扫码关注公众号           扫码咨询技术支持           扫码咨询技术服务
  
客服热线:400-901-9800  客服QQ:4009019800  技术答疑  技术支持  质量反馈  关于我们  联系我们
产品中心-北京博奥森生物技术有限公司
首页 > 产品中心 > 一抗 > 产品信息
COL5A1 Rabbit pAb (bs-0552R)  
订购热线:400-901-9800
订购邮箱:sales@bioss.com.cn
订购QQ:  400-901-9800
技术支持:techsupport@bioss.com.cn
50ul/1180.00元
100ul/1980.00元
200ul/2800.00元
大包装/询价

产品编号 bs-0552R
英文名称 COL5A1 Rabbit pAb
中文名称 Ⅴ型胶原抗体
别    名 EDSC; EDSCL1; FMDMF; CO5A1_HUMAN; COL5A1;   
Specific References  (5)     |     bs-0552R has been referenced in 5 publications.
[IF=17.521] Yingni Xu. et al. Biomimetic Convex Implant for Corneal Regeneration Through 3D Printing. Advanced Science. 2023 Feb;:2205878  IF ;  Rabbit.  
[IF=4.315] Tong Xu. et al. A signature of circadian rhythm genes in driving anaplastic thyroid carcinoma malignant progression. CELL SIGNAL. 2022 Jul;95:110332  WB ;  Human.  
[IF=3.662] Xiaoting Lu. et al. Porous hydrogel constructs based on methacrylated gelatin/polyethylene oxide for corneal stromal regeneration. MATER TODAY COMMUN. 2022 Aug;32:104071  IF ;  Rabbit.  
[IF=2.586] R S N Barreto. et al. THE EXTRACELLULAR MATRIX PROTEIN PATTERN IN THE CANINE NEOPLASTIC MAMMARY GLAND. TISSUE CELL. 2023 Feb;:102050  IHC ;  Dog.  
[IF=0] Kanthilal, Manisha. Characterization of Molecular and Mechanical Phenotypes of Freshly Isolated Lipoaspirate Cells. Diss. Brown University, 2013.  FCM ;  Human.  
研究领域 肿瘤  免疫学  
抗体来源 Rabbit
克隆类型 Polyclonal
克 隆 号
交叉反应 Human,Mouse,Rat (predicted: Rabbit,Pig,Sheep,Cow,Chicken,Dog)
产品应用 WB=1:500-2000,IHC-P=1:100-500,IHC-F=1:100-500,IF=1:100-500
not yet tested in other applications.
optimal dilutions/concentrations should be determined by the end user.
理论分子量 153 kDa
细胞定位 细胞外基质 分泌型蛋白 
性    状 Liquid
浓    度 1mg/ml
免 疫 原 KLH conjugated synthetic peptide derived from human COL5A1: 1401-1500/1838 
亚    型 IgG
纯化方法 affinity purified by Protein A
缓 冲 液 0.01M TBS (pH7.4) with 1% BSA, 0.02% Proclin300 and 50% Glycerol.
保存条件 Shipped at 4℃. Store at -20℃ for one year. Avoid repeated freeze/thaw cycles.
注意事项 This product as supplied is intended for research use only, not for use in human, therapeutic or diagnostic applications.
PubMed PubMed
产品介绍 This gene encodes an alpha chain for one of the low abundance fibrillar collagens. Fibrillar collagen molecules are trimers that can be composed of one or more types of alpha chains. Type V collagen is found in tissues containing type I collagen and appears to regulate the assembly of heterotypic fibers composed of both type I and type V collagen. This gene product is closely related to type XI collagen and it is possible that the collagen chains of types V and XI constitute a single collagen type with tissue-specific chain combinations. The encoded procollagen protein occurs commonly as the heterotrimer pro-alpha1(V)-pro-alpha1(V)-pro-alpha2(V). Mutations in this gene are associated with Ehlers-Danlos syndrome, types I and II. Alternative splicing of this gene results in multiple transcript variants. [provided by RefSeq, May 2013]

Function:
Type V collagen is a member of group I collagen (fibrillar forming collagen). It is a minor connective tissue component of nearly ubiquitous distribution. Type V collagen binds to DNA, heparan sulfate, thrombospondin, heparin, and insulin.

Subunit:
Trimers of two alpha 1(V) and one alpha 2(V) chains in most tissues and trimers of one alpha 1(V), one alpha 2(V), and one alpha 3(V) chains in placenta. Interacts with CSPG4.

Subcellular Location:
Secreted, extracellular space, extracellular matrix.

Post-translational modifications:
Prolines at the third position of the tripeptide repeating unit (G-X-Y) are hydroxylated in some or all of the chains.
Sulfated on 40% of tyrosines.

DISEASE:
Ehlers-Danlos syndrome 1 (EDS1) [MIM:130000]: A connective tissue disorder characterized by hyperextensible skin, atrophic cutaneous scars due to tissue fragility and joint hyperlaxity. EDS1 is the severe form of classic Ehlers-Danlos syndrome. Note=The disease is caused by mutations affecting the gene represented in this entry.
Ehlers-Danlos syndrome 2 (EDS2) [MIM:130010]: Mild form of classic Ehlers-Danlos syndrome. Note=The disease is caused by mutations affecting the gene represented in this entry.

Similarity:
Belongs to the fibrillar collagen family.
Contains 1 fibrillar collagen NC1 domain.
Contains 1 laminin G-like domain.

SWISS:
P20908

Gene ID:
1289

Database links:

Entrez Gene: 1289 Human

SwissProt: P20908 Human



产品图片
Sample: Lane 1: Mouse Placenta tissue lysates Lane 2: Mouse Skin tissue lysates Lane 3: Mouse Uterus tissue lysates Lane 4: Rat Uterus tissue lysates Lane 5: Human A549 cell lysates Primary: Anti-COL5A1 (bs-0552R) at 1/1000 dilution Secondary: IRDye800CW Goat Anti-Rabbit IgG at 1/20000 dilution Predicted band size: 153 kDa Observed band size: 200 kDa
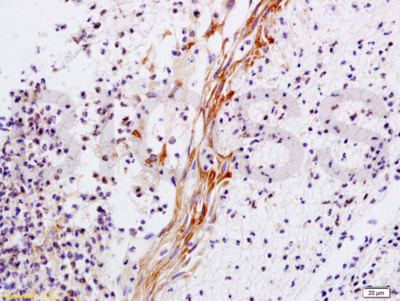
Tissue/cell: rat skin tissue; 4% Paraformaldehyde-fixed and paraffin-embedded; Antigen retrieval: citrate buffer ( 0.01M, pH 6.0 ), Boiling bathing for 15min; Block endogenous peroxidase by 3% Hydrogen peroxide for 30min; Blocking buffer (normal goat serum,C-0005) at 37℃ for 20 min; Incubation: Anti-Collagen V Polyclonal Antibody, Unconjugated(bs-0552R) 1:200, overnight at 4°C, followed by conjugation to the secondary antibody(SP-0023) and DAB(C-0010) staining
Tissue/cell: human colon carcinoma;4% Paraformaldehyde-fixed and paraffin-embedded; Antigen retrieval: citrate buffer ( 0.01M, pH 6.0 ), Boiling bathing for 15min; Blocking buffer (normal goat serum,C-0005) at 37℃ for 20 min; Incubation: Anti-GM-CSF Polyclonal Antibody, Unconjugated(bs-0552R) 1:200, overnight at 4°C; The secondary antibody was Goat Anti-Rabbit IgG, PE conjugated(bs-0295G-PE)used at 1:200 dilution for 40 minutes at 37°C. DAPI(5ug/ml,blue,C-0033) was used to stain the cell nuclei
版权所有 2004-2026 www.bioss.com.cn 北京博奥森生物技术有限公司
通过国际质量管理体系ISO 9001:2015 GB/T 19001-2016    证书编号: 00124Q34771R2M/1100
通过国际医疗器械-质量管理体系ISO 13485:2016 GB/T 42061-2022     证书编号: CQC24QY20047R0M/1100
京ICP备05066980号-1         京公网安备110107000727号