扫码关注公众号           扫码咨询技术支持           扫码咨询技术服务
  
客服热线:400-901-9800  客服QQ:4009019800  技术答疑  技术支持  质量反馈  人才招聘  关于我们  联系我们
产品中心-北京博奥森生物技术有限公司
首页 > 产品中心 > 一抗 > 产品信息
Granulin Rabbit pAb (bs-0823R)  
订购热线:400-901-9800
订购邮箱:sales@bioss.com.cn
订购QQ:  400-901-9800
技术支持:techsupport@bioss.com.cn
50ul/1180.00元
100ul/1980.00元
200ul/2800.00元
大包装/询价

产品编号 bs-0823R
英文名称 Granulin Rabbit pAb
中文名称 颗粒蛋白前体抗体
别    名 CLN11; FTD2; GEP; GP88; PCDGF; PEPI; PGRN; epithelin; GRN_HUMAN; GRN; Acrogranin; Epithelin precursor; Glycoprotein of 88 Kda (GP88 | Glycoprotein 88); Granulin precursor; PC cell-derived growth factor (PCDGF); Proepithelin (PEPI); GRN_MOUSE; Epithelin/granulin precursor; progranulin  
Specific References  (2)     |     bs-0823R has been referenced in 2 publications.
[IF=7.02] Thurner, Lorenz, et al. "The molecular basis for development of proinflammatory autoantibodies to progranulin." Journal of Autoimmunity (2015).  WB ;  Human.  
[IF=4.238] Dongxu Feng. et al. Progranulin modulates cartilage-specific gene expression via sirtuin 1–mediated deacetylation of the transcription factors SOX9 and P65. J Biol Chem. 2020 Sep;295:13640  WB ;  Human.  
研究领域 肿瘤  免疫学  神经生物学  信号转导  
抗体来源 Rabbit
克隆类型 Polyclonal
交叉反应 Human (predicted: Mouse,Rat,Rabbit,Pig,Cow,Dog,GuineaPig,Horse)
产品应用 IHC-P=1:100-500,IHC-F=1:100-500,IF=1:100-500
not yet tested in other applications.
optimal dilutions/concentrations should be determined by the end user.
理论分子量 63kDa
细胞定位 分泌型蛋白 
性    状 Liquid
浓    度 1mg/ml
免 疫 原 KLH conjugated synthetic peptide derived from human PGNR: 451-550/593 
亚    型 IgG
纯化方法 affinity purified by Protein A
缓 冲 液 0.01M TBS (pH7.4) with 1% BSA, 0.02% Proclin300 and 50% Glycerol.
保存条件 Shipped at 4℃. Store at -20℃ for one year. Avoid repeated freeze/thaw cycles.
注意事项 This product as supplied is intended for research use only, not for use in human, therapeutic or diagnostic applications.
PubMed PubMed
产品介绍 Granulins are a family of secreted, glycosylated peptides that are cleaved from a single precursor protein with 7.5 repeats of a highly conserved 12-cysteine granulin/epithelin motif. The 88 kDa precursor protein, progranulin, is also called proepithelin and PC cell-derived growth factor. Cleavage of the signal peptide produces mature granulin which can be further cleaved into a variety of active, 6 kDa peptides. These smaller cleavage products are named granulin A, granulin B, granulin C, etc. Epithelins 1 and2 are synonymous with granulins A and B, respectively. Both the peptides and intact granulin protein regulate cell growth. However, different members of the granulin protein family may act as inhibitors, stimulators, or have dual actions on cell growth. Granulin family members are important in normal development, wound healing, and tumorigenesis.

Function:
Granulins have possible cytokine-like activity. They may play a role in inflammation, wound repair, and tissue remodeling.
Granulin-4 promotes proliferation of the epithelial cell line A431 in culture while granulin-3 acts as an antagonist to granulin-4, inhibiting the growth.

Subcellular Location:
Secreted.

Tissue Specificity:
In myelogenous leukemic cell lines of promonocytic, promyelocytic, and proerythroid lineage, in fibroblasts, and very strongly in epithelial cell lines. Present in inflammatory cells and bone marrow. Highest levels in kidney.

Post-translational modifications:
Granulins are disulfide bridged.

DISEASE:
Defects in GRN are the cause of ubiquitin-positive frontotemporal dementia (UP-FTD) [MIM:607485]; also known as tau-negative frontotemporal dementia linked to chromosome 17. Frontotemporal dementia (FTD) is the second most common cause of dementia in people under the age of 65 years. It is an autosomal dominant neurodegenerative disease.

Similarity:
Belongs to the granulin family.

SWISS:
P28799

Gene ID:
2896

Database links:

Entrez Gene: 2896 Human

Entrez Gene: 14824 Mouse

Omim: 138945 Human

SwissProt: P28799 Human

SwissProt: P28798 Mouse

Unigene: 514220 Human

Unigene: 1568 Mouse



1.PGRN目前主要用于老年痴呆疾病。是65岁以下人群中第二种最常见的 痴呆形式,该蛋白的多量产生,能够损坏记忆和个性,而且还可能影响运动。这一发现也许可帮助解决关于该疾病病因的困惑: 痴呆症(FTD)是常见的神经退化疾病,可见,除微管相关的tau蛋白导致痴呆症外,又一个新的与痴呆症有关蛋白又被科学家发现。
2.颗粒蛋白前体(PGRN)在调节生长发育、损伤修复和促进细胞增殖等方面发挥重要作用。PGRN能促进肿瘤细胞过度增殖、增强细胞向外周侵袭的能力以及促进肿瘤组织血管新生,提示它可能是肿瘤治疗的一个非常重要的靶标。
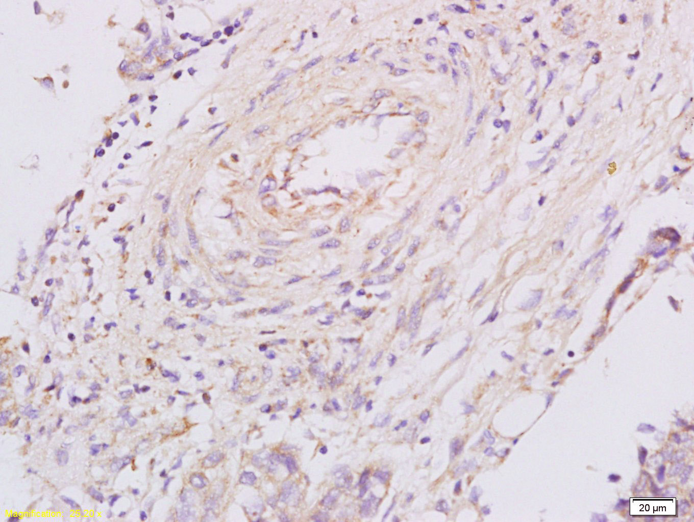
产品图片
Tissue/cell: Human esophageal carcinoma; 4% Paraformaldehyde-fixed and paraffin-embedded; Antigen retrieval: citrate buffer ( 0.01M, pH 6.0 ), Boiling bathing for 15min; Block endogenous peroxidase by 3% Hydrogen peroxide for 30min; Blocking buffer (normal goat serum,C-0005) at 37℃ for 20 min; Incubation: Anti-PGRN/Granulin Polyclonal Antibody, Unconjugated(bs-0823R) 1:200, overnight at 4°C, followed by conjugation to the secondary antibody(SP-0023) and DAB(C-0010) staining
版权所有 2004-2026 www.bioss.com.cn 北京博奥森生物技术有限公司
通过国际质量管理体系ISO 9001:2015 GB/T 19001-2016    证书编号: 00124Q34771R2M/1100
通过国际医疗器械-质量管理体系ISO 13485:2016 GB/T 42061-2022     证书编号: CQC24QY20047R0M/1100
京ICP备05066980号-1         京公网安备110107000727号