扫码关注公众号           扫码咨询技术支持           扫码咨询技术服务
  
客服热线:400-901-9800  客服QQ:4009019800  技术答疑  技术支持  质量反馈  关于我们  联系我们
产品中心-北京博奥森生物技术有限公司
首页 > 产品中心 > 一抗 > 产品信息
Bcl-2 Rabbit pAb (bs-0032R)  
订购热线:400-901-9800
订购邮箱:sales@bioss.com.cn
订购QQ:  400-901-9800
技术支持:techsupport@bioss.com.cn
50ul/1180.00元
100ul/1980.00元
大包装/询价

产品编号 bs-0032R
英文名称 Bcl-2 Rabbit pAb
中文名称 Bcl-2抗体
别    名 Apoptosis regulator Bcl 2; Apoptosis regulator Bcl2; AW986256; B cell CLL/lymphoma 2; B cell leukemia/lymphoma 2; B cell lymphoma 2; Bcl 2; Bcl-2; Bcl2; BCL2 protein; C430015F12Rik; D630044D05Rik; D830018M01Rik; Leukemia/lymphoma, B-cell, 2; Oncogene B-cell leukemia 2; BCL2_HUMAN.  
Specific References  (162)     |     bs-0032R has been referenced in 162 publications.
[IF=18.027] Shikai Liu. et al. On-Demand Generation of Peroxynitrite from an Integrated Two-Dimensional System for Enhanced Tumor Therapy. ACS NANO. 2022;XXXX(XXX):XXX-XXX  WB ;  Human.  
[IF=14.593] Guo-Bin Ding. et al. Molecularly engineered tumor acidity-responsive plant toxin gelonin for safe and efficient cancer therapy. Bioact Mater. 2022 Feb;:  IHC ;  Mouse.  
[IF=12.153] Zhang, Fei. et al. Lnc Tmem235 promotes repair of early steroid-induced osteonecrosis of the femoral head by inhibiting hypoxia-induced apoptosis of BMSCs. EXP MOL MED. 2022 Nov;:1-16  WB ;  Rat.  
[IF=9.986] Jiyoung Hwang. et al. SOD1 suppresses pro-inflammatory immune responses by protecting against oxidative stress in colitis. Redox Biol. 2020 Oct;37:101760  WB ;  Human.  
[IF=8.724] Yonggang Lv. et al. Three-dimensional decellularized tumor extracellular matrices with different stiffness as bioengineered tumor scaffolds. Bioact Mater. 2021 Sep;6:2767  WB ;  Human.  
[IF=8.702] Xu Qian. et al. Down-regulation of EVA1A by miR-103a-3p promotes hepatocellular carcinoma cells proliferation and migration. CELL MOL BIOL LETT. 2022 Dec;27(1):1-23  WB ;  Human.  
[IF=8.063] Luo J et al. ATF4 destabilizes RET through nonclassical GRP78 inhibition to enhance chemosensitivity to bortezomib in human osteosarcoma. Theranostics. 2019 Aug 14;9(21):6334-6353.  IHC-P ;  Human.  
[IF=7.963] Jianzhao Liao. et al. Gut microbiota disturbance exaggerates battery wastewater-induced hepatotoxicity through a gut-liver axis. Sci Total Environ. 2022 Feb;809:152188  WB ;  Mouse.  
[IF=7.129] Furui Han. et al. In vivo and in vitro study on hepatotoxicity of Tris-(2, 3-dibromopropyl) isocyanurate exposure via mitochondrial and death receptor pathway. ECOTOX ENVIRON SAFE. 2022 Nov;246:114186  WB ;  Rat, Human.  
[IF=7.129] Beiyu Zhang. et al. ZnO-NPs alleviate aflatoxin B1-induced hepatoxicity in ducklings by promoting hepatic metallothionein expression. ECOTOX ENVIRON SAFE. 2023 May;256:114826  WB ;  Duck.  
[IF=7.086] Quan-Kuo He. et al. Captan exposure disrupts ovarian homeostasis and affects oocytes quality via mitochondrial dysfunction induced apoptosis. Chemosphere. 2022 Jan;286:131625  WB ;  Mouse.  
[IF=6.992] Qingyue Yang. et al. The link between deacetylation and hepatotoxicity induced by exposure to hexavalent chromium. J Adv Res. 2021 Apr;:  WB ;  Rat.  
[IF=6.819] Hongchao Xu. et al. A facile method for anti-cancer drug encapsulation into polymersomes with a core-satellite structure. DRUG DELIV. 2022 Jul 29  IHC ;  Mouse.  
[IF=6.792] Jiayi Li. et al. Toxicological effects of deltamethrin on quail cerebrum: Weakened antioxidant defense and enhanced apoptosis. Environ Pollut. 2021 Oct;286:117319  WB ;  Quail.  
[IF=6.792] Jiayi Li. et al. Toxicological effects of deltamethrin on quail cerebrum: Weakened antioxidant defense and enhanced apoptosis. Environ Pollut. 2021 Oct;286:117319  WB ;  Quail.  
[IF=6.551] Wei J et al. Endosulfan induces cardiotoxicity through apoptosis via unbalance of pro-survival and mitochondrial-mediated apoptotic pathways. Sci Total Environ . 2020 Jul 20;727:138790.  WB ;  human.  
[IF=6.543] Zhou Wan. et al. The Effects of RBP4 and Vitamin D on the Proliferation and Migration of Vascular Smooth Muscle Cells via the JAK2/STAT3 Signaling Pathway. Oxid Med Cell Longev. 2022;2022:3046777  WB ;  Rat.  
[IF=6.434] Yu D et al. Gestational exposure to acrylamide inhibits mouse placental development in vivo.(2018) J Hazard Mater.367:160-170.  WB ;  Mouse.  
[IF=6.388] Weiyi Zhang. et al. Cinnamaldehyde induces apoptosis and enhances anti-colorectal cancer activity via covalent binding to HSPD1. PHYTOTHER RES. 2023 Apr;:  WB ;  Human.  
[IF=6.375] Zhou,et al.CXCR4 antagonist AMD3100 enhances the response of MDA-MB-231 triple-negative breast cancer cells to ionizing radiation.(2018) Cancer Letters. 418:196-203.  IHC-P + WB ;  Mouse.  
[IF=6.304] Xuemei Shen. et al. CircRILPL1 promotes muscle proliferation and differentiation via binding miR-145 to activate IGF1R/PI3K/AKT pathway. Cell Death Dis. 2021 Feb;12(2):1-14  WB ;  Bovine.  
[IF=6.304] Zhiqiang Han. et al. PNO1 regulates autophagy and apoptosis of hepatocellular carcinoma via the MAPK signaling pathway. Cell Death Dis. 2021 May;12(6):1-14  WB ;  Human.  
[IF=6.291] Peng Zheng. et al. Alleviative effect of melatonin on the decrease of uterine receptivity caused by blood ammonia through ROS/NF-κB pathway in dairy cow. Ecotox Environ Safe. 2022 Feb;231:113166  WB ;  Bovine.  
[IF=6.291] Jia Cui. et al. Effects of ammonia on hypothalamic-pituitary-ovarian axis in female rabbits. Ecotox Environ Safe. 2021 Dec;227:112922  IHC ;  Rabbit.  
[IF=6.217] Wang L et al. Zoledronic acid inhibits the growth of cancer stem cell derived from cervical cancer cell by attenuating their stemness phenotype and inducing apoptosis and cell cycle arrest through the Erk1/2 and Akt pathways. J Exp Clin Cancer Res. 2019 Feb 21;38(1):93.  WB ;  Mouse.  
[IF=6.064] Mengni Bao. et al. N-Acetylcysteine, an ROS Inhibitor, Alleviates the Pathophysiology of Hyperthyroidism-Induced Cardiomyopathy via the ROS/Ca2+ Pathway. BIOMOLECULES. 2022 Sep;12(9):1195  WB ;  Mouse, Rat.  
[IF=5.763] Xu Kejia. et al. Anti-melanoma effect and action mechanism of a novel chitosan-based composite hydrogel containing hydroxyapatite nanoparticles. REGEN BIOMATER. 2022 Jul;:  IHC ;  Mouse.  
[IF=5.682] Fu, Fang. et al. Ndufa4 Regulates the Proliferation and Apoptosis of Neurons via miR-145a-5p/Homer1/Ccnd2. MOL NEUROBIOL. 2023 Feb;:1-18  WB ;  Mouse.  
[IF=5.586] Shi-Yi Xu. et al. Long-circulating doxorubicin and Schizandrin A liposome with drug-resistant liver cancer activity: in vitro and in vivo evaluation. J LIPOSOME RES. 2023 Mar 28  IHC ;  Mouse.  
[IF=5.201] Xuemei Shen. et al. CircINSR Regulates Fetal Bovine Muscle and Fat Development. Front Cell Dev Biol. 2020; 8: 615638  WB ;  Bovine.  
研究领域 细胞生物  信号转导  细胞凋亡  细胞类型标志物  肿瘤细胞生物标志物  新陈代谢  线粒体  
抗体来源 Rabbit
克隆类型 Polyclonal
克 隆 号
交叉反应 Human,Mouse,Rat (predicted: Chicken)
产品应用 WB=1:500-2000,IHC-P=1:100-500,IHC-F=1:100-500,IF=1:100-500,ELISA=1:5000-10000
not yet tested in other applications.
optimal dilutions/concentrations should be determined by the end user.
理论分子量 26 kDa
检测分子量 26
细胞定位 细胞核 细胞浆 细胞膜 线粒体
性    状 Liquid
浓    度 1mg/ml
免 疫 原 KLH conjugated synthetic peptide derived from human Bcl-2: 101-160/236 
亚    型 IgG
纯化方法 affinity purified by Protein A
缓 冲 液 0.01M TBS (pH7.4) with 1% BSA, 0.02% Proclin300 and 50% Glycerol.
保存条件 Shipped at 4℃. Store at -20℃ for one year. Avoid repeated freeze/thaw cycles.
注意事项 This product as supplied is intended for research use only, not for use in human, therapeutic or diagnostic applications.
PubMed PubMed
产品介绍 BCL2 is an integral outer mitochondrial membrane protein that blocks the apoptotic death of some cells such as lymphocytes. Constitutive expression of BCL2, such as in the case of translocation of BCL2 to Ig heavy chain locus, is thought to be the cause of follicular lymphoma. Two transcript variants (alpha and beta) produced by alternate splicing, differ in their C-terminal ends. BCL2 suppresses apoptosis in a variety of cell systems including factor-dependent lymphohematopoietic and neural cells. It regulates cell death by controlling the mitochondrial membrane permeability. It appears to function in a feedback loop system with caspases. BCL2 inhibits caspase activity either by preventing the release of cytochrome c from the mitochondria and/or by binding to the apoptosis-activating factor (APAF1). It can form homodimers, and heterodimers with BAX, BAD, BAK and BclX(L). Heterodimerization with BAX requires intact BH1 and BH2 domains, and is necessary for anti-apoptotic activity. Also interacts with APAF1, RAF1, TP53BP2, BBC3, BCL2L1 and BNIPL.

Function:
Suppresses apoptosis in a variety of cell systems including factor-dependent lymphohematopoietic and neural cells. Regulates cell death by controlling the mitochondrial membrane permeability. Appears to function in a feedback loop system with caspases. Inhibits caspase activity either by preventing the release of cytochrome c from the mitochondria and/or by binding to the apoptosis-activating factor (APAF-1).

Subunit:
Forms homodimers, and heterodimers with BAX, BAD, BAK and Bcl-X(L). Heterodimerization with BAX requires intact BH1 and BH2 motifs, and is necessary for anti-apoptotic activity. Interacts with EI24 (By similarity). Also interacts with APAF1, BBC3, BCL2L1, BNIPL, MRPL41 and TP53BP2. Binding to FKBP8 seems to target BCL2 to the mitochondria and probably interferes with the binding of BCL2 to its targets. Interacts with BAG1 in an ATP-dependent manner. Interacts with RAF1 (the 'Ser-338' and 'Ser-339' phosphorylated form). Interacts (via the BH4 domain) with EGLN3; the interaction prevents the formation of the BAX-BCL2 complex and inhibits the anti-apoptotic activity of BCL2. Interacts with G0S2; this interaction also prevents the formation of the anti-apoptotic BAX-BCL2 complex.

Subcellular Location:
Mitochondrion outer membrane; Single-pass membrane protein. Nucleus membrane; Single-pass membrane protein. Endoplasmic reticulum membrane; Single-pass membrane protein.

Tissue Specificity:
Expressed in a variety of tissues.

Post-translational modifications:
Phosphorylation/dephosphorylation on Ser-70 regulates anti-apoptotic activity. Growth factor-stimulated phosphorylation on Ser-70 by PKC is required for the anti-apoptosis activity and occurs during the G2/M phase of the cell cycle. In the absence of growth factors, BCL2 appears to be phosphorylated by other protein kinases such as ERKs and stress-activated kinases. Phosphorylated by MAPK8/JNK1 at Thr-69, Ser-70 and Ser-87, wich stimulates starvation-induced autophagy. Dephosphorylated by protein phosphatase 2A (PP2A).
Proteolytically cleaved by caspases during apoptosis. The cleaved protein, lacking the BH4 motif, has pro-apoptotic activity, causes the release of cytochrome c into the cytosol promoting further caspase activity.
Monoubiquitinated by PARK2, leading to increase its stability.

DISEASE:
Note=A chromosomal aberration involving BCL2 has been found in chronic lymphatic leukemia. Translocation t(14;18)(q32;q21) with immunoglobulin gene regions. BCL2 mutations found in non-Hodgkin lymphomas carrying the chromosomal translocation could be attributed to the Ig somatic hypermutation mechanism resulting in nucleotide transitions.

Similarity:
Belongs to the Bcl-2 family.

SWISS:
P10415

Gene ID:
596

Database links:

Entrez Gene: 281020 Cow

Entrez Gene: 596 Human

Entrez Gene: 12043 Mouse

Entrez Gene: 24224 Rat

Omim: 151430 Human

SwissProt: O02718 Cow

SwissProt: P10415 Human

SwissProt: P10417 Mouse

SwissProt: P49950 Rat

Unigene: 150749 Human

Unigene: 257460 Mouse

Unigene: 9996 Rat



Bcl-2基因是指B-cell lymphoma gene。人体滤泡B细胞淋巴瘤中过量表达的原癌基因。由于染色体t(14;18)易位,将Bcl-2基因置于免疫球蛋白重链的转录调控下,使其表达失控。在细胞系中其过量表达能延长细胞存活期而不诱导细胞增殖。它是哺乳动物中细胞调亡的抑制基因。参与细胞凋亡的调控。肿瘤中的Bcl-2基因可提高侵润性瘤细胞的生存能力。主要用于滤胞型淋巴瘤、毛细管性白血病及细胞凋亡等方面的研究。

目前研究认为:Bcl-2也是细胞凋亡的一种抑制因子、参与细胞凋亡调控,可以用于各种恶性肿瘤的细胞凋亡的研究。
产品图片
25 ug total protein per lane of various lysates (see on figure) probed with Bcl-2 polyclonal antibody, unconjugated (bs-0032R) at 1:1000 dilution and 4°C overnight incubation. Followed by conjugated secondary antibody incubation at r.t. for 60 min.
Paraformaldehyde-fixed, paraffin embedded (Mouse brain); Antigen retrieval by boiling in sodium citrate buffer (pH6.0) for 15min; Block endogenous peroxidase by 3% hydrogen peroxide for 20 minutes; Blocking buffer (normal goat serum) at 37°C for 30min; Antibody incubation with (Bcl-2) Polyclonal Antibody, Unconjugated (bs-0032R) at 1:400 overnight at 4°C, followed by operating according to SP Kit(Rabbit) (sp-0023) instructionsand DAB staining.
Paraformaldehyde-fixed, paraffin embedded (Rat brain); Antigen retrieval by boiling in sodium citrate buffer (pH6.0) for 15min; Block endogenous peroxidase by 3% hydrogen peroxide for 20 minutes; Blocking buffer (normal goat serum) at 37°C for 30min; Antibody incubation with (Bcl-2) Polyclonal Antibody, Unconjugated (bs-0032R) at 1:400 overnight at 4°C, followed by operating according to SP Kit(Rabbit) (sp-0023) instructionsand DAB staining.
Paraformaldehyde-fixed, paraffin embedded (Rat spinal cord); Antigen retrieval by boiling in sodium citrate buffer (pH6.0) for 15min; Block endogenous peroxidase by 3% hydrogen peroxide for 20 minutes; Blocking buffer (normal goat serum) at 37°C for 30min; Antibody incubation with (Bcl-2) Polyclonal Antibody, Unconjugated (bs-0032R) at 1:400 overnight at 4°C, followed by operating according to SP Kit(Rabbit) (sp-0023) instructionsand DAB staining.
Paraformaldehyde-fixed, paraffin embedded (human pancreatic cancer); Antigen retrieval by boiling in sodium citrate buffer (pH6.0) for 15min; Block endogenous peroxidase by 3% hydrogen peroxide for 20 minutes; Blocking buffer (normal goat serum) at 37°C for 30min; Antibody incubation with (Bcl-2) Polyclonal Antibody, Unconjugated (bs-0032R) at 1:200 overnight at 4°C, followed by operating according to SP Kit(Rabbit) (sp-0023) instructionsand DAB staining.
Paraformaldehyde-fixed, paraffin embedded (human pancreatic cancer); Antigen retrieval by boiling in sodium citrate buffer (pH6.0) for 15min; Block endogenous peroxidase by 3% hydrogen peroxide for 20 minutes; Blocking buffer (normal goat serum) at 37°C for 30min; Antibody incubation with (Bcl-2) Polyclonal Antibody, Unconjugated (bs-0032R) at 1:200 overnight at 4°C, followed by operating according to SP Kit(Rabbit) (sp-0023) instructionsand DAB staining.
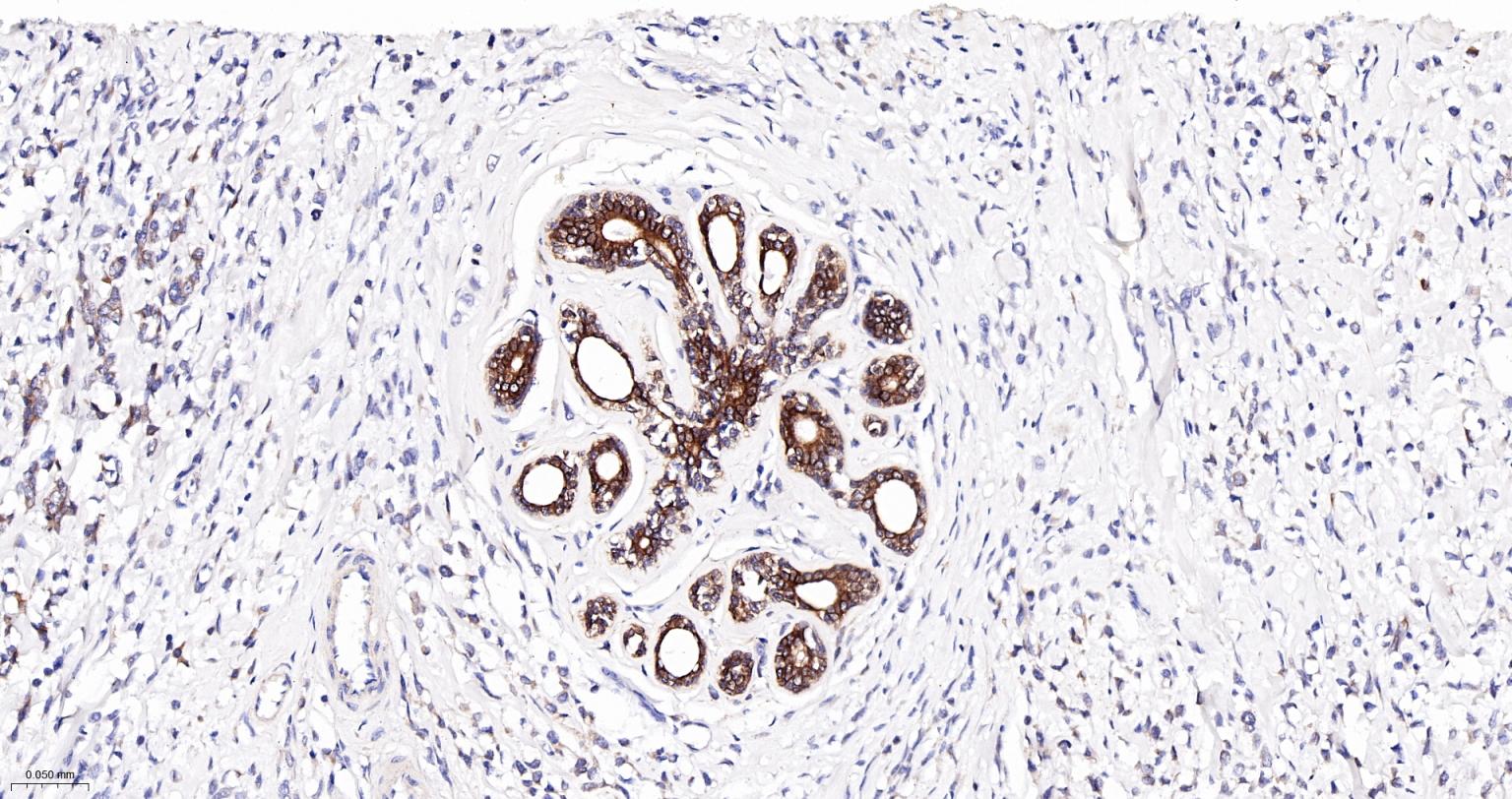
Paraformaldehyde-fixed, paraffin embedded (rat ovary tissue); Antigen retrieval by boiling in sodium citrate buffer (pH6.0) for 15min; Block endogenous peroxidase by 3% hydrogen peroxide for 20 minutes; Blocking buffer (normal goat serum) at 37°C for 30min; Antibody incubation with (Bcl-2) Polyclonal Antibody, Unconjugated (bs-0032R) at 1:400 overnight at 4°C, followed by a conjugated secondary (sp-0023) for 20 minutes and DAB staining.
Paraformaldehyde-fixed, paraffin embedded (Rat thyroid gland); Antigen retrieval by boiling in sodium citrate buffer (pH6.0) for 15min; Block endogenous peroxidase by 3% hydrogen peroxide for 20 minutes; Blocking buffer (normal goat serum) at 37°C for 30min; Antibody incubation with (B cell lymphoma 2; Bcl-2) Polyclonal Antibody, Unconjugated (bs-0032R) at 1:200 overnight at 4°C, followed by a conjugated secondary antibody (bs-0295G-cy3) for 90 minutes and DAPI for nuclei staining.
版权所有 2004-2026 www.bioss.com.cn 北京博奥森生物技术有限公司
通过国际质量管理体系ISO 9001:2015 GB/T 19001-2016    证书编号: 00124Q34771R2M/1100
通过国际医疗器械-质量管理体系ISO 13485:2016 GB/T 42061-2022    证书编号: CQC24QY10047R0M/1100
京ICP备05066980号-1         京公网安备110107000727号