扫码关注公众号           扫码咨询技术支持           扫码咨询技术服务
  
客服热线:400-901-9800  客服QQ:4009019800  技术答疑  技术支持  质量反馈  关于我们  联系我们
产品中心-北京博奥森生物技术有限公司
首页 > 产品中心 > 一抗 > 产品信息
GTP cyclohydrolase 1 Rabbit pAb (bs-0136R)  
订购热线:400-901-9800
订购邮箱:sales@bioss.com.cn
订购QQ:  400-901-9800
技术支持:techsupport@bioss.com.cn
50ul/1180.00元
100ul/1980.00元
200ul/2800.00元
大包装/询价

产品编号 bs-0136R
英文名称 GTP cyclohydrolase 1 Rabbit pAb
中文名称 三磷酸鸟苷环水解酶抗体
别    名 DYT14; DYT5; DYT5a; GCH; GTP-CH-1; GTPCH1; HPABH4B; GTP-CH; GTP-CH-I; GTPCH; GTPCH-1; GCH1_HUMAN; GCH1; GTP cyclohydrolase I (GTP-CH-I); 3.5.4.16; GCH1_MOUSE; GCH1_ONCMY; GCH1_RAT;   
研究领域 免疫学  
抗体来源 Rabbit
克隆类型 Polyclonal
克 隆 号
交叉反应 Mouse (predicted: Human,Rat)
产品应用 WB=1:500-2000,IHC-P=1:100-500,IHC-F=1:100-500,IF=1:100-500
not yet tested in other applications.
optimal dilutions/concentrations should be determined by the end user.
理论分子量 27 kDa
细胞定位 细胞核 细胞浆 
性    状 Liquid
浓    度 1mg/ml
免 疫 原 KLH conjugated synthetic peptide derived from human GTP-CH-1: 34-110/250 
亚    型 IgG
纯化方法 affinity purified by Protein A
缓 冲 液 0.01M TBS (pH7.4) with 1% BSA, 0.02% Proclin300 and 50% Glycerol.
保存条件 Shipped at 4℃. Store at -20℃ for one year. Avoid repeated freeze/thaw cycles.
注意事项 This product as supplied is intended for research use only, not for use in human, therapeutic or diagnostic applications.
PubMed PubMed
产品介绍 GTP cyclohydrolase I (also designated dopa-responsive dystonia) catalyzes the conversion of GTP to D-erythro-7,8-dihydroneopterin triphosphate, the first and rate-limiting step in tetrahydrobiopterin (BH4) biosynthesis. Tetrahydrobiopterin is an essential cofactor for 3 aromatic amino acid monooxygenases: phenylalanine, tyrosine, and tryptophan hydroxylases. Animals can synthesize tetrahydrobiopterin in vivo from GTP through several enzymatic reactions.

Function:
Positively regulates nitric oxide synthesis in umbilical vein endothelial cells (HUVECs). May be involved in dopamine synthesis. May modify pain sensitivity and persistence. Isoform GCH-1 is the functional enzyme, the potential function of the enzymatically inactive isoforms remains unknown.

Subcellular Location:
Cytoplasm. Nucleus.

Tissue Specificity:
In epidermis, expressed predominantly in basal undifferentiated keratinocytes and in some but not all melanocytes (at protein level).

Post-translational modifications:
Phosphorylated by casein kinase II at Ser-81 in HAECs during oscillatory shear stress; phosphorylation at Ser-81 results in increased enzyme activity.

DISEASE:
Defects in GCH1 are the cause of GTP cyclohydrolase 1 deficiency (GCH1D) [MIM:233910]; also known as atypical severe phenylketonuria due to GTP cyclohydrolase I deficiency;. GCH1D is one of the causes of malignant hyperphenylalaninemia due to tetrahydrobiopterin deficiency. It is also responsible for defective neurotransmission due to depletion of the neurotransmitters dopamine and serotonin. The principal symptoms include: psychomotor retardation, tonicity disorders, convulsions, drowsiness, irritability, abnormal movements, hyperthermia, hypersalivation, and difficulty swallowing. Some patients may present a phenotype of intermediate severity between severe hyperphenylalaninemia and mild dystonia type 5 (dystonia-parkinsonism with diurnal fluctuation). In this intermediate phenotype, there is marked motor delay, but no mental retardation and only minimal, if any, hyperphenylalaninemia.
Defects in GCH1 are the cause of dystonia type 5 (DYT5) [MIM:128230]; also known as progressive dystonia with diurnal fluctuation, autosomal dominant Segawa syndrome or dystonia-parkinsonism with diurnal fluctuation. DYT5 is a DOPA-responsive dystonia. Dystonia is defined by the presence of sustained involuntary muscle contractions, often leading to abnormal postures. DYT5 typically presents in childhood with walking problems due to dystonia of the lower limbs and worsening of the dystonia towards the evening. It is characterized by postural and motor disturbances showing marked diurnal fluctuation. Torsion of the trunk is unusual. Symptoms are alleviated after sleep and aggravated by fatigue and excercise. There is a favorable response to L-DOPA without side effects.

Similarity:
Belongs to the GTP cyclohydrolase I family.

SWISS:
P30793

Gene ID:
2643

Database links:

Entrez Gene: 2643 Human

Entrez Gene: 14528 Mouse

Entrez Gene: 100286831 Rabbit

Entrez Gene: 29244 Rat

Omim: 600225 Human

SwissProt: P30793 Human

SwissProt: Q05915 Mouse

SwissProt: P51596 Rabbit

SwissProt: P22288 Rat

Unigene: 624900 Human

Unigene: 86724 Human

Unigene: 10651 Mouse

Unigene: 28195 Rat



产品图片
Sample:Liver (Mouse) Lysate at 40 ug Primary: Anti-GTP cyclohydrolase 1 (bs-0136R) at 1/300 dilution Secondary: IRDye800CW Goat Anti-Rabbit IgG at 1/20000 dilution Predicted band size: 27 kD Observed band size: 27 kD
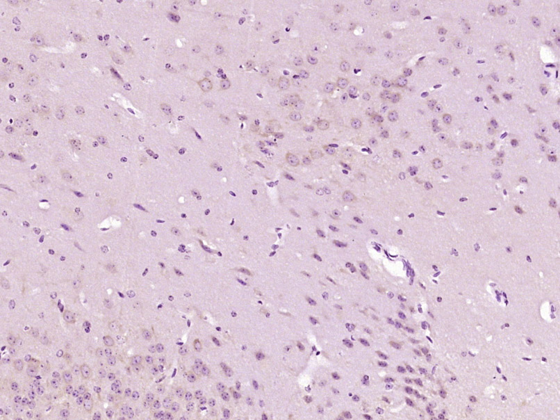
Paraformaldehyde-fixed, paraffin embedded (Mouse brain); Antigen retrieval by boiling in sodium citrate buffer (pH6.0) for 15min; Block endogenous peroxidase by 3% hydrogen peroxide for 20 minutes; Blocking buffer (normal goat serum) at 37°C for 30min; Antibody incubation with (GTP cyclohydrolase 1) Polyclonal Antibody, Unconjugated (bs-0136R) at 1:400 overnight at 4°C, followed by operating according to SP Kit(Rabbit) (sp-0023) instructionsand DAB staining.
版权所有 2004-2026 www.bioss.com.cn 北京博奥森生物技术有限公司
通过国际质量管理体系ISO 9001:2015 GB/T 19001-2016    证书编号: 00124Q34771R2M/1100
通过国际医疗器械-质量管理体系ISO 13485:2016 GB/T 42061-2022     证书编号: CQC24QY20047R0M/1100
京ICP备05066980号-1         京公网安备110107000727号