扫码关注公众号           扫码咨询技术支持           扫码咨询技术服务
  
客服热线:400-901-9800  客服QQ:4009019800  技术答疑  技术支持  质量反馈  关于我们  联系我们
产品中心-北京博奥森生物技术有限公司
首页 > 产品中心 > 一抗 > 产品信息
iNOS Rabbit pAb (bs-0162R)  
订购热线:400-901-9800
订购邮箱:sales@bioss.com.cn
订购QQ:  400-901-9800
技术支持:techsupport@bioss.com.cn
50ul/1180.00元
100ul/1980.00元
大包装/询价

产品编号 bs-0162R
英文名称 iNOS Rabbit pAb
中文名称 一氧化氮合成酶-2(诱导型)抗体
别    名 i NOS; Nitric Oxide Synthase, Inducible; HEP NOS; Hepatocyte NOS; HEPNOS; Inducible nitric oxide synthase; Inducible NO synthase; Inducible NOS; INOS; Inosl; MAC NOS; Macrophage NOS; Nitric oxide synthase 2 inducible macrophage; Nitric oxide synthase 2A(inducible hepatocytes); Nitric oxide synthase inducible; NOS 2; NOS 2A; NOS; Nos II; NOS type II; Nos2; NOS2A; NOS2_HUMAN.  
Specific References  (49)     |     bs-0162R has been referenced in 49 publications.
[IF=32.086] Congyang Mao. et al. Realising highly efficient sonodynamic bactericidal capability through the phonon–electron coupling effect using two-dimensional catalytic planar defects. ADV MATER. 2022 Dec;:2208681  IF ;  Mouse.  
[IF=16.874] Bingcheng Yi. et al. Step-wise CAG@PLys@PDA-Cu2+ modification on micropatterned nanofibers for programmed endothelial healing. BIOACT MATER. 2022 Jul;:  IF ;  Human.  
[IF=15.304] Xuan Li. et al. ROS-responsive hydrogel coating modified titanium promotes vascularization and osteointegration of bone defects by orchestrating immunomodulation. BIOMATERIALS. 2022 Aug;287:121683  IF ;  Rat.  
[IF=13.273] Fangyu Qiao. et al. 4-Octyl itaconate modified demineralized bone matrix scaffold improves bone repair by regulating early inflammation. Chem Eng J. 2021 Dec;425:131490  WB,IF ;  Rat.  
[IF=11.092] Fangyu Qiao. et al. Hybrid Cell Membrane-Functionalized Matrixes for Modulating Inflammatory Microenvironment and Improving Bone Defect Repair. ADV HEALTHC MATER. 2023 Apr;:2203047  IF ;  Rat.  
[IF=10.041] Bingcheng Yi. et al. Lysine-doped polydopamine coating enhances antithrombogenicity and endothelialization of an electrospun aligned fibrous vascular graft. Appl Mater Today. 2021 Dec;25:101198  IF ;  Mouse.  
[IF=8.947] Guanglin Zhang. et al. Soft apoptotic-cell-inspired nanoparticles persistently bind to macrophage membranes and promote anti-inflammatory and pro-healing effects. Acta Biomater. 2021 Jul;:  IF ;  Mouse.  
[IF=8.758] Yinying Sheng. et al. Development and In Vitro Biodegradation of Biomimetic Zwitterionic Phosphorylcholine Chitosan Coating on Zn1Mg Alloy. Acs Appl Mater Inter. 2020;12(49):54445–54458  IF ;  Mouse.  
[IF=8.724] Penghui Zhang. et al. Effect of cyclic mechanical loading on immunoinflammatory microenvironment in biofabricating hydroxyapatite scaffold for bone regeneration. Bioact Mater. 2021 Oct;6:3097  WB ;  Mouse.  
[IF=8.352] Ye Hea et al. Improved osteointegration by SEW2871-encapsulated multilayers on micro-structured titanium via macrophages recruitment and immunomodulation. Applied Materials Today 20 (2020) 100673  IHC/IF ;  Rat/Mouse.  
[IF=7.919] Chen Y et al. A selected small molecule prevents inflammatory osteolysis through restraining osteoclastogenesis by modulating PTEN activityClin Transl Med.2020 Dec;10(8):e240.  WB、IHC ;  Mouse.  
[IF=7.727] Xue Wang. et al. Engineered liposomes targeting the gut–CNS Axis for comprehensive therapy of spinal cord injury. J Control Release. 2021 Mar;331:390  WB,IHC ;  Mouse.  
[IF=7.328] Dongdong Yao. et al. Matrix stiffness regulates bone repair by modulating 12-lipoxygenase-mediated early inflammation. Mat Sci Eng C-Mater. 2021 Sep;128:112359  WB,IF ;  Rat.  
[IF=6.331] Hao Chen. et al. Au nanocluster-modulated macrophage polarization and synoviocyte apoptosis for enhanced rheumatoid arthritis treatment. J MATER CHEM B. 2022 May;:  WB,IF ;  Rat.  
[IF=6.15] Hu, Shuang. et al. Deletion of p38γ attenuates ethanol consumption- and acetaminophen-induced liver injury in mice through promoting Dlg1. Acta Pharmacol Sin. 2021 Nov;:1-16  WB ;  Mouse.  
[IF=5.988] Guirong Chen. et al. The interaction of MD-2 with small molecules in huanglian jiedu decoction play a critical role in the treatment of sepsis.. FRONT PHARMACOL. 2022 Sep;13:947095-947095  WB ;  Mouse.  
[IF=5.988] Sisi Lei. et al. Chaihu Shugan powder alleviates liver inflammation and hepatic steatosis in NAFLD mice: A network pharmacology study and in vivo experimental validation.. FRONT PHARMACOL. 2022 Sep;13:967623-967623  WB ;  Mouse.  
[IF=5.88] Shuai Chen. et al. Chondroitin sulfate modified 3D porous electrospun nanofiber scaffolds promote cartilage regeneration. Mat Sci Eng C-Mater. 2021 Jan;118:111312  IHC ;  Rabbit.  
[IF=5.64] Wang et al. CXCL1 derived from tumor-associated macrophages promotes breast cancer metastasis via activating NF-κB/SOX4 signaling. (2018) Cell.Death.Dis. 9:880  WB ;  Mouse.  
[IF=5.195] Xin Zhao. et al. Diammonium glycyrrhizinate ameliorates portal hypertension by regulating portal macrophage oxidation and superoxide dismutase 3. EUR J PHARMACOL. 2022 Jun;:175115  IHC ;  Rat.  
[IF=5.037] Xin-yu Zhang. et al. Cerebralcare Granule® combined with nimodipine improves cognitive impairment in bilateral carotid artery occlusion rats by reducing lipocalin-2. Life Sci. 2021 Dec;286:120048  WB ;  Rat.  
[IF=4.56] Shanshan et al. Phospholipase A2 of Peroxiredoxin 6 Plays a Critical Role in Cerebral Ischemia/Reperfusion Inflammatory Injury. (2017) Front.Cell.Neurosc. 11:99  WB ;  Rat.  
[IF=4.35] Yun-Jiao Shi. et al. Impact of the Plastein Reaction of Casein Hydrolysates in the Presence of Exogenous Amino Acids on Their Anti-Inflammatory Effect in the Lipopolysaccharide-Stimulated Macrophages. Foods. 2022 Jan;11(2):196  WB ;  Mouse.  
[IF=4.225] Jiang Q et al. Particulate Matter 2.5 Induced Developmental Cardiotoxicity in Chicken Embryo and Hatchling. Front Pharmacol. 2020 Jun 5;11:841.  WB ;  Chicken.  
[IF=4.183] Imoto K et al. Periostin Mediates Right Ventricular Failure through Induction of Inducible Nitric Oxide SynthaseExpression in Right Ventricular Fibroblasts from Monocrotaline-Induced Pulmonary Arterial Hypertensive Rats. Int J Mol Sci. 2018 Dec 24;20(1). pii: E62.  IHC-P ;  Rat.  
[IF=4.158] Xueyang Zhao. et al. Improved tribological properties, cyto-biocompatibility and anti-inflammatory ability of additive manufactured Ti-6Al-4V alloy through surface texturing and nitriding. Surf Coat Tech. 2021 Nov;425:127686  IF ;  mosue.  
[IF=3.943] Kai Kang. et al. FGF21 alleviates chronic inflammatory injury in the aging process through modulating polarization of macrophages. Int Immunopharmacol. 2021 Jul;96:107634  WB ;  Mouse.  
[IF=3.909] Qian Xueshen. et al. Periodontitis Deteriorates Cognitive Function and Impairs Neurons and Glia in a Mouse Model of Alzheimer’s Disease. J Alzheimers Dis. 2021 Jan;79(4):1785-1800  WB ;  Mouse.  
[IF=3.87] Jiao F et al. AGK2 Alleviates Lipopolysaccharide Induced Neuroinflammation through Regulation of Mitogen-Activated Protein Kinase Phosphatase-1. J Neuroimmune Pharmacol. 2019 Nov 30.  IHF ;  Mouse.  
[IF=3.761] Toru Nishikawa et al. Therapeutic potential for insulin on type 1 diabetes‐associated periodontitis: analysis of experimental periodontitis in streptozotocin‐induced diabetic rats. J Diabetes Investig . 2020 Apr 17.  IHC ;  rat.  
研究领域 细胞生物  免疫学  神经生物学  信号转导  转录调节因子  激酶和磷酸酶  
抗体来源 Rabbit
克隆类型 Polyclonal
克 隆 号
交叉反应 Human,Mouse,Rat
产品应用 WB=1:500-2000,IHC-P=1:100-500,IHC-F=1:100-500,IF=1:100-500,ICC/IF=1:100-500,ELISA=1:5000-10000
not yet tested in other applications.
optimal dilutions/concentrations should be determined by the end user.
理论分子量 130 kDa
检测分子量
细胞定位 细胞核 细胞浆 
性    状 Liquid
浓    度 1mg/ml
免 疫 原 KLH conjugated synthetic peptide derived from human NOS-2: 101-200/1153 
亚    型 IgG
纯化方法 affinity purified by Protein A
缓 冲 液 0.01M TBS (pH7.4) with 1% BSA, 0.02% Proclin300 and 50% Glycerol.
保存条件 Shipped at 4℃. Store at -20℃ for one year. Avoid repeated freeze/thaw cycles.
注意事项 This product as supplied is intended for research use only, not for use in human, therapeutic or diagnostic applications.
PubMed PubMed
产品介绍 Nitric oxide (NO) is an inorganic, gaseous free radical that carries a variety of messages between cells. Vasorelaxation, neurotransmission and cytotoxicity can all be potentiated through cellular response to NO. NO production is mediated by members of the nitric oxide synthase (NOS) family. NOS catalyzes the oxidization of L-arginine to produce L-citrulline and NO. Two constitutive isoforms, brain or neuronal NOS (b or nNOS, type I) & endothelial cell NOS (eNOS, type III), and one inducible isoform (iNOS, type II), have been cloned. All NOS isoforms contain calmodulin, nicotinamide adenine dinucleotide phosphate (NADPH), flavin adenine dinucleotide (FAD), and flavin mononucleotide (FMN) binding domains. Nitric oxide synthase is expressed in liver, macrophages, hepatocytes, synoviocytes, stimulated glial cells and smooth muscle cells. Cytokines such as interferon-gamma (IFN), tumor necrosis factor (TNF), interleukin-1 and -2, and lipopolysaccarides (LPS) cause an increase in iNOS mRNA, protein, and activity levels. Protein kinase C-stimulating agents exhibit the same effect on iNOS activity. After cytokine induction, iNOS exhibits a delayed activity response which is then followed by a significant increase in NO production over a long period of time. Human iNOS is regulated by calcium/calmodulin (in contrast with mouse NOS2).

Function:
Produces nitric oxide (NO) which is a messenger molecule with diverse functions throughout the body. In macrophages, NO mediates tumoricidal and bactericidal actions. Also has nitrosylase activity and mediates cysteine S-nitrosylation of cytoplasmic target proteins such COX2.

Subunit:
Homodimer. Binds SLC9A3R1.

Tissue Specificity:
Expressed in the liver, retina, bone cells and airway epithelial cells of the lung. Not expressed in the platelets.

Similarity:
Belongs to the NOS family.
Contains 1 FAD-binding FR-type domain.
Contains 1 flavodoxin-like domain.

SWISS:
P35228

Gene ID:
4843

Database links:

Entrez Gene: 4843 Human

Entrez Gene: 18126 Mouse

Entrez Gene: 24599 Rat

Omim: 163730 Human

SwissProt: P35228 Human

SwissProt: P29477 Mouse

SwissProt: Q06518 Rat

Unigene: 709191 Human

Unigene: 2893 Mouse

Unigene: 10400 Rat



合成与降解(Synthesis and Degradation)
催化生物体内一氧化氮(NO)生成的酶。分神经型一氧化氮合成的酶(nNOS or NOS-1)、诱导型一氧化氮合成的酶(iNOS or NOS-2)、内皮型一氧化氮合成的酶(eNOS or NOS-3)。
产品图片
Sample:U251 Cell Lysate at 40 ug Primary: Anti-iNOS(bs-0162R)at 1/300 dilution Secondary: IRDye800CW Goat Anti-RabbitIgG at 1/20000 dilution Predicted band size: 130kD Observed band size: 130kD
Sample: Lane 1: Mouse Raw264.7 tissue lysates Lane 2: Human Jurkat cell lysates Primary: Anti-iNOS (bs-0162R) at 1/1000 dilution Secondary: IRDye800CW Goat Anti-Rabbit IgG at 1/20000 dilution Predicted band size: 130 kDa Observed band size: 140 kDa
Paraformaldehyde-fixed, paraffin embedded (mouse brain); Antigen retrieval by boiling in sodium citrate buffer (pH6.0) for 15min; Block endogenous peroxidase by 3% hydrogen peroxide for 20 minutes; Blocking buffer (normal goat serum) at 37°C for 30min; Antibody incubation with (inos) Polyclonal Antibody, Unconjugated (bs-0162R) at 1:200 overnight at 4°C, followed by operating according to SP Kit(Rabbit) (sp-0023) instructionsand DAB staining.
Paraformaldehyde-fixed, paraffin embedded (Rat liver); Antigen retrieval by boiling in sodium citrate buffer (pH6.0) for 15min; Block endogenous peroxidase by 3% hydrogen peroxide for 20 minutes; Blocking buffer (normal goat serum) at 37°C for 30min; Antibody incubation with (iNOS) Polyclonal Antibody, Unconjugated (bs-0162R) at 1:500 overnight at 4°C, followed by a conjugated secondary (sp-0023) for 20 minutes and DAB staining.
Tissue/cell: human kidney tissue; 4% Paraformaldehyde-fixed and paraffin-embedded; Antigen retrieval: citrate buffer ( 0.01M, pH 6.0 ), Boiling bathing for 15min; Block endogenous peroxidase by 3% Hydrogen peroxide for 30min; Blocking buffer (normal goat serum,C-0005) at 37℃ for 20 min; Incubation: Anti-iNOS Polyclonal Antibody, Unconjugated(bs-0162R) 1:200, overnight at 4°C, followed by conjugation to the secondary antibody(SP-0023) and DAB(C-0010) staining
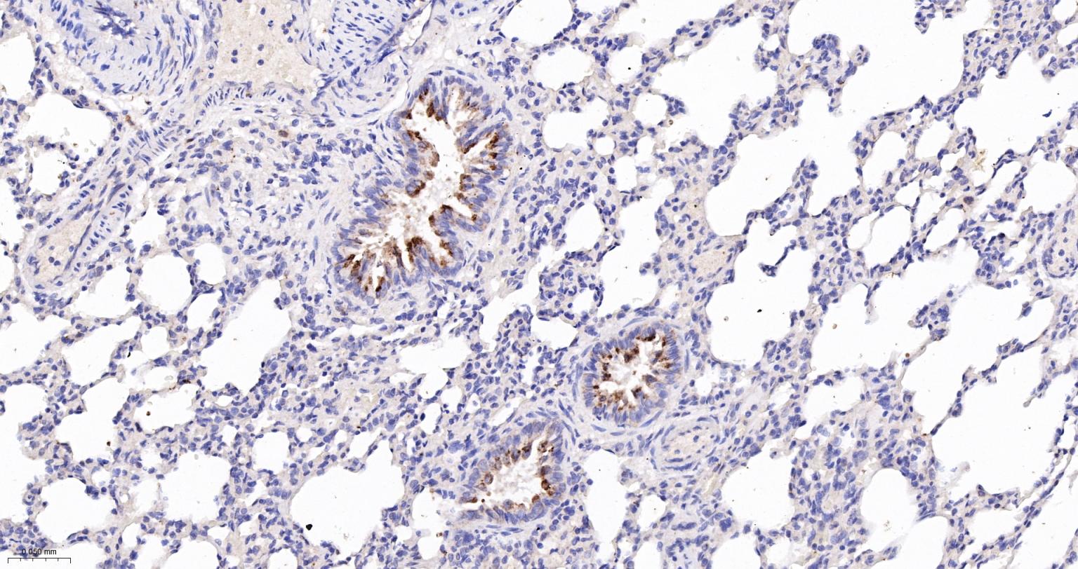
Tissue/cell: Rat lung tissue; 4% Paraformaldehyde-fixed and paraffin-embedded; Antigen retrieval: citrate buffer ( 0.01M, pH 6.0 ), Boiling bathing for 15min; Block endogenous peroxidase by 3% Hydrogen peroxide for 30min; Blocking buffer (normal goat serum,C-0005) at 37℃ for 20 min; Incubation: Anti-iNOS Polyclonal Antibody, Unconjugated(bs-0162R) 1:200, overnight at 4°C, followed by conjugation to the secondary antibody(SP-0023) and DAB(C-0010) staining
版权所有 2004-2026 www.bioss.com.cn 北京博奥森生物技术有限公司
通过国际质量管理体系ISO 9001:2015 GB/T 19001-2016    证书编号: 00124Q34771R2M/1100
通过国际医疗器械-质量管理体系ISO 13485:2016 GB/T 42061-2022    证书编号: CQC24QY10047R0M/1100
京ICP备05066980号-1         京公网安备110107000727号