扫码关注公众号           扫码咨询技术支持           扫码咨询技术服务
  
客服热线:400-901-9800  客服QQ:4009019800  技术答疑  技术支持  质量反馈  人才招聘  关于我们  联系我们
产品中心-北京博奥森生物技术有限公司
首页 > 产品中心 > 一抗 > 产品信息
GHRH Rabbit pAb (bs-0205R)  
订购热线:400-901-9800
订购邮箱:sales@bioss.com.cn
订购QQ:  400-901-9800
技术支持:techsupport@bioss.com.cn
50ul/1180.00元
100ul/1980.00元
200ul/2800.00元
大包装/询价

产品编号 bs-0205R
英文名称 GHRH Rabbit pAb
中文名称 生长激素释放激素抗体
别    名 GHRF; GRF; INN; SLIB_HUMAN; GHRH; Growth hormone-releasing factor (GRF); Growth hormone-releasing hormone (GHRH); Somatocrinin; Somatorelin;   
研究领域 免疫学  神经生物学  
抗体来源 Rabbit
克隆类型 Polyclonal
克 隆 号
交叉反应 Rat (predicted: Human,Mouse,Pig,Cow)
产品应用 IHC-P=1:100-500,IHC-F=1:100-500,IF=1:100-500
not yet tested in other applications.
optimal dilutions/concentrations should be determined by the end user.
理论分子量 5 kDa
细胞定位 分泌型蛋白 
性    状 Liquid
浓    度 1mg/ml
免 疫 原 KLH conjugated synthetic peptide derived from human GHRF: 32-59/103 
亚    型 IgG
纯化方法 affinity purified by Protein A
缓 冲 液 0.01M TBS (pH7.4) with 1% BSA, 0.02% Proclin300 and 50% Glycerol.
保存条件 Shipped at 4℃. Store at -20℃ for one year. Avoid repeated freeze/thaw cycles.
注意事项 This product as supplied is intended for research use only, not for use in human, therapeutic or diagnostic applications.
PubMed PubMed
产品介绍 GHRF encoded by this gene belongs to the glucagon family and is a preproprotein that is produced in the hypothalamus. The preproprotein is cleaved to form a 44 aa factor, also called somatocrinin, that acts to stimulate growth hormone release from the pituitary. Variant receptors for somatocrinin have been found in several types of tumors, and antagonists of these receptors can inhibit the growth of the tumors. Defects in this gene are a cause of dwarfism, while hypersecretion of the encoded protein is a cause of gigantism.

Function:
GRF is released by the hypothalamus and acts on the adenohypophyse to stimulate the secretion of growth hormone.

Subcellular Location:
Secreted.

Similarity:
Belongs to the glucagon family.

SWISS:
P01286

Gene ID:
2691

Database links:

Entrez Gene: 2691 Human

GenBank: NP_066567.1 Human

Omim: 139190 Human

SwissProt: P01286 Human

Unigene: 37023 Human



GHRF生长激素释放因子是下丘脑分泌的激素,刺激脑垂体分泌生长激素。
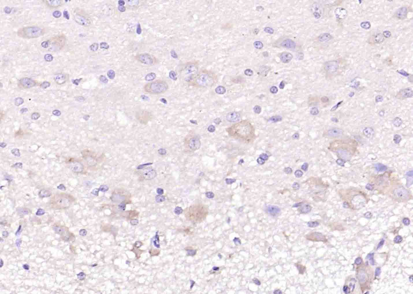
产品图片
Paraformaldehyde-fixed, paraffin embedded (rat brain); Antigen retrieval by boiling in sodium citrate buffer (pH6.0) for 15min; Block endogenous peroxidase by 3% hydrogen peroxide for 20 minutes; Blocking buffer (normal goat serum) at 37°C for 30min; Antibody incubation with (GHRH) Polyclonal Antibody, Unconjugated (bs-0205R) at 1:200 overnight at 4°C, followed by operating according to SP Kit(Rabbit) (sp-0023) instructionsand DAB staining.
版权所有 2004-2026 www.bioss.com.cn 北京博奥森生物技术有限公司
通过国际质量管理体系ISO 9001:2015 GB/T 19001-2016    证书编号: 00124Q34771R2M/1100
通过国际医疗器械-质量管理体系ISO 13485:2016 GB/T 42061-2022     证书编号: CQC24QY20047R0M/1100
京ICP备05066980号-1         京公网安备110107000727号