扫码关注公众号           扫码咨询技术支持           扫码咨询技术服务
  
客服热线:400-901-9800  客服QQ:4009019800  技术答疑  技术支持  质量反馈  人才招聘  关于我们  联系我们
产品中心-北京博奥森生物技术有限公司
首页 > 产品中心 > 一抗 > 产品信息
Gemin 2 Rabbit pAb (bs-1130R)  
订购热线:400-901-9800
订购邮箱:sales@bioss.com.cn
订购QQ:  400-901-9800
技术支持:techsupport@bioss.com.cn
50ul/1180.00元
100ul/1980.00元
200ul/2800.00元
大包装/询价

产品编号 bs-1130R
英文名称 Gemin 2 Rabbit pAb
中文名称 运动神经元存活蛋白结合蛋白1抗体
别    名 SIP1; SIP1-delta; gemin-2; GEMI2_HUMAN; GEMIN2; Component of gems 2; Survival of motor neuron protein-interacting protein 1 (SMN-interacting protein 1); GEMI2_MOUSE; GEMI2_RAT;   
研究领域 免疫学  神经生物学  
抗体来源 Rabbit
克隆类型 Polyclonal
克 隆 号
交叉反应 Rat (predicted: Human,Mouse,Rabbit,Cow,Horse)
产品应用 IHC-P=1:100-500,IHC-F=1:100-500,IF=1:100-500
not yet tested in other applications.
optimal dilutions/concentrations should be determined by the end user.
理论分子量 30 kDa
细胞定位 细胞核 细胞浆 
性    状 Liquid
浓    度 1mg/ml
免 疫 原 KLH conjugated synthetic peptide derived from human SIP1: 51-150/280 
亚    型 IgG
纯化方法 affinity purified by Protein A
缓 冲 液 0.01M TBS (pH7.4) with 1% BSA, 0.02% Proclin300 and 50% Glycerol.
保存条件 Shipped at 4℃. Store at -20℃ for one year. Avoid repeated freeze/thaw cycles.
注意事项 This product as supplied is intended for research use only, not for use in human, therapeutic or diagnostic applications.
PubMed PubMed
产品介绍 Smad Interacting Protein 1 (SIP1) is observed in neural crest derived cells (peripheric nervous system, enteric nervous system, facial neurectoderm and cranial nerve ganglia), central nervous system, genital tubercle, muscles and kidneys in the developing human. SIP1 belongs to the delta-EF1/Zfh1 family of 2-handed zinc finger/homeodomain proteins and contains a SMAD-binding domain, a homeodomain and two clusters of zinc fingers on the N- and C-termini. SIP1 can be induced by TGF. SIP1 plays a crucial role in normal embryonic development of neural structures and the neural crest. Mutations in the SIP1 gene cause a form of Hirschsprung disease (HSCR). Patients with SIP1 mutations show mental retardation, delayed motor development, epilepsy, microcephaly, distinct facial features and/or congenital heart disease. SIP1 is also involved in the regulation of epithelial to mesenchymal transition, an important process in tumor progression.

Function:
The SMN complex plays an essential role in spliceosomal snRNP assembly in the cytoplasm and is required for pre-mRNA splicing in the nucleus.

Subunit:
Part of the core SMN complex that contains SMN1, GEMIN2/SIP1, DDX20/GEMIN3, GEMIN4, GEMIN5, GEMIN6, GEMIN7, GEMIN8 and STRAP/UNRIP. Interacts directly with GEMIN5.

Subcellular Location:
Nucleus, gem. Cytoplasm. Note=Localized in subnuclear structures next to coiled bodies, called gems, which are highly enriched in spliceosomal snRNPs. Also found in the cytoplasm.

Similarity:
Belongs to the gemin-2 family.

SWISS:
O14893

Gene ID:
8487

Database links:

Entrez Gene: 8487 Human

Entrez Gene: 66603 Mouse

Omim: 602595 Human

SwissProt: O14893 Human

SwissProt: Q9CQQ4 Mouse

SwissProt: O42260 Xenopus laevis

Unigene: 652307 Human

Unigene: 35353 Mouse



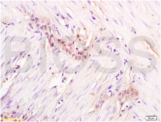
产品图片
Tissue/cell: rat colon tissue; 4% Paraformaldehyde-fixed and paraffin-embedded; Antigen retrieval: citrate buffer ( 0.01M, pH 6.0 ), Boiling bathing for 15min; Block endogenous peroxidase by 3% Hydrogen peroxide for 30min; Blocking buffer (normal goat serum,C-0005) at 37℃ for 20 min; Incubation: Anti-SIP1 Polyclonal Antibody, Unconjugated(bs-1130R) 1:200, overnight at 4°C, followed by conjugation to the secondary antibody(SP-0023) and DAB(C-0010) staining
版权所有 2004-2026 www.bioss.com.cn 北京博奥森生物技术有限公司
通过国际质量管理体系ISO 9001:2015 GB/T 19001-2016    证书编号: 00124Q34771R2M/1100
通过国际医疗器械-质量管理体系ISO 13485:2016 GB/T 42061-2022     证书编号: CQC24QY20047R0M/1100
京ICP备05066980号-1         京公网安备110107000727号