扫码关注公众号           扫码咨询技术支持           扫码咨询技术服务
  
客服热线:400-901-9800  客服QQ:4009019800  技术答疑  技术支持  质量反馈  人才招聘  关于我们  联系我们
产品中心-北京博奥森生物技术有限公司
首页 > 产品中心 > 一抗 > 产品信息
APAF1(CT) Rabbit pAb (bs-0058R)  
订购热线:400-901-9800
订购邮箱:sales@bioss.com.cn
订购QQ:  400-901-9800
技术支持:techsupport@bioss.com.cn
50ul/1180.00元
100ul/1980.00元
200ul/2800.00元
大包装/询价

产品编号 bs-0058R
英文名称 APAF1(CT) Rabbit pAb
中文名称 凋亡蛋白活性因子-1抗体(C端)
别    名 APAF-1; CED4; 6230400I06Rik; Apaf1l; fog; mKIAA0413; APAF_HUMAN; APAF1; KIAA0413; APAF_MOUSE; APAF_RAT; apoptotic peptidase activating factor 1; apoptotic protease activating factor; apoptotic peptidase activating factor  
Specific References  (2)     |     bs-0058R has been referenced in 2 publications.
[IF=3.257] Shi et al. Human interleukin 23 receptor induces cell apoptosis in mammalian cells by intrinsic mitochondrial pathway associated with the down-regulation of RAS/mitogen-activated protein kinase and signal transducers and activators of transcription factor 3 signaling pathways. (2013) Int.J.Mol.Sc. 14:24656-69  WB ;  Human.  
[IF=3.182] Xiang Y et al. MiR-186 bidirectionally regulates cisplatin sensitivity of ovarian cancer cells via suppressing targets PIK3R3 and PTEN and upregulating APAF1 expression. J Cancer. 2020 Mar 13;11(12):3446-3453.  WB ;  human.  
研究领域 肿瘤  细胞生物  神经生物学  信号转导  细胞凋亡  
抗体来源 Rabbit
克隆类型 Polyclonal
交叉反应 Human,Rat (predicted: Mouse,Dog,Horse,Danio rerio)
产品应用 IHC-P=1:100-500,IHC-F=1:100-500,IF=1:100-500,ICC/IF=1:100-500
not yet tested in other applications.
optimal dilutions/concentrations should be determined by the end user.
理论分子量 137kDa
细胞定位 细胞浆 
性    状 Liquid
浓    度 1mg/ml
免 疫 原 KLH conjugated synthetic peptide derived from human Apaf-1: 1201-1248/1248 
亚    型 IgG
纯化方法 affinity purified by Protein A
缓 冲 液 0.01M TBS (pH7.4) with 1% BSA, 0.02% Proclin300 and 50% Glycerol.
保存条件 Shipped at 4℃. Store at -20℃ for one year. Avoid repeated freeze/thaw cycles.
注意事项 This product as supplied is intended for research use only, not for use in human, therapeutic or diagnostic applications.
PubMed PubMed
产品介绍 This gene encodes a cytoplasmic protein that initiates apoptosis. This protein contains several copies of the WD-40 domain, a caspase recruitment domain (CARD), and an ATPase domain(NB-ARC). Upon binding cytochrome c and dATP, this protein forms an oligomeric apoptosome. The apoptosome binds and cleaves caspase 9 preproprotein, releasing its mature, activated form. Activated caspase 9 stimulates the subsequent caspase cascade that commits the cell to apoptosis. Alternative splicing results in several transcript variants encoding different isoforms. [provided by RefSeq, Jul 2008].

Function:
Oligomeric Apaf-1 mediates the cytochrome c-dependent autocatalytic activation of pro-caspase-9 (Apaf-3), leading to the activation of caspase-3 and apoptosis. This activation requires ATP. Isoform 6 is less effective in inducing apoptosis.

Subunit:
Monomer. Oligomerizes upon binding of cytochrome c and dATP. Oligomeric Apaf-1 and pro-caspase-9 bind to each other via their respective NH2-terminal CARD domains and consecutively mature caspase-9 is released from the complex. Pro-caspase-3 is recruited into the Apaf-1-pro-caspase-9 complex via interaction with pro-caspase-9. Interacts with APIP. Interacts (via CARD and NACHT domains) with NAIP/BIRC1 (via NACHT domain).

Subcellular Location:
Cytoplasm.

Tissue Specificity:
Ubiquitous. Highest levels of expression in adult spleen and peripheral blood leukocytes, and in fetal brain, kidney and lung. Isoform 1 is expressed in heart, kidney and liver.

Similarity:
Contains 1 CARD domain.
Contains 1 NB-ARC domain.
Contains 13 WD repeats.

SWISS:
O14727

Gene ID:
317

Database links:

Entrez Gene: 317 Human

Entrez Gene: 11783 Mouse

Entrez Gene: 78963 Rat

Omim: 602233 Human

SwissProt: O14727 Human

SwissProt: O88879 Mouse

SwissProt: Q9EPV5 Rat

Unigene: 728891 Human

Unigene: 220289 Mouse

Unigene: 64522 Rat



Apaf1 有称:凋亡酶激活因子-1(Apoptosis protease activating factor-1)调节细胞色素C依赖的Caspase-9原的自动催化活性,导致Caspase-3 的激活和引起凋亡。
Apaf-1在成年人的脾脏、外周血白细胞、肾脏、肺和胎儿脑、肾、肺中高水平表达。
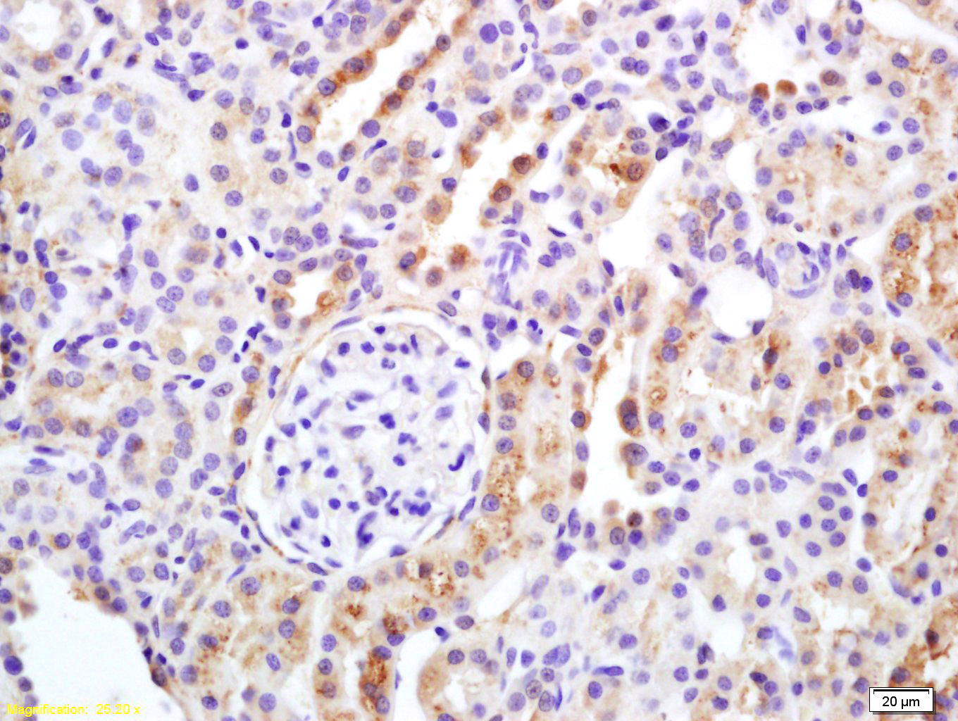
产品图片
Tissue/cell: rat kidney tissue; 4% Paraformaldehyde-fixed and paraffin-embedded; Antigen retrieval: citrate buffer ( 0.01M, pH 6.0 ), Boiling bathing for 15min; Block endogenous peroxidase by 3% Hydrogen peroxide for 30min; Blocking buffer (normal goat serum,C-0005) at 37℃ for 20 min; Incubation: Anti-APAF1(CT) Polyclonal Antibody, Unconjugated(bs-0058R) 1:200, overnight at 4°C, followed by conjugation to the secondary antibody(SP-0023) and DAB(C-0010) staining
Tissue/cell:SH-SY5Y cell; 4% Paraformaldehyde-fixed; Triton X-100 at room temperature for 20 min; Blocking buffer (normal goat serum,C-0005) at 37°C for 20 min; Antibody incubation with (APAF1(CT)) polyclonal Antibody, Unconjugated (bs-0058R) 1:100, 90 minutes at 37°C; followed by a FITC conjugated Goat Anti-Rabbit IgG antibody at 37°C for 90 minutes, DAPI (blue, C02-04002) was used to stain the cell nuclei.
版权所有 2004-2026 www.bioss.com.cn 北京博奥森生物技术有限公司
通过国际质量管理体系ISO 9001:2015 GB/T 19001-2016    证书编号: 00124Q34771R2M/1100
通过国际医疗器械-质量管理体系ISO 13485:2016 GB/T 42061-2022     证书编号: CQC24QY20047R0M/1100
京ICP备05066980号-1         京公网安备110107000727号