扫码关注公众号           扫码咨询技术支持           扫码咨询技术服务
  
客服热线:400-901-9800  客服QQ:4009019800  技术答疑  技术支持  质量反馈  关于我们  联系我们
产品中心-北京博奥森生物技术有限公司
首页 > 产品中心 > 一抗 > 产品信息
TTF1/NKX2-1 Rabbit pAb (bs-0826R)  
订购热线:400-901-9800
订购邮箱:sales@bioss.com.cn
订购QQ:  400-901-9800
技术支持:techsupport@bioss.com.cn
50ul/1180.00元
100ul/1980.00元
200ul/2800.00元
大包装/询价

产品编号 bs-0826R
英文名称 TTF1/NKX2-1 Rabbit pAb
中文名称 甲状腺核转录因子-1抗体
别    名 NKX21_HUMAN; Homeobox protein Nkx-2.1; Homeobox protein NK-2 homolog A; Thyroid nuclear factor 1; Thyroid transcription factor 1(TTF-1); Thyroid-specific enhancer-binding protein(T/EBP); NKX2A; TITF1; TTF1; TTF-1; NK2 homeobox 1; BCH; BHC; NK-2; TEBP; NMTC1; T/EBP;  
Specific References  (4)     |     bs-0826R has been referenced in 4 publications.
[IF=4.872] Dong X et al. PM2.5 disrupts thyroid hormone homeostasis through activation of the hypothalamic-pituitary-thyroid (HPT) axis and induction of hepatic transthyretin in female rats 2.5Ecotoxicol Environ Saf.2021 Jan 15;208:111720.  IHC、WB ;  Rat.  
[IF=4.223] Dong, Xinwen. et al. Protective effects of curcumin against thyroid hormone imbalance after gas explosion-induced traumatic brain injury via activation of the hypothalamic-pituitary-thyroid axis in male rats. ENVIRON SCI POLLUT R. 2022 May;:1-13  WB,IHC ;  Rat.  
[IF=3.14] Huang, Huibin, et al. "Upregulation of thyroid transcription factor-1 and human leukocyte antigen class I in Hashimoto's disease providing a clinical evidence for possible triggering autoimmune reaction." European Journal of Endocrinology 164.5 (2011): 795-800.  WB, IHC-P ;  Human.  
[IF=1.38] Vadasz, Stephanie, et al. "Second and third trimester amniotic fluid mesenchymal stem cells can repopulate a de-cellularized lung scaffold and express lung markers." Journal of Pediatric Surgery (2014).  Human.  
研究领域 肿瘤  细胞生物  转录调节因子  表观遗传学  
抗体来源 Rabbit
克隆类型 Polyclonal
克 隆 号
交叉反应 Human,Mouse,Rat
产品应用 WB=1:500-2000,IHC-P=1:100-500,IHC-F=1:100-500,IF=1:100-500,Flow-Cyt=1μg/Test,ICC/IF=1:50-200
not yet tested in other applications.
optimal dilutions/concentrations should be determined by the end user.
理论分子量 38 kDa
检测分子量
细胞定位 细胞核 
性    状 Liquid
浓    度 1mg/ml
免 疫 原 KLH conjugated synthetic peptide derived from human TTF-1: 201-300/372 
亚    型 IgG
纯化方法 affinity purified by Protein A
缓 冲 液 0.01M TBS (pH7.4) with 1% BSA, 0.02% Proclin300 and 50% Glycerol.
保存条件 Shipped at 4℃. Store at -20℃ for one year. Avoid repeated freeze/thaw cycles.
注意事项 This product as supplied is intended for research use only, not for use in human, therapeutic or diagnostic applications.
PubMed PubMed
产品介绍 This gene encodes a protein initially identified as a thyroid-specific transcription factor. The encoded protein binds to the thyroglobulin promoter and regulates the expression of thyroid-specific genes but has also been shown to regulate the expression of genes involved in morphogenesis. Mutations and deletions in this gene are associated with benign hereditary chorea, choreoathetosis, congenital hypothyroidism, and neonatal respiratory distress, and may be associated with thyroid cancer. Multiple transcript variants encoding different isoforms have been found for this gene. This gene shares the symbol/alias 'TFF1' with another gene, transcription termination factor 1, which plays a role in ribosomal gene transcription. [provided by RefSeq, Apr 2011]

Function:
Transcription factor that binds and activates the promoter of thyroid specific genes such as thyroglobulin, thyroperoxidase, and thyrotropin receptor. Crucial in the maintenance of the thyroid differentiation phenotype. May play a role in lung development and surfactant homeostasis.

Subcellular Location:
Nucleus.

Tissue Specificity:
Thyroid and lung.

Post-translational modifications:
Phosphorylated on serine residues by STK3.

DISEASE:
Chorea, hereditary benign (BHC) [MIM:118700]: A rare autosomal dominant movement disorder, defined by early onset in childhood, a stable or non-progressive course of chorea, and no mental deterioration. Chorea is characterized by involuntary, forcible, rapid, jerky movements that may be subtle or become confluent, markedly altering normal patterns of movement. Note=The disease is caused by mutations affecting the gene represented in this entry.
Choreoathetosis and congenital hypothyroidism with or without pulmonary dysfunction (CAHTP) [MIM:610978]: An autosomal dominant disorder that manifests in infancy with neurological disturbances, hypothyroidism, and respiratory problems. It is characterized by movement abnormalities beginning with muscular hypotonia followed by the development of chorea, athetosis, dystonia, ataxia, and dysarthria. {ECO:0000269|PubMed:11854318, Note=The disease is caused by mutations affecting the gene represented in this entry.

Similarity:
Belongs to the NK-2 homeobox family.
Contains 1 homeobox DNA-binding domain.

SWISS:
P43699

Gene ID:
7080

Database links:

Entrez Gene: 7080 Human

Entrez Gene: 21869 Mouse

Entrez Gene: 25628 Rat

Omim: 600635 Human

SwissProt: P43699 Human

SwissProt: P50220 Mouse

SwissProt: P23441 Rat

Unigene: 94367 Human

Unigene: 89972 Mouse

Unigene: 34265 Rat



同源结构域蛋白(Homeodomain Proteins)
TTF-1存在于肺和大脑的一些区域内;包括垂体,甲状旁腺和甲状腺旁细胞中也有表达。
TTF-1有调节甲状腺、肺和大脑的基因表达的功能。它在甲状腺中的分子靶点是甲状腺球蛋白、促甲状腺素受体和甲状腺过氧化酶。 TTF1在肺腺癌和肺神经内分泌肿瘤(包括有肺小细胞癌)中是较好的标记物之一。其特异性和敏感性都很高,可以用于区分肺原发性、继发性腺癌、小部分胃肠道腺癌等。
产品图片
25 ug total protein per lane of various lysates (see on figure) probed with TTF1/NKX2-1 polyclonal antibody, unconjugated (bs-0826R) at 1:1000 dilution and 4°C overnight incubation. Followed by conjugated secondary antibody incubation at r.t. for 60 min.
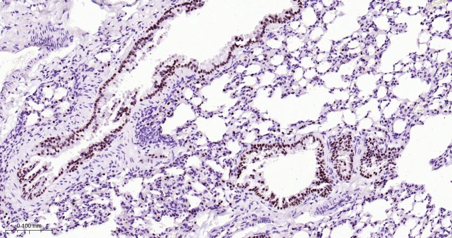
Paraformaldehyde-fixed, paraffin embedded Mouse Lung; Antigen retrieval by boiling in sodium citrate buffer (pH6.0) for 15 min; Antibody incubation with TTF1/NKX2-1 Monoclonal Antibody, Unconjugated(bs-0826R) at 1:200 overnight at 4°C, followed by conjugation to the bs-0295G-HRP and DAB (C-0010) staining.
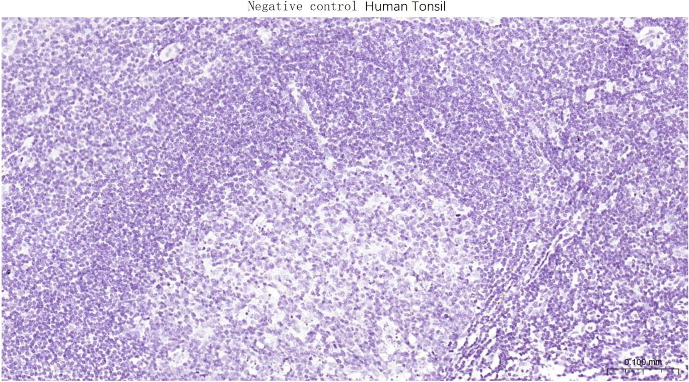
(Negative control) Paraformaldehyde-fixed, paraffin embedded Human Tonsil; Antigen retrieval by boiling in sodium citrate buffer (pH6.0) for 15 min; Antibody incubation with TTF1/NKX2-1 Polyclonal Antibody, Unconjugated (bs-0826R) at 1:200 overnight at 4°C, followed by conjugation to the bs-0295G-HRP and DAB (C-0010) staining.
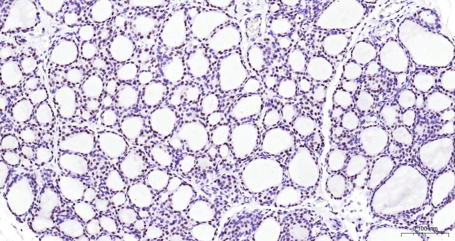
Paraformaldehyde-fixed, paraffin embedded Human Thyroid Gland; Antigen retrieval by boiling in sodium citrate buffer (pH6.0) for 15 min; Antibody incubation with TTF1/NKX2-1 Polyclonal Antibody, Unconjugated (bs-0826R) at 1:200 overnight at 4°C, followed by conjugation to the bs-0295G-HRP and DAB (C-0010) staining.
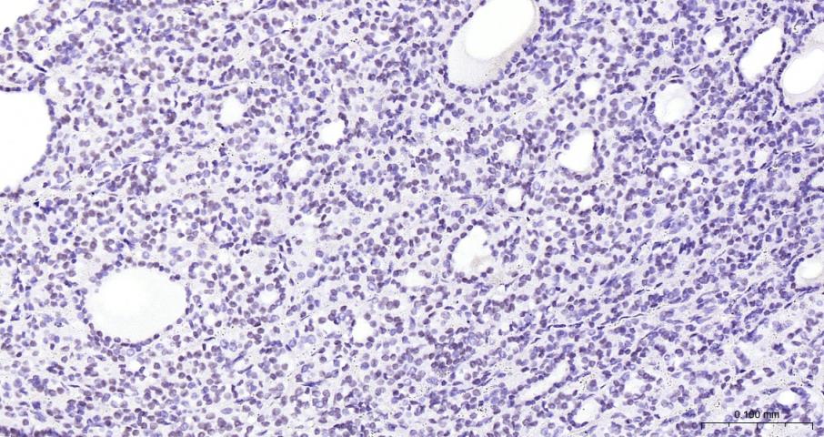
Paraformaldehyde-fixed, paraffin embedded Rat Thyroid Gland; Antigen retrieval by boiling in sodium citrate buffer (pH6.0) for 15 min; Antibody incubation with TTF1/NKX2-1 Polyclonal Antibody, Unconjugated (bs-0826R) at 1:200 overnight at 4°C, followed by conjugation to the bs-0295G-HRP and DAB (C-0010) staining.
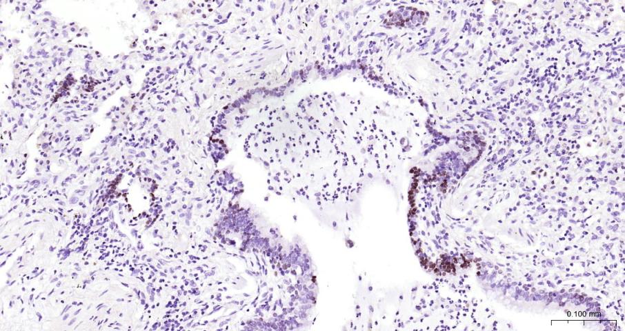
Paraformaldehyde-fixed, paraffin embedded Human Lung cancer; Antigen retrieval by boiling in sodium citrate buffer (pH6.0) for 15 min; Antibody incubation with TTF1/NKX2-1 Polyclonal Antibody, Unconjugated (bs-0826R) at 1:200 overnight at 4°C, followed by conjugation to the bs-0295G-HRP and DAB (C-0010) staining.
4% Paraformaldehyde-fixed TT (H) cell; Triton X-100 at r.t. for 20 min; Antibody incubation with (TTF1/NKX2-1) polyclonal Antibody, unconjugated (bs-0826R) 1:100, 90 min at 37°C; followed by conjugated Goat Anti-Rabbit IgG antibody (green, bs-40295G-FITC) at 37°C for 90 min, DAPI (blue, C02-04002) was used to stain the cell nuclei. PBS instead of the primary antibody was used as the blank control.
版权所有 2004-2026 www.bioss.com.cn 北京博奥森生物技术有限公司
通过国际质量管理体系ISO 9001:2015 GB/T 19001-2016    证书编号: 00124Q34771R2M/1100
通过国际医疗器械-质量管理体系ISO 13485:2016 GB/T 42061-2022     证书编号: CQC24QY20047R0M/1100
京ICP备05066980号-1         京公网安备110107000727号