扫码关注公众号           扫码咨询技术支持           扫码咨询技术服务
  
客服热线:400-901-9800  客服QQ:4009019800  技术答疑  技术支持  质量反馈  关于我们  联系我们
产品中心-北京博奥森生物技术有限公司
首页 > 产品中心 > 一抗 > 产品信息
Neurotrophin 4 Rabbit pAb (bs-0158R)  
订购热线:400-901-9800
订购邮箱:sales@bioss.com.cn
订购QQ:  400-901-9800
技术支持:techsupport@bioss.com.cn
50ul/1180.00元
100ul/1980.00元
200ul/2800.00元
大包装/询价

产品编号 bs-0158R
英文名称 Neurotrophin 4 Rabbit pAb
中文名称 神经生长因子4/5抗体
别    名 GLC1O; Neurotrophic factor 4; Neurotrophic factor 5; Neurotrophin 4/5; Neurotrophin 5(neurotrophin 4/5); Neurotrophin 5; Neurotrophin-4; Neurotrophin-5; Neurotrophin4; Neurotrophin4/5; Neurotrophin5; Neutrophic factor 4; Neutrophic factor 5; NT 4; NT-4; NT 4/5; NT-4/5; NT 5; NT-5; NT4; NT4/5; NT4P; NT5; NTF 4; NTF 5; NTF4; NTF4_HUMAN; NTF5  
研究领域 细胞生物  免疫学  神经生物学  
抗体来源 Rabbit
克隆类型 Polyclonal
克 隆 号
交叉反应 Human,Rat (predicted: Mouse)
产品应用 WB=1:500-2000,IHC-P=1:100-500,IHC-F=1:100-500,IF=1:100-500
not yet tested in other applications.
optimal dilutions/concentrations should be determined by the end user.
理论分子量 14/27 kDa
检测分子量
细胞定位 分泌型蛋白 
性    状 Liquid
浓    度 1mg/ml
免 疫 原 KLH conjugated synthetic peptide derived from human NT-4: 121-210/210 
亚    型 IgG
纯化方法 affinity purified by Protein A
缓 冲 液 0.01M TBS (pH7.4) with 1% BSA, 0.02% Proclin300 and 50% Glycerol.
保存条件 Shipped at 4℃. Store at -20℃ for one year. Avoid repeated freeze/thaw cycles.
注意事项 This product as supplied is intended for research use only, not for use in human, therapeutic or diagnostic applications.
PubMed PubMed
产品介绍 Neurotrophin 4 (NT4; synonymous with NT5) belongs to the NGF beta family and is a survival factor for peripheral sensory sympathetic neurons. The expression of this gene is ubiquitous and less influenced by environmental signals. NT4 levels are highest in the prostate, with lower levels in thymus, placenta, and skeletal muscle. NT4 is also expressed in embryonic and adult tissues.

Function:
Target-derived survival factor for peripheral sensory sympathetic neurons.

Subcellular Location:
Secreted.

Tissue Specificity:
Highest levels in prostate, lower levels in thymus, placenta, and skeletal muscle. Expressed in embryonic and adult tissues.

DISEASE:
Defects in NTF4 may be associated with susceptibility to primary open angle glaucoma type 1O (GLC1O) [MIM:613100]. A form of primary open angle glaucoma (POAG). POAG is characterized by a specific pattern of optic nerve and visual field defects. The angle of the anterior chamber of the eye is open, and usually the intraocular pressure is increased. The disease is asymptomatic until the late stages, by which time significant and irreversible optic nerve damage has already taken place.

Similarity:
Belongs to the NGF-beta family.

SWISS:
P34130

Gene ID:
4909

Database links:

Entrez Gene: 4909 Human

Entrez Gene: 78405 Mouse

Entrez Gene: 25730 Rat

Omim: 162662 Human

SwissProt: P34130 Human

SwissProt: Q80VU4 Mouse

SwissProt: P34131 Rat

Unigene: 266902 Human

Unigene: 20344 Mouse

Unigene: 44225 Rat



Neurotrophic factor 4/5起源于同一基因家族, 故可称为NGF家族。神经生长因子4/5具有促进早期神经元的增殖与分化,维持成熟神经元的存活的生物学功能,能调控神经元再生的微环境、可促进运动神经元的存活和生长并能防止它受损及死亡。
产品图片
Sample: DU145 Cell (Human) Lysate at 40 ug Primary: Anti-Neurotrophin 4 (bs-0158R) at 1/300 dilution Secondary: IRDye800CW Goat Anti-Rabbit IgG at 1/20000 dilution Predicted band size: 14/27 kD Observed band size: 26 kD
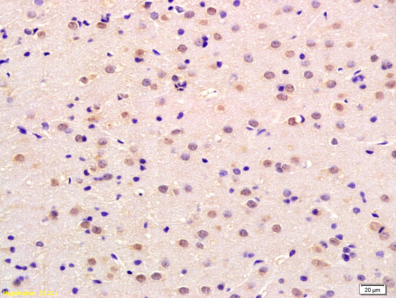
Tissue/cell: rat brain tissue; 4% Paraformaldehyde-fixed and paraffin-embedded; Antigen retrieval: citrate buffer ( 0.01M, pH 6.0 ), Boiling bathing for 15min; Block endogenous peroxidase by 3% Hydrogen peroxide for 30min; Blocking buffer (normal goat serum,C-0005) at 37℃ for 20 min; Incubation: Anti-Neurotrophin 4/NT-4/NT-5 Polyclonal Antibody, Unconjugated(bs-0158R) 1:200, overnight at 4°C, followed by conjugation to the secondary antibody(SP-0023) and DAB(C-0010) staining
版权所有 2004-2026 www.bioss.com.cn 北京博奥森生物技术有限公司
通过国际质量管理体系ISO 9001:2015 GB/T 19001-2016    证书编号: 00124Q34771R2M/1100
通过国际医疗器械-质量管理体系ISO 13485:2016 GB/T 42061-2022     证书编号: CQC24QY20047R0M/1100
京ICP备05066980号-1         京公网安备110107000727号