扫码关注公众号           扫码咨询技术支持           扫码咨询技术服务
  
客服热线:400-901-9800  客服QQ:4009019800  技术答疑  技术支持  质量反馈  人才招聘  关于我们  联系我们
产品中心-北京博奥森生物技术有限公司
首页 > 产品中心 > 一抗 > 产品信息
IGF 1 Rabbit pAb (bs-0014R)  
订购热线:400-901-9800
订购邮箱:sales@bioss.com.cn
订购QQ:  400-901-9800
技术支持:techsupport@bioss.com.cn
50ul/1180.00元
100ul/1980.00元
200ul/2800.00元
大包装/询价

产品编号 bs-0014R
英文名称 IGF 1 Rabbit pAb
中文名称 胰岛素样生长因子1抗体
别    名 IGF; IGF-I; IGFI; MGF; IGF1_HUMAN; IGF1; Insulin-like growth factor I (IGF-I); Mechano growth factor (MGF); Somatomedin-C; IBP1; IGF-1; insulin like growth factor 1; insulin-like growth factor 1 (somatomedin C); somatomedin C  IGF-I;
Specific References  (27)     |     bs-0014R has been referenced in 27 publications.
[IF=8.307] Yue Wang. et al. Potential use of bioactive nanofibrous dural substitutes with controlled release of IGF-1 for neuroprotection after traumatic brain injury. NANOSCALE. 2022 Nov;:  IF ;  Human.  
[IF=8.025] Qinqin Hu. et al. An injectable thermosensitive Pluronic F127/hyaluronic acid hydrogel loaded with human umbilical cord mesenchymal stem cells and asiaticoside microspheres for uterine scar repair. INT J BIOL MACROMOL. 2022 Jul;:  IF ;  Rat.  
[IF=7.666] Ryo Honma. et al. Immunomodulatory Macrophages Enable E-MNC Therapy for Radiation-Induced Salivary Gland Hypofunction. CELLS-BASEL. 2023 Jan;12(10):1417  ICC,IHC ;  Mouse.  
[IF=6.575] Qiyu Gan. et al. Prognostic Value and Immune Infiltration of HPV-Related Genes in the Immune Microenvironment of Cervical Squamous Cell Carcinoma and Endocervical Adenocarcinoma. CANCERS. 2023 Jan;15(5):1419  IHC ;  Human.  
[IF=6.208] Akihito Sotome. et al. Spinal Canal and Spinal Cord in Rat Continue to Grow Even after Sexual Maturation: Anatomical Study and Molecular Proposition. INT J MOL SCI. 2022 Jan;23(24):16076  WB ;  Rat.  
[IF=5.201] Li Taotao. et al. Unraveling Stage-Dependent Expression Patterns of Circular RNAs and Their Related ceRNA Modulation in Ovine Postnatal Testis Development. Front Cell Dev Biol. 2021 Mar;9:650  IF ;  Sheep.  
[IF=5.201] Li Taotao. et al. Unraveling Stage-Dependent Expression Patterns of Circular RNAs and Their Related ceRNA Modulation in Ovine Postnatal Testis Development. Front Cell Dev Biol. 2021 Mar;9:650  WB ;  Sheep.  
[IF=4.268] Qin Yang. et al. Gypenoside XLIX protects against acute kidney injury by suppressing IGFBP7/IGF1R-mediated programmed cell death and inflammation. Phytomedicine. 2021 Mar;:153541  WB ;  Human.  
[IF=3.598] Li R et al. Pharmacological biotargets and the molecular mechanisms of oxyresveratrol treating colorectal cancer: Network and experimental analyses. Biofactors. 2019 Oct 24.  IHF&ICF ;  Human.  
[IF=3.553] Man Luo. et al. miR136 regulates proliferation and differentiation of small tail han sheep preadipocytes. ADIPOCYTE. 2023;12(1):Article: 2173966  WB ;  Sheep,Human.  
[IF=3.36] Zhao L et al. Reducing macrophage numbers alleviates temporomandibular joint ankylosis. Cell Tissue Res. 2019 Sep 14.  IHC ;  Human.  
[IF=3.335] XuTing Song. et al. Molecular cloning, expression, and functional features of IGF1 splice variants in sheep. Endocr Connect. 2021 Jul;-1(aop):  WB ;  Sheep.  
[IF=2.985] Ito E et al. Food restriction reduces cortical bone mass and serum insulin-like growth factor-1 levels and promotes uterine atrophy in miceBiochem Biophys Res Commun.2021 Jan 1;534:165-171.  IHC ;  Mouse.  
[IF=2.948] Nevin Ersoy. et al. The Effects of Prenatal and Postnatal Exposure to 50-Hz and 3 mT Electromagnetic Field on Rat Testicular Development. MED LITH. 2023 Jan;59(1):71  IHC ;  Rat.  
[IF=2.564] Balogh O et al. Expression of insulin-like growth factor 1 and its receptor in preovulatory follicles and in the corpus luteum in the bitch. Gen Comp Endocrinol. 2018 Dec 1;269:68-74.  IHC-P ;  Dog.  
[IF=2.466] Cemile Merve Seymen. et al. Involvement of endometrial IGF-1R/IGF-1/Bcl-2 pathways in experimental polycystic ovary syndrome: Identification of the regulatory effect of melatonin. Tissue Cell. 2021 Jun;:101585  WB,IHC ;  Rat.  
[IF=2.08] Yokohira M et al. Lung proliferative lesion‐promoting effects of left pulmonary ligation in A/J female mice. Pathol Int. 2020 Feb 21.  IHC-P ;  Mouse.  
[IF=2.005] Yongfu La. et al. Different expression of LHR, PRLR, GH and IGF1 during testicular development of yak. 2021 Nov 09  WB ;  Yak.  
[IF=1.97] Liao et al. The effect of celastrol on learning and memory in diabetic rats after sevoflurane inhalation. (2018) Arch.Med.Sci. 14:370-380  IHC ;  Rat.  
[IF=1.812] Liao, Wei-Tao, et al. "The effect of celastrol on learning and memory in diabetic rats after sevoflurane inhalation." (2016).  IHC-P ;  Rat.  
[IF=1.8] Uysal, Nazan, et al. "Exercise increases leptin levels correlated with IGF-1 in hippocampus and prefrontal cortex of adolescent male and female rats." Journal of Chemical Neuroanatomy (2017).  IHC-P ;  Rat.  
[IF=1.422] Muller et al. Different expression of leptin and IGF1 in the adult and prepubertal testis in dogs. (2017) Reprod.Domest.Anim. 52 Suppl 2:187-192  IHC ;  Human, Mouse, Rat, Dog, Pig, Cow, Rabbit, Sheep,.  
[IF=1.386] Yingchao Shen. et al. Proteomic differences between the ovulatory and anovulatory sides of the mare's follicular and oviduct fluid. J EQUINE VET SCI. 2022 Dec;:104207  WB ;  Horse.  
[IF=1.21] Müller, L., et al. "Different expression of leptin and IGF1 in the adult and prepubertal testis in dogs." Reproduction in Domestic Animals (2017).  IHC-P ;  Dog.  
[IF=1.06] Kiray, M., et al. "Effects of carbon dioxide exposure on early brain development in rats." Biotechnic & Histochemistry 0 (2014): 1-13.  IHC-P ;  Rat.  
[IF=1.06] Baykara, B., et al. "Progesterone treatment decreases traumatic brain injury induced anxiety and is correlated with increased serum IGF-1 levels; prefrontal cortex, amygdala, hippocampus neuron density; and reduced serum corticosterone levels in immature rats." Biotechnic & Histochemistry 0 (2013): 1-8.  Rat.  
[IF=0.48] Gabr, Hala, et al. "The effect of bone marrow‐derived mesenchymal stem cells on chemotherapy induced ovarian failure in albino rats." Microscopy Research and Technique (2016).  IHC-P ;  Rat.  
研究领域 免疫学  发育生物学  信号转导  生长因子和激素  糖尿病  
抗体来源 Rabbit
克隆类型 Polyclonal
交叉反应 Human,Mouse,Rat (predicted: Rabbit,Pig,Sheep,Cow,Dog)
产品应用 WB=1:500-2000,IHC-P=1:100-500,IHC-F=1:100-500,IF=1:100-500
not yet tested in other applications.
optimal dilutions/concentrations should be determined by the end user.
理论分子量 7.7/21kDa
检测分子量 24
细胞定位 分泌型蛋白 
性    状 Liquid
浓    度 1mg/ml
免 疫 原 KLH conjugated synthetic peptide derived from human IGF-1: 49-100/195 
亚    型 IgG
纯化方法 affinity purified by Protein A
缓 冲 液 0.01M TBS (pH7.4) with 1% BSA, 0.02% Proclin300 and 50% Glycerol.
保存条件 Shipped at 4℃. Store at -20℃ for one year. Avoid repeated freeze/thaw cycles.
注意事项 This product as supplied is intended for research use only, not for use in human, therapeutic or diagnostic applications.
PubMed PubMed
产品介绍 The protein encoded by this gene is similar to insulin in function and structure and is a member of a family of proteins involved in mediating growth and development. The encoded protein is processed from a precursor, bound by a specific receptor, and secreted. Defects in this gene are a cause of insulin-like growth factor I deficiency. Several transcript variants encoding different isoforms have been found for this gene.[provided by RefSeq, Mar 2009]

Function:
The insulin-like growth factors, isolated from plasma, are structurally and functionally related to insulin but have a much higher growth-promoting activity. May be a physiological regulator of [1-14C]-2-deoxy-D-glucose (2DG) transport and glycogen synthesis in osteoblasts. Stimulates glucose transport in rat bone-derived osteoblastic (PyMS) cells and is effective at much lower concentrations than insulin, not only regarding glycogen and DNA synthesis but also with regard to enhancing glucose uptake.

Subcellular Location:
Secreted.

DISEASE:
Defects in IGF1 are the cause of insulin-like growth factor I deficiency (IGF1 deficiency) [MIM:608747]. IGF1 deficiency is an autosomal recessive disorder characterized by growth retardation, sensorineural deafness and mental retardation.

Similarity:
Belongs to the insulin family.

SWISS:
P05019

Gene ID:
3479

Database links:

Entrez Gene: 3479 Human

Omim: 147440 Human

SwissProt: P05019 Human

Unigene: 160562 Human



胰岛素样生长因子1(IGF-1)是一种生长调节激素,由肝分泌并入血液循环的中性多肽,具有调节生长和代谢、胰岛素样及促细胞分裂的活性,主要作用于成人。
产品图片
20 ng rhIGF-1 protein, Trx & His (bs-41216P) per lane probed with IGF 1 polyclonal antibody respectively, unconjugated (bs-0014R) at 1:1000 dilution and 4°C overnight incubation. Followed by corresponding conjugated secondary antibody incubation at r.t. for 60 min.
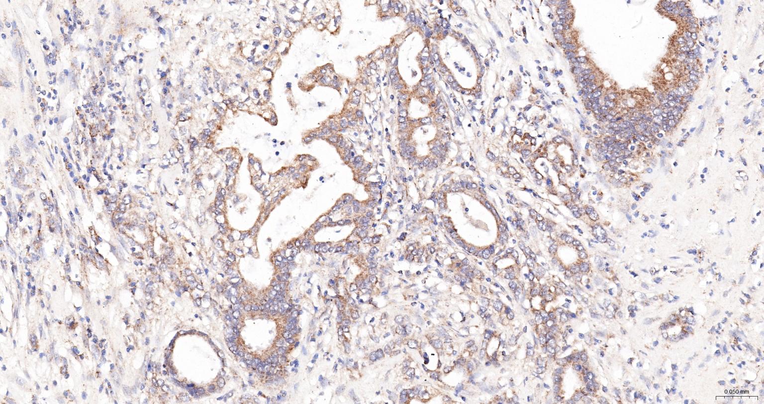
Paraformaldehyde-fixed, paraffin embedded Human Breast Cancer; Antigen retrieval by boiling in sodium citrate buffer (pH6.0) for 15 min; The section was incubated with IGF 1 Polyclonal Antibody, Unconjugated (bs-0014R) at 1:200 overnight at 4°C, followed by conjugation to the bs-0295G-HRP and DAB (C-0010) staining.
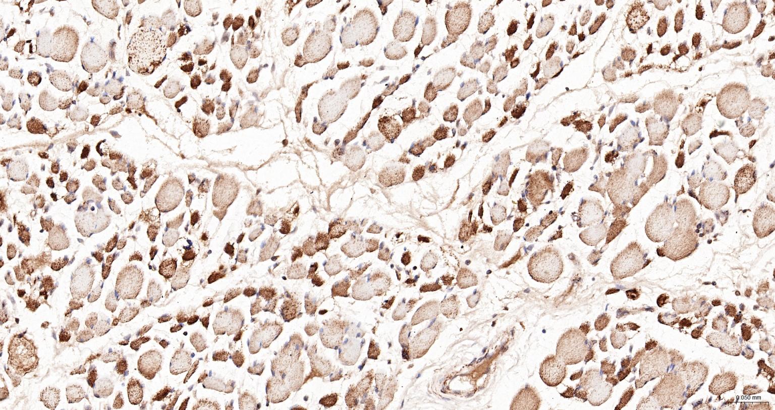
Paraformaldehyde-fixed, paraffin embedded Human Skeletal muscle; Antigen retrieval by boiling in sodium citrate buffer (pH6.0) for 15 min; The section was incubated with IGF 1 Polyclonal Antibody, Unconjugated (bs-0014R) at 1:200 overnight at 4°C, followed by conjugation to the bs-0295G-HRP and DAB (C-0010) staining.
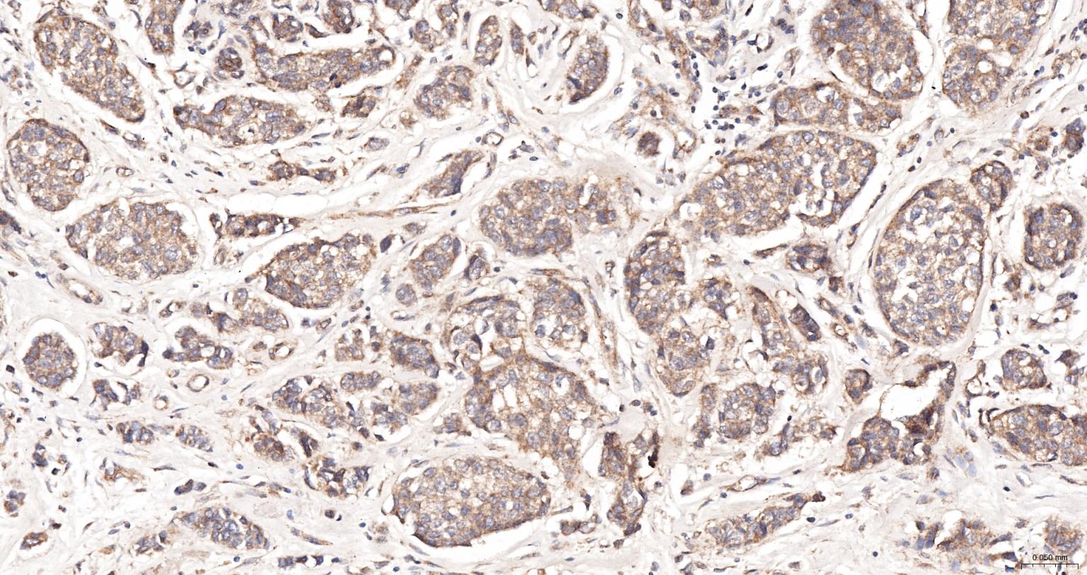
Paraformaldehyde-fixed, paraffin embedded Human Pancreatic Cancer; Antigen retrieval by boiling in sodium citrate buffer (pH6.0) for 15 min; The section was incubated with IGF 1 Polyclonal Antibody, Unconjugated (bs-0014R) at 1:200 overnight at 4°C, followed by conjugation to the bs-0295G-HRP and DAB (C-0010) staining.
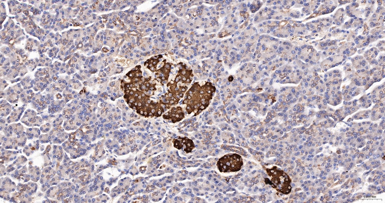
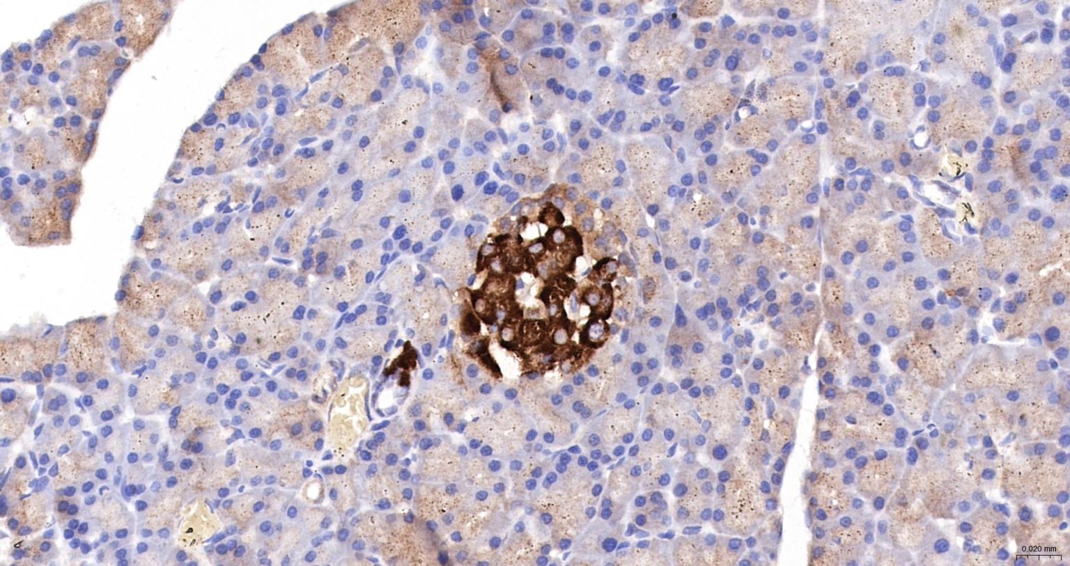
Paraformaldehyde-fixed, paraffin embedded Mouse Pancreas; Antigen retrieval by boiling in sodium citrate buffer (pH6.0) for 15 min; The section was incubated with IGF 1 Polyclonal Antibody, Unconjugated (bs-0014R) at 1:200 overnight at 4°C, followed by conjugation to the bs-0295G-HRP and DAB (C-0010) staining.
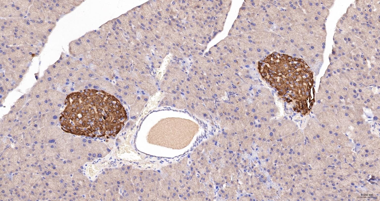
Paraformaldehyde-fixed, paraffin embedded Human Pancreas; Antigen retrieval by boiling in sodium citrate buffer (pH6.0) for 15 min; The section was incubated with IGF 1 Polyclonal Antibody, Unconjugated (bs-0014R) at 1:200 overnight at 4°C, followed by conjugation to the bs-0295G-HRP and DAB (C-0010) staining.
Paraformaldehyde-fixed, paraffin embedded Rat Pancreas; Antigen retrieval by boiling in sodium citrate buffer (pH6.0) for 15 min; The section was incubated with IGF 1 Polyclonal Antibody, Unconjugated (bs-0014R) at 1:200 overnight at 4°C, followed by conjugation to the bs-0295G-HRP and DAB (C-0010) staining.
Paraformaldehyde-fixed, paraffin embedded (Mouse brain); Antigen retrieval by boiling in sodium citrate buffer (pH6.0) for 15min; Block endogenous peroxidase by 3% hydrogen peroxide for 20 minutes; Blocking buffer (normal goat serum) at 37°C for 30min; Antibody incubation with (IGF 1) Polyclonal Antibody, Unconjugated (bs-0014R) at 1:400 overnight at 4°C, followed by operating according to SP Kit(Rabbit) (sp-0023) instructionsand DAB staining.
Paraformaldehyde-fixed, paraffin embedded (rat uterus); Antigen retrieval by boiling in sodium citrate buffer (pH6.0) for 15min; Block endogenous peroxidase by 3% hydrogen peroxide for 20 minutes; Blocking buffer (normal goat serum) at 37°C for 30min; Antibody incubation with (IGF 1) Polyclonal Antibody, Unconjugated (bs-0014R) at 1:200 overnight at 4°C, followed by operating according to SP Kit(Rabbit) (sp-0023) instructionsand DAB staining.
Paraformaldehyde-fixed, paraffin embedded (Rat brain); Antigen retrieval by boiling in sodium citrate buffer (pH6.0) for 15min; Block endogenous peroxidase by 3% hydrogen peroxide for 20 minutes; Blocking buffer (normal goat serum) at 37°C for 30min; Antibody incubation with (IGF 1) Polyclonal Antibody, Unconjugated (bs-0014R) at 1:400 overnight at 4°C, followed by operating according to SP Kit(Rabbit) (sp-0023) instructionsand DAB staining.
Paraformaldehyde-fixed, paraffin embedded Human Liver; Antigen retrieval by boiling in sodium citrate buffer (pH6.0) for 15 min; The section was incubated with IGF 1 Polyclonal Antibody, Unconjugated (bs-0014R) at 1:200 overnight at 4°C. Followed by conjugated Goat Anti-Rabbit IgG antibody (Red, bs-0295G-BF594), DAPI (blue, C02-04002) was used to stain the cell nuclei.
Paraformaldehyde-fixed, paraffin embedded Mouse Pancreas; Antigen retrieval by boiling in sodium citrate buffer (pH6.0) for 15 min; The section was incubated with IGF 1 Polyclonal Antibody, Unconjugated (bs-0014R) at 1:200 overnight at 4°C. Followed by conjugated Goat Anti-Rabbit IgG antibody (Red, bs-0295G-BF594), DAPI (blue, C02-04002) was used to stain the cell nuclei.
Paraformaldehyde-fixed, paraffin embedded Human Pancreas; Antigen retrieval by boiling in sodium citrate buffer (pH6.0) for 15 min; The section was incubated with IGF 1 Polyclonal Antibody, Unconjugated (bs-0014R) at 1:200 overnight at 4°C. Followed by conjugated Goat Anti-Rabbit IgG antibody (Red, bs-0295G-BF594), DAPI (blue, C02-04002) was used to stain the cell nuclei.
Paraformaldehyde-fixed, paraffin embedded Rat Pancreas; Antigen retrieval by boiling in sodium citrate buffer (pH6.0) for 15 min; The section was incubated with IGF 1 Polyclonal Antibody, Unconjugated (bs-0014R) at 1:200 overnight at 4°C. Followed by conjugated Goat Anti-Rabbit IgG antibody (Red, bs-0295G-BF594), DAPI (blue, C02-04002) was used to stain the cell nuclei.
Paraformaldehyde-fixed, paraffin embedded Mouse Cerebrum; Antigen retrieval by boiling in sodium citrate buffer (pH6.0) for 15 min; The section was incubated with IGF 1 Polyclonal Antibody, Unconjugated (bs-0014R) at 1:200 overnight at 4°C. Followed by conjugated Goat Anti-Rabbit IgG antibody (Red, bs-0295G-BF594), DAPI (blue, C02-04002) was used to stain the cell nuclei.
Paraformaldehyde-fixed, paraffin embedded Rat Cerebrum; Antigen retrieval by boiling in sodium citrate buffer (pH6.0) for 15 min; The section was incubated with IGF 1 Polyclonal Antibody, Unconjugated (bs-0014R) at 1:200 overnight at 4°C. Followed by conjugated Goat Anti-Rabbit IgG antibody (Red, bs-0295G-BF594), DAPI (blue, C02-04002) was used to stain the cell nuclei.
版权所有 2004-2026 www.bioss.com.cn 北京博奥森生物技术有限公司
通过国际质量管理体系ISO 9001:2015 GB/T 19001-2016    证书编号: 00124Q34771R2M/1100
通过国际医疗器械-质量管理体系ISO 13485:2016 GB/T 42061-2022     证书编号: CQC24QY20047R0M/1100
京ICP备05066980号-1         京公网安备110107000727号