扫码关注公众号           扫码咨询技术支持           扫码咨询技术服务
  
客服热线:400-901-9800  客服QQ:4009019800  技术答疑  技术支持  质量反馈  人才招聘  关于我们  联系我们
产品中心-北京博奥森生物技术有限公司
首页 > 产品中心 > 一抗 > 产品信息
TRIM21 Rabbit pAb (bs-0635R)  
订购热线:400-901-9800
订购邮箱:sales@bioss.com.cn
订购QQ:  400-901-9800
技术支持:techsupport@bioss.com.cn
50ul/1180.00元
100ul/1980.00元
200ul/2800.00元
大包装/询价

产品编号 bs-0635R
英文名称 TRIM21 Rabbit pAb
中文名称 核糖核蛋白自身抗原抗体
别    名 RNF81; RO52; Ro/SSA; SSA; SSA1; RO52_HUMAN; TRIM21; 52 kDa Ro protein; 52 kDa ribonucleoprotein autoantigen Ro/SS-A; RING finger protein 81; Ro(SS-A); Sjoegren syndrome type A antigen (SS-A); Tripartite motif-containing protein 21; 2.3.2.27;   
Specific References  (1)     |     bs-0635R has been referenced in 1 publications.
[IF=7.076] Fang Wang. et al. The Ubiquitin E3 Ligase TRIM21 Promotes Hepatocarcinogenesis by Suppressing the p62-Keap1-Nrf2 Antioxidant Pathway. Cell Mol Gastroenter. 2021 Jan;:  WB,IHC ;  Human.  
研究领域 免疫学  
抗体来源 Rabbit
克隆类型 Polyclonal
克 隆 号
交叉反应 Human,Mouse,Rat
产品应用 WB=1:500-2000,IHC-P=1:100-500,IHC-F=1:100-500,IF=1:100-500,ELISA=1:5000-10000
not yet tested in other applications.
optimal dilutions/concentrations should be determined by the end user.
理论分子量 52 kDa
检测分子量 52
细胞定位 细胞核 细胞浆 
性    状 Liquid
浓    度 1mg/ml
免 疫 原 KLH conjugated synthetic peptide derived from human TRIM21 N-terminus: 301-400/475 
亚    型 IgG
纯化方法 affinity purified by Protein A
缓 冲 液 0.01M TBS (pH7.4) with 1% BSA, 0.02% Proclin300 and 50% Glycerol.
保存条件 Shipped at 4℃. Store at -20℃ for one year. Avoid repeated freeze/thaw cycles.
注意事项 This product as supplied is intended for research use only, not for use in human, therapeutic or diagnostic applications.
PubMed PubMed
产品介绍 This gene encodes a member of the tripartite motif (TRIM) family. The TRIM motif includes three zinc-binding domains, a RING, a B-box type 1 and a B-box type 2, and a coiled-coil region. The encoded protein is part of the RoSSA ribonucleoprotein, which includes a single polypeptide and one of four small RNA molecules. The RoSSA particle localizes to both the cytoplasm and the nucleus. RoSSA interacts with autoantigens in patients with Sjogren syndrome and systemic lupus erythematosus. Alternatively spliced transcript variants for this gene have been described but the full-length nature of only one has been determined. [provided by RefSeq, Jul 2008].

Function:
E3 ubiquitin-protein ligase whose activity is dependent on E2 enzymes, UBE2D1, UBE2D2, UBE2E1 and UBE2E2. Forms a ubiquitin ligase complex in cooperation with the E2 UBE2D2 that is used not only for the ubiquitination of USP4 and IKBKB but also for its self-ubiquitination. Component of cullin-RING-based SCF (SKP1-CUL1-F-box protein) E3 ubiquitin-protein ligase complexes such as SCF(SKP2)-like complexes. A TRIM21-containing SCF(SKP2)-like complex is shown to mediate ubiquitination of CDKN1B ('Thr-187' phosphorylated-form), thereby promoting its degradation by the proteasome. Monoubiquitinates IKBKB that will negatively regulates Tax-induced NF-kappa-B signaling. Negatively regulates IFN-beta production post-pathogen recognition by polyubiquitin-mediated degradation of IRF3. Mediates the ubiquitin-mediated proteasomal degradation of IgG1 heavy chain, which is linked to the VCP-mediated ER-associated degradation (ERAD) pathway. Promotes IRF8 ubiquitination, which enhanced the ability of IRF8 to stimulate cytokine genes transcription in macrophages. Plays a role in the regulation of the cell cycle progression. Enhances the decapping activity of DCP2. Exists as a ribonucleoprotein particle present in all mammalian cells studied and composed of a single polypeptide and one of four small RNA molecules. At least two isoforms are present in nucleated and red blood cells, and tissue specific differences in RO/SSA proteins have been identified. The common feature of these proteins is their ability to bind HY RNAs.2.

Subunit:
Interacts (via C-terminus) with IRF8 (via C-terminus). Component of a SCF(SKP2)-like complex containing CUL1, SKP1, TRIM21 and SKP2. Interacts with CALR, CUL1, FBXW11, HSPA5, IKBKB, IRF3, SKP1 and VCP. Interacts with SKP2; the interaction with SKP2 does not depend on an intact F-box domain. Interacts (via N-terminus and C-terminus) with DCP2 (via N-terminus and C-terminus).

Subcellular Location:
Cytoplasm. Nucleus. Cytoplasm, P-body. Note=Enters the nucleus upon exposure to nitric oxide. Localizes to small dot- or rod-like structures in the cytoplasm, called cytoplasmic bodies (P-body) that are located underneath the plasma membrane and also diffusely in the cytoplasm and are highly motil in cells. Cytoplasmic bodies are located along the microtubules and do not share the same cytoplasmic bodies with TRIM5. Colocalizes with DCP2 in P-body.

Tissue Specificity:
Isoform 1 and isoform 2 are expressed in fetal and adult heart and fetal lung.

Post-translational modifications:
Autoubiquitinated; does not lead to its proteasomal degradation. Deubiquitinated by USP4; leading to its stabilization.

Similarity:
Belongs to the TRIM/RBCC family.
Contains 1 B box-type zinc finger.
Contains 1 B30.2/SPRY domain.
Contains 1 RING-type zinc finger.

SWISS:
P19474

Gene ID:
6737

Database links:

Entrez Gene: 6737 Human

Omim: 109092 Human

SwissProt: P19474 Human

Unigene: 532357 Human



SSA/RO广泛应用于各种自身免疫性疾病检测.
产品图片
Sample: Lung (Mouse) Lysate at 40 ug Primary: Anti- TRIM21 (bs-0635R) at 1/1000 dilution Secondary: IRDye800CW Goat Anti-Rabbit IgG at 1/20000 dilution Predicted band size: 52 kD Observed band size: 52 kD
Sample: U937 Cell Lysate at 40 ug Primary: Anti-TRIM21 (bs-0635R) at 1/300 dilution Secondary: IRDye800CW Goat Anti-Rabbit IgG at 1/20000 dilution Predicted band size: 52 kD Observed band size: 56 kD
Sample: Heart (Mouse) Lysate at 40 ug Primary: Anti- TRIM21 (bs-0635R) at 1/1000 dilution Secondary: IRDye800CW Goat Anti-Rabbit IgG at 1/20000 dilution Predicted band size: 52 kD Observed band size: 52 kD
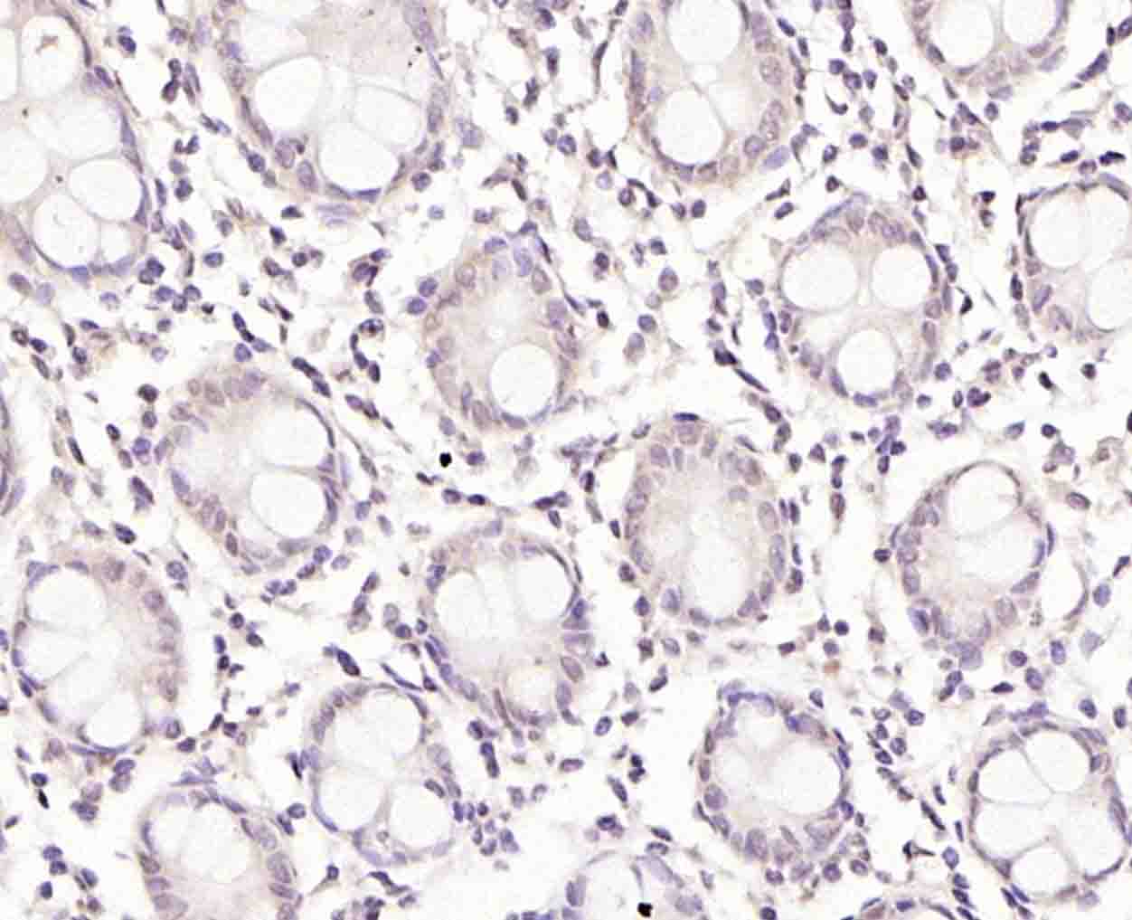
Paraformaldehyde-fixed, paraffin embedded (human colon); Antigen retrieval by boiling in sodium citrate buffer (pH6.0) for 15min; Block endogenous peroxidase by 3% hydrogen peroxide for 20 minutes; Blocking buffer (normal goat serum) at 37°C for 30min; Incubation with (TRIM21) Polyclonal Antibody, Unconjugated (bs-0635R) at 1:200 overnight at 4°C, followed by operating according to SP Kit(Rabbit) (sp-0023) instructionsand DAB staining.
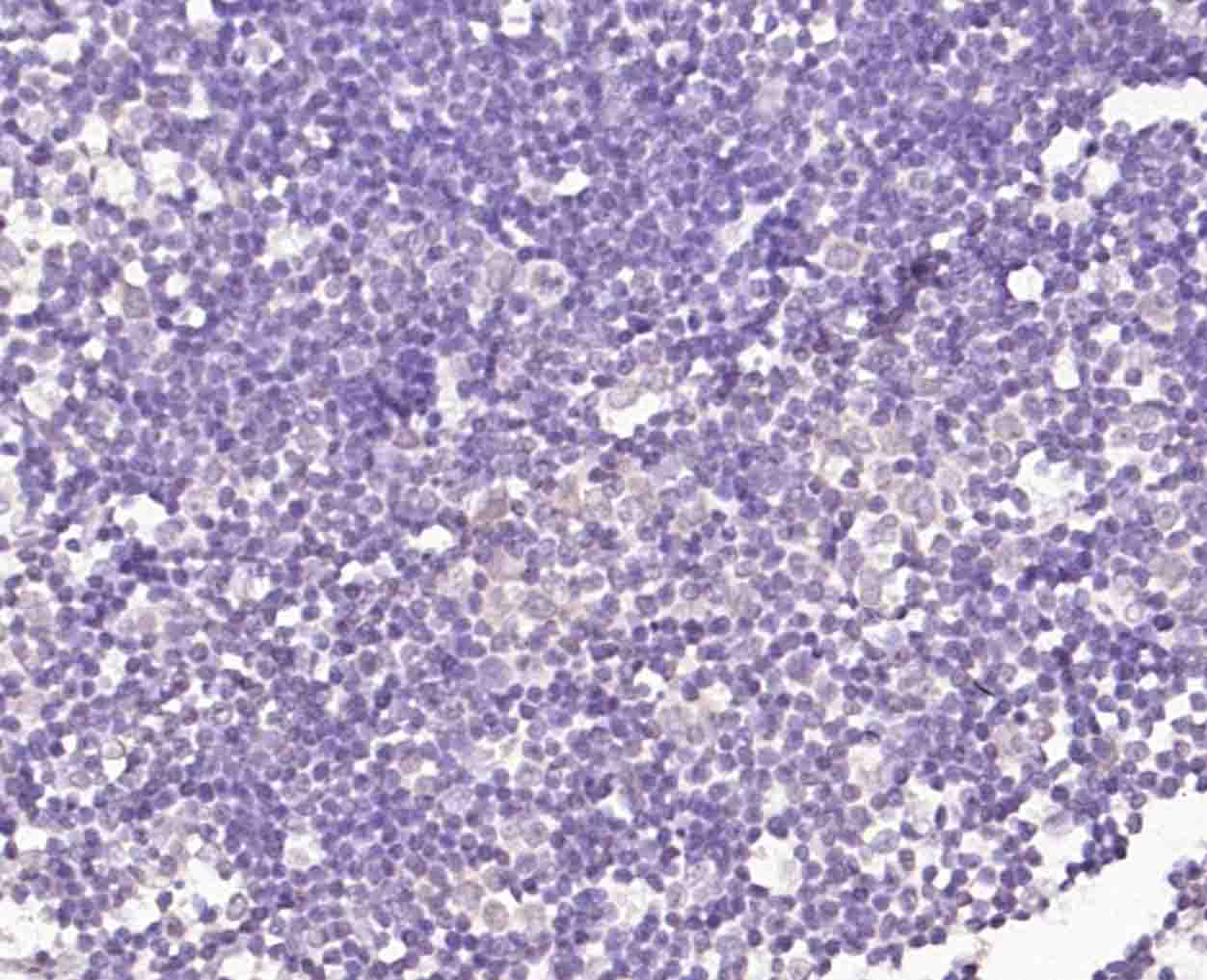
Paraformaldehyde-fixed, paraffin embedded (rat lymphoid); Antigen retrieval by boiling in sodium citrate buffer (pH6.0) for 15min; Block endogenous peroxidase by 3% hydrogen peroxide for 20 minutes; Blocking buffer (normal goat serum) at 37°C for 30min; Incubation with (TRIM21) Polyclonal Antibody, Unconjugated (bs-0635R) at 1:200 overnight at 4°C, followed by operating according to SP Kit(Rabbit) (sp-0023) instructionsand DAB staining.
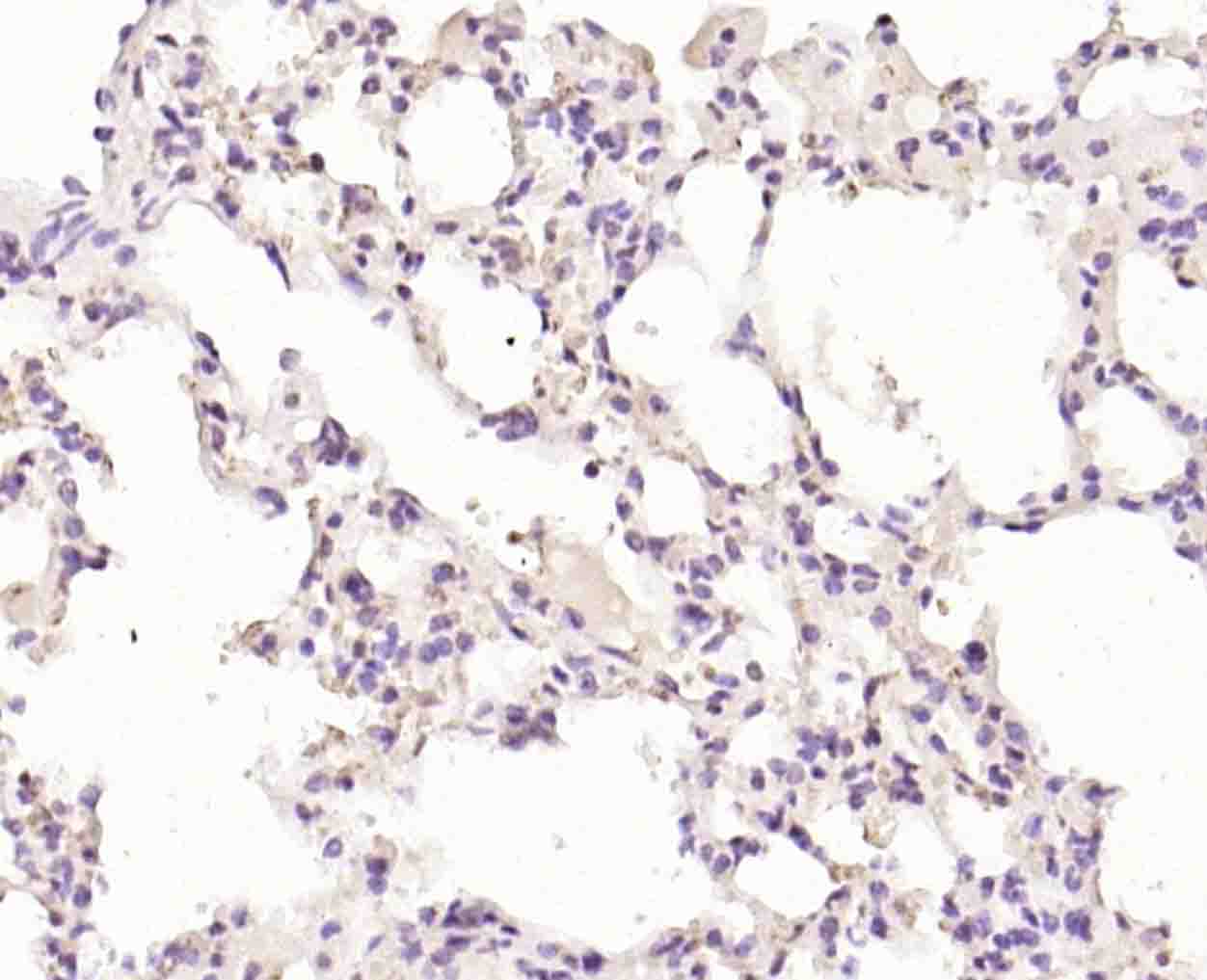
Paraformaldehyde-fixed, paraffin embedded (rat lung); Antigen retrieval by boiling in sodium citrate buffer (pH6.0) for 15min; Block endogenous peroxidase by 3% hydrogen peroxide for 20 minutes; Blocking buffer (normal goat serum) at 37°C for 30min; Incubation with (TRIM21) Polyclonal Antibody, Unconjugated (bs-0635R) at 1:200 overnight at 4°C, followed by operating according to SP Kit(Rabbit) (sp-0023) instructionsand DAB staining.
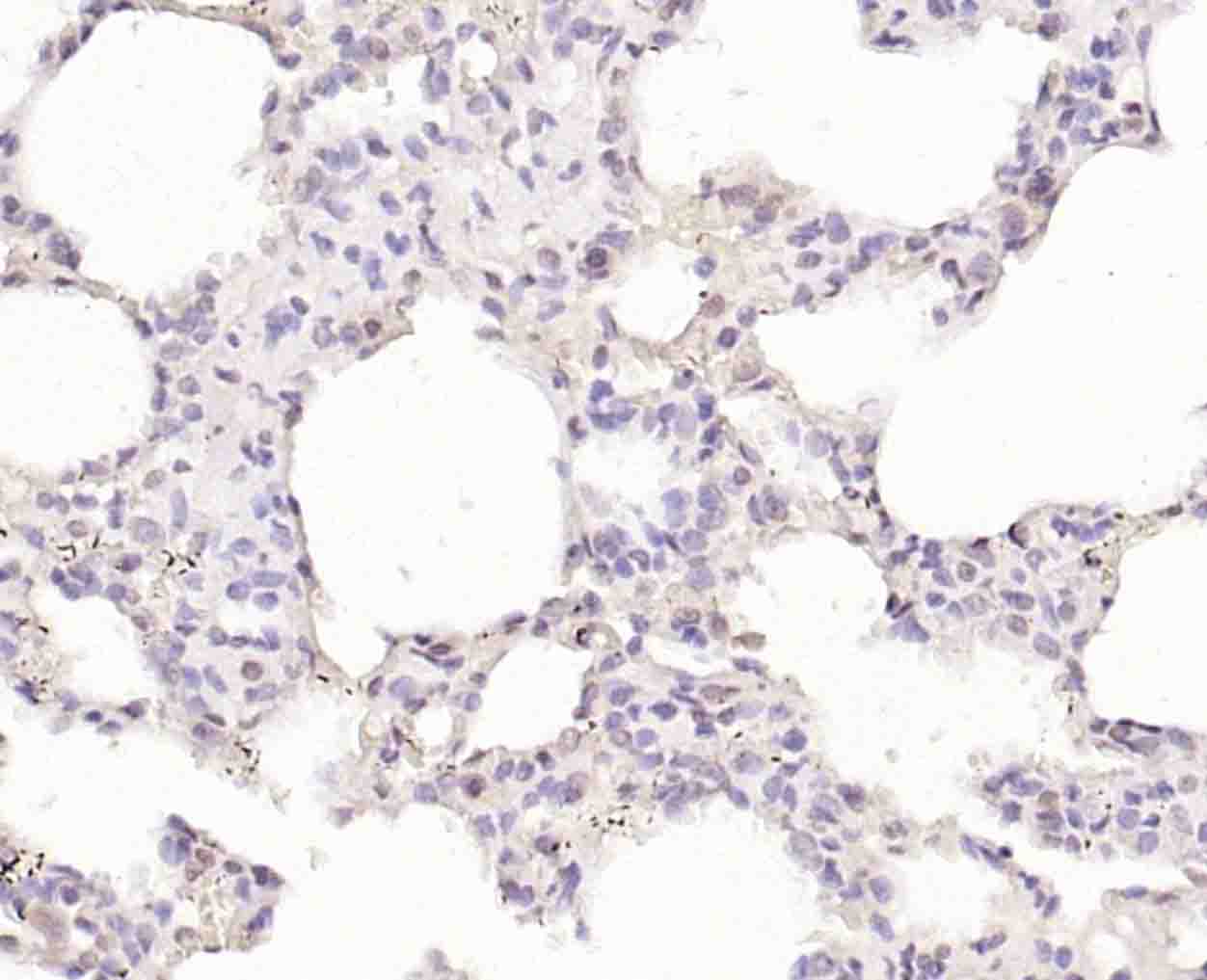
Paraformaldehyde-fixed, paraffin embedded (mouse lung); Antigen retrieval by boiling in sodium citrate buffer (pH6.0) for 15min; Block endogenous peroxidase by 3% hydrogen peroxide for 20 minutes; Blocking buffer (normal goat serum) at 37°C for 30min; Incubation with (TRIM21) Polyclonal Antibody, Unconjugated (bs-0635R) at 1:200 overnight at 4°C, followed by operating according to SP Kit(Rabbit) (sp-0023) instructionsand DAB staining.
版权所有 2004-2026 www.bioss.com.cn 北京博奥森生物技术有限公司
通过国际质量管理体系ISO 9001:2015 GB/T 19001-2016    证书编号: 00124Q34771R2M/1100
通过国际医疗器械-质量管理体系ISO 13485:2016 GB/T 42061-2022     证书编号: CQC24QY20047R0M/1100
京ICP备05066980号-1         京公网安备110107000727号