扫码关注公众号           扫码咨询技术支持           扫码咨询技术服务
  
客服热线:400-901-9800  客服QQ:4009019800  技术答疑  技术支持  质量反馈  关于我们  联系我们
产品中心-北京博奥森生物技术有限公司
首页 > 产品中心 > 一抗 > 产品信息
MAGE-1 Rabbit pAb (bs-0817R)  
订购热线:400-901-9800
订购邮箱:sales@bioss.com.cn
订购QQ:  400-901-9800
技术支持:techsupport@bioss.com.cn
50ul/1180.00元
100ul/1980.00元
200ul/2800.00元
大包装/询价

产品编号 bs-0817R
英文名称 MAGE-1 Rabbit pAb
中文名称 黑色素瘤相关抗原抗体
别    名 CT1.1; MAGE1; Mage-a1; MAGA1_HUMAN; MAGEA1; Antigen MZ2-E; Cancer/testis antigen 1.1 (CT1.1); MAGE-1 antigen; MAGE1A;   
Specific References  (1)     |     bs-0817R has been referenced in 1 publications.
[IF=4.292] Longfei Xiao. et al. Dihydrotestosterone through blockade of TGF-β/Smad signaling mediates the anti-fibrosis effect under hypoxia in canine Sertoli cells. J Steroid Biochem. 2022 Feb;216:106041  WB ;  Dog.  
研究领域 肿瘤  免疫学  
抗体来源 Rabbit
克隆类型 Polyclonal
克 隆 号
交叉反应 Human,Rat
产品应用 IHC-P=1:100-500,IHC-F=1:100-500,IF=1:100-500
not yet tested in other applications.
optimal dilutions/concentrations should be determined by the end user.
理论分子量 34 kDa
细胞定位 细胞核 细胞浆 
性    状 Liquid
浓    度 1mg/ml
免 疫 原 KLH conjugated synthetic peptide derived from human MAGE-1: 101-200/309 
亚    型 IgG
纯化方法 affinity purified by Protein A
缓 冲 液 0.01M TBS (pH7.4) with 1% BSA, 0.02% Proclin300 and 50% Glycerol.
保存条件 Shipped at 4℃. Store at -20℃ for one year. Avoid repeated freeze/thaw cycles.
注意事项 This product as supplied is intended for research use only, not for use in human, therapeutic or diagnostic applications.
PubMed PubMed
产品介绍 The MAGE 1 gene is a member of the melanoma antigen encoding gene family. These genes encode for HLA-restricted tumor associated rejection antigens recognized by cytotoxic T lymphocytes. Some of these target antigens may be potentially useful for cancer specific immunotherapy. The expression of MAGE genes has been reported not only in melanoma but also in various other malignant tumors such as hepatocellular carcinoma and germ cell tumors.

Function:
May be involved in transcriptional regulation through interaction with SNW1 and recruiting histone deactelyase HDAC1. May inhibit notch intracellular domain (NICD) transactivation. May play a role in embryonal development and tumor transformation or aspects of tumor progression. Antigen recognized on a melanoma by autologous cytolytic T-lymphocytes.

Subunit:
Interacts with SNW1 and HDCA1.

Subcellular Location:
Cytoplasm. Nucleus.

Tissue Specificity:
Expressed in many tumors of several types, such as melanoma, head and neck squamous cell carcinoma, lung carcinoma and breast carcinoma, but not in normal tissues except for testes. Never expressed in kidney tumors, leukemias and lymphomas.

Similarity:
Contains 1 MAGE domain.

SWISS:
P43355

Gene ID:
4100

Database links:

Entrez Gene: 4100 Human

Entrez Gene: 17137 Mouse

Entrez Gene: 493750 Rat

Omim: 300016 Human

SwissProt: P43355 Human



Mage-1表达于正常的黑素细胞和大多数原发及转移的黑色素瘤中,故称:黑色素瘤相关抗原。MAGE-1是重要的肿瘤特异性抗原-MAGE家族成员,近年被认为是一种辨别黑色素病变的有效抗原。 主要用于恶性肿瘤方面的研究。MAGE-1基因属于黑色素瘤抗原编码基因家族,其编码产物表达于各种组织类型的肿瘤中。包括黑色素瘤、神经胶质脑肿瘤、成神经细胞瘤、肾细胞癌等,但正常组织表达量较少货没有。
产品图片
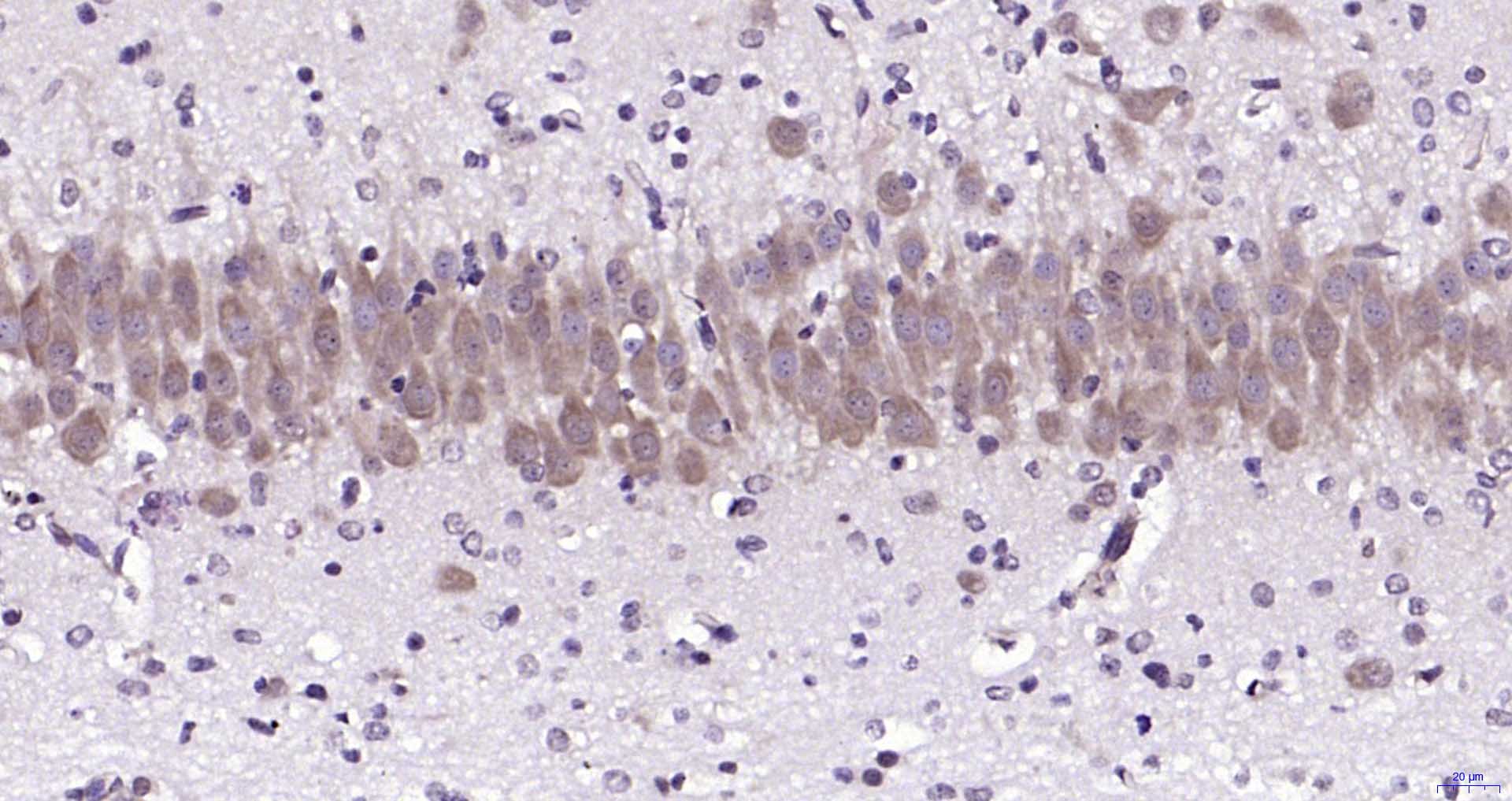
Paraformaldehyde-fixed, paraffin embedded Rat Cerebrum; Antigen retrieval by boiling in sodium citrate buffer (pH6.0) for 15 min; Antibody incubation with MAGE-1 Polyclonal Antibody, Unconjugated (bs-0817R) at 1:200 overnight at 4°C, followed by conjugation to the SP Kit (Rabbit, SP-0023) and DAB (C-0010) staining.
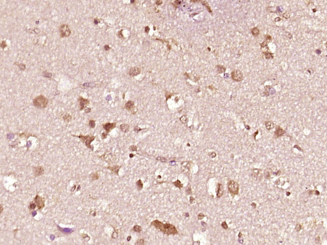
Paraformaldehyde-fixed, paraffin embedded (Human glioma); Antigen retrieval by boiling in sodium citrate buffer (pH6.0) for 15min; Block endogenous peroxidase by 3% hydrogen peroxide for 20 minutes; Blocking buffer (normal goat serum) at 37°C for 30min; Antibody incubation with (MAGE-1) Polyclonal Antibody, Unconjugated (bs-0817R) at 1:400 overnight at 4°C, followed by operating according to SP Kit(Rabbit) (sp-0023) instructionsand DAB staining.
版权所有 2004-2026 www.bioss.com.cn 北京博奥森生物技术有限公司
通过国际质量管理体系ISO 9001:2015 GB/T 19001-2016    证书编号: 00124Q34771R2M/1100
通过国际医疗器械-质量管理体系ISO 13485:2016 GB/T 42061-2022     证书编号: CQC24QY20047R0M/1100
京ICP备05066980号-1         京公网安备110107000727号