protein is thought to be involved in muscle relaxation. Belongs to the parvalbumin family. Contains 2 EF-hand domains. This protein binds two calcium ions.

Function:
In muscle, parvalbumin is thought to be involved in relaxation after contraction. It binds two calcium ions.

Similarity:
Belongs to the parvalbumin family.
Contains 2 EF-hand domains.

SWISS:
P20472

Gene ID:
5816

Database links:

Entrez Gene: 396459 Chicken

Entrez Gene: 396531 Chicken

Entrez Gene: 5816 Human

Entrez Gene: 19293 Mouse

Entrez Gene: 25269 Rat

Omim: 168890 Human

SwissProt: P20472 Human

SwissProt: P32848 Mouse

SwissProt: P02625 Rat

Unigene: 295449 Human

Unigene: 2766 Mouse

Unigene: 2005 Rat



(Parvalbumin, PV)细小白蛋白属于钙结合蛋白家族,是一种细胞内可溶的小结合蛋白,过去曾认为,仅出现在哺乳动物某些肌纤维内,它与Ca2+有高度亲合力,与钙调蛋白竞争自由Ca2+,故可阻止肌浆内的Ca2+增高,可抗衡细胞内钙过量的发生。
产品图片
Sample: Lane 1: Mouse Kidney tissue lysates Lane 2: Rat Kidney tissue lysates Primary: Anti-Parvalbumin (bs-1299R) at 1/1000 dilution Secondary: IRDye800CW Goat Anti-Rabbit IgG at 1/20000 dilution Predicted band size: 12 kDa Observed band size: 10 kDa
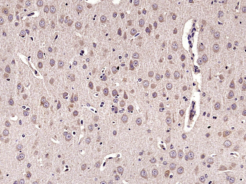
Paraformaldehyde-fixed, paraffin embedded (Rat brain); Antigen retrieval by microwave in sodium citrate buffer (pH6.0) ; Block endogenous peroxidase by 3% hydrogen peroxide for 30 minutes; Blocking buffer (3% BSA) at RT for 30min; Antibody incubation with (Parvalbumin) Polyclonal Antibody, Unconjugated (bs-1299R) at 1:400 overnight at 4℃, followed by conjugation to the secondary antibody (labeled with HRP)and DAB staining.
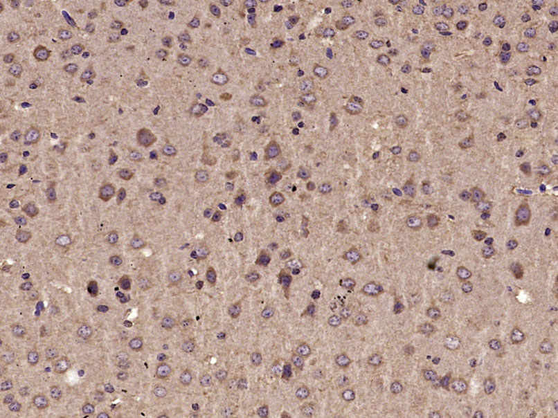
Paraformaldehyde-fixed, paraffin embedded (Mouse brain); Antigen retrieval by microwave in sodium citrate buffer (pH6.0) ; Block endogenous peroxidase by 3% hydrogen peroxide for 30 minutes; Blocking buffer (3% BSA) at RT for 30min; Antibody incubation with (Parvalbumin) Polyclonal Antibody, Unconjugated (bs-1299R) at 1:400 overnight at 4℃, followed by conjugation to the secondary antibody (labeled with HRP)and DAB staining.
版权所有 2004-2026 www.bioss.com.cn 北京博奥森生物技术有限公司
通过国际质量管理体系ISO 9001:2015 GB/T 19001-2016    证书编号: 00124Q34771R2M/1100
通过国际医疗器械-质量管理体系ISO 13485:2016 GB/T 42061-2022     证书编号: CQC24QY20047R0M/1100
京ICP备05066980号-1         京公网安备110107000727号