扫码关注公众号           扫码咨询技术支持           扫码咨询技术服务
  
客服热线:400-901-9800  客服QQ:4009019800  技术答疑  技术支持  质量反馈  人才招聘  关于我们  联系我们
产品中心-北京博奥森生物技术有限公司
首页 > 产品中心 > 一抗 > 产品信息
CREB-1 Mouse pAb (bs-0035M)  
订购热线:400-901-9800
订购邮箱:sales@bioss.com.cn
订购QQ:  400-901-9800
技术支持:techsupport@bioss.com.cn
50ul/1180.00元
100ul/1980.00元
200ul/2800.00元
大包装/询价

产品编号 bs-0035M
英文名称 CREB-1 Mouse pAb
中文名称 环腺苷酸应答元件结合蛋白抗体
别    名 CREB; CREB-1; 2310001E10Rik; 3526402H21Rik; CREB1_BOVIN; CREB1; cAMP-responsive element-binding protein 1; Cyclic AMP-responsive DNA-binding protein; CREB2; CREB1_HUMAN; CREB1_MOUSE; CREB1_RAT;   
研究领域 信号转导  
抗体来源 Mouse
克隆类型 Polyclonal
克 隆 号
交叉反应 Human,Mouse (predicted: Rat,Pig,Sheep,Cow,Chicken,Dog)
产品应用 WB=1:500-2000,IHC-P=1:100-500,IHC-F=1:100-500,IF=1:100-500
not yet tested in other applications.
optimal dilutions/concentrations should be determined by the end user.
理论分子量 37 kDa
细胞定位 细胞核 
性    状 Liquid
浓    度 1mg/ml
免 疫 原 KLH conjugated synthetic peptide derived from human CREB-1: 101-150/341 
亚    型
纯化方法 affinity purified by Protein A
缓 冲 液 0.01M TBS (pH7.4) with 1% BSA, 0.02% Proclin300 and 50% Glycerol.
保存条件 Shipped at 4℃. Store at -20℃ for one year. Avoid repeated freeze/thaw cycles.
注意事项 This product as supplied is intended for research use only, not for use in human, therapeutic or diagnostic applications.
PubMed PubMed
产品介绍 Cyclic AMP Response Element Binding protein (CREB) is a basic / leucine zipper transcription factor that binds the cyclic AMP response element (CRE) and activates transcription in response to a variety of extracellular signals including neurotransmitters, hormones, membrane depolarization, and growth and neurotrophic factors. Activation of CREB is dependent upon the phosphorylation of serine 133. Phosphorylation occurs via p44 / 42 MAP kinase and p90RSK and also via p38 MAP kinase and MSK 1. Although CREB will bind DNA independent of its phosphorylation state, only the phosphorylated form is competent as a transcription factor. CREB binding protein (CBP), a transcriptional coactivator that directly interacts with CREB, binds to CREB in the region of serine 133. CREB appears to play an important role in learning and memory. CREB knock out mice show diminished learning ability.

Function:
Phosphorylation-dependent transcription factor that stimulates transcription upon binding to the DNA cAMP response element (CRE), a sequence present in many viral and cellular promoters. Transcription activation is enhanced by the TORC coactivators which act independently of Ser-133 phosphorylation. Involved in different cellular processes including the synchronization of circadian rhythmicity and the differentiation of adipose cells.

Subunit:
Interacts with PPRC1. Binds DNA as a dimer. This dimer is stabilized by magnesium ions. Interacts, through the bZIP domain, with the coactivators TORC1/CRTC1, TORC2/CRTC2 and TORC3/CRTC3. When phosphorylated on Ser-133, binds CREBBP (By similarity). Interacts with CREBL2; regulates CREB1 phosphorylation, stability and transcriptional activity (By similarity). Interacts (phosphorylated form) with TOX3. Interacts with ARRB1. Binds to HIPK2. Interacts with SGK1.

Subcellular Location:
Nucleus.

Post-translational modifications:
Stimulated by phosphorylation. Phosphorylation of both Ser-133 and Ser-142 in the SCN regulates the activity of CREB and participates in circadian rhythm generation. Phosphorylation of Ser-133 allows CREBBP binding (By similarity). CREBL2 positively regulates phosphorylation at Ser-133 thereby stimulating CREB1 transcriptional activity (By similarity). Phosphorylated upon DNA damage, probably by ATM or ATR. Phosphorylated upon calcium influx by CaMK4 and CaMK2 on Ser-133. CaMK4 is much more potent than CaMK2 in activating CREB. Phosphorylated by CaMK2 on Ser-142. Phosphorylation of Ser-142 blocks CREB-mediated transcription even when Ser-133 is phosphorylated. Phosphorylated by CaMK1 (By similarity). Phosphorylation of Ser-271 by HIPK2 in response to genotoxic stress promotes CREB1 activity, facilitating the recruitment of the coactivator CBP. Phosphorylated at Ser-133 by RPS6KA3, RPS6KA4 and RPS6KA5 in response to mitogenic or stress stimuli.
Sumoylated with SUMO1. Sumoylation on Lys-304, but not on Lys-285, is required for nuclear localization of this protein. Sumoylation is enhanced under hypoxia, promoting nuclear localization and stabilization.

DISEASE:
Defects in CREB1 may be a cause of angiomatoid fibrous histiocytoma (AFH) [MIM:612160]. A distinct variant of malignant fibrous histiocytoma that typically occurs in children and adolescents and is manifest by nodular subcutaneous growth. Characteristic microscopic features include lobulated sheets of histiocyte-like cells intimately associated with areas of hemorrhage and cystic pseudovascular spaces, as well as a striking cuffing of inflammatory cells, mimicking a lymph node metastasis. Note=A chromosomal aberration involving CREB1 is found in a patient with angiomatoid fibrous histiocytoma. Translocation t(2;22)(q33;q12) with CREB1 generates a EWSR1/CREB1 fusion gene that is most common genetic abnormality in this tumor type.
Note=A CREB1 mutation has been found in a patient with multiple congenital anomalies consisting of agenesis of the corpus callosum, cerebellar hypoplasia, severe neonatal respiratory distress refractory to surfactant, thymus hypoplasia, and thyroid follicular hypoplasia (PubMed:22267179).

Similarity:
Belongs to the bZIP family.
Contains 1 bZIP domain.
Contains 1 KID (kinase-inducible) domain.

SWISS:
P16220

Gene ID:
1385

Database links:

Entrez Gene: 281713 Cow

Entrez Gene: 1385 Human

Entrez Gene: 12912 Mouse

Entrez Gene: 81646 Rat

Omim: 123810 Human

SwissProt: P27925 Cow

SwissProt: P16220 Human

SwissProt: Q01147 Mouse

SwissProt: P15337 Rat

Unigene: 516646 Human

Unigene: 453295 Mouse

Unigene: 90061 Rat




环腺苷酸应答元件结合蛋白(cAMP responsive element binding protein, CREB)是真核细胞转录因子,属于ATF/CREB家族。参与由cAMP或某些病毒蛋白质所诱导基因转录的调节。
>
ATF/CREB家族相关蛋白
bs-0517R ATF-1 活化复制因子1
bs-0518R ATF-2 活化复制因子2
bs-0519R ATF-3 活化复制因子3
bs-0035M CREB 非磷酸化环腺苷酸应答元件结合蛋白(抗体)
bs-0036R P-CREB 磷酸化环腺苷酸应答元件结合蛋白(抗体)


产品图片
Sample: Lane 1: Kidney (Mouse) Lysate at 40 ug Lane 2: Kidney (Rat) Lysate at 40 ug Lane 3: Testis (Mouse) Lysate at 40 ug Lane 4: Testis (Rat) Lysate at 40 ug Lane 5: Liver (Mouse) Lysate at 40 ug Primary: Anti-CREB-1 (bs-0035M) at 1/1000 dilution Secondary: IRDye800CW Goat Anti-Mouse IgG at 1/20000 dilution Predicted band size: 45 kD Observed band size: 45 kD
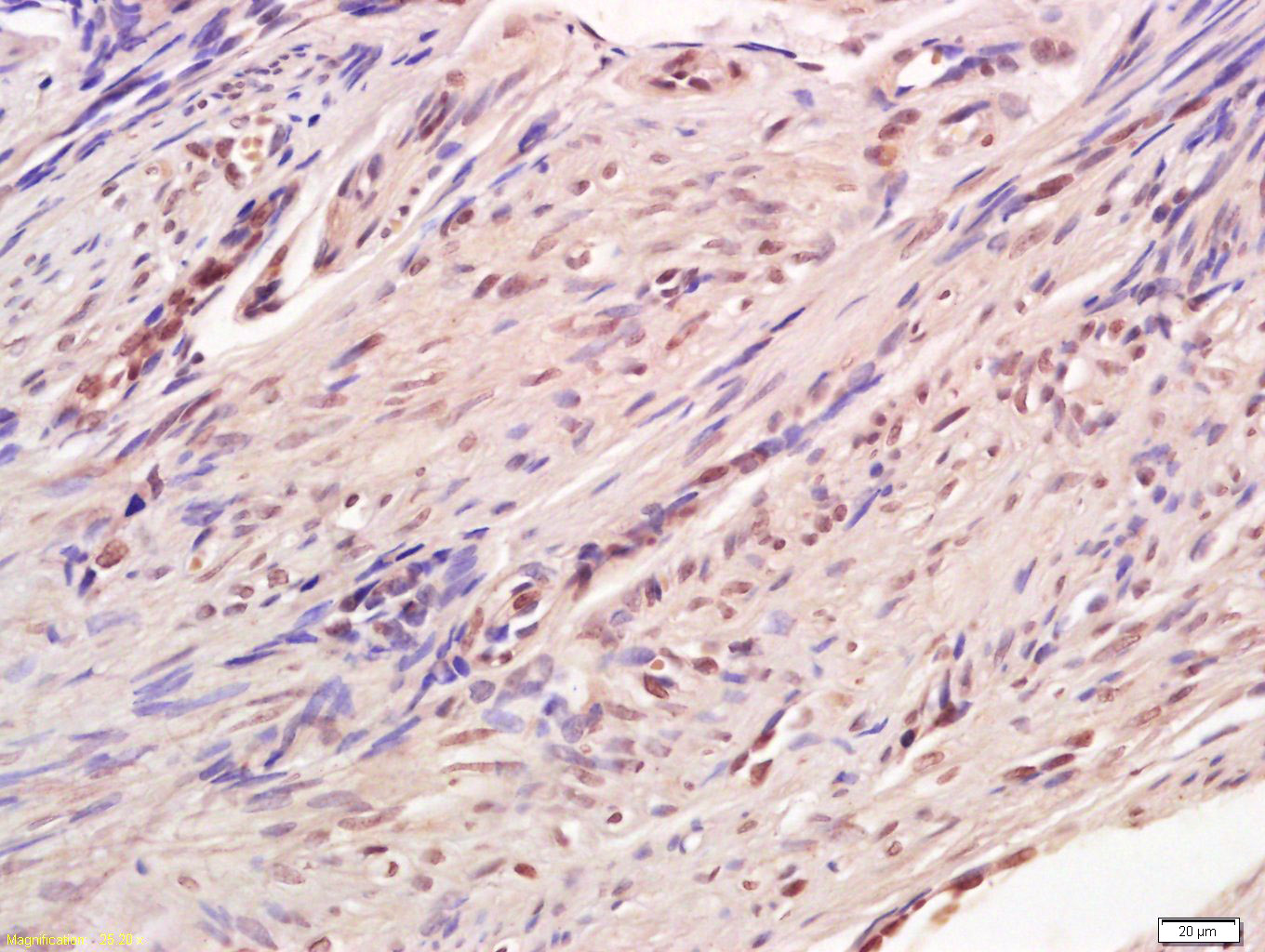
Tissue/cell: Human endometrium tissue; 4% Paraformaldehyde-fixed and paraffin-embedded; Antigen retrieval: citrate buffer ( 0.01M, pH 6.0 ), Boiling bathing for 15min; Block endogenous peroxidase by 3% Hydrogen peroxide for 30min; Blocking buffer (normal goat serum,C-0005) at 37℃ for 20 min; Incubation: Mouse Anti-CREB-1 Polyclonal Antibody, Unconjugated(bs-0035M) 1:200, overnight at 4°C, followed by conjugation to the secondary antibody(SP-0024) and DAB(C-0010) staining
版权所有 2004-2026 www.bioss.com.cn 北京博奥森生物技术有限公司
通过国际质量管理体系ISO 9001:2015 GB/T 19001-2016    证书编号: 00124Q34771R2M/1100
通过国际医疗器械-质量管理体系ISO 13485:2016 GB/T 42061-2022     证书编号: CQC24QY20047R0M/1100
京ICP备05066980号-1         京公网安备110107000727号