扫码关注公众号           扫码咨询技术支持           扫码咨询技术服务
  
客服热线:400-901-9800  客服QQ:4009019800  技术答疑  技术支持  质量反馈  关于我们  联系我们
产品中心-北京博奥森生物技术有限公司
首页 > 产品中心 > 一抗 > 产品信息
Osteopontin Rabbit pAb (bs-0019R)  
订购热线:400-901-9800
订购邮箱:sales@bioss.com.cn
订购QQ:  400-901-9800
技术支持:techsupport@bioss.com.cn
50ul/1180.00元
100ul/1980.00元
200ul/2800.00元
大包装/询价

产品编号 bs-0019R
英文名称 Osteopontin Rabbit pAb
中文名称 骨桥蛋白/分泌型磷蛋白1抗体
别    名 BNSP; Bone sialoprotein 1; BSP I; BSPI; Early T lymphocyte activation 1; ETA 1; ETA1; MGC110940; Nephropontin; OPN; osteopontin/immunoglobulin alpha 1 heavy chain constant region fusion protein; OSTP_HUMAN; secreted phosphoprotein 1(osteopontin, bone sialoprotein I, early T-lymphocyte activation 1); Secreted phosphoprotein 1; SPP 1; SPP-1; SPP1; SPP1/CALPHA1 fusion; Urinary stone protein; Uropontin.  
Specific References  (6)     |     bs-0019R has been referenced in 6 publications.
[IF=3.539] Shunli Feng. et al. SPP1 as a key gene in the lymph node metastasis and a potential predictor of poor prognosis in head and neck carcinoma. J ORAL PATHOL MED. 2022 Jul 13  WB, IHC ;  Human.  
[IF=3.23] Liu C, Zhang Y, Wang L, Zhang X, Chen Q, Wu B (2015) A Strontium-Modified Titanium Surface Produced by a New Method and Its Biocompatibility In Vitro. PLoS ONE 10(11): e0140669.  WB ;  Rat.  
[IF=3.08] Zhan, Fu‐Liang, Xin‐Yang Liu, and Xing‐Bo Wang. "The Role of MicroRNA‐143‐5p in the Differentiation of Dental Pulp Stem Cells into Odontoblasts by Targeting Runx2 via the OPG/RANKL Signaling Pathway." Journal of Cellular Biochemistry (2017).  WB ;  Human.  
[IF=2.766] Li et al. Visfatin Destabilizes Atherosclerotic Plaques in Apolipoprotein E-Deficient Mice. (2016) PLoS.One. 11:e0148273  IF ;  Rat.  
[IF=2.538] Xinxin Yu. et al. OPN up-regulated proliferation and invasion of HNSCC through p38MAPK signaling pathway. OR SURG OR MED OR PA. 2023 Mar;:  WB,IHC ;  Human.  
[IF=0] Wei, Min Jun, et al. "Identification of OPN, TNC and E-selectin as potential recognition proteins in cerebral vasospasm after subarachnoid hemorrhage."Chinese Neurosurgical Journal 2.1 (2016): 1.  WB, IHC-P ;  Rat.  
研究领域 免疫学  神经生物学  信号转导  转录调节因子  
抗体来源 Rabbit
克隆类型 Polyclonal
克 隆 号
交叉反应 Human,Rat
产品应用 WB=1:500-2000,IHC-P=1:500-2000,IHC-F=1:100-500,IF=1:100-500,Flow-Cyt=1ug/Test
not yet tested in other applications.
optimal dilutions/concentrations should be determined by the end user.
理论分子量 34 kDa
检测分子量
细胞定位 分泌型蛋白 
性    状 Liquid
浓    度 1mg/ml
免 疫 原 KLH conjugated synthetic peptide derived from human OPN: 141-220/314 
亚    型 IgG
纯化方法 affinity purified by Protein A
缓 冲 液 0.01M TBS (pH7.4) with 1% BSA, 0.02% Proclin300 and 50% Glycerol.
保存条件 Shipped at 4℃. Store at -20℃ for one year. Avoid repeated freeze/thaw cycles.
注意事项 This product as supplied is intended for research use only, not for use in human, therapeutic or diagnostic applications.
PubMed PubMed
产品介绍 Osteopontin is the principal phosphorylated glycoprotein of bone and is expressed in a limited number of other tissues including dentine. Osteopontin is produced by osteoblasts under stimulation by calcitriol and binds tightly to hydroxyapatite. It is also involved in the anchoring of osteoclasts to the mineral of bone matrix via the vitronectin receptor, which has specificity for osteopontin. Osteopontin is overexpressed in a variety of cancers, including lung, breast, colorectal, stomach, ovarian, melanoma and mesothelioma.

Function:
Binds tightly to hydroxyapatite. Appears to form an integral part of the mineralized matrix. Probably important to cell-matrix interaction.
Acts as a cytokine involved in enhancing production of interferon-gamma and interleukin-12 and reducing production of interleukin-10 and is essential in the pathway that leads to type I immunity (By similarity).

Subunit:
Ligand for integrin alpha-V/beta-3.

Subcellular Location:
Secreted.

Tissue Specificity:
Bone. Found in plasma.

Similarity:
Belongs to the osteopontin family.

SWISS:
P10451

Gene ID:
6696

Database links:

Entrez Gene: 6696 Human

Entrez Gene: 20750 Mouse

Entrez Gene: 25353 Rat

Omim: 166490 Human

SwissProt: P10451 Human

SwissProt: P10923 Mouse

SwissProt: P08721 Rat

Unigene: 313 Human

Unigene: 288474 Mouse

Unigene: 8871 Rat



信号传导(Signaling Intermediates)
骨桥蛋白(osteopontin,OPN)是一种含精氨酸—甘氨酸—天冬氨酸(Arg-Gly-Asp,RGD)的分泌型糖基化磷蛋白,已归类于细胞外基质(extracellular matrix,ECM)蛋白。 OPN既是细胞因子,又是细胞黏附分子.又称:分泌性磷酸化蛋白质1
OPN最初是从骨组织分离的,而后在上皮细胞、胃肠道的分泌物、肾、甲状腺、睾丸以及一些肿瘤细胞里都陆续的发现了OPN的表达。在生殖方面,OPN在分泌期子宫内膜上皮细胞、侵袭的滋养细胞、蜕膜细胞中表达。
产品图片
Sample: Lane 1: HepG2 (Human) Cell Lysate at 30 ug Lane 2: A549 (Human) Cell Lysate at 30 ug Lane 3: U251 (Human) Cell Lysate at 30 ug Primary: Anti-Osteopontin (bs-0052R) at 1/1000 dilution Secondary: IRDye800CW Goat Anti-Rabbit IgG at 1/20000 dilution Predicted band size: 60-65 kD Observed band size: 60 kD
Sample: A549 Cell Lysate at 40 ug Primary: Anti-ostepontin (bs-0019R) at 1/300 dilution Secondary: IRDye800CW Goat Anti-Rabbit IgG at 1/20000 dilution Predicted band size: 35 kD Observed band size: 50 kD
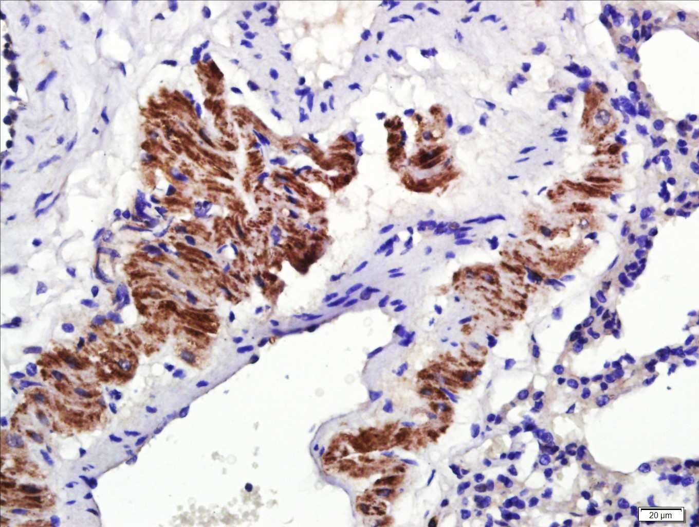
Paraformaldehyde-fixed, paraffin embedded Rat lung; Antigen retrieval by boiling in sodium citrate buffer (pH6.0) for 15 min; Antibody incubation with Osteopontin Polyclonal Antibody, Unconjugated (bs-0019R) at 1:400 overnight at 4°C, followed by conjugation to the SP Kit (Rabbit, SP-0023) and DAB (C-0010) staining.
Blank control: HepG2. Primary Antibody (green line): Rabbit Anti-Osteopontin antibody (bs-0019R) Dilution: 1μg /10^6 cells; Isotype Control Antibody (orange line): Rabbit IgG . Secondary Antibody : Goat anti-rabbit IgG-AF647 Dilution: 1μg /test. Protocol The cells were fixed with 4% PFA (10min at room temperature)and then permeabilized with 0.1% PBST for 20 min at room temperature. The cells were then incubated in 5%BSA to block non-specific protein-protein interactions for 30 min at room temperature .Cells stained with Primary Antibody for 30 min at room temperature. The secondary antibody used for 40 min at room temperature. Acquisition of 20,000 events was performed.
版权所有 2004-2026 www.bioss.com.cn 北京博奥森生物技术有限公司
通过国际质量管理体系ISO 9001:2015 GB/T 19001-2016    证书编号: 00124Q34771R2M/1100
通过国际医疗器械-质量管理体系ISO 13485:2016 GB/T 42061-2022     证书编号: CQC24QY20047R0M/1100
京ICP备05066980号-1         京公网安备110107000727号