扫码关注公众号           扫码咨询技术支持           扫码咨询技术服务
  
客服热线:400-901-9800  客服QQ:4009019800  技术答疑  技术支持  质量反馈  关于我们  联系我们
产品中心-北京博奥森生物技术有限公司
首页 > 产品中心 > 一抗 > 产品信息
Nogo-A Rabbit pAb (bs-0134R)  
订购热线:400-901-9800
订购邮箱:sales@bioss.com.cn
订购QQ:  400-901-9800
技术支持:techsupport@bioss.com.cn
50ul/1180.00元
100ul/1980.00元
200ul/2800.00元
大包装/询价

产品编号 bs-0134R
英文名称 Nogo-A Rabbit pAb
中文名称 轴索过度生长抑制因子-A抗体
别    名 Nogo A; reticulon-4 isoform D; ASY; Foocen; Human NogoA; KIAA0886; My043 protein; Nbla00271; Nbla10545; Neurite growth inhibitor 220; Neurite Outgrowth Inhibitor; Neuroendocrine specific protein; Neuroendocrine specific protein C homolog; NI220/250; Nogo A; NOGO; Nogo protein; NogoA; NSP; NSP CL; Reticulon 4; Reticulon 5; Reticulon4; Reticulon5; RTN 4; RTN 4A; RTN X; RTN xL; RTN4 A; RTN4; RTN4 B1; RTN4 B2; RTN4 C; RTN4 protein; RTN4_HUMAN; Reticulon-4; Neuroendocrine-specific protein.  
Specific References  (1)     |     bs-0134R has been referenced in 1 publications.
[IF=3.77] Hui-xian Li. et al. PACAP-derived mutant peptide MPAPO protects trigeminal ganglion cell and the retina from hypoxic injury through anti-oxidative stress, anti-apoptosis, and promoting axon regeneration. Bba-Gen Subjects. 2021 Dec;1865:130018  IF ;  mouse.  
研究领域 细胞生物  神经生物学  
抗体来源 Rabbit
克隆类型 Polyclonal
克 隆 号
交叉反应 Human,Rat (predicted: Mouse)
产品应用 IHC-P=1:100-500,IHC-F=1:100-500,IF=1:100-500,Flow-Cyt=3μg/Test
not yet tested in other applications.
optimal dilutions/concentrations should be determined by the end user.
理论分子量 131 kDa
检测分子量
细胞定位 细胞浆 细胞膜 
性    状 Liquid
浓    度 1mg/ml
免 疫 原 KLH conjugated synthetic peptide derived from mouse RTN4 protein: 301-400/1192 
亚    型 IgG
纯化方法 affinity purified by Protein A
缓 冲 液 0.01M TBS (pH7.4) with 1% BSA, 0.02% Proclin300 and 50% Glycerol.
保存条件 Shipped at 4℃. Store at -20℃ for one year. Avoid repeated freeze/thaw cycles.
注意事项 This product as supplied is intended for research use only, not for use in human, therapeutic or diagnostic applications.
PubMed PubMed
产品介绍 This gene belongs to the family of reticulon encoding genes. Reticulons are associated with the endoplasmic reticulum, and are involved in neuroendocrine secretion or in membrane trafficking in neuroendocrine cells. The product of this gene is a potent neurite outgrowth inhibitor which may also help block the regeneration of the central nervous system in higher vertebrates. Alternatively spliced transcript variants derived both from differential splicing and differential promoter usage and encoding different isoforms have been identified. [provided by RefSeq, Jul 2008].

Function:
Developmental neurite growth regulatory factor with a role as a negative regulator of axon-axon adhesion and growth, and as a facilitator of neurite branching. Regulates neurite fasciculation, branching and extension in the developing nervous system. Involved in down-regulation of growth, stabilization of wiring and restriction of plasticity in the adult CNS. Regulates the radial migration of cortical neurons via an RTN4R-LINGO1 containing receptor complex (By similarity). Isoform 2 reduces the anti-apoptotic activity of Bcl-xl and Bcl-2. This is likely consecutive to their change in subcellular location, from the mitochondria to the endoplasmic reticulum, after binding and sequestration. Isoform 2 and isoform 3 inhibit BACE1 activity and amyloid precursor protein processing.

Subunit:
Binds to RTN4R. Interacts with Bcl-xl and Bcl-2. Isoform 2 binds to NGBR and RTN3. Isoform 2 and isoform 3 interact with BACE1 and BACE2. Interacts with RTN4IP1. Interacts with ATL1.

Subcellular Location:
Endoplasmic reticulum membrane. Anchored to the membrane of the endoplasmic reticulum through 2 putative transmembrane domains.

Tissue Specificity:
Isoform 1 is specifically expressed in brain and testis and weakly in heart and skeletal muscle. Isoform 2 is widely expressed except for the liver. Isoform 3 is expressed in brain, skeletal muscle and adipocytes. Isoform 4 is testis-specific.

Similarity:
Contains 1 reticulon domain.

SWISS:
Q99P72

Gene ID:
68585

Database links:

Entrez Gene: 57142 Human

Entrez Gene: 68585 Mouse

Entrez Gene: 83765 Rat

Omim: 604475 Human

SwissProt: Q9NQC3 Human

SwissProt: Q99P72 Mouse

SwissProt: Q9JK11 Rat

Unigene: 704007 Human



神经生物学相关蛋白(Neurobiology)
Nogo-A轴索生长抑制因子在中枢神经的髓鞘上表达并在抑制损伤轴索修复中起着关键作用,从而有限制神经功能恢复的现象。主要定位细胞核。
产品图片
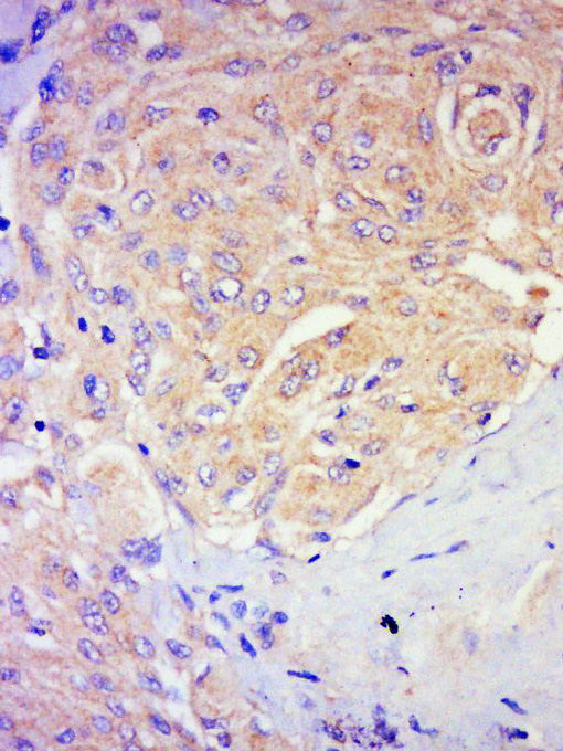
Tissue/cell: human meningioma tissue; 4% Paraformaldehyde-fixed and paraffin-embedded; Antigen retrieval: citrate buffer ( 0.01M, pH 6.0 ), Boiling bathing for 15min; Block endogenous peroxidase by 3% Hydrogen peroxide for 30min; Blocking buffer (normal goat serum,C-0005) at 37℃ for 20 min; Incubation: Anti-Nogo-A Polyclonal Antibody, Unconjugated(bs-0134R) 1:500, overnight at 4°C, followed by conjugation to the secondary antibody(SP-0023) and DAB(C-0010) staining
Paraformaldehyde-fixed, paraffin embedded (rat brain tissue); Antigen retrieval by boiling in sodium citrate buffer (pH6.0) for 15min; Block endogenous peroxidase by 3% hydrogen peroxide for 20 minutes; Blocking buffer (normal goat serum) at 37°C for 30min; Antibody incubation with (Nogo-A) Polyclonal Antibody, Unconjugated (bs-0134R) at 1:400 overnight at 4°C, followed by operating according to SP Kit(Rabbit) (sp-0023) instructionsand DAB staining.
Blank control: A431. Primary Antibody (green line): Rabbit Anti-Nogo-A antibody (bs-0134R) Dilution: 1μg /10^6 cells; Isotype Control Antibody (orange line): Rabbit IgG . Secondary Antibody: Goat anti-rabbit IgG-AF647 Dilution: 1μg /test. Protocol The cells were fixed with 4% PFA (10min at room temperature)and then permeabilized with 0.1% PBST for 20 min at room temperature. The cells were then incubated in 5%BSA to block non-specific protein-protein interactions for 30 min at room temperature.Cells stained with Primary Antibody for 30 min at room temperature. The secondary antibody used for 40 min at room temperature. Acquisition of 20,000 events was performed.
版权所有 2004-2026 www.bioss.com.cn 北京博奥森生物技术有限公司
通过国际质量管理体系ISO 9001:2015 GB/T 19001-2016    证书编号: 00124Q34771R2M/1100
通过国际医疗器械-质量管理体系ISO 13485:2016 GB/T 42061-2022    证书编号: CQC24QY10047R0M/1100
京ICP备05066980号-1         京公网安备110107000727号