扫码关注公众号           扫码咨询技术支持           扫码咨询技术服务
  
客服热线:400-901-9800  客服QQ:4009019800  技术答疑  技术支持  质量反馈  人才招聘  关于我们  联系我们
产品中心-北京博奥森生物技术有限公司
首页 > 产品中心 > 一抗 > 产品信息
Bad Rabbit pAb (bs-0892R)  
订购热线:400-901-9800
订购邮箱:sales@bioss.com.cn
订购QQ:  400-901-9800
技术支持:techsupport@bioss.com.cn
50ul/1180.00元
100ul/1980.00元
200ul/2800.00元
大包装/询价

产品编号 bs-0892R
英文名称 Bad Rabbit pAb
中文名称 相关死亡促进因子Bad抗体
别    名 BBC2; BCL2L8; Bad_v1; Bad_v2; BAD_HUMAN; BAD; Bcl-2-binding component 6; Bcl-2-like protein 8 (Bcl2-L-8); Bcl-xL/Bcl-2-associated death promoter; Bcl2 antagonist of cell death; BBC6; BAD_MOUSE; BAD_RAT; BCL2 associated agonist of cell death  
Specific References  (3)     |     bs-0892R has been referenced in 3 publications.
[IF=5.89] Rentao Zhang. et al. Anti-Gastric Cancer Activity of the Cell-free Culture Supernatant of Serofluid Dish and Lactiplantibacillus plantarum YT013. FRONT BIOENG BIOTECH. 2022; 10: 898240  WB ;  Human.  
[IF=5.123] Rentao Zhang. et al. Exopolysaccharide from Lactiplantibacillus plantarum YT013 and Its Apoptotic Activity on Gastric Cancer AGS Cells. Fermentation-Basel. 2023 Jun;9(6):539  WB ;  Human.  
[IF=3.69] Sheng Zhang. et al. Proteomics analysis in the kidney of mice following oral feeding Realgar. J Ethnopharmacol. 2021 Jul;275:114118  WB ;  Mouse.  
研究领域 肿瘤  细胞生物  神经生物学  信号转导  细胞凋亡  新陈代谢  
抗体来源 Rabbit
克隆类型 Polyclonal
交叉反应 Human,Mouse,Rat
产品应用 WB=1:500-2000,IHC-P=1:100-500,IHC-F=1:100-500,IF=1:100-500,Flow-Cyt=3ug/Test
not yet tested in other applications.
optimal dilutions/concentrations should be determined by the end user.
理论分子量 18kDa
检测分子量 27
细胞定位 细胞浆 细胞膜 
性    状 Liquid
浓    度 1mg/ml
免 疫 原 KLH conjugated synthetic peptide derived from human Bad: 120-204/204 
亚    型 IgG
纯化方法 affinity purified by Protein A
缓 冲 液 0.01M TBS (pH7.4) with 1% BSA, 0.02% Proclin300 and 50% Glycerol.
保存条件 Shipped at 4℃. Store at -20℃ for one year. Avoid repeated freeze/thaw cycles.
注意事项 This product as supplied is intended for research use only, not for use in human, therapeutic or diagnostic applications.
PubMed PubMed
产品介绍 Bad is a member of the Bcl2 family and acts to promote apoptosis by forming heterodimers with the survival proteins Bcl2 and BclxL, thus preventing them from binding with BAX. Bad is found on the outer mitochondrial membrane and, once phosphorylated in response to growth stimuli, translocates to the cytoplasm. The phosphorylation status of Bad represents a key checkpoint for death or cell survival. JNK-induced phosphorylation of BAD serine 128 promotes the apoptotic role of Bad by opposing the inhibitory effect of growth factor on Bad-mediated apoptosis. Cdc2-induced phosphorylation of Bad serine 128 has an inhibitory effect on its interaction with 14-3-3 proteins. The latter interaction is critical for Bad phosphorylation at serine 155, a site within the BH3 domain that leads to the release of BclxL and the promotion of cell survival. Alternative splicing of this gene results in two transcript variants which encode the same isoform.

Function:
Promotes cell death. Successfully competes for the binding to Bcl-X(L), Bcl-2 and Bcl-W, thereby affecting the level of heterodimerization of these proteins with BAX. Can reverse the death repressor activity of Bcl-X(L), but not that of Bcl-2. Appears to act as a link between growth factor receptor signaling and the apoptotic pathways.

Subunit:
Forms heterodimers with the anti-apoptotic proteins, Bcl-X(L), Bcl-2 and Bcl-W. Also binds protein S100A10. The Ser-75/Ser-99 phosphorylated form binds 14-3-3 proteins. Interacts with AKT1 and PIM3.

Subcellular Location:
Mitochondrion outer membrane. Cytoplasm. Note=Upon phosphorylation, locates to the cytoplasm.

Tissue Specificity:
Expressed in a wide variety of tissues.

Post-translational modifications:
Phosphorylated on one or more of Ser-75, Ser-99, Ser-118 andSer-134 in response to survival stimuli, which blocks itspro-apoptotic activity. Phosphorylation on Ser-99 or Ser-75promotes heterodimerization with 14-3-3 proteins. This interactionthen facilitates the phosphorylation at Ser-118, a site within theBH3 motif, leading to the release of Bcl-X(L) and the promotion ofcell survival. Ser-99 is the major site of AKT/PKB phosphorylation, Ser-118 the major site of protein kinase A (CAPK) phosphorylation. Phosphorylation at Ser-99 by PKB/AKT1 is almost completely blockedby the apoptotic C-terminus cleavage product of PKN2 generated bycaspases-3 activity during apoptosis.
Methylation at Arg-94 and Arg-96 by PRMT1 inhibits Akt-mediated phosphorylation at Ser-99.

Similarity:
Belongs to the Bcl-2 family.

SWISS:
Q92934

Gene ID:
572

Database links:

Entrez Gene: 572 Human

Entrez Gene: 12015 Mouse

Entrez Gene: 64639 Rat

Omim: 603167 Human

SwissProt: Q92934 Human

SwissProt: Q61337 Mouse

SwissProt: O35147 Rat

Unigene: 370254 Human

Unigene: 4387 Mouse

Unigene: 36696 Rat



BAD是BCL2/BAX、BCL-XL/BAX异二聚体的负调节基因。BAD是BCL2/BCL-XL相关死亡促进因子,作为BCL2、 bCL-XL异二聚体伴分子而促进细胞凋亡。
有学者认为:BAD缺乏典型的羧基端跨膜结构,提示其并非一完整膜蛋白。与同BCL2作用相比,BAD与BCL-XL的结合更强,BAD以浓度依赖性方式替换BCL-XL/BAX、BCL2/BAX异二聚体中的BAX,使BAX游离而促进细胞凋亡。当一细胞系的所有细胞内异二聚体(BCL-XL/BAX和BCL2/BAX)的含量≥50%时,则细胞耐受凋亡;而当细胞内BAX同二聚体>80%时且在适当信号诱导下则细胞出现凋亡。这表明BAD通过调节BAX同二聚体与异二聚体量的比值而介导凋亡。
产品图片
Sample: Raji Cell lysate 30ug; Primary: Anti-Bad (bs-0892R) at 1:300; Secondary: HRP conjugated Goat-Anti-Rabbit IgG(bs-0295G-HRP) at 1:5000; Predicted band size :18 kD Observed band size : 27 kD
Sample: Hela Cell lysate 30ug; Primary: Anti-Bad (bs-0892R) at 1:300; Secondary: HRP conjugated Goat-Anti-Rabbit IgG(bs-0295G-HRP) at 1:5000; Predicted band size :18 kD Observed band size : 27 kD
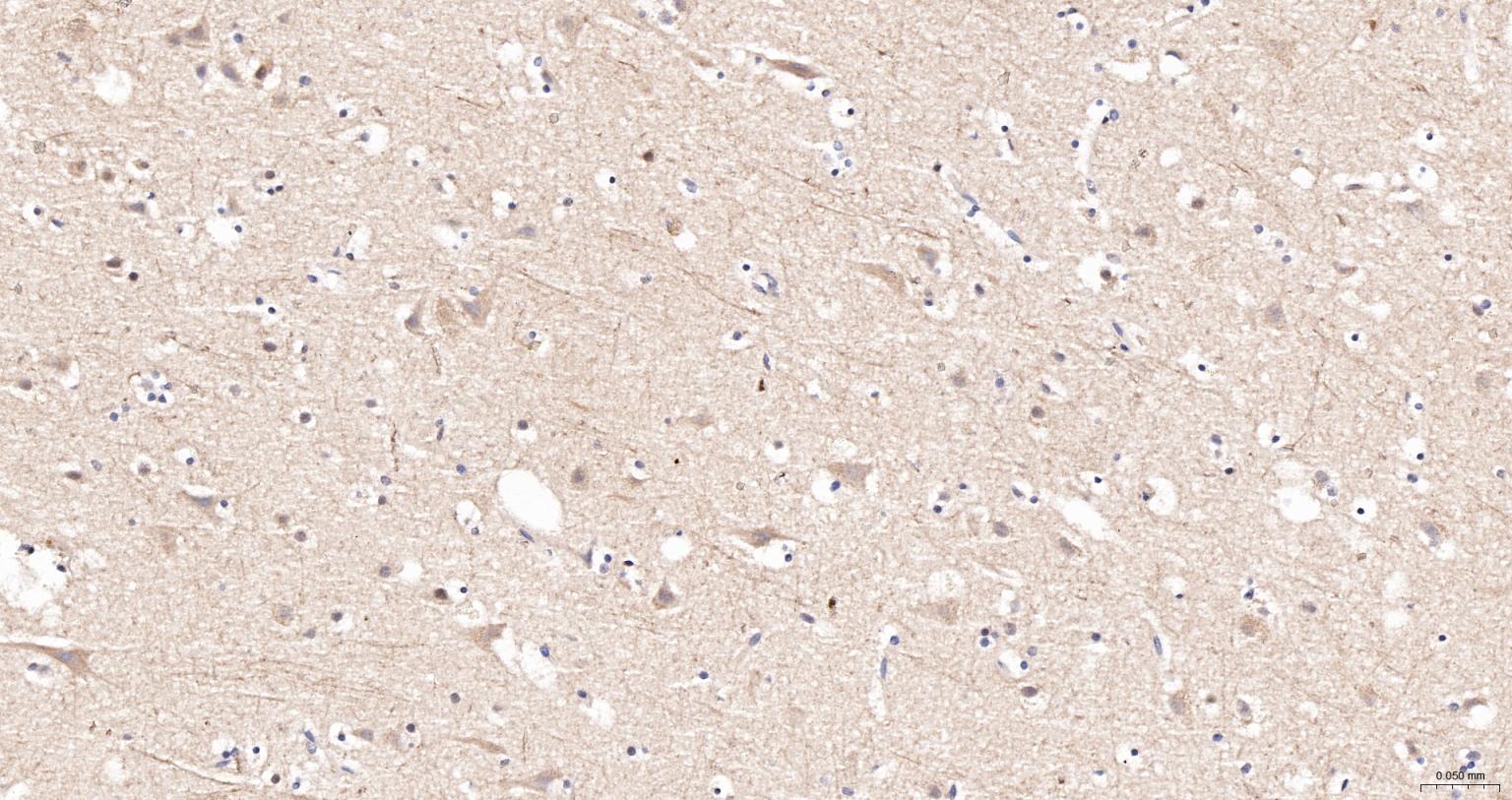
Paraformaldehyde-fixed, paraffin embedded Human Cerebrum; Antigen retrieval by boiling in sodium citrate buffer (pH6.0) for 15 min; The section was incubated with Bad Polyclonal Antibody, Unconjugated (bs-0892R) at 1:200 overnight at 4°C, followed by conjugation to the bs-0295G-HRP and DAB (C-0010) staining.
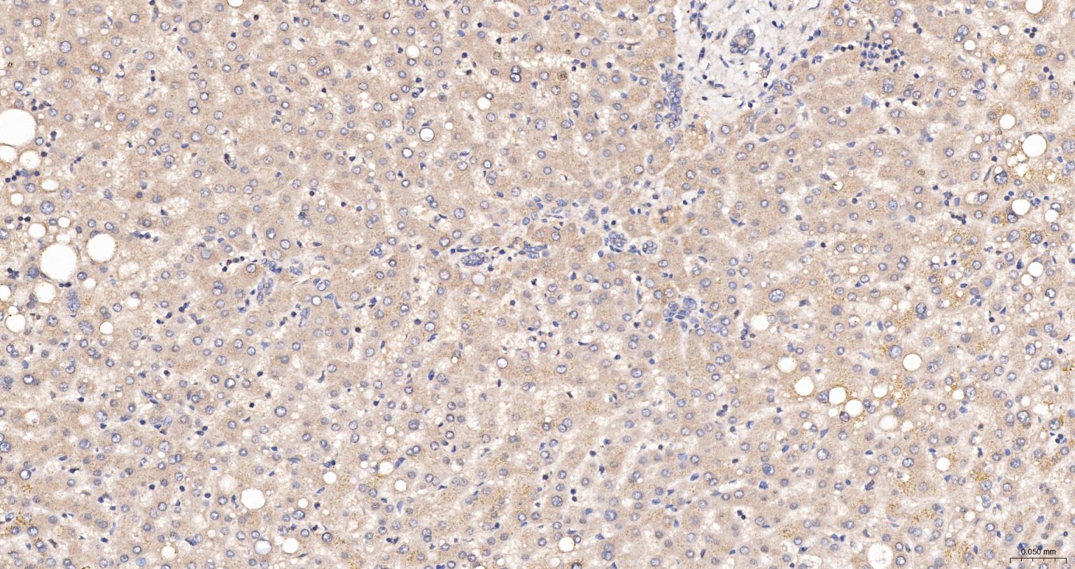
Paraformaldehyde-fixed, paraffin embedded Human Liver; Antigen retrieval by boiling in sodium citrate buffer (pH6.0) for 15 min; The section was incubated with Bad Polyclonal Antibody, Unconjugated (bs-0892R) at 1:200 overnight at 4°C, followed by conjugation to the bs-0295G-HRP and DAB (C-0010) staining.
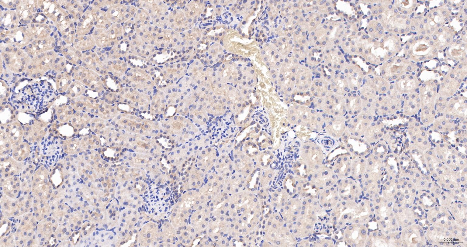
Paraformaldehyde-fixed, paraffin embedded Mouse Kidney; Antigen retrieval by boiling in sodium citrate buffer (pH6.0) for 15 min; The section was incubated with Bad Polyclonal Antibody, Unconjugated (bs-0892R) at 1:200 overnight at 4°C, followed by conjugation to the bs-0295G-HRP and DAB (C-0010) staining.
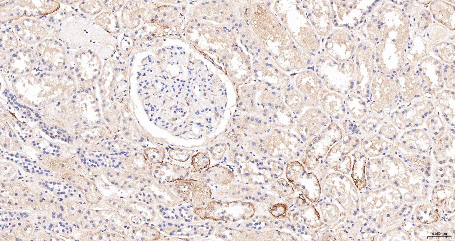
Paraformaldehyde-fixed, paraffin embedded Human Kidney; Antigen retrieval by boiling in sodium citrate buffer (pH6.0) for 15 min; The section was incubated with Bad Polyclonal Antibody, Unconjugated (bs-0892R) at 1:200 overnight at 4°C, followed by conjugation to the bs-0295G-HRP and DAB (C-0010) staining.
Paraformaldehyde-fixed, paraffin embedded Rat Kidney; Antigen retrieval by boiling in sodium citrate buffer (pH6.0) for 15 min; The section was incubated with Bad Polyclonal Antibody, Unconjugated (bs-0892R) at 1:200 overnight at 4°C, followed by conjugation to the bs-0295G-HRP and DAB (C-0010) staining.
Tissue/cell: Human kidney tissue; 4% Paraformaldehyde-fixed and paraffin-embedded; Antigen retrieval: citrate buffer ( 0.01M, pH 6.0 ), Boiling bathing for 15min; Block endogenous peroxidase by 3% Hydrogen peroxide for 30min; Blocking buffer (normal goat serum,C-0005) at 37℃ for 20 min; Incubation: Anti-Bad Polyclonal Antibody, Unconjugated(bs-0892R) 1:500, overnight at 4°C, followed by conjugation to the secondary antibody(SP-0023) and DAB(C-0010) staining
Paraformaldehyde-fixed, paraffin embedded (rat brain); Antigen retrieval by boiling in sodium citrate buffer (pH6.0) for 15min; Block endogenous peroxidase by 3% hydrogen peroxide for 20 minutes; Blocking buffer (normal goat serum) at 37°C for 30min; Antibody incubation with (Bad) Polyclonal Antibody, Unconjugated (bs-0892R) at 1:200 overnight at 4°C, followed by operating according to SP Kit(Rabbit) (sp-0023) instructionsand DAB staining.
Paraformaldehyde-fixed, paraffin embedded (rat stomach); Antigen retrieval by boiling in sodium citrate buffer (pH6.0) for 15min; Block endogenous peroxidase by 3% hydrogen peroxide for 20 minutes; Blocking buffer (normal goat serum) at 37°C for 30min; Antibody incubation with (Bad) Polyclonal Antibody, Unconjugated (bs-0892R) at 1:200 overnight at 4°C, followed by operating according to SP Kit(Rabbit) (sp-0023) instructionsand DAB staining.
Blank control: A431(Black). Primary Antibody (green line): Rabbit Anti-Bad antibody (bs-0892R) Dilution: 1μg /10^6 cells; Isotype Control Antibody (orange line): Rabbit IgG . Secondary Antibody: Goat anti-rabbit IgG-AF647 Dilution: 1μg /test. Protocol The cells were fixed with 4% PFA (10min at room temperature)and then permeabilized with 0.1% PBST for 20 min at room temperature. The cells were then incubated in 5%BSA to block non-specific protein-protein interactions for 30 min at -20℃ .Cells stained with Primary Antibody for 30 min at room temperature. The secondary antibody used for 40 min at room temperature. Acquisition of 20,000 events was performed.
Blank control (Black line): Jurkat(Black). Primary Antibody (green line): Rabbit Anti-Bad antibody (bs-0892R) Dilution: 3μg /10^6 cells; Isotype Control Antibody (orange line): Rabbit IgG . Secondary Antibody (white blue line): Goat anti-rabbit IgG-PE Dilution: 1μg /test. Protocol The cells were fixed with 4% PFA (10min at room temperature)and then permeabilized with 0.1% PBS-Tween for 20 min at room temperature. The cells were then incubated in 5%BSA to block non-specific protein-protein interactions for 15 min at room temperature .Cells stained with Primary Antibody for 30 min at room temperature. The secondary antibody used for 40 min at room temperature. Acquisition of 20,000 events was performed.
版权所有 2004-2026 www.bioss.com.cn 北京博奥森生物技术有限公司
通过国际质量管理体系ISO 9001:2015 GB/T 19001-2016    证书编号: 00124Q34771R2M/1100
通过国际医疗器械-质量管理体系ISO 13485:2016 GB/T 42061-2022     证书编号: CQC24QY20047R0M/1100
京ICP备05066980号-1         京公网安备110107000727号