扫码关注公众号           扫码咨询技术支持           扫码咨询技术服务
  
客服热线:400-901-9800  客服QQ:4009019800  技术答疑  技术支持  质量反馈  人才招聘  关于我们  联系我们
产品中心-北京博奥森生物技术有限公司
首页 > 产品中心 > 一抗 > 产品信息
SOCS2 Rabbit pAb (bs-1896R)  
订购热线:400-901-9800
订购邮箱:sales@bioss.com.cn
订购QQ:  400-901-9800
技术支持:techsupport@bioss.com.cn
50ul/1180.00元
100ul/1980.00元
200ul/2800.00元
大包装/询价

产品编号 bs-1896R
英文名称 SOCS2 Rabbit pAb
中文名称 细胞因子信号传导抑制蛋白2抗体
别    名 CIS2; Cish2; SOCS-2; SSI-2; SSI2; STATI2; 8030460M17; D130043N08Rik; JAB; hg; SOCS2_HUMAN; SOCS2; Cytokine-inducible SH2 protein 2 (CIS-2); STAT-induced STAT inhibitor 2 (SSI-2); SOCS2_MOUSE; SOCS2_RAT; Cytokine-inducible SH2 protein 2;   
Specific References  (4)     |     bs-1896R has been referenced in 4 publications.
[IF=5.08] Letellier, E., et al. "Identification of SOCS2 and SOCS6 as biomarkers in human colorectal cancer." British Journal of Cancer (2014).  IHC-P ;  Human.  
[IF=3.738] Zong, Jinxin. et al. Lithium Chloride Promotes Milk Protein and Fat Synthesis in Bovine Mammary Epithelial Cells via HIF-1α and β-Catenin Signaling Pathways. Biol Trace Elem Res. 2022 Jan;:1-16  WB ;  Bovine.  
[IF=3.56] Shin, Yoo-Jin, et al. "Expression of SOCS2 mRNA and protein in the ischemic core and penumbra after transient focal cerebral ischemia in rats." Cell and tissue research (2015): 1-15.  IHC-P ;  Rat.  
[IF=2.33] Zhu, Jian-guo, et al. "Expression of SOCSs in human prostate cancer and their association in prognosis." Molecular and cellular biochemistry (2013): 1-9.  WB ;  Human.  
研究领域 细胞生物  免疫学  神经生物学  信号转导  细胞凋亡  
抗体来源 Rabbit
克隆类型 Polyclonal
克 隆 号
交叉反应 Rat (predicted: Human,Mouse,Pig,Cow,Dog,Horse)
产品应用 IHC-P=1:100-500,IHC-F=1:100-500,IF=1:100-500
not yet tested in other applications.
optimal dilutions/concentrations should be determined by the end user.
理论分子量 23 kDa
细胞定位 细胞浆 
性    状 Liquid
浓    度 1mg/ml
免 疫 原 KLH conjugated synthetic peptide derived from human Socs2: 1-100/198 
亚    型 IgG
纯化方法 affinity purified by Protein A
缓 冲 液 0.01M TBS (pH7.4) with 1% BSA, 0.02% Proclin300 and 50% Glycerol.
保存条件 Shipped at 4℃. Store at -20℃ for one year. Avoid repeated freeze/thaw cycles.
注意事项 This product as supplied is intended for research use only, not for use in human, therapeutic or diagnostic applications.
PubMed PubMed
产品介绍 This gene encodes a member of the suppressor of cytokine signaling (SOCS) family. SOCS family members are cytokine-inducible negative regulators of cytokine receptor signaling via the Janus kinase/signal transducer and activation of transcription pathway (the JAK/STAT pathway). SOCS family proteins interact with major molecules of signaling complexes to block further signal transduction, in part, by proteasomal depletion of receptors or signal-transducing proteins via ubiquitination. The expression of this gene can be induced by a subset of cytokines, including erythropoietin, GM-CSF, IL10, interferon (IFN)-gamma and by cytokine receptors such as growth horomone receptor. The protein encoded by this gene interacts with the cytoplasmic domain of insulin-like growth factor-1 receptor (IGF1R) and is thought to be involved in the regulation of IGF1R mediated cell signaling. This gene has pseudogenes on chromosomes 20 and 22. Alternative splicing results in multiple transcript variants. [provided by RefSeq, Jul 2012]

Function:
SOCS family proteins form part of a classical negative feedback system that regulates cytokine signal transduction. SOCS2 appears to be a negative regulator in the growth hormone/IGF1 signaling pathway. Probable substrate recognition component of a SCF-like ECS (Elongin BC-CUL2/5-SOCS-box protein) E3 ubiquitin-protein ligase complex which mediates the ubiquitination and subsequent proteasomal degradation of target proteins.

Subunit:
Interacts with IGF1 receptor, prolactin receptor and growth hormone (GH) receptor. Associates with the Elongin BC complex.

Tissue Specificity:
High expression in heart, placenta, lung, kidney and prostate.

Similarity:
Contains 1 SH2 domain.
Contains 1 SOCS box domain.

SWISS:
O14508

Gene ID:
8835

Database links:

Entrez Gene: 8835 Human

Entrez Gene: 216233 Mouse

Entrez Gene: 84607 Rat

Omim: 605117 Human

SwissProt: O14508 Human

SwissProt: O35717 Mouse

SwissProt: O88582 Rat

Unigene: 485572 Human



细胞因子信号传导抑制蛋白(suppressor of cytokine signaling, SOCS)家族是一类由细胞产生并反馈性阻断细胞因子信号转导过程的负性调节因子,SOCS2可抑制IL-6、LIF、OSM、INF-γ以及GH等多种细胞因子的信号转导,对体内多种免疫反应的激活起调控作用。SOCS2异常表达与多种疾病的发病相关,在急慢性白血病、类风湿性关节炎、肝硬化和肝癌的发病中起重要作用;对信号转导,特别是JAKSTAT通路的负调控作用已被肯定。
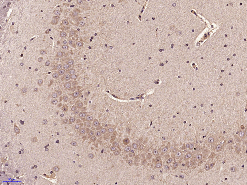
产品图片
Paraformaldehyde-fixed, paraffin embedded (Rat brain); Antigen retrieval by microwave in sodium citrate buffer (pH6.0) ; Block endogenous peroxidase by 3% hydrogen peroxide for 30 minutes; Blocking buffer (3% BSA) at RT for 30min; Antibody incubation with (SOCS2) Polyclonal Antibody, Unconjugated (bs-1896R) at 1:400 overnight at 4℃, followed by conjugation to the secondary antibody (labeled with HRP)and DAB staining.
版权所有 2004-2026 www.bioss.com.cn 北京博奥森生物技术有限公司
通过国际质量管理体系ISO 9001:2015 GB/T 19001-2016    证书编号: 00124Q34771R2M/1100
通过国际医疗器械-质量管理体系ISO 13485:2016 GB/T 42061-2022     证书编号: CQC24QY20047R0M/1100
京ICP备05066980号-1         京公网安备110107000727号