扫码关注公众号           扫码咨询技术支持           扫码咨询技术服务
  
客服热线:400-901-9800  客服QQ:4009019800  技术答疑  技术支持  质量反馈  关于我们  联系我们
产品中心-北京博奥森生物技术有限公司
首页 > 产品中心 > 一抗 > 产品信息
Cytochrome C Rabbit pAb (bs-0013R)  
订购热线:400-901-9800
订购邮箱:sales@bioss.com.cn
订购QQ:  400-901-9800
技术支持:techsupport@bioss.com.cn
50ul/1180.00元
100ul/1980.00元
200ul/2800.00元
大包装/询价

产品编号 bs-0013R
英文名称 Cytochrome C Rabbit pAb
中文名称 细胞色素C抗体
别    名 CytC; CYC; CYCS; Cytochrome c somatic; HCS; CYC_HUMAN; Cytochrome-c; MSA06; THC4.  
Specific References  (54)     |     bs-0013R has been referenced in 54 publications.
[IF=10.383] Wenyu Guo. et al. Ultrasound-Mediated Antitumor Therapy via Targeted Acoustic Release Carrier of Carbon Monoxide (TARC-CO). ACS APPL MATER INTER. 2022;XXXX(XXX):XXX-XXX  IF ;  Mouse.  
[IF=9.429] Li, Guang. et al. Synergetic delivery of artesunate and isosorbide 5-mononitrate with reduction-sensitive polymer nanoparticles for ovarian cancer chemotherapy. J NANOBIOTECHNOL. 2022 Dec;20(1):1-13  WB ;  Human.  
[IF=7.129] Furui Han. et al. In vivo and in vitro study on hepatotoxicity of Tris-(2, 3-dibromopropyl) isocyanurate exposure via mitochondrial and death receptor pathway. ECOTOX ENVIRON SAFE. 2022 Nov;246:114186  WB ;  Rat, Human.  
[IF=6.551] Wei J et al. Endosulfan induces cardiotoxicity through apoptosis via unbalance of pro-survival and mitochondrial-mediated apoptotic pathways. Sci Total Environ . 2020 Jul 20;727:138790.  WB ;  human.  
[IF=6.525] Til Bahadur Thapa Magar. et al. Novel Chlorin e6-Curcumin Derivatives as a Potential Photosensitizer: Synthesis, Characterization, and Anticancer Activity. PHARMACEUTICS. 2023 Jun;15(6):1577  WB ;  Human.  
[IF=6.025] Xuliang Zhang. et al. PINK1/Parkin-mediated mitophagy mitigates T-2 toxin-induced nephrotoxicity. FOOD CHEM TOXICOL. 2022 Jun;164:113078  WB ;  Mouse.  
[IF=5.88] Rui X et al. Imperative and effective reversion of synovial hyperplasia and cartilage destruction in rheumatoid arthritis through multiple synergistic effects of O2 and Ca2+. Mater Sci Eng C Mater Biol Appl.2020 Sep;114:111058.  IHC ;  Rat.  
[IF=5.778] Lei Tian. et al. Acute ozone exposure can cause cardiotoxicity: Mitochondria play an important role in mediating myocardial apoptosis. Chemosphere. 2021 Apr;268:128838  WB ;  Rat.  
[IF=5.763] Xu Kejia. et al. Anti-melanoma effect and action mechanism of a novel chitosan-based composite hydrogel containing hydroxyapatite nanoparticles. REGEN BIOMATER. 2022 Jul;:  IHC ;  Mouse.  
[IF=5.74] Duan, Xiaoxu, et al. "Antioxidant tert-butylhydroquinone ameliorates arsenic-induced intracellular damages and apoptosis through induction of Nrf2-dependent antioxidant responses as well as stabilization of anti-apoptotic factor Bcl− 2 in human keratinocytes." Free Radical Biology and Medicine(2016).  WB ;  Human.  
[IF=5.195] Liping Han. et al. Weierning, a Chinese patent medicine, improves chronic atrophic gastritis with intestinal metaplasia. J ETHNOPHARMACOL. 2023 Jun;309:116345  WB ;  Rat.  
[IF=5.17] Zhang et al. P62 regulates resveratrol-mediated Fas/Cav-1 complex formation and transition from autophagy to apoptosis. (2015) Oncotarge. 6:789-801  WB ;  Human.  
[IF=5.108] Wang Y et al. Excessive Cu2+ deteriorates arsenite-induced apoptosis in chicken brain and resulting in immunosuppression, not in homeostasis. Chemosphere. 2019 Sep 4;239:124758.  WB ;  Chicken.  
[IF=4.872] Yajing Wang. et al. Long-term exposure to the fluoride blocks the development of chondrocytes in the ducks: The molecular mechanism of fluoride regulating autophagy and apoptosis. Ecotox Environ Safe. 2021 Jul;217:112225  WB ;  Duck.  
[IF=4.872] Shaofeng Wu. et al. Protective effects of curcumin on ATO-induced nephrotoxicity in ducks in relation to suppressed autophagy, apoptosis and dyslipidemia by regulating oxidative stress. Ecotox Environ Safe. 2021 Aug;219:112350  WB ;  Duck.  
[IF=4.872] Hanting Xu. et al. Melatonin alleviates benzo(a)pyrene-induced ovarian corpus luteum dysfunction by suppressing excessive oxidative stress and apoptosis. Ecotox Environ Safe. 2021 Jan;207:111561  IF ;  Mouse.  
[IF=4.87] Li Y et al. Seminal Plasma Proteome as an Indicator of Sperm Dysfunction and Low Sperm Motility in Chickens. Mol Cell Proteomics. 2020 Jun;19(6):1035-1046.  WB ;  Chicken.  
[IF=4.784] Zhu B et al. The hepatoprotective effect of polysaccharides from Pleurotus ostreatus on carbon tetrachloride-induced acute liver injury rats.Int J Biol Macromol. 2019 Jun 15;131:1-9.  IHF ;  Rat.  
[IF=4.101] Haixiang Ding. et al. Ailanthone suppresses the activity of human colorectal cancer cells through the STAT3 signaling pathway. Int J Mol Med. 2022 Feb;49(2):1-11  WB ;  Human.  
[IF=4.087] Liang Lyu. et al. Autophagy inhibition enhances anti-pituitary adenoma effect of tetrandrine. 2021 May 26  WB ;  Human.  
[IF=4.087] Dasari S et al. Neferine, an alkaloid from lotus seed embryo targets HeLa and SiHa cervical cancer cells via pro‐oxidant anticancer mechanism. Phytother Res. 2020 Sep;34(9):2366-2384.  ICC ;  Human.  
[IF=4.081] Hu, Zhuoying. et al. Effects of Long-Term Exposure to Copper on Mitochondria-Mediated Apoptosis in Pig Liver. BIOL TRACE ELEM RES. 2022 Jun;:1-14  WB ;  Pig.  
[IF=4.07] Tian, Qin, et al. "Phosphoprotein Gene Contributes to the Enhanced Apoptosis Induced by Wild-Type Rabies Virus GD-SH-01 In Vitro." Frontiers in Microbiology 8 (2017): 1697.  WB ;  Mouse.  
[IF=3.571] Zhang Y et al. Ginsenoside Rg3 prevents cognitive impairment by improving mitochondrial dysfunction in the rat model of Alzheimer's disease. J Agric Food Chem. 2019 Aug 27.  WB&IHC-P ;  Rat.  
[IF=3.53] Fang C, Zhang J, Qi D, Fan X, Luo J, et al. (2014) Evodiamine Induces G2/M Arrest and Apoptosis via Mitochondrial and Endoplasmic Reticulum Pathways in H446 and H1688 Human Small-Cell Lung Cancer Cells. PLoS ONE 9(12): e115204.  WB ;  Human.  
[IF=3.383] Jingxue Ma. et al. Depletion of Fractalkine ameliorates renal injury and Treg cell apoptosis via the p38MAPK pathway in lupus-prone mice. Exp Cell Res. 2021 Aug;405:112704  WB ;  Mouse.  
[IF=3.266] Zhang H et al. Cytoplasmic upregulation of Cyto c and AIF serve as biomarkers of mechanical asphyxia death. Am J Transl Res. 2019 Jul 15;11(7):4568-4583.  WB ;  Rat&Human.  
[IF=3.252] Guangcong Peng. et al. Intranasal administration of DHED protects against exhaustive exercise-induced brain injury in rats. Brain Res. 2021 Dec;1772:147665  WB,IF ;  rat.  
[IF=3.2] Chen, Chengzhi, et al. "Nuclear translocation of nuclear factor kappa B is regulated by G protein signaling pathway in arsenite‐induced apoptosis in HBE cell line." Environmental Toxicology (2015).  WB ;  Human.  
[IF=3.12] Jiang, H-Q., et al. "Guanabenz Delays the Onset of Disease Symptoms, Extends Lifespan, Improves Motor Performance and Attenuates Motor Neuron Loss in the SOD1 G93A Mouse Model of Amyotrophic Lateral Sclerosis." Neuroscience (2014).  WB ;  Mouse.  
研究领域 肿瘤  心血管  细胞生物  神经生物学  信号转导  细胞凋亡  脂蛋白  新陈代谢  线粒体  
抗体来源 Rabbit
克隆类型 Polyclonal
克 隆 号
交叉反应 Human,Mouse,Rat (predicted: Pig,Cow,Horse)
产品应用 WB=1:500-2000,IHC-P=1:100-500,IHC-F=1:100-500,IF=1:100-500,ICC/IF=1:100-500
not yet tested in other applications.
optimal dilutions/concentrations should be determined by the end user.
理论分子量 12 kDa
检测分子量 14.4
细胞定位 细胞浆 细胞膜 线粒体
性    状 Liquid
浓    度 1mg/ml
免 疫 原 KLH conjugated synthetic peptide derived from human Cytochrome C: 51-105/105 
亚    型 IgG
纯化方法 affinity purified by Protein A
缓 冲 液 0.01M TBS (pH7.4) with 1% BSA, 0.02% Proclin300 and 50% Glycerol.
保存条件 Shipped at 4℃. Store at -20℃ for one year. Avoid repeated freeze/thaw cycles.
注意事项 This product as supplied is intended for research use only, not for use in human, therapeutic or diagnostic applications.
PubMed PubMed
产品介绍 Cytochrome C is an electron transporting protein that resides within the intermembrane space of the mitochondria, where it plays a critical role in the process of oxidative phosphorylation and production of cellular ATP. An increasing amount of interest has been directed toward the role which cytocrome C has been demonstrated to play in apoptotic processes. Following exposure to apoptotic stimuli, cytochrome C is rapidly released from the mitochondria into the cytosol, an event which may be required for the completion of apoptosis in some systems. Cytosolic cytochrome C functions in the activation of caspase 3, an ICE family molecule that is a key effector of apoptosis.

Function:
Electron carrier protein. The oxidized form of the cytochrome c heme group can accept an electron from the heme group of the cytochrome c1 subunit of cytochrome reductase. Cytochrome c then transfers this electron to the cytochrome oxidase complex, the final protein carrier in the mitochondrial electron-transport chain.
Plays a role in apoptosis. Suppression of the anti-apoptotic members or activation of the pro-apoptotic members of the Bcl-2 family leads to altered mitochondrial membrane permeability resulting in release of cytochrome c into the cytosol. Binding of cytochrome c to Apaf-1 triggers the activation of caspase-9, which then accelerates apoptosis by activating other caspases.

Subcellular Location:
Mitochondrion intermembrane space. Note=Loosely associated with the inner membrane.

Post-translational modifications:
Binds 1 heme group per subunit.
Phosphorylation at Tyr-49 and Tyr-98 both reduce by half the turnover in the reaction with cytochrome c oxidase, down-regulating mitochondrial respiration.

DISEASE:
Defects in CYCS are the cause of thrombocytopenia type 4 (THC4) [MIM:612004]; also known as autosomal dominant thrombocytopenia type 4. Thrombocytopenia is the presence of relatively few platelets in blood. THC4 is a non-syndromic form of thrombocytopenia. Clinical manifestations of thrombocytopenia are absent or mild. THC4 may be caused by dysregulated platelet formation.

Similarity:
Belongs to the cytochrome c family.

SWISS:
P99999

Gene ID:
54205

Database links:

Entrez Gene: 54205 Human

Entrez Gene: 13063 Mouse

Entrez Gene: 25309 Rat

Omim: 123970 Human

SwissProt: P99999 Human

SwissProt: P62897 Mouse

SwissProt: P62898 Rat

Unigene: 437060 Human



细胞色素C(cytC)是一种电子传递链蛋白为线粒体呼吸链必须的成份之一。在哺乳动物细胞中,如此高度保守性蛋白常分布在线粒体内膜。
新近研究证明细胞浆中细胞色素C为激活细胞调亡所必需的因子。在调亡的过程中,细胞色素C从线粒体膜被易位到细胞浆,由细胞色素C激活Caspase-3(CPP32)。
细胞色素C的易位可被过量表达的Bcl-2阻断。细胞色素B与细胞色素C1和Rieske蛋白相结合而形成复合物III(也称细胞色素B-C1复合物)参与细胞呼吸链。该蛋白动物种属间同源性较高;如 :猪、犬、牛、鸡、豚鼠等。

产品图片
25 ug total protein per lane of various lysates (see on figure) probed with Cytochrome C polyclonal antibody, unconjugated (bs-0013R) at 1:1000 dilution and 4°C overnight incubation. Followed by conjugated secondary antibody incubation at r.t. for 60 min.
Paraformaldehyde-fixed, paraffin embedded Human Cerebrum; Antigen retrieval by boiling in sodium citrate buffer (pH6.0) for 15 min; The section was incubated with Cytochrome C Polyclonal Antibody, Unconjugated (bs-0013R) at 1:200 overnight at 4°C, followed by conjugation to the bs-0295G-HRP and DAB (C-0010) staining.
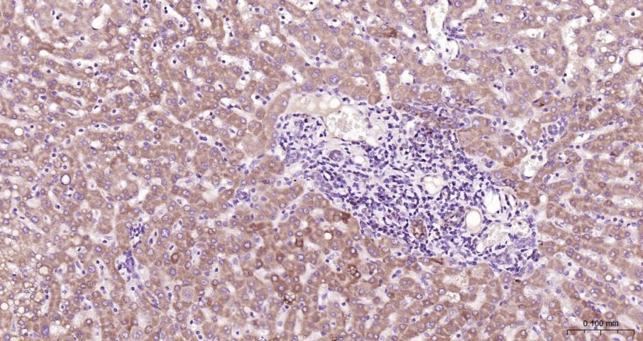
Paraformaldehyde-fixed, paraffin embedded Human Liver; Antigen retrieval by boiling in sodium citrate buffer (pH6.0) for 15 min; The section was incubated with Cytochrome C Polyclonal Antibody, Unconjugated (bs-0013R) at 1:200 overnight at 4°C, followed by conjugation to the bs-0295G-HRP and DAB (C-0010) staining.
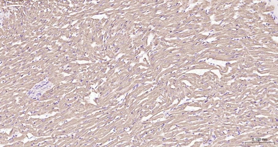
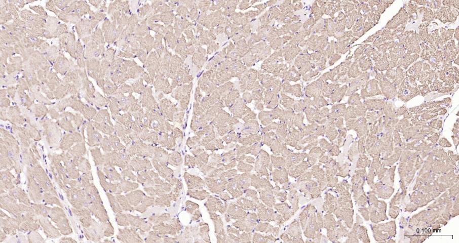
Paraformaldehyde-fixed, paraffin embedded Human Heart; Antigen retrieval by boiling in sodium citrate buffer (pH6.0) for 15 min; The section was incubated with Cytochrome C Polyclonal Antibody, Unconjugated (bs-0013R) at 1:200 overnight at 4°C, followed by conjugation to the bs-0295G-HRP and DAB (C-0010) staining.
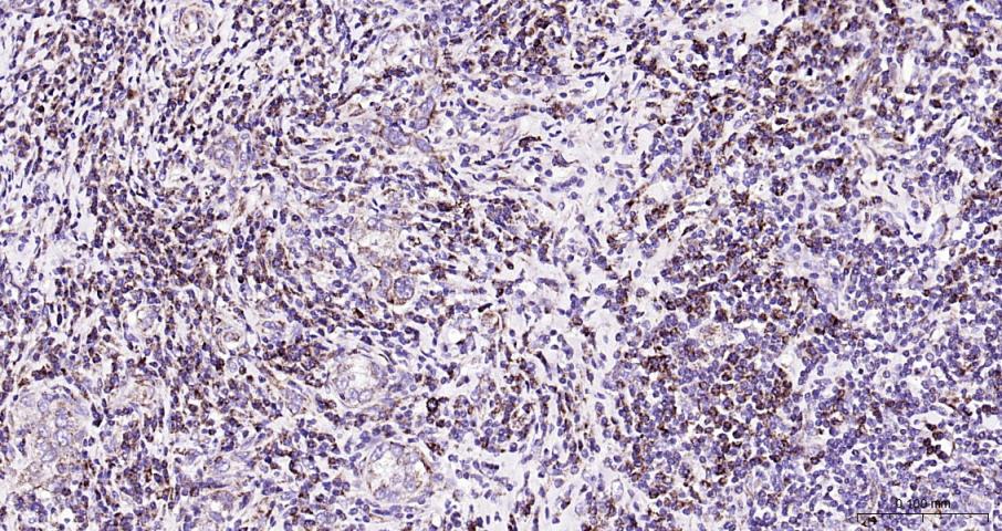
Paraformaldehyde-fixed, paraffin embedded Human Cervical Cancer; Antigen retrieval by boiling in sodium citrate buffer (pH6.0) for 15 min; The section was incubated with Cytochrome C Polyclonal Antibody, Unconjugated (bs-0013R) at 1:200 overnight at 4°C, followed by conjugation to the bs-0295G-HRP and DAB (C-0010) staining.
Paraformaldehyde-fixed, paraffin embedded Mouse Heart; Antigen retrieval by boiling in sodium citrate buffer (pH6.0) for 15 min; The section was incubated with Cytochrome C Polyclonal Antibody, Unconjugated (bs-0013R) at 1:200 overnight at 4°C, followed by conjugation to the bs-0295G-HRP and DAB (C-0010) staining.
Paraformaldehyde-fixed, paraffin embedded Rat Heart; Antigen retrieval by boiling in sodium citrate buffer (pH6.0) for 15 min; The section was incubated with Cytochrome C Polyclonal Antibody, Unconjugated (bs-0013R) at 1:200 overnight at 4°C, followed by conjugation to the bs-0295G-HRP and DAB (C-0010) staining.
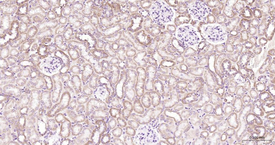
Paraformaldehyde-fixed, paraffin embedded Mouse Kidney; Antigen retrieval by boiling in sodium citrate buffer (pH6.0) for 15 min; The section was incubated with Cytochrome C Polyclonal Antibody, Unconjugated (bs-0013R) at 1:200 overnight at 4°C, followed by conjugation to the bs-0295G-HRP and DAB (C-0010) staining.
Paraformaldehyde-fixed, paraffin embedded Rat Kidney; Antigen retrieval by boiling in sodium citrate buffer (pH6.0) for 15 min; The section was incubated with Cytochrome C Polyclonal Antibody, Unconjugated (bs-0013R) at 1:200 overnight at 4°C, followed by conjugation to the bs-0295G-HRP and DAB (C-0010) staining.
版权所有 2004-2026 www.bioss.com.cn 北京博奥森生物技术有限公司
通过国际质量管理体系ISO 9001:2015 GB/T 19001-2016    证书编号: 00124Q34771R2M/1100
通过国际医疗器械-质量管理体系ISO 13485:2016 GB/T 42061-2022     证书编号: CQC24QY20047R0M/1100
京ICP备05066980号-1         京公网安备110107000727号