扫码关注公众号           扫码咨询技术支持           扫码咨询技术服务
  
客服热线:400-901-9800  客服QQ:4009019800  技术答疑  技术支持  质量反馈  关于我们  联系我们
产品中心-北京博奥森生物技术有限公司
首页 > 产品中心 > 一抗 > 产品信息
FGF5 Rabbit pAb (bs-1257R)  
订购热线:400-901-9800
订购邮箱:sales@bioss.com.cn
订购QQ:  400-901-9800
技术支持:techsupport@bioss.com.cn
50ul/1180.00元
100ul/1980.00元
200ul/2800.00元
大包装/询价

产品编号 bs-1257R
英文名称 FGF5 Rabbit pAb
中文名称 纤维母细胞生长因子5抗体
别    名 HBGF-5; Smag-82; TCMGLY; FGF5_HUMAN; FGF5; FGF-5; Heparin-binding growth factor 5 (HBGF-5);   
Specific References  (1)     |     bs-1257R has been referenced in 1 publications.
[IF=4.141] Hongyu Wang. et al. Recombinant Oil-Body-Expressed Oleosin-hFGF5 in Arabidopsis thaliana Regulates Hair Growth. GENES-BASEL. 2023 Jan;14(1):21  WB ;  Mouse.  
研究领域 肿瘤  免疫学  转录调节因子  
抗体来源 Rabbit
克隆类型 Polyclonal
克 隆 号
交叉反应 Human,Mouse,Rat (predicted: Cow,Chicken,Dog)
产品应用 IHC-P=1:100-500,IHC-F=1:100-500,IF=1:100-500
not yet tested in other applications.
optimal dilutions/concentrations should be determined by the end user.
理论分子量 29 kDa
细胞定位 分泌型蛋白 
性    状 Liquid
浓    度 1mg/ml
免 疫 原 KLH conjugated synthetic peptide derived from human FGF5: 151-268/268 
亚    型 IgG
纯化方法 affinity purified by Protein A
缓 冲 液 0.01M TBS (pH7.4) with 1% BSA, 0.02% Proclin300 and 50% Glycerol.
保存条件 Shipped at 4℃. Store at -20℃ for one year. Avoid repeated freeze/thaw cycles.
注意事项 This product as supplied is intended for research use only, not for use in human, therapeutic or diagnostic applications.
PubMed PubMed
产品介绍 The protein encoded by this gene is a member of the fibroblast growth factor (FGF) family. FGF family members possess broad mitogenic and cell survival activities, and are involved in a variety of biological processes, including embryonic development, cell growth, morphogenesis, tissue repair, tumor growth and invasion. This gene was identified as an oncogene, which confers transforming potential when transfected into mammalian cells. Targeted disruption of the homolog of this gene in mouse resulted in the phenotype of abnormally long hair, which suggested a function as an inhibitor of hair elongation. Alternatively spliced transcript variants encoding different isoforms have been identified. [provided by RefSeq].

Function:
Functions as an inhibitor of hair elongation by promoting progression from anagen, the growth phase of the hair follicle, into catagen the apoptosis-induced regression phase.

Subunit:
Interacts with FGFR1 and FGFR2. Affinity between fibroblast growth factors (FGFs) and their receptors is increased by heparan sulfate glycosaminoglycans that function as coreceptors.

Subcellular Location:
Secreted.

Tissue Specificity:
Expressed in neonatal brain.

Similarity:
Belongs to the heparin-binding growth factors family.

SWISS:
P12034

Gene ID:
2250

Database links:

Entrez Gene: 2250 Human

Omim: 165190 Human

SwissProt: P12034 Human

Unigene: 37055 Human



FGF5是FGF家族的成员,有诱导癌变转化作用。FGF家族参与一系列的生理功能:胚胎发育、细胞生长、器官形成、组织修复、肿瘤生长和侵袭。
产品图片
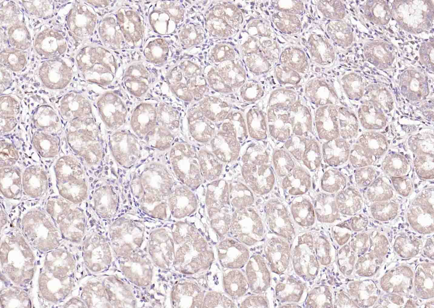
Paraformaldehyde-fixed, paraffin embedded (human stomach); Antigen retrieval by boiling in sodium citrate buffer (pH6.0) for 15min; Block endogenous peroxidase by 3% hydrogen peroxide for 20 minutes; Blocking buffer (normal goat serum) at 37°C for 30min; Incubation with (FGF5) Polyclonal Antibody, Unconjugated (bs-1257R) at 1:200 overnight at 4°C, followed by operating according to SP Kit(Rabbit) (sp-0023) instructionsand DAB staining.
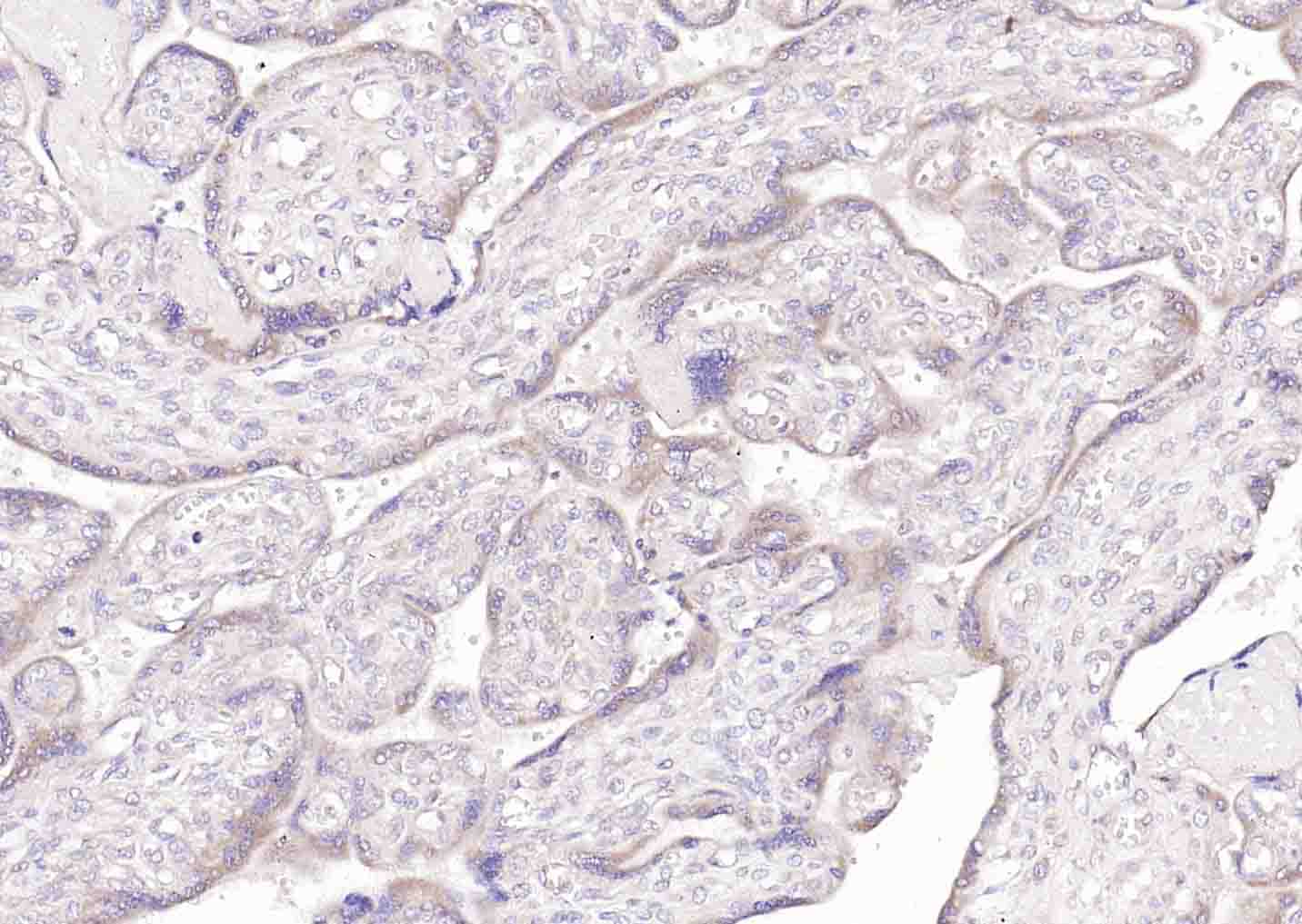
Paraformaldehyde-fixed, paraffin embedded (human placenta); Antigen retrieval by boiling in sodium citrate buffer (pH6.0) for 15min; Block endogenous peroxidase by 3% hydrogen peroxide for 20 minutes; Blocking buffer (normal goat serum) at 37°C for 30min; Incubation with (FGF5) Polyclonal Antibody, Unconjugated (bs-1257R) at 1:200 overnight at 4°C, followed by operating according to SP Kit(Rabbit) (sp-0023) instructionsand DAB staining.
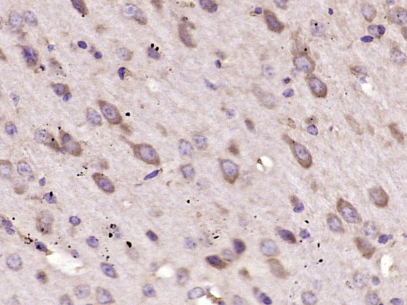
Paraformaldehyde-fixed, paraffin embedded (rat brain tissue); Antigen retrieval by microwave in sodium citratebuffer (pH6.0) ; Block endogenous peroxidase by 3% hydrogen peroxide for 30 minutes; Blocking buffer (3%BSA) at RTfor 30min; Antibody incubation with (FGF5) Polyclonal/MonoclonalAntibody, Unconjugated (bs-1257R) at 1:400 overnight at 4℃,followed by conjugation to the secondary antibody (labeled with HRP)and DAB staining.
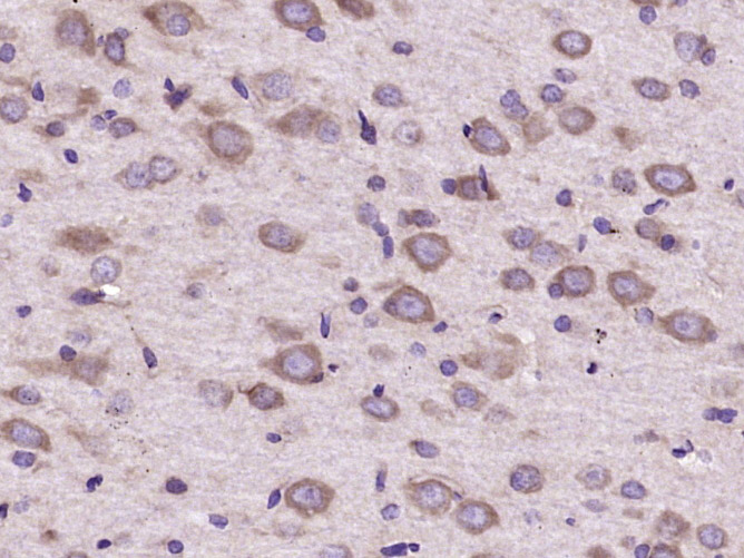
Paraformaldehyde-fixed, paraffin embedded (mouse brain tissue); Antigen retrieval by microwave in sodium citratebuffer (pH6.0) ; Block endogenous peroxidase by 3% hydrogen peroxide for 30 minutes; Blocking buffer (3%BSA) at RTfor 30min; Antibody incubation with (FGF5) Polyclonal/MonoclonalAntibody, Unconjugated (bs-1257R) at 1:400 overnight at 4℃,followed by conjugation to the secondary antibody (labeled with HRP)and DAB staining.
版权所有 2004-2026 www.bioss.com.cn 北京博奥森生物技术有限公司
通过国际质量管理体系ISO 9001:2015 GB/T 19001-2016    证书编号: 00124Q34771R2M/1100
通过国际医疗器械-质量管理体系ISO 13485:2016 GB/T 42061-2022     证书编号: CQC24QY20047R0M/1100
京ICP备05066980号-1         京公网安备110107000727号