扫码关注公众号           扫码咨询技术支持           扫码咨询技术服务
  
客服热线:400-901-9800  客服QQ:4009019800  技术答疑  技术支持  质量反馈  关于我们  联系我们
产品中心-北京博奥森生物技术有限公司
首页 > 产品中心 > 一抗 > 产品信息
Tenascin C Rabbit pAb (bs-1039R)  
订购热线:400-901-9800
订购邮箱:sales@bioss.com.cn
订购QQ:  400-901-9800
技术支持:techsupport@bioss.com.cn
50ul/1180.00元
100ul/1980.00元
200ul/2800.00元
大包装/询价

产品编号 bs-1039R
英文名称 Tenascin C Rabbit pAb
中文名称 细胞粘合素(固生蛋白)抗体
别    名 150-225; DFNA56; GMEM; GP; HXB; JI; TN; TN-C; C130033P17Rik; Ten; cytotactin; tenascin-C; TENA_HUMAN; TNC; GP 150-225; Glioma-associated-extracellular matrix antigen; Hexabrachion; Myotendinous antigen; Neuronectin; Tenascin-C (TN-C); TENA_MOUSE; B2LYI9_R  
Specific References  (3)     |     bs-1039R has been referenced in 3 publications.
[IF=5.131] Kang Lu. et al. Micropattern Silk Fibroin Film Facilitates Tendon Repair In Vivo and Promotes Tenogenic Differentiation of Tendon Stem/Progenitor Cells through the α2β1/FAK/PI3K/AKT Signaling Pathway In Vitro. STEM CELLS INT. 2023 Jan 13;2023:2915826  IHC ;  Rat.  
[IF=1.492] Song et al. Extracellular diffusion quantified by magnetic resonance imaging during rat C6 glioma cell progression. (2017) Braz.J.Med.Biol.Res. 50:e5406  WB ;  Rat.  
[IF=0] Wei, Min Jun, et al. "Identification of OPN, TNC and E-selectin as potential recognition proteins in cerebral vasospasm after subarachnoid hemorrhage."Chinese Neurosurgical Journal 2.1 (2016): 1.  WB, IHC-P ;  Rat.  
研究领域 肿瘤  免疫学  
抗体来源 Rabbit
克隆类型 Polyclonal
克 隆 号
交叉反应 Mouse,Rat (predicted: Human,Pig)
产品应用 IHC-P=1:100-500,IHC-F=1:100-500,IF=1:100-500
not yet tested in other applications.
optimal dilutions/concentrations should be determined by the end user.
理论分子量 239 kDa
细胞定位 细胞外基质 分泌型蛋白 
性    状 Liquid
浓    度 1mg/ml
免 疫 原 KLH conjugated synthetic peptide derived from human Tn-C: 1001-1100/2199 
亚    型 IgG
纯化方法 affinity purified by Protein A
缓 冲 液 0.01M TBS (pH7.4) with 1% BSA, 0.02% Proclin300 and 50% Glycerol.
保存条件 Shipped at 4℃. Store at -20℃ for one year. Avoid repeated freeze/thaw cycles.
注意事项 This product as supplied is intended for research use only, not for use in human, therapeutic or diagnostic applications.
PubMed PubMed
产品介绍 Tenascin, also known as hexabrachion and cytotactin, is an extracellular matrix protein with a spatially and temporally restricted tissue distribution. It is a hexameric, multidomain protein with disulfide linked subunits of 190 to 240 kD, originally characterized as 'myotendinous antigen.' In the embryo it is present in dense mesenchyme surrounding developing epithelia and in developing cartilage and bone. In the adult, tenascin remains present in tendons and myotendinous junctions in the perichondrium and periosteum, as well as in smooth muscle.

Function:
Extracellular matrix protein implicated in guidance of migrating neurons as well as axons during development, synaptic plasticity as well as neuronal regeneration. Promotes neurite outgrowth from cortical neurons grown on a monolayer of astrocytes. Ligand for integrins alpha-8/beta-1, alpha-9/beta-1, alpha-V/beta-3 and alpha-V/beta-6.

Subunit:
Homohexamer; disulfide-linked. A homotrimer may be formed in the triple coiled-coil region and may be stabilized by disulfide rings at both ends. Two of such half-hexabrachions may be disulfide linked within the central globule. Interacts with CSPG4.

Subcellular Location:
Secreted, extracellular space, extracellular matrix.

Similarity:
Belongs to the tenascin family.
Contains 15 EGF-like domains.
Contains 1 fibrinogen C-terminal domain.
Contains 15 fibronectin type-III domains.

SWISS:
P24821

Gene ID:
3371

Database links:

Entrez Gene: 3371 Human

Entrez Gene: 21923 Mouse

Entrez Gene: 116640 Rat

Omim: 187380 Human

SwissProt: P24821 Human

SwissProt: Q80YX1 Mouse

SwissProt: B2LYI9 Rat

Unigene: 143250 Human

Unigene: 454219 Mouse

Unigene: 980 Mouse

Unigene: 12723 Rat



Tenascin-C(TN-C)是重要的细胞外基质(ECM)成分之一,在组织器官的发生发育中发挥着极其重要的作用;其表达具有复杂的时空分布,并受多种因素(细胞因子、激素等)调节.目前主要用于消化系统肿瘤方面的研究。
产品图片
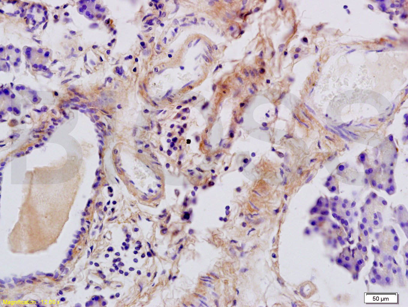
Tissue/cell: rat pancreas tissue; 4% Paraformaldehyde-fixed and paraffin-embedded; Antigen retrieval: citrate buffer ( 0.01M, pH 6.0 ), Boiling bathing for 15min; Block endogenous peroxidase by 3% Hydrogen peroxide for 30min; Blocking buffer (normal goat serum,C-0005) at 37℃ for 20 min; Incubation: Anti-Tenascin C/Tn-C Polyclonal Antibody, Unconjugated(bs-1039R) 1:200, overnight at 4°C, followed by conjugation to the secondary antibody(SP-0023) and DAB(C-0010) staining
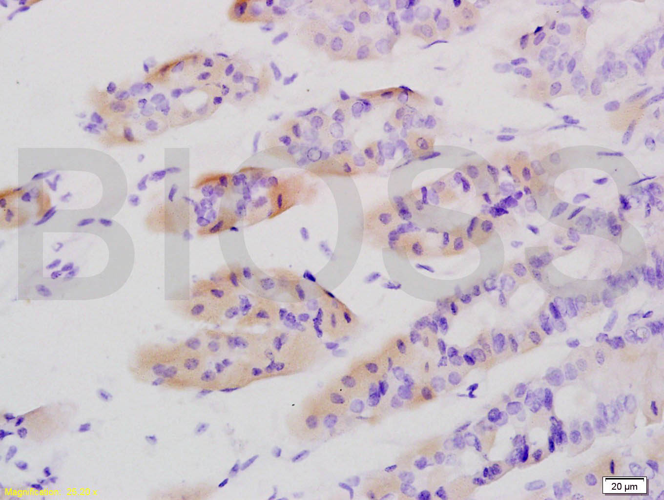
Tissue/cell: mouse stomach tissue; 4% Paraformaldehyde-fixed and paraffin-embedded; Antigen retrieval: citrate buffer ( 0.01M, pH 6.0 ), Boiling bathing for 15min; Block endogenous peroxidase by 3% Hydrogen peroxide for 30min; Blocking buffer (normal goat serum,C-0005) at 37℃ for 20 min; Incubation: Anti-Tenascin C/Tn-C Polyclonal Antibody, Unconjugated(bs-1039R) 1:200, overnight at 4°C, followed by conjugation to the secondary antibody(SP-0023) and DAB(C-0010) staining
版权所有 2004-2026 www.bioss.com.cn 北京博奥森生物技术有限公司
通过国际质量管理体系ISO 9001:2015 GB/T 19001-2016    证书编号: 00124Q34771R2M/1100
通过国际医疗器械-质量管理体系ISO 13485:2016 GB/T 42061-2022     证书编号: CQC24QY20047R0M/1100
京ICP备05066980号-1         京公网安备110107000727号