扫码关注公众号           扫码咨询技术支持           扫码咨询技术服务
  
客服热线:400-901-9800  客服QQ:4009019800  技术答疑  技术支持  质量反馈  关于我们  联系我们
产品中心-北京博奥森生物技术有限公司
首页 > 产品中心 > 一抗 > 产品信息
IL-1 Beta Rabbit pAb (bs-0812R)  
订购热线:400-901-9800
订购邮箱:sales@bioss.com.cn
订购QQ:  400-901-9800
技术支持:techsupport@bioss.com.cn
50ul/1180.00元
100ul/1980.00元
200ul/2800.00元
大包装/询价

产品编号 bs-0812R
英文名称 IL-1 Beta Rabbit pAb
中文名称 白介素1β/IL-1β抗体
别    名 IL1B_HUMAN; Interleukin-1 beta; interleukin 1 beta; IL1F2; IL-1 beta; Catabolin; IL-1; IL1F2; IL1beta; IL1-BETA; IL-1beta; IL-1 beta; IL-1β; IL1β; IL-1B; IL1B;  IL-1B; IL-1 ß; IL-1-ß; IL-1 ß;
Specific References  (188)     |     bs-0812R has been referenced in 188 publications.
[IF=32.086] Yingying Jin. et al. A Novel “Inside-Out” Intraocular Nanomedicine Delivery Mode for Nanomaterials Biological Effects Enhanced Choroidal Neovascularization Occlusion and Microenvironment Regulation. ADV MATER. 2022 Dec;:2209690  IF ;  Mouse.  
[IF=16.744] Lubin Zhou. et al. A self-pumping dressing with in situ modification of non-woven fabric for promoting diabetic wound healing. CHEM ENG J. 2022 Dec;:141108  IHC ;  Rat.  
[IF=15.304] Jinbo Li. et al. Autophagy inhibition recovers deficient ICD-based cancer immunotherapy. BIOMATERIALS. 2022 Aug;287:121651  IF ;  Mouse.  
[IF=12.121] Haile Liu. et al. Catalytically potent and selective clusterzymes for modulation of neuroinflammation through single-atom substitutions. Nat Commun. 2021 Jan;12(1):1-14  IHC ;  Mouse.  
[IF=10.753] Panhong Wu. et al. Interleukin-17A knockout or self-recovery alleviated autoimmune reaction induced by fluoride in mouse testis. SCI TOTAL ENVIRON. 2023 Apr;:163616  WB ;  Mouse.  
[IF=10.383] Zhen Xu. et al. Green Biosynthesis of Silver Nanoparticles Using Aqueous Extracts of Ageratum Conyzoides and Their Anti-Inflammatory Effects. ACS APPL MATER INTER. 2023;XXXX(XXX):XXX-XXX  WB ;  Mouse,Human.  
[IF=10.317] Amlan Chakraborty. et al. Pulmonary myeloid cell uptake of biodegradable nanoparticles conjugated with an anti-fibrotic agent provides a novel strategy for treating chronic allergic airways disease. Biomaterials. 2021 Jun;273:120796  IHC ;  Mouse.  
[IF=9.58] Xiaoli Guo. et al. ASK1 signaling regulates phase-specific glial interactions during neuroinflammation. P Natl Acad Sci Usa. 2022 Feb;119(6):  IHC ;  Mouse.  
[IF=9.429] Wang, Daquan. et al. Protection of zero-valent iron nanoparticles against sepsis and septic heart failure. J NANOBIOTECHNOL. 2022 Dec;20(1):1-22  WB ;  Mouse.  
[IF=9.229] Jiarong Yang. et al. Mitigation Effects of Selenium Nanoparticles on Depression-Like Behavior Induced by Fluoride in Mice via the JAK2-STAT3 Pathway. Acs Appl Mater Inter. 2022;14(3):3685–3700  WB ;  Mouse.  
[IF=9.038] Bing Han. et al. Pulmonary inflammatory and fibrogenic response induced by graphitized multi-walled carbon nanotube involved in cGAS-STING signaling pathway. J Hazard Mater. 2021 May;:125984  WB ;  Mouse.  
[IF=8.943] Ze Kan. et al. Respiratory exposure to graphene oxide induces pulmonary fibrosis and organ damages in rats involving caspase-1/p38MAPK/TGF-β1 signaling pathways. CHEMOSPHERE. 2022 Jun;:135181  WB ;  Rat.  
[IF=8.943] Yujiao He. et al. Polystyrene nanoplastics deteriorate LPS-modulated duodenal permeability and inflammation in mice via ROS drived-NF-κB/NLRP3 pathway. CHEMOSPHERE. 2022 Nov;307:135662  WB ;  Mouse, Human.  
[IF=8.025] Lihui Ni. et al. The combination of insulin and linezolid ameliorates Staphylococcus aureus pneumonia in individuals with diabetes via the TLR2/MAPKs/NLRP3 pathway. INT J BIOL MACROMOL. 2023 Jul;242:124750  WB ;  Mouse.  
[IF=7.919] Chen Y et al. A selected small molecule prevents inflammatory osteolysis through restraining osteoclastogenesis by modulating PTEN activityClin Transl Med.2020 Dec;10(8):e240.  WB、IHC ;  Mouse.  
[IF=7.658] Yongbo Kang. et al. Lactobacillus acidophilus ameliorates obesity in mice through modulation of gut microbiota dysbiosis and intestinal permeability. Pharmacol Res. 2021 Dec;:106020  IHC ;  Mouse.  
[IF=7.62] Borgonetti, Vittoria. et al. Dual HDAC/BRD4 Inhibitors Relieves Neuropathic Pain by Attenuating Inflammatory Response in Microglia After Spared Nerve Injury. NEUROTHERAPEUTICS. 2022 May;:1-15  WB ;  Mouse.  
[IF=7.59] Xiaomeng Wang. et al. A multifunctional black phosphorus-based adhesive patch intrinsically induces partial EMT for effective burn wound healing. BIOMATER SCI-UK. 2022 Nov;:  IHC ;  Mouse.  
[IF=7.478] Ayaka Nakatani. et al. S100A8 enhances IL-1β production from nasal epithelial cells in eosinophilic chronic rhinosinusitis. ALLERGOL INT. 2022 Sep;:  IHC ;  Human.  
[IF=7.397] Takamasa Kido. et al. Effectiveness of interleukin-4 administration or zinc supplementation in improving zinc deficiency-associated thymic atrophy and fatty degeneration and in normalizing T cell maturation process. 2022 Feb 09  IHC ;  Rat.  
[IF=7.324] Yongbo Kang. et al. A Novel Synbiotic Alleviates Autoimmune Hepatitis by Modulating the Gut Microbiota-Liver Axis and Inhibiting the Hepatic TLR4/NF-κB/NLRP3 Signaling Pathway. MSYSTEMS. 2023 Feb 16  IHC ;  Mouse.  
[IF=7.086] Quan-Kuo He. et al. Captan exposure disrupts ovarian homeostasis and affects oocytes quality via mitochondrial dysfunction induced apoptosis. Chemosphere. 2022 Jan;286:131625  WB ;  Mouse.  
[IF=6.992] Qingyue Yang. et al. The link between deacetylation and hepatotoxicity induced by exposure to hexavalent chromium. J Adv Res. 2021 Apr;:  WB ;  Rat.  
[IF=6.922] Zhen-Ni Liu. et al. CD73 Attenuates Alcohol-Induced Liver Injury and Inflammation via Blocking TLR4/MyD88/NF-κB Signaling Pathway. J Inflamm Res. 2022 Jan;15:53-70  IHC ;  Mouse.  
[IF=6.832] Yun Yu. et al. Geniposide promotes splenic Treg differentiation to alleviate colonic inflammation and intestinal barrier injury in ulcerative colitis mice. BIOENGINEERED. 2022;13(6):14616-14631  IHC ;  Mouse.  
[IF=6.633] Shuai Jiang. et al. Cardiac-specific overexpression of Claudin-5 exerts protection against myocardial ischemia and reperfusion injury. BBA-MOL BASIS DIS. 2022 Sep;:166535  WB ;  Mouse.  
[IF=6.633] Zhi-Heng Zheng. et al. Neuroinflammation induces anxiety- and depressive-like behavior by modulating neuronal plasticity in the basolateral amygdala. Brain Behav Immun. 2021 Jan;91:505  WB ;  Mouse.  
[IF=6.604] Yuan Jiang. et al. Circular RNA Calm4 Regulates Hypoxia-Induced Pulmonary Arterial Smooth Muscle Cells Pyroptosis via the Circ-Calm4/miR-124-3p/PDCD6 Axis. Arterioscl Throm Vas. ;0:ATVBAHA.120.315525  WB ;  Mouse.  
[IF=6.576] Rong Li. et al. Integrated Analysis Reveals the Targets and Mechanisms in Immunosuppressive Effect of Mesalazine on Ulcerative Colitis. FRONT NUTR. 2022; 9: 867692  IHC,IF ;  Mouse.  
[IF=6.575] Qingqing Liu. et al. A Synbiotic Ameliorates Con A-Induced Autoimmune Hepatitis in Mice Through Modulation of Gut Microbiota And Immune Imbalance. MOL NUTR FOOD RES. 2023 Jan;:2200428  IF,IHC ;  Mouse.  
研究领域 细胞生物  免疫学  糖蛋白  
抗体来源 Rabbit
克隆类型 Polyclonal
克 隆 号
交叉反应 Human,Mouse (predicted: Rat)
产品应用 WB=1:500-2000,IHC-P=1:500-2000,IHC-F=1:500-2000,IF=1:500-2000
not yet tested in other applications.
optimal dilutions/concentrations should be determined by the end user.
理论分子量 17/32 kDa
检测分子量 17/32
细胞定位 分泌型蛋白 
性    状 Liquid
浓    度 1mg/ml
免 疫 原 KLH conjugated synthetic peptide derived from human IL-1beta: 101-200/269 
亚    型 IgG
纯化方法 affinity purified by Protein A
缓 冲 液 0.01M TBS (pH7.4) with 1% BSA, 0.02% Proclin300 and 50% Glycerol.
保存条件 Shipped at 4℃. Store at -20℃ for one year. Avoid repeated freeze/thaw cycles.
注意事项 This product as supplied is intended for research use only, not for use in human, therapeutic or diagnostic applications.
PubMed PubMed
产品介绍 The protein encoded by this gene is a member of the interleukin 1 cytokine family. This cytokine is produced by activated macrophages as a proprotein, which is proteolytically processed to its active form by caspase 1 (CASP1/ICE). This cytokine is an important mediator of the inflammatory response, and is involved in a variety of cellular activities, including cell proliferation, differentiation, and apoptosis. The induction of cyclooxygenase-2 (PTGS2/COX2) by this cytokine in the central nervous system (CNS) is found to contribute to inflammatory pain hypersensitivity. This gene and eight other interleukin 1 family genes form a cytokine gene cluster on chromosome 2. [provided by RefSeq, Jul 2008].

Function:
Produced by activated macrophages, IL-1 stimulates thymocyte proliferation by inducing IL-2 release, B-cell maturation and proliferation, and fibroblast growth factor activity. IL-1 proteins are involved in the inflammatory response, being identified as endogenous pyrogens, and are reported to stimulate the release of prostaglandin and collagenase from synovial cells.

Subunit:
Monomer.

Subcellular Location:
Secreted. Note=The lack of a specific hydrophobic segment in the precursor sequence suggests that IL-1 is released by damaged cells or is secreted by a mechanism differing from that used for other secretory proteins.

Similarity:
Belongs to the IL-1 family.

SWISS:
P01584

Gene ID:
3553

Database links:

Entrez Gene: 3553 Human

Entrez Gene: 16176 Mouse

Entrez Gene: 24494 Rat

Omim: 147720 Human

SwissProt: P01584 Human

SwissProt: P10749 Mouse

SwissProt: Q63264 Rat

Unigene: 126256 Human

Unigene: 222830 Mouse

Unigene: 9869 Rat



生长因子和激素( Growth Factor and Hormones)
IL-1β是一种糖蛋白,它既可诱导急性期时相关蛋白的产生,也是β细胞终末分化并分泌抗体的必需因子,在免疫调节中发挥重要做 用。
IL-1β前体在细胞内合成后被酶剪切为成熟形态后排出到细胞外,IL-1β的前体有153个氨基酸。成熟形态有116个氨基酸。
产品图片
THP-1 (H) cells were treated with or without TPA (80nM) for 24 h,then treated with (100ng/ml) lipopolysaccharide (LPS) for 6 h, then with (300ng/ml) Brefeldin A added after 3 h, 25 μg total protein per lane of cell lysates (see on figure) probed with IL-1 Beta polyclonal antibody, unconjugated (bs-0812R) at 1:1000 dilution and 4°C overnight incubation. Followed by conjugated secondary antibody incubation at r.t. for 60 min.
Sample: Lane 1: Normal Mouse Raw264.7 cell lysates Lane 2: Raw264.7 treated with 100ng/ml lipopolysaccharide (LPS) for 6h, then with 300ng/ml Brefeldin A added after 3 hours Primary: Anti-IL-1 Beta (bs-0812R) at 1/1000 dilution Secondary: IRDye800CW Goat Anti-Rabbit IgG at 1/20000 dilution Predicted band size: 17/32 kDa Observed band size: 35 kDa
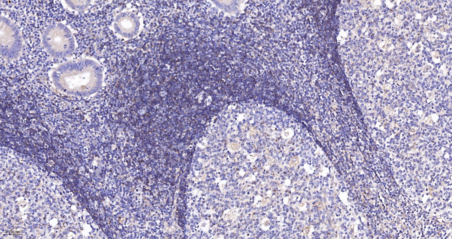
Paraformaldehyde-fixed, paraffin embedded Human purulent appendicitis; Antigen retrieval by boiling in sodium citrate buffer (pH6.0) for 15 min; The section was incubated with IL-1 Beta Polyclonal Antibody, Unconjugated (bs-0812R) at 1:1000 overnight at 4°C, followed by conjugation to the bs-0295G-HRP and DAB (C-0010) staining.
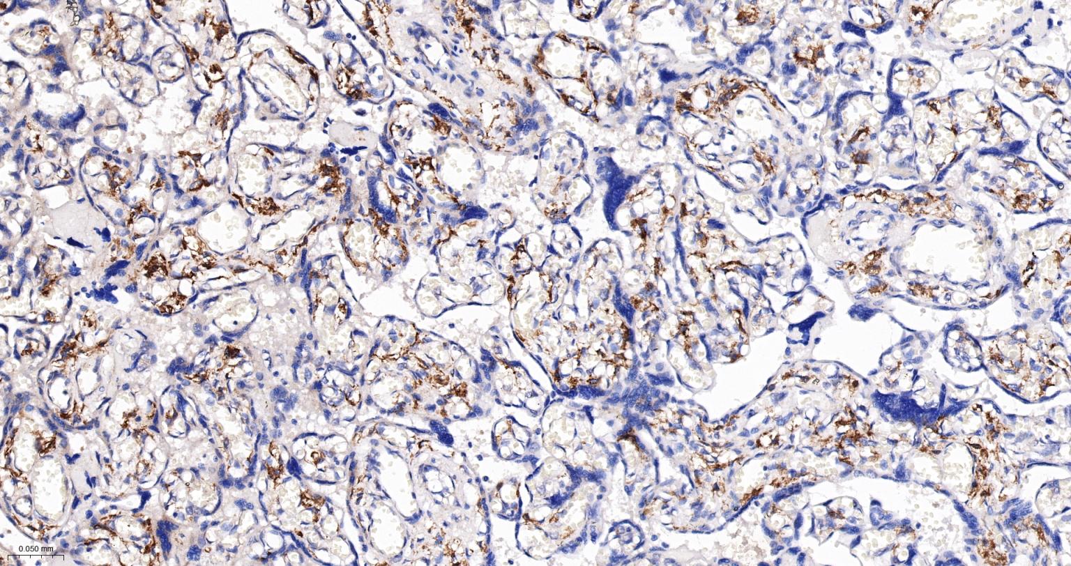
Paraformaldehyde-fixed, paraffin embedded Human acute villusitis; Antigen retrieval by boiling in sodium citrate buffer (pH6.0) for 15 min; The section was incubated with IL-1 Beta Polyclonal Antibody, Unconjugated (bs-0812R) at 1:1000 overnight at 4°C, followed by conjugation to the bs-0295G-HRP and DAB (C-0010) staining.
版权所有 2004-2026 www.bioss.com.cn 北京博奥森生物技术有限公司
通过国际质量管理体系ISO 9001:2015 GB/T 19001-2016    证书编号: 00124Q34771R2M/1100
通过国际医疗器械-质量管理体系ISO 13485:2016 GB/T 42061-2022     证书编号: CQC24QY20047R0M/1100
京ICP备05066980号-1         京公网安备110107000727号