扫码关注公众号           扫码咨询技术支持           扫码咨询技术服务
  
客服热线:400-901-9800  客服QQ:4009019800  技术答疑  技术支持  质量反馈  人才招聘  关于我们  联系我们
产品中心-北京博奥森生物技术有限公司
首页 > 产品中心 > 一抗 > 产品信息
DTNBP1 Rabbit pAb (bs-1561R)  
订购热线:400-901-9800
订购邮箱:sales@bioss.com.cn
订购QQ:  400-901-9800
技术支持:techsupport@bioss.com.cn
50ul/1180.00元
100ul/1980.00元
200ul/2800.00元
大包装/询价

产品编号 bs-1561R
英文名称 DTNBP1 Rabbit pAb
中文名称 精神分裂症易感基因抗体
别    名 DTBP1_HUMAN; DTNBP1; Biogenesis of lysosome-related organelles complex 1 subunit 8 (BLOC-1 subunit 8); Dysbindin-1; Dystrobrevin-binding protein 1; Hermansky-Pudlak syndrome 7 protein (HPS7 protein); BLOC1S8; DTBP1_MOUSE; Hermansky-Pudlak syndrome 7 prote  
研究领域 免疫学  神经生物学  
抗体来源 Rabbit
克隆类型 Polyclonal
克 隆 号
交叉反应 Rat (predicted: Human,Mouse,Pig,Sheep,Cow,Chicken,Horse)
产品应用 IHC-P=1:100-500,IHC-F=1:100-500,IF=1:100-500
not yet tested in other applications.
optimal dilutions/concentrations should be determined by the end user.
理论分子量 39 kDa
细胞定位 细胞核 细胞浆 细胞膜 
性    状 Liquid
浓    度 1mg/ml
免 疫 原 KLH conjugated synthetic peptide derived from human DTNBP1: 101-200/351 
亚    型 IgG
纯化方法 affinity purified by Protein A
缓 冲 液 0.01M TBS (pH7.4) with 1% BSA, 0.02% Proclin300 and 50% Glycerol.
保存条件 Shipped at 4℃. Store at -20℃ for one year. Avoid repeated freeze/thaw cycles.
注意事项 This product as supplied is intended for research use only, not for use in human, therapeutic or diagnostic applications.
PubMed PubMed
产品介绍 Dysbindin may play a role in organelle biogenesis associated with melanosomes, platelet dense granules, and lysosomes. A similar protein in mouse is a component of a protein complex termed biogenesis of lysosome-related organelles complex 1 (BLOC1), and binds to alpha and beta dystrobrevins, which are components of the dystrophin associated protein complex (DPC). Mutations in Dysbindin gene are associated with Hermansky-Pudlak syndrome type 7. Dysbindin gene may also be associated with schizophrenia. Multiple transcript variants encoding distinct isoforms have been identified for this gene.

Function:
The BLOC-1 complex is required for normal biogenesis of lysosome-related organelles, such as platelet dense granules and melanosomes. Plays a role in intracellular vesicle trafficking. Plays a role in synaptic vesicle trafficking and in neurotransmitter release. May be required for normal dopamine homeostasis in the cerebral cortex, hippocampus, and hypothalamus. Plays a role in the regulation of cell surface exposure of DRD2. Contributes to the regulation of dopamine signaling. May play a role in actin cytoskeleton reorganization and neurite outgrowth. May modulate MAPK8 phosphorylation

Subcellular Location:
Cytoplasm. Cytoplasmic vesicle membrane. Cytoplasmic vesicle > secretory vesicle > synaptic vesicle membrane. Endosome membrane. Melanosome membrane. Nucleus. Cell junction > synapse > postsynaptic cell membrane > postsynaptic density. Endoplasmic reticulum. Detected in neuron cell bodies, axons and dendrites. Detected at synapses, at post-synaptic density, at pre-synaptic vesicle membranes and microtubules. Detected at tubulovesicular elements in the vicinity of the Golgi apparatus and of melanosomes. Occasionally detected at the membrane of pigmented melanosomes in cultured melanoma cells.

Tissue Specificity:
Detected in brain, in neurons and in neuropil. Detected in dentate gyrus and in pyramidal cells of hippocampus CA2 and CA3 (at protein level).

Post-translational modifications:
Ubiquitinated by TRIM32. Ubiquitination leads to DTNBP1 degradation.
Phosphorylated by PRKDC.

DISEASE:
Defects in DTNBP1 are the cause of Hermansky-Pudlak syndrome type 7 (HPS7) [MIM:203300]. Hermansky-Pudlak syndrome (HPS) is a genetically heterogeneous, rare, autosomal recessive disorder characterized by oculocutaneous albinism, bleeding due to platelet storage pool deficiency, and lysosomal storage defects. This syndrome results from defects of diverse cytoplasmic organelles including melanosomes, platelet dense granules and lysosomes. Ceroid storage in the lungs is associated with pulmonary fibrosis, a common cause of premature death in individuals with HPS.

Similarity:
Belongs to the dysbindin family.

SWISS:
Q96EV8

Gene ID:
84062

Database links:

Entrez Gene: 84062 Human

Entrez Gene: 94245 Mouse

Entrez Gene: 641528 Rat

Omim: 607145 Human

SwissProt: Q96EV8 Human

SwissProt: Q91WZ8 Mouse

SwissProt: Q5M834 Rat

Unigene: 571148 Human

Unigene: 352311 Mouse

Unigene: 187290 Rat



dysbindin-1(DTNBP1)基因是一种精神分裂症的易感基因, 该基因实际上也是影响一般智力和认知能力相关的关键因素。因此研究人员认为DTNBP1在大脑细胞交流过程中扮演了一个重要的角色:帮助提升细胞存活度。
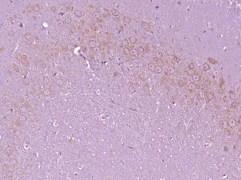
产品图片
Paraformaldehyde-fixed, paraffin embedded (Rat brain); Antigen retrieval by boiling in sodium citrate buffer (pH6.0) for 15min; Block endogenous peroxidase by 3% hydrogen peroxide for 20 minutes; Blocking buffer (normal goat serum) at 37°C for 30min; Antibody incubation with (DTNBP1) Polyclonal Antibody, Unconjugated (bs-1561R) at 1:400 overnight at 4°C, followed by operating according to SP Kit(Rabbit) (sp-0023) instructionsand DAB staining.
版权所有 2004-2026 www.bioss.com.cn 北京博奥森生物技术有限公司
通过国际质量管理体系ISO 9001:2015 GB/T 19001-2016    证书编号: 00124Q34771R2M/1100
通过国际医疗器械-质量管理体系ISO 13485:2016 GB/T 42061-2022     证书编号: CQC24QY20047R0M/1100
京ICP备05066980号-1         京公网安备110107000727号