扫码关注公众号           扫码咨询技术支持           扫码咨询技术服务
  
客服热线:400-901-9800  客服QQ:4009019800  技术答疑  技术支持  质量反馈  人才招聘  关于我们  联系我们
产品中心-北京博奥森生物技术有限公司
首页 > 产品中心 > 一抗 > 产品信息
SSB Rabbit pAb (bs-0276R)  
订购热线:400-901-9800
订购邮箱:sales@bioss.com.cn
订购QQ:  400-901-9800
技术支持:techsupport@bioss.com.cn
50ul/1180.00元
100ul/1980.00元
200ul/2800.00元
大包装/询价

产品编号 bs-0276R
英文名称 SSB Rabbit pAb
中文名称 干燥症SSB/La抗体
别    名 LARP3; La; La/SSB; SS-B; LA_HUMAN; SSB; La autoantigen; La ribonucleoprotein; Sjoegren syndrome type B antigen (SS-B); LA_MOUSE; La autoantigen homolog; LA_RAT;   
研究领域 免疫学  
抗体来源 Rabbit
克隆类型 Polyclonal
克 隆 号
交叉反应 Human
产品应用 IHC-P=1:100-500,IHC-F=1:100-500,IF=1:100-500
not yet tested in other applications.
optimal dilutions/concentrations should be determined by the end user.
理论分子量 47 kDa
细胞定位 细胞核 
性    状 Liquid
浓    度 1mg/ml
免 疫 原 KLH conjugated synthetic peptide derived from human SSB: 201-300/408 
亚    型 IgG
纯化方法 affinity purified by Protein A
缓 冲 液 0.01M TBS (pH7.4) with 1% BSA, 0.02% Proclin300 and 50% Glycerol.
保存条件 Shipped at 4℃. Store at -20℃ for one year. Avoid repeated freeze/thaw cycles.
注意事项 This product as supplied is intended for research use only, not for use in human, therapeutic or diagnostic applications.
PubMed PubMed
产品介绍 Lupus La protein (Sjogren syndrome type B antigen) (SS-B) (La ribonucleoprotein) (La autoantigen) plays a role in the transcription of RNA polymerase III. It is most probably a transcription termination factor. Binds to the 3' termini of virtually all nascent polymerase III transcripts. It is associated with precursor forms of RNA polymerase III transcripts including tRNA and 4.5S, 5S, 7S, and 7-2 RNAs. The phosphorylation sites are at the C-terminal part of the protein. Sera from patients with systemic lupus erythematosus(SLE) often contain antibodies that react with the normal cellular La protein as if this antigen was foreign.

Function:
Binds to the 3' poly(U) terminii of nascent RNA polymerase III transcripts, protecting them from exonuclease digestion and facilitating their folding and maturation.

Subunit:
Interacts with DDX15. May interact with RUFY1.

Subcellular Location:
Nucleus (Probable).

Post-translational modifications:
Phosphorylated. The phosphorylation sites are at the C-terminal part of the protein.
The N-terminus is blocked.

Similarity:
Contains 1 HTH La-type RNA-binding domain.
Contains 1 RRM (RNA recognition motif) domain.

SWISS:
P05455

Gene ID:
6741

Database links:

Entrez Gene: 6741 Human

Entrez Gene: 20823 Mouse

Entrez Gene: 81783 Rat

GenBank: NP_003133.1 Human

Omim: 109090 Human

SwissProt: P05455 Human

SwissProt: P32067 Mouse

SwissProt: P38656 Rat

Unigene: 632535 Human



产品图片
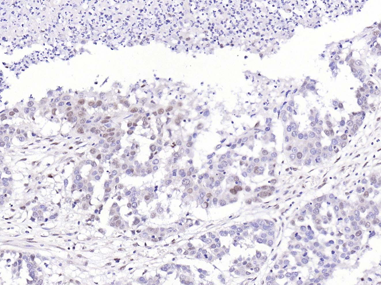
Paraformaldehyde-fixed, paraffin embedded (human breast carcinoma); Antigen retrieval by boiling in sodium citrate buffer (pH6.0) for 15min; Block endogenous peroxidase by 3% hydrogen peroxide for 20 minutes; Blocking buffer (normal goat serum) at 37°C for 30min; Antibody incubation with (SSB) Polyclonal Antibody, Unconjugated (bs-0276R) at 1:200 overnight at 4°C, followed by operating according to SP Kit(Rabbit) (sp-0023) instructionsand DAB staining.
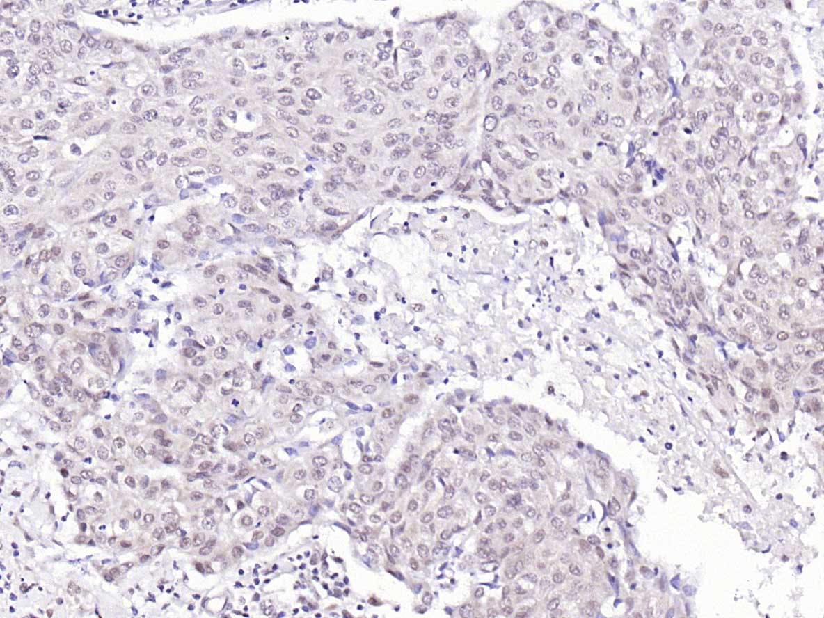
Paraformaldehyde-fixed, paraffin embedded (human liver carcinoma); Antigen retrieval by boiling in sodium citrate buffer (pH6.0) for 15min; Block endogenous peroxidase by 3% hydrogen peroxide for 20 minutes; Blocking buffer (normal goat serum) at 37°C for 30min; Antibody incubation with (SSB) Polyclonal Antibody, Unconjugated (bs-0276R) at 1:200 overnight at 4°C, followed by operating according to SP Kit(Rabbit) (sp-0023) instructionsand DAB staining.
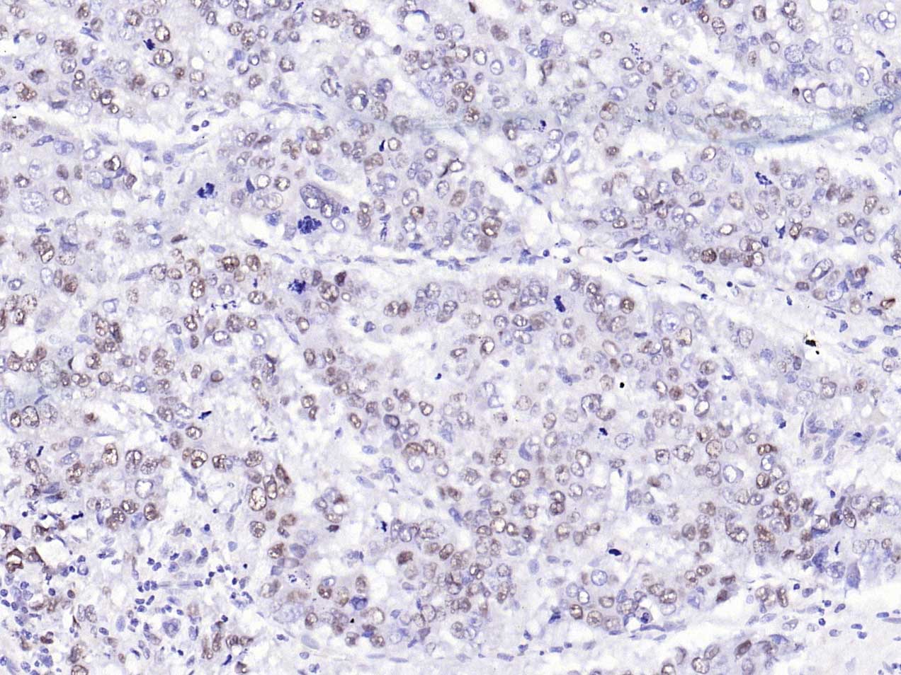
Paraformaldehyde-fixed, paraffin embedded (human lung carcinoma); Antigen retrieval by boiling in sodium citrate buffer (pH6.0) for 15min; Block endogenous peroxidase by 3% hydrogen peroxide for 20 minutes; Blocking buffer (normal goat serum) at 37°C for 30min; Antibody incubation with (SSB) Polyclonal Antibody, Unconjugated (bs-0276R) at 1:200 overnight at 4°C, followed by operating according to SP Kit(Rabbit) (sp-0023) instructionsand DAB staining.
版权所有 2004-2026 www.bioss.com.cn 北京博奥森生物技术有限公司
通过国际质量管理体系ISO 9001:2015 GB/T 19001-2016    证书编号: 00124Q34771R2M/1100
通过国际医疗器械-质量管理体系ISO 13485:2016 GB/T 42061-2022     证书编号: CQC24QY20047R0M/1100
京ICP备05066980号-1         京公网安备110107000727号