扫码关注公众号           扫码咨询技术支持           扫码咨询技术服务
  
客服热线:400-901-9800  客服QQ:4009019800  技术答疑  技术支持  质量反馈  人才招聘  关于我们  联系我们
产品中心-北京博奥森生物技术有限公司
首页 > 产品中心 > 一抗 > 产品信息
GDNFRA Rabbit pAb (bs-0201R)  
订购热线:400-901-9800
订购邮箱:sales@bioss.com.cn
订购QQ:  400-901-9800
技术支持:techsupport@bioss.com.cn
50ul/1180.00元
100ul/1980.00元
200ul/2800.00元
大包装/询价

产品编号 bs-0201R
英文名称 GDNFRA Rabbit pAb
中文名称 GDNF家族受体α-1抗体
别    名 GDNFR; GDNFR-alpha-1; GDNFRA; GFR-ALPHA-1; GFRalpha-1; RET1L; RETL1; RHDA4; TRNR1; GFRA1_HUMAN; GFRA1; GDNF receptor alpha-1; RET ligand 1; TGF-beta-related neurotrophic factor receptor 1; GFRA1_MOUSE; GFRA1_RAT;   TGF-β related neurotrophic factor receptor-1;
Specific References  (2)     |     bs-0201R has been referenced in 2 publications.
[IF=5.432] Lin Liu. et al. Aberrantly expressed GFRα-1/RET in patients with lacrimal adenoid cystic carcinoma is associated with high recurrence risk: a retrospective study of 51 LACC cases. Cancer Biol Med. 2021 Feb 15; 18(1): 199–205  IHC ;  Human.  
[IF=5.23] Ma, Fanglin, et al. "Lin28a promotes self-renewal and proliferation of dairy goat spermatogonial stem cells (SSCs) through regulation of mTOR and PI3K/AKT." Scientific Reports 6 (2016): 38805.  IF(ICC) ;  Goat.  
研究领域 免疫学  神经生物学  
抗体来源 Rabbit
克隆类型 Polyclonal
克 隆 号
交叉反应 Human,Mouse,Rat (predicted: Pig,Cow,Dog,Horse)
产品应用 WB=1:500-2000,IHC-P=1:100-500,IHC-F=1:100-500,IF=1:100-500
not yet tested in other applications.
optimal dilutions/concentrations should be determined by the end user.
理论分子量 44 kDa
检测分子量 47
细胞定位 细胞膜 
性    状 Liquid
浓    度 1mg/ml
免 疫 原 KLH conjugated synthetic peptide derived from human GFR Alpha-1: 351-429/465 
亚    型 IgG
纯化方法 affinity purified by Protein A
缓 冲 液 0.01M TBS (pH7.4) with 1% BSA, 0.02% Proclin300 and 50% Glycerol.
保存条件 Shipped at 4℃. Store at -20℃ for one year. Avoid repeated freeze/thaw cycles.
注意事项 This product as supplied is intended for research use only, not for use in human, therapeutic or diagnostic applications.
PubMed PubMed
产品介绍 Glial cell line-derived neurotrophic factor (GDNF) and neurturin (NTN) are two structurally related, potent neurotrophic factors that play key roles in the control of neuron survival and differentiation. The protein encoded by this gene is a member of the GDNF receptor family. It is a glycosylphosphatidylinositol(GPI)-linked cell surface receptor for both GDNF and NTN, and mediates activation of the RET tyrosine kinase receptor. This gene is a candidate gene for Hirschsprung disease. Multiple alternatively spliced transcript variants have been described for this gene. [provided by RefSeq]

Function:
Receptor for GDNF. Mediates the GDNF-induced autophosphorylation and activation of the RET receptor.

Subunit:
2 molecules of GDNFR-alpha are thought to form a complex with the disulfide-linked GDNF dimer and with 2 molecules of RET.

Subcellular Location:
Cell membrane; Lipid-anchor, GPI-anchor.

Similarity:
Belongs to the GDNFR family.

SWISS:
P56159

Gene ID:
2674

Database links:

Entrez Gene: 2674 Human

Entrez Gene: 14585 Mouse

Entrez Gene: 25454 Rat

Omim: 601496 Human

SwissProt: P56159 Human

SwissProt: P97785 Mouse

SwissProt: Q62997 Rat

Unigene: 591913 Human

Unigene: 88489 Rat



GFRα-1是由68个氨基酸组成的蛋白,广泛表达于中枢神经系统和外周器官。活性亚单位由两个GFRα-1分子中间由二硫键连接而成的复合物。属于GDNFR 家族成员。
产品图片
Sample: Lane 1: Human HeLa cell lysates Lane 2: Human HepG2 cell lysates Lane 3: Human MOLT4 cell lysates Lane 4: Human A549 cell lysates Primary: Anti-GDNFRA (bs-0201R) at 1/1000 dilution Secondary: IRDye800CW Goat Anti-Rabbit IgG at 1/20000 dilution Predicted band size: 44 kDa Observed band size: 47 kDa
Sample: Lane 1: Mouse Cerebrum tissue lysates Lane 2: Mouse Testis tissue lysates Lane 3: Rat Cerebrum tissue lysates Primary: Anti-GDNFRA (bs-0201R) at 1/1000 dilution Secondary: IRDye800CW Goat Anti-Rabbit IgG at 1/20000 dilution Predicted band size: 44 kDa Observed band size: 47 kDa
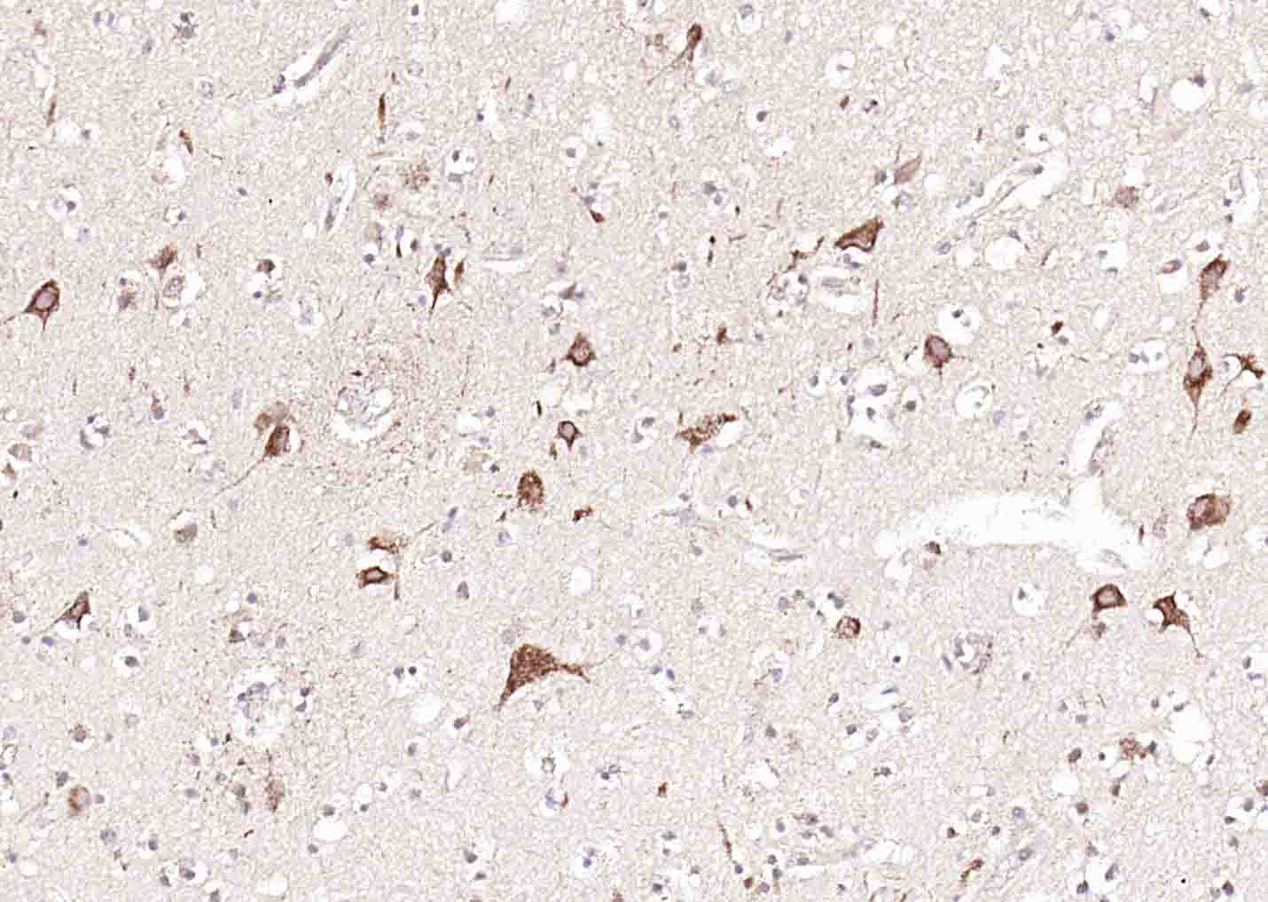
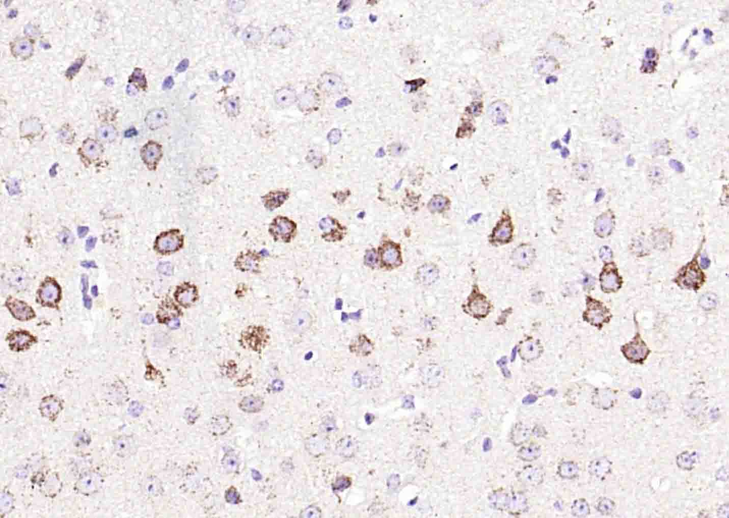
Paraformaldehyde-fixed, paraffin embedded (mouse brain); Antigen retrieval by boiling in sodium citrate buffer (pH6.0) for 15min; Block endogenous peroxidase by 3% hydrogen peroxide for 20 minutes; Blocking buffer (normal goat serum) at 37°C for 30min; Antibody incubation with (GDNFRA) Polyclonal Antibody, Unconjugated (bs-0201R) at 1:200 overnight at 4°C, followed by operating according to SP Kit(Rabbit) (sp-0023) instructionsand DAB staining.
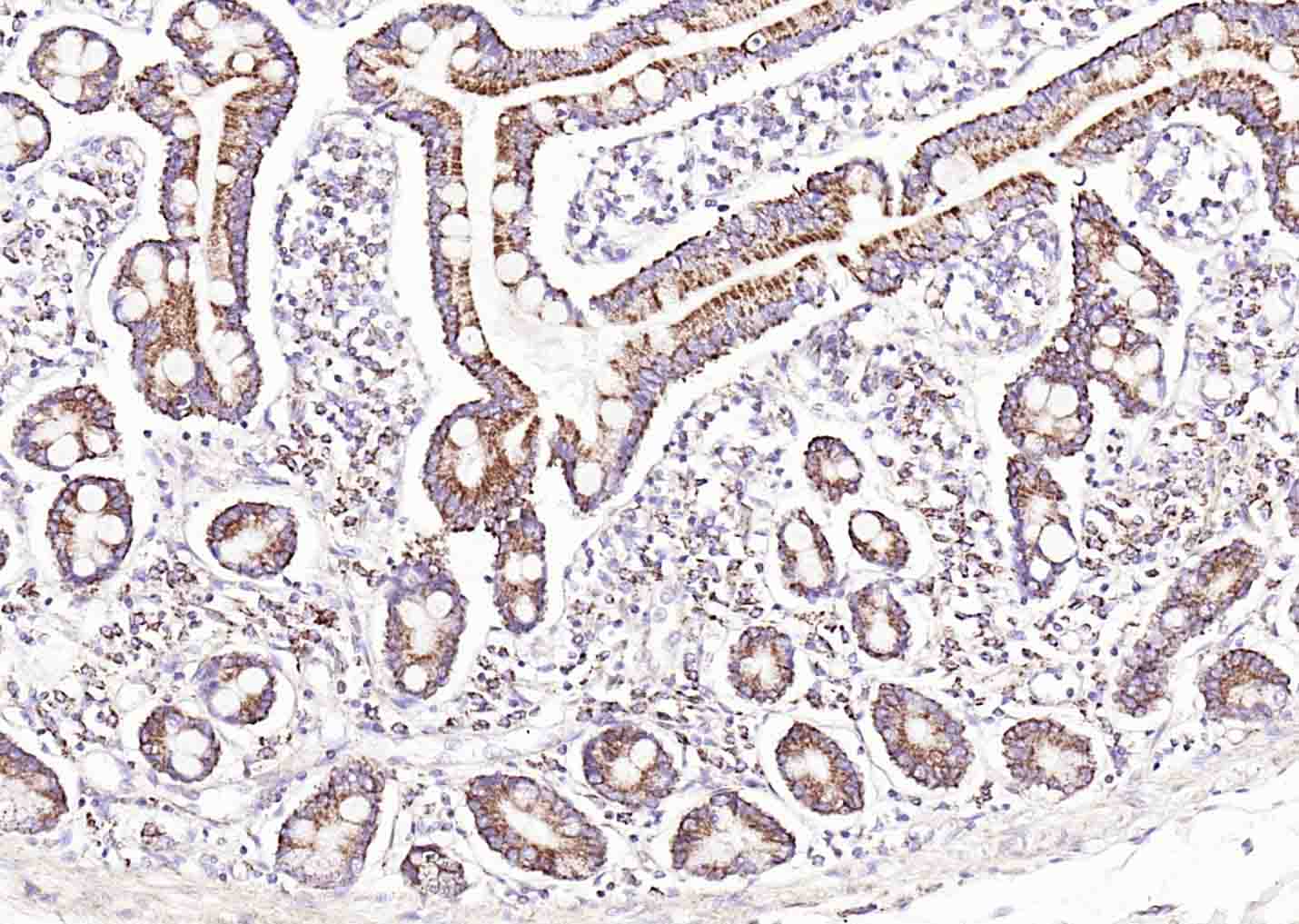
Paraformaldehyde-fixed, paraffin embedded (Human duodenum); Antigen retrieval by boiling in sodium citrate buffer (pH6.0) for 15min; Block endogenous peroxidase by 3% hydrogen peroxide for 20 minutes; Blocking buffer (normal goat serum) at 37°C for 30min; Antibody incubation with (GDNFRA) Polyclonal Antibody, Unconjugated (bs-0201R) at 1:200 overnight at 4°C, followed by operating according to SP Kit(Rabbit) (sp-0023) instructionsand DAB staining.
Paraformaldehyde-fixed, paraffin embedded (human brain); Antigen retrieval by boiling in sodium citrate buffer (pH6.0) for 15min; Block endogenous peroxidase by 3% hydrogen peroxide for 20 minutes; Blocking buffer (normal goat serum) at 37°C for 30min; Antibody incubation with (GDNFRA) Polyclonal Antibody, Unconjugated (bs-0201R) at 1:200 overnight at 4°C, followed by operating according to SP Kit(Rabbit) (sp-0023) instructionsand DAB staining.
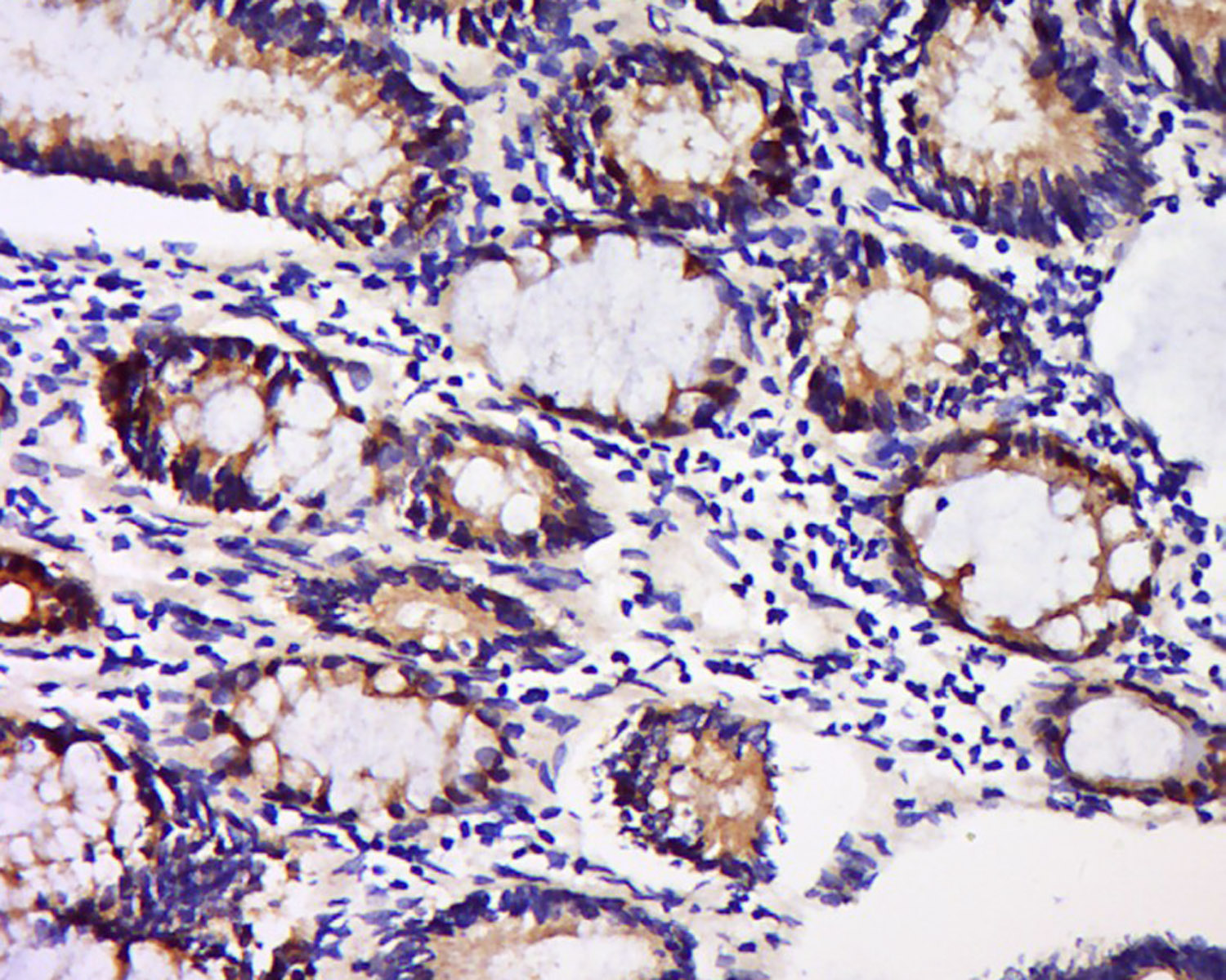
Tissue/cell: Human colon cancer ; 4% Paraformaldehyde-fixed and paraffin-embedded; Antigen retrieval: citrate buffer ( 0.01M, pH 6.0 ), Boiling bathing for 15min; Block endogenous peroxidase by 3% Hydrogen peroxide for 30min; Blocking buffer (normal goat serum,C-0005) at 37℃ for 20 min; Incubation: Anti-GDNFRA Polyclonal Antibody, Unconjugated(bs-0201R) 1:200, overnight at 4°C, followed by conjugation to the secondary antibody(SP-0023) and DAB(C-0010) staining
版权所有 2004-2026 www.bioss.com.cn 北京博奥森生物技术有限公司
通过国际质量管理体系ISO 9001:2015 GB/T 19001-2016    证书编号: 00124Q34771R2M/1100
通过国际医疗器械-质量管理体系ISO 13485:2016 GB/T 42061-2022     证书编号: CQC24QY20047R0M/1100
京ICP备05066980号-1         京公网安备110107000727号