扫码关注公众号           扫码咨询技术支持           扫码咨询技术服务
  
客服热线:400-901-9800  客服QQ:4009019800  技术答疑  技术支持  质量反馈  人才招聘  关于我们  联系我们
产品中心-北京博奥森生物技术有限公司
首页 > 产品中心 > 一抗 > 产品信息
eNOS Rabbit pAb (bs-0163R)  
订购热线:400-901-9800
订购邮箱:sales@bioss.com.cn
订购QQ:  400-901-9800
技术支持:techsupport@bioss.com.cn
50ul/1180.00元
100ul/1980.00元
200ul/2800.00元
大包装/询价

产品编号 bs-0163R
英文名称 eNOS Rabbit pAb
中文名称 一氧化氮合成酶-3(内皮型)抗体
别    名 ECNOS; eNOS; 2310065A03Rik; Nos-3; NOS3_BOVIN; NOS3; Constitutive NOS (cNOS); EC-NOS; NOS type III (NOSIII); Nitric oxide synthase, endothelial (Endothelial NOS | eNOS); 1.14.13.39; NOS3_HUMAN; NOS3_MOUSE; NOS3_RAT;   
Specific References  (17)     |     bs-0163R has been referenced in 17 publications.
[IF=5.51] Nour, Sayed, et al. "Intrapulmonary shear stress enhancement: A new therapeutic approach in acute myocardial ischemia." International Journal of Cardiology (2013).  Pig.  
[IF=4.12] Yang et al. In situ eNOS/NO up-regulation-a simple and effective therapeutic strategy for diabetic skin ulcer. (2016) Sci.Rep. 6:30326  IHC ;  Rat.  
[IF=3.457] Gao Y et al. Ginsenoside Re inhibits vascular neointimal hyperplasia in balloon-injured carotid arteries through activating the eNOS/NO/cGMP pathway in rats Y Gao, CY Gao, P Zhu, SF Xu, YM Luo, J Deng… - Biomedicine & …, 2018Biomed Pharmacother. 2018 Oct;106:1091-1097.  IHC-P ;  Rat.  
[IF=3.337] Liang Huang. et al. Ginsenoside Rg1 promoted the wound healing in diabetic foot ulcers via miR-489–3p/Sirt1 axis. J Pharmacol Sci. 2021 Aug;:  IHC ;  Rat.  
[IF=3.14] Li, Hongyan, et al. "Oxidative stress, endothelial dysfunction and inflammatory response in rat heart to NO< sub> 2 inhalation exposure." Chemosphere 82.11 (2011): 1589-1596.  WB ;  Rat.  
[IF=3.05] Ji, Chenyang, et al. "Construction of tissue‐engineered corpus cavernosum with muscle‐derived stem cells and transplantation in vivo." BJU international 107.10 (2011): 1638-1646.  Rabbit.  
[IF=2.948] Gokhan Ozge. et al. Salubrinal Ameliorates Inflammation and Neovascularization via the Caspase 3/Enos Signaling in an Alkaline-Induced Rat Corneal Neovascularization Model. MED LITH. 2023 Feb;59(2):323  IHC ;  Rat.  
[IF=2.768] Chen L et al. Compressive force-induced autophagy in periodontal ligament cells downregulatesosteoclastogenesis during tooth movement. J Periodontol. 2019 May 11.  WB ;  Mouse&Human.  
[IF=2.59] Wu, Chun Shan, et al. "Bubble CPAP Support after Discontinuation of Mechanical Ventilation Protects Rat Lungs with Ventilator-Induced Lung Injury." Respiration (2016).  other ;  
[IF=2.59] Sun, Tao, et al. "Antihypertensive effect of formononetin through regulating the expressions of eNOS, 5-HT< sub> 2A/1B receptors and α< sub> 1-adrenoceptors in spontaneously hypertensive rat arteries." European Journal of Pharmacology (2013).  Rat.  
[IF=1.813] Fan Q et al. Phenylethanol Glycosides Protect Myocardial Hypertrophy Induced by Abdominal Aortic Constriction via ECE-1 Demethylation Inhibition and PI3K/PKB/eNOS Pathway Enhancement. Evid Based Complement Alternat Med. 2020 Jun 9;2020:2957094.  WB ;  Rat.  
[IF=1.732] Li B et al. Oxidative stress mediates renal endothelial cell damage in trichloroethylene-sensitized mice. J Toxicol Sci. 2019;44(5):317-326.  IHC-P ;  Mouse.  
[IF=1.48] Wen, Chen-Ting, Tao He, and Yi-Qiao Xing. "Erythropoietin promotes retinal angiogenesis in a mouse model." Molecular medicine reports 10.6 (2014): 2979-2984.  WB ;  Mouse.  
[IF=1.38] Hu, Zhibin, et al. "Comparative analysis of preservation method and intermittent perfusion volume on the expression of endothelial and inflammatory markers by coronal artery and myocardium in porcine donor hearts." ASAIO journal (American Society for Artificial Internal Organs: 1992) (2014).  IHC-P ;  Pig.  
[IF=0.939] Prayitnaningsih et al. Neuropathy optic glaucomatosa induced by systemic hypertension through activation endothelin-1 signaling pathway in central retinal artery in rats. (2016) Int.J.Ophthalmol. 9:1568-1577  IF(IHC-P) ;  Rat.  
[IF=0.882] Ali Tuğrul Akin. et al. Therapeutic effects of thymoquinone in doxorubicin-induced hepatotoxicity via oxidative stress, inflammation and apoptosis. 2021 Sep 08  IHC ;  rat.  
[IF=0] Jin et al. Icariin, a phosphodiesterase-5 inhibitor, improves learning and memory in APP/PS1 transgenic mice by stimulation of NO/cGMP signalling. (2014) Int.J.Neuropsychopharmacol. 17:871-81  WB ;  Mouse.  
研究领域 神经生物学  
抗体来源 Rabbit
克隆类型 Polyclonal
克 隆 号
交叉反应 Rat (predicted: Human,Mouse,Pig,Sheep,Cow,Dog,GuineaPig)
产品应用 IHC-P=1:100-500,IHC-F=1:100-500,IF=1:100-500
not yet tested in other applications.
optimal dilutions/concentrations should be determined by the end user.
理论分子量 133 kDa
细胞定位 细胞浆 细胞膜 
性    状 Liquid
浓    度 1mg/ml
免 疫 原 KLH conjugated synthetic peptide derived from mouse eNOS: 1105-1202/1203 
亚    型 IgG
纯化方法 affinity purified by Protein A
缓 冲 液 0.01M TBS (pH7.4) with 1% BSA, 0.02% Proclin300 and 50% Glycerol.
保存条件 Shipped at 4℃. Store at -20℃ for one year. Avoid repeated freeze/thaw cycles.
注意事项 This product as supplied is intended for research use only, not for use in human, therapeutic or diagnostic applications.
PubMed PubMed
产品介绍 Nitric oxide synthase NOS oxidizes a guanidine nitrogen of arginine releasing nitric oxide in the form of a free radical and citrulline. Nitric oxide thus generated acts as a messenger in diverse functions including vasodilation neurotransmission, anti tumor and anti pathogenic activities. NOS is classified under three types: neuronal NOS (nNOS) or brain NOS (bNOS); inducible NOS (iNOS) or macrophage NOS (mNOS); and endothelial NOS (eNOS).

eNOS is a calcium/calmodulin dependent enzyme which undergoes several post translational modifications, including acylation with myristate and palmitate, and phosphorylation on numerous residues. As with the other members of the NOS family, eNOS derives the diffusible multifunctional second messenger NO from L arginine through a series of reactions in which L citrulline is an intermediate. eNOS plays an important role in controlling vascular tone, platelet aggregation, and cardiac myocyte function.

Function:
Produces nitric oxide (NO) which is implicated in vascular smooth muscle relaxation through a cGMP-mediated signal transduction pathway. NO mediates vascular endothelial growth factor (VEGF)-induced angiogenesis in coronary vessels and promotes blood clotting through the activation of platelets.
Isoform eNOS13C: Lacks eNOS activity, dominant-negative form that may down-regulate eNOS activity by forming heterodimers with isoform 1.

Subunit:
Homodimer. Interacts with NOSIP and NOSTRIN.

Subcellular Location:
Cell membrane. Membrane, caveola. Cytoplasm, cytoskeleton. Golgi apparatus. Note=Specifically associates with actin cytoskeleton in the G2 phase of the cell cycle; which is favored by interaction with NOSIP and results in a reduced enzymatic activity.

Tissue Specificity:
Platelets, placenta, liver and kidney.

Post-translational modifications:
Phosphorylation by AMPK at Ser-1177 in the presence of Ca(2+)-calmodulin (CaM) activates activity. In absence of Ca(2+)-calmodulin, AMPK also phosphorylates Thr-495, resulting in inhibition of activity. Phosphorylation of Ser-114 by CDK5 reduces activity.

Similarity:
Belongs to the NOS family.
Contains 1 FAD-binding FR-type domain.
Contains 1 flavodoxin-like domain.

SWISS:
P70313

Gene ID:
18127

Database links:

Entrez Gene: 287024 Cow

Entrez Gene: 4846 Human

Entrez Gene: 18127 Mouse

Entrez Gene: 24600 Rat

Omim: 163729 Human

SwissProt: P29473 Cow

SwissProt: P29474 Human

SwissProt: P70313 Mouse

SwissProt: Q62600 Rat

Unigene: 647092 Human

Unigene: 258415 Mouse

Unigene: 44265 Rat



合成与降解(Synthesis and Degradation)
催化生物体内一氧化氮(NO)生成的酶。分神经型一氧化氮合成的酶(nNOS or NOS-1)、诱导型一氧化氮合成的酶(iNOS or NOS-2)、内皮型一氧化氮合成的酶(eNOS or NOS-3)。此抗体识别分子量为135kDa的内皮型一氧化氮合成的酶。
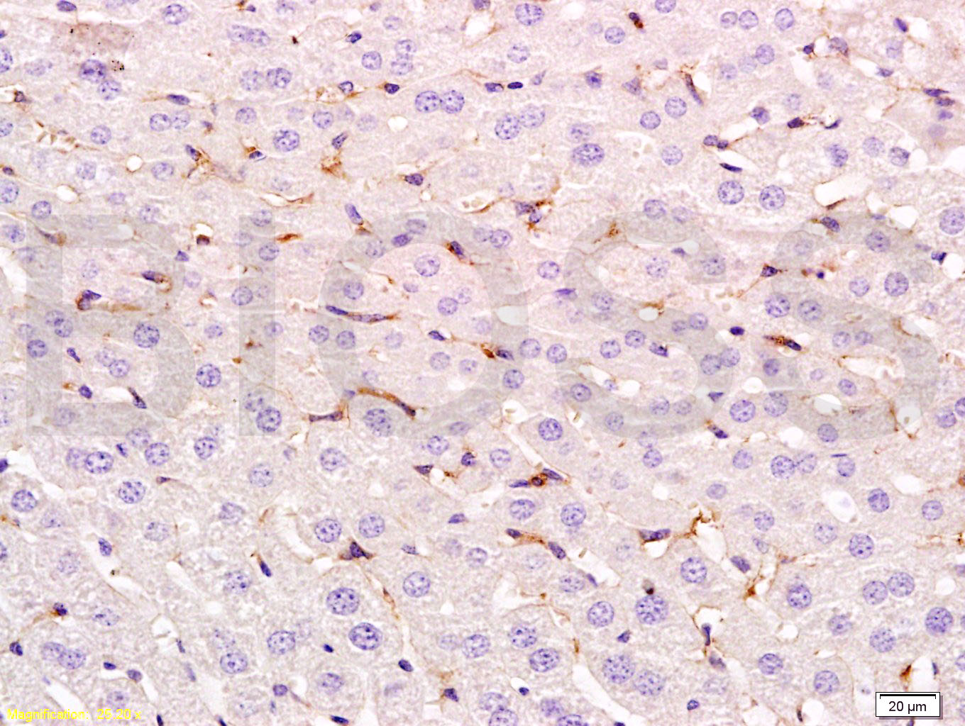
产品图片
Tissue/cell: rat liver tissue; 4% Paraformaldehyde-fixed and paraffin-embedded; Antigen retrieval: citrate buffer ( 0.01M, pH 6.0 ), Boiling bathing for 15min; Block endogenous peroxidase by 3% Hydrogen peroxide for 30min; Blocking buffer (normal goat serum,C-0005) at 37℃ for 20 min; Incubation: Anti-NOS-3/eNOS Polyclonal Antibody, Unconjugated(bs-0163R) 1:100, overnight at 4°C, followed by conjugation to the secondary antibody(SP-0023) and DAB(C-0010) staining
版权所有 2004-2026 www.bioss.com.cn 北京博奥森生物技术有限公司
通过国际质量管理体系ISO 9001:2015 GB/T 19001-2016    证书编号: 00124Q34771R2M/1100
通过国际医疗器械-质量管理体系ISO 13485:2016 GB/T 42061-2022     证书编号: CQC24QY20047R0M/1100
京ICP备05066980号-1         京公网安备110107000727号