扫码关注公众号           扫码咨询技术支持           扫码咨询技术服务
  
客服热线:400-901-9800  客服QQ:4009019800  技术答疑  技术支持  质量反馈  人才招聘  关于我们  联系我们
产品中心-北京博奥森生物技术有限公司
首页 > 产品中心 > 一抗 > 产品信息
ADRA1A Rabbit pAb (bs-0600R)  
订购热线:400-901-9800
订购邮箱:sales@bioss.com.cn
订购QQ:  400-901-9800
技术支持:techsupport@bioss.com.cn
50ul/1180.00元
100ul/1980.00元
200ul/2800.00元
大包装/询价

产品编号 bs-0600R
英文名称 ADRA1A Rabbit pAb
中文名称 alpha 1肾上腺素能受体A抗体
别    名 ADRA1C; ADRA1L1; ALPHA1AAR; ADA1A_HUMAN; ADRA1A; Alpha-1A adrenoreceptor (Alpha-1A adrenoceptor); Alpha-1C adrenergic receptor; Alpha-adrenergic receptor 1c; ADA1A_MOUSE; ADA1A_RAT; adrenoceptor alpha 1A; adrenergic, alpha-1A-, receptor  
Specific References  (4)     |     bs-0600R has been referenced in 4 publications.
[IF=7.84] Chen, Li-You, et al. "Early-life sleep deprivation persistently depresses melatonin production and bio-energetics of the pineal gland: potential implications for the development of metabolic deficiency." Brain Structure and Function (2014): 1-14.  WB ;  Rat.  
[IF=4.37] Wang, Wenjuan, et al. "Effects of Estradiol Valerate and Remifemin on Norepinephrine Signaling in the Brain of Ovariectomized Rats."Neuroendocrinology 101.2 (2015): 120-132.  IHC-F ;  Rat.  
[IF=2.59] Sun, Tao, et al. "Antihypertensive effect of formononetin through regulating the expressions of eNOS, 5-HT< sub> 2A/1B receptors and α< sub> 1-adrenoceptors in spontaneously hypertensive rat arteries." European Journal of Pharmacology (2013).  Rat.  
[IF=2.532] Jianchao Ren. et al. Ejaculatory Duct Obstruction Affects Seminal Vesicle Contractile Efficacy and Smooth Muscle Ultrastructure in a Rat Model. ANDROLOGIA. 2023;2023:5022466  WB ;  Rat.  
研究领域 细胞生物  神经生物学  细胞膜受体  
抗体来源 Rabbit
克隆类型 Polyclonal
交叉反应 Human,Mouse,Rat (predicted: Rabbit,Pig,Sheep,Cow,Chicken,Dog,GuineaPig,Horse)
产品应用 WB=1:500-2000,IHC-P=1:100-500,IHC-F=1:100-500,IF=1:100-500
not yet tested in other applications.
optimal dilutions/concentrations should be determined by the end user.
理论分子量 51kDa
检测分子量 52
细胞定位 细胞核 细胞膜 
性    状 Liquid
浓    度 1mg/ml
免 疫 原 KLH conjugated synthetic peptide derived from human Alpha-1A adrenergic receptor: 201-300/466 
亚    型 IgG
纯化方法 affinity purified by Protein A
缓 冲 液 0.01M TBS (pH7.4) with 1% BSA, 0.02% Proclin300 and 50% Glycerol.
保存条件 Shipped at 4℃. Store at -20℃ for one year. Avoid repeated freeze/thaw cycles.
注意事项 This product as supplied is intended for research use only, not for use in human, therapeutic or diagnostic applications.
PubMed PubMed
产品介绍 Alpha-1-adrenergic receptors (alpha-1-ARs) are members of the G protein-coupled receptor superfamily. They activate mitogenic responses and regulate growth and proliferation of many cells. There are 3 alpha-1-AR subtypes: alpha-1A, -1B and -1D, all of which signal through the Gq/11 family of G-proteins and different subtypes show different patterns of activation. This gene encodes alpha-1A-adrenergic receptor. Alternative splicing of this gene generates four transcript variants, which encode four different isoforms with distinct C-termini but having similar ligand binding properties. [provided by RefSeq, Jul 2008].

Function:
This alpha-adrenergic receptor mediates its action by association with G proteins that activate a phosphatidylinositol-calcium second messenger system. Its effect is mediated by G(q) and G(11) proteins. Nuclear ADRA1A-ADRA1B heterooligomers regulate phenylephrine(PE)-stimulated ERK signaling in cardiac myocytes.

Subunit:
Homo- and heterooligomer. Heterooligomerizes with ADRA1B homooligomers in cardiac myocytes.

Subcellular Location:
Nucleus membrane; Multi-pass membrane protein. Cell membrane; Multi-pass membrane protein. Note=Location at the nuclear membrane facilitates heterooligomerization and regulates ERK-mediated signaling in cardiac myocytes. Colocalizes with GNAQ, PLCB1 as well as LAP2 at the nuclear membrane of cardiac myocytes.

Tissue Specificity:
Expressed in heart, brain, liver and prostate, but not in kidney, lung, adrenal, aorta and pituitary. Within the prostate, expressed in the apex, base, periurethral and lateral lobe. Isoform 4 is the most abundant isoform expressed in the prostate with high levels also detected in liver and heart.

Post-translational modifications:
C-terminal Ser or Thr residues may be phosphorylated.

Similarity:
Belongs to the G-protein coupled receptor 1 family. Adrenergic receptor subfamily. ADRA1A sub-subfamily.

SWISS:
P35348

Gene ID:
148

Database links:

Entrez Gene: 148 Human

Entrez Gene: 11549 Mouse

Entrez Gene: 29412 Rat

Omim: 104221 Human

SwissProt: P35348 Human

SwissProt: P97718 Mouse

SwissProt: P43140 Rat

Unigene: 52931 Human

Unigene: 709175 Human

Unigene: 57064 Mouse

Unigene: 9991 Rat



ADRA1肾上腺素能α1受体位于突触后,在血管平滑肌上,兴奋时可使血管收缩;
alpha 1-adrenergic receptor有兴奋效应也有抑制效应。肾上腺素能受体又可分为α和β两种。alpha 受体与儿茶酚胺结合后,主要是兴奋平滑肌,如血管收缩、子宫收缩和瞳孔开张肌收缩等;但也有抑制作用,如使小肠平滑肌舒张。β受体又可分为β1和β2两个亚型.
产品图片
25 ug total protein per lane of various lysates (see on figure) probed with ADRA1A polyclonal antibody, unconjugated (bs-0600R) at 1:1000 dilution and 4°C overnight incubation. Followed by conjugated secondary antibody incubation at r.t. for 60 min.
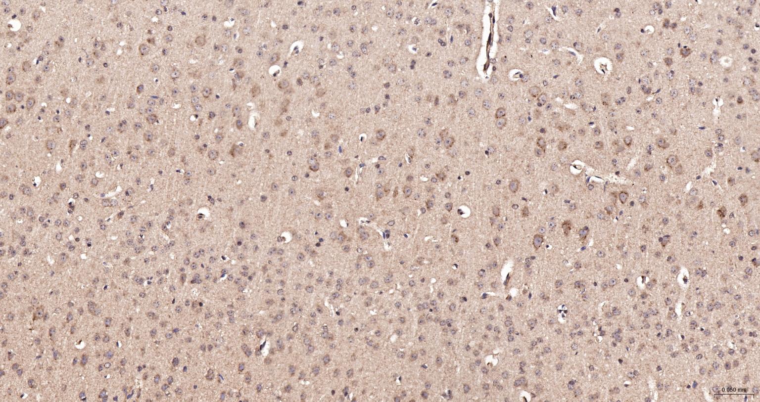
Tissue/cell: rat brain tissue; 4% Paraformaldehyde-fixed and paraffin-embedded; Antigen retrieval: citrate buffer ( 0.01M, pH 6.0 ), Boiling bathing for 15min; Block endogenous peroxidase by 3% Hydrogen peroxide for 30min; Blocking buffer (normal goat serum,C-0005) at 37℃ for 20 min; Incubation: Anti-ADRA1/ADRA1B/alpha 1 Adrenergic Receptor Polyclonal Antibody, Unconjugated (bs-0600R) 1:200, overnight at 4°C, followed by conjugation to the secondary antibody(SP-0023) and DAB(C-0010) staining
Tissue/cell: rat brain tissue; 4% Paraformaldehyde-fixed and paraffin-embedded; Antigen retrieval: citrate buffer ( 0.01M, pH 6.0 ), Boiling bathing for 15min; Block endogenous peroxidase by 3% Hydrogen peroxide for 30min; Blocking buffer (normal goat serum,C-0005) at 37℃ for 20 min; Incubation: Anti-ADRA1/ADRA1B/alpha 1 Adrenergic Receptor Polyclonal Antibody, Unconjugated (bs-0600R) 1:200, overnight at 4°C, followed by conjugation to the secondary antibody(SP-0023) and DAB(C-0010) staining
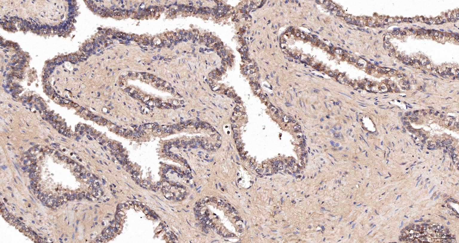
Paraformaldehyde-fixed, paraffin embedded Human Prostate; Antigen retrieval by boiling in sodium citrate buffer (pH6.0) for 15 min; The section was incubated with ADRA1A Polyclonal Antibody, Unconjugated (bs-0600R) at 1:200 overnight at 4°C, followed by conjugation to the bs-0295G-HRP and DAB (C-0010) staining.
Paraformaldehyde-fixed, paraffin embedded Mouse Heart; Antigen retrieval by boiling in sodium citrate buffer (pH6.0) for 15 min; The section was incubated with ADRA1A Polyclonal Antibody, Unconjugated (bs-0600R) at 1:200 overnight at 4°C, followed by conjugation to the bs-0295G-HRP and DAB (C-0010) staining.
Paraformaldehyde-fixed, paraffin embedded Human Heart; Antigen retrieval by boiling in sodium citrate buffer (pH6.0) for 15 min; The section was incubated with ADRA1A Polyclonal Antibody, Unconjugated (bs-0600R) at 1:200 overnight at 4°C, followed by conjugation to the bs-0295G-HRP and DAB (C-0010) staining.
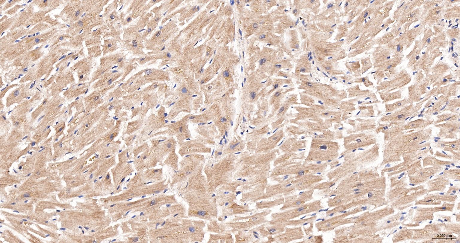
Paraformaldehyde-fixed, paraffin embedded Rat Heart; Antigen retrieval by boiling in sodium citrate buffer (pH6.0) for 15 min; The section was incubated with ADRA1A Polyclonal Antibody, Unconjugated (bs-0600R) at 1:200 overnight at 4°C, followed by conjugation to the bs-0295G-HRP and DAB (C-0010) staining.
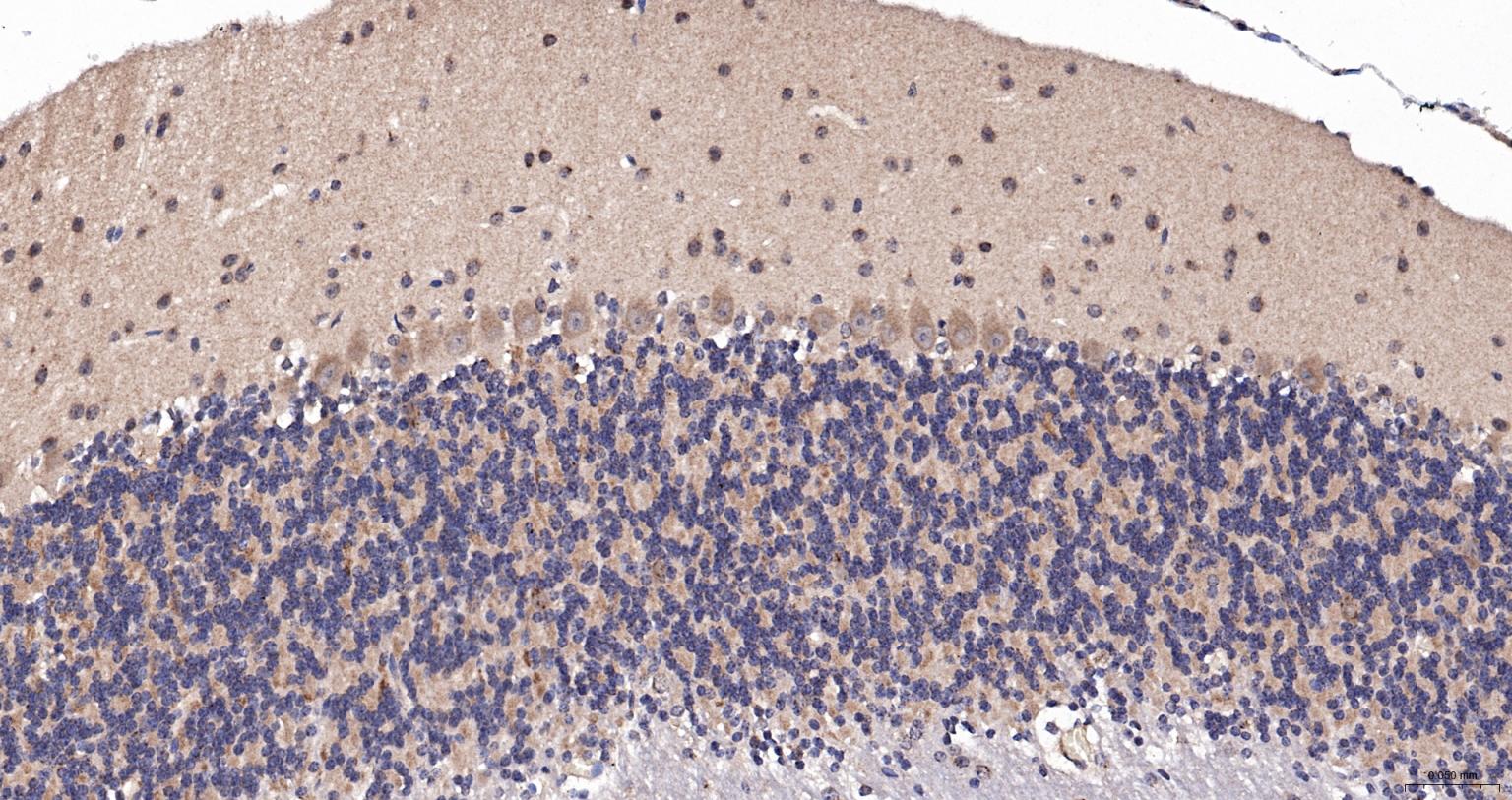
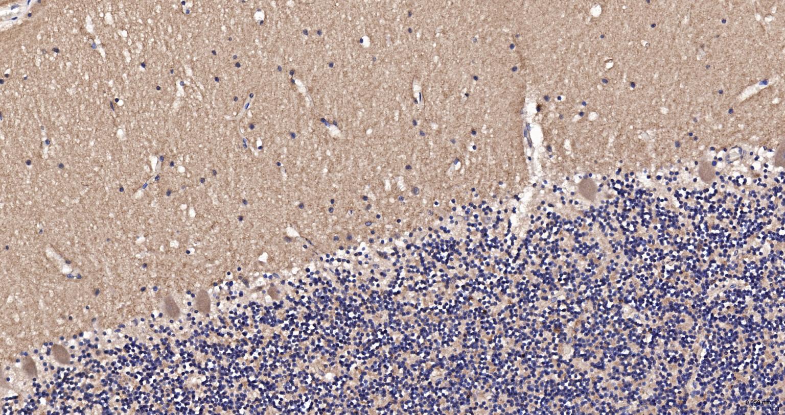
Paraformaldehyde-fixed, paraffin embedded Mouse Cerebellum; Antigen retrieval by boiling in sodium citrate buffer (pH6.0) for 15 min; The section was incubated with ADRA1A Polyclonal Antibody, Unconjugated (bs-0600R) at 1:200 overnight at 4°C, followed by conjugation to the bs-0295G-HRP and DAB (C-0010) staining.
Paraformaldehyde-fixed, paraffin embedded Human Cerebellum; Antigen retrieval by boiling in sodium citrate buffer (pH6.0) for 15 min; The section was incubated with ADRA1A Polyclonal Antibody, Unconjugated (bs-0600R) at 1:200 overnight at 4°C, followed by conjugation to the bs-0295G-HRP and DAB (C-0010) staining.
Paraformaldehyde-fixed, paraffin embedded Rat Cerebellum; Antigen retrieval by boiling in sodium citrate buffer (pH6.0) for 15 min; The section was incubated with ADRA1A Polyclonal Antibody, Unconjugated (bs-0600R) at 1:200 overnight at 4°C, followed by conjugation to the bs-0295G-HRP and DAB (C-0010) staining.
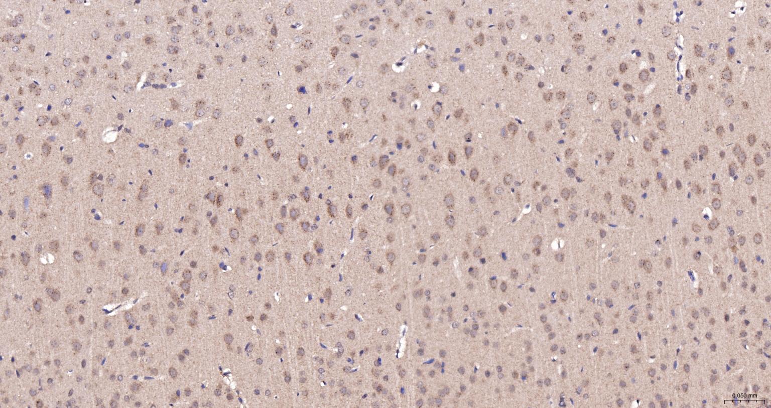
Paraformaldehyde-fixed, paraffin embedded Mouse Cerebrum; Antigen retrieval by boiling in sodium citrate buffer (pH6.0) for 15 min; The section was incubated with ADRA1A Polyclonal Antibody, Unconjugated (bs-0600R) at 1:200 overnight at 4°C, followed by conjugation to the bs-0295G-HRP and DAB (C-0010) staining.
Paraformaldehyde-fixed, paraffin embedded Rat Cerebrum; Antigen retrieval by boiling in sodium citrate buffer (pH6.0) for 15 min; The section was incubated with ADRA1A Polyclonal Antibody, Unconjugated (bs-0600R) at 1:200 overnight at 4°C, followed by conjugation to the bs-0295G-HRP and DAB (C-0010) staining.
版权所有 2004-2026 www.bioss.com.cn 北京博奥森生物技术有限公司
通过国际质量管理体系ISO 9001:2015 GB/T 19001-2016    证书编号: 00124Q34771R2M/1100
通过国际医疗器械-质量管理体系ISO 13485:2016 GB/T 42061-2022     证书编号: CQC24QY20047R0M/1100
京ICP备05066980号-1         京公网安备110107000727号