扫码关注公众号           扫码咨询技术支持           扫码咨询技术服务
  
客服热线:400-901-9800  客服QQ:4009019800  技术答疑  技术支持  质量反馈  关于我们  联系我们
产品中心-北京博奥森生物技术有限公司
首页 > 产品中心 > 一抗 > 产品信息
alpha Adaptin Rabbit pAb (bs-1228R)  
订购热线:400-901-9800
订购邮箱:sales@bioss.com.cn
订购QQ:  400-901-9800
技术支持:techsupport@bioss.com.cn
50ul/1180.00元
100ul/1980.00元
200ul/2800.00元
大包装/询价

产品编号 bs-1228R
英文名称 alpha Adaptin Rabbit pAb
中文名称 衔接蛋白α-Adaptin抗体
别    名 100 kDa coated vesicle protein A; 100 kDa coated vesicle protein C; adaptin alpha A; Adaptin alpha B; Adaptor protein complex AP 2 alpha 1 subunit; Adaptor protein complex AP 2 alpha 2 subunit; Adaptor related protein complex 2 alpha 1 subunit; Adaptor related protein complex 2 alpha 2 subunit; ADTAA; ADTAB; alpha adaptin A; alpha adaptin C; AP 2 complex subunit alpha 1; AP 2 complex subunit alpha 2; AP2A2; CLAPA1; CLAPA2; Clathrin assembly protein complex 2 alpha A large chain; Clathrin assembly protein complex 2 alpha C large chain; Clathrin associated/assembly/adaptor protein large alpha 1; Clathrin associated/assembly/adaptor protein large alpha 2; HIP9; Huntingtin interacting protein HYPJ; Huntingtin interacting protein J; HYPJ; KIAA0899; Plasma membrane adaptor HA2/AP2 adaptin alpha A subunit; Plasma membrane adaptor HA2/AP2 adaptin alpha C subunit; AP2A2_HUMAN; AP-2 complex subunit alpha-2; Adapter-related protein complex 2 alpha-2 subunit; Adaptor protein complex AP-2 subunit alpha-2; alpha-adaptin C; alpha2-adaptin; Clathrin assembly protein complex 2 alpha-C large chain; Huntingtin yeast partner J; Huntingtin-interacting protein 9; HIP-9; Huntingtin-interacting protein J; Plasma membrane adaptor HA2/AP2 adaptin alpha C subunit.  
研究领域 细胞生物  表观遗传学  
抗体来源 Rabbit
克隆类型 Polyclonal
克 隆 号
交叉反应 Mouse,Rat (predicted: Human,Rabbit,Cow,Horse)
产品应用 WB=1:500-2000,IHC-P=1:100-500,IHC-F=1:100-500,IF=1:100-500
not yet tested in other applications.
optimal dilutions/concentrations should be determined by the end user.
理论分子量 103 kDa
检测分子量
细胞定位 细胞浆 细胞膜 
性    状 Liquid
浓    度 1mg/ml
免 疫 原 KLH conjugated synthetic peptide derived from human alpha Adaptin: 21-150/939 
亚    型 IgG
纯化方法 affinity purified by Protein A
缓 冲 液 0.01M TBS (pH7.4) with 1% BSA, 0.02% Proclin300 and 50% Glycerol.
保存条件 Shipped at 4℃. Store at -20℃ for one year. Avoid repeated freeze/thaw cycles.
注意事项 This product as supplied is intended for research use only, not for use in human, therapeutic or diagnostic applications.
PubMed PubMed
产品介绍 Clathrin-mediated endocytosis is the pathway by which many receptors for nutrients and hormones are internalized to be recycled or down-regulated. During formation of clathrin coated membranes, clathrin co-assembles with heterotetrameric molecules known as assembly polypeptides (APs) or adaptors which form a layer of protein coat between the clathrin lattice and the membrane. There are two characterized adaptors AP1 and AP2. AP1 is associated with clathrin coated vesicles at the trans-Golgi network and AP2 is associated with the endocytic clathrin coated vesicles at the plasma membrane and has been shown to specifically interact with Shc and EGF receptor. AP2 is composed of four subunits, two separate 100 kDa gene products with similar domain structures (alpha and beta adaptin) and a 50 and 17 kDa subunit. There are two alpha-adaptin genes, alpha A and alpha C which have a tissue specific pattern of expression.


Function:
Component of the adaptor protein complex 2 (AP-2). Adaptor protein complexes function in protein transport via transport vesicles in different membrane traffic pathways. Adaptor protein complexes are vesicle coat components and appear to be involved in cargo selection and vesicle formation. AP-2 is involved in clathrin-dependent endocytosis in which cargo proteins are incorporated into vesicles surrounded by clathrin (clathrin-coated vesicles, CCVs) which are destined for fusion with the early endosome. The clathrin lattice serves as a mechanical scaffold but is itself unable to bind directly to membrane components. Clathrin-associated adaptor protein (AP) complexes which can bind directly to both the clathrin lattice and to the lipid and protein components of membranes are considered to be the major clathrin adaptors contributing the CCV formation. AP-2 also serves as a cargo receptor to selectively sort the membrane proteins involved in receptor-mediated endocytosis. AP-2 seems to play a role in the recycling of synaptic vesicle membranes from the presynaptic surface. AP-2 recognizes Y-X-X-[FILMV] (Y-X-X-Phi) and [ED]-X-X-X-L-[LI] endocytosis signal motifs within the cytosolic tails of transmembrane cargo molecules. AP-2 may also play a role in maintaining normal post-endocytic trafficking through the ARF6-regulated, non-clathrin pathway. The AP-2 alpha subunit binds polyphosphoinositide-containing lipids, positioning AP-2 on the membrane. The AP-2 alpha subunit acts via its C-terminal appendage domain as a scaffolding platform for endocytic accessory proteins. The AP-2 alpha and AP-2 sigma subunits are thought to contribute to the recognition of the [ED]-X-X-X-L-[LI] motif.

Subunit:
Adaptor protein complex 2 (AP-2) is a heterotetramer composed of two large adaptins (alpha-type subunit AP2A1 or AP2A2 and beta-type subunit AP2B1), a medium adaptin (mu-type subunit AP2M1) and a small adaptin (sigma-type subunit AP2S1). Binds EPN1, EPS15, AMPH, SNAP91 and BIN1. Interacts with HIP1. Interacts with DGKD isoform 2. Interacts with DENND1A, DENND1B and DENND1C. Interacts with FCHO1 and DAB2.

Subcellular Location:
Cell membrane. Membrane, coated pit; Peripheral membrane protein; Cytoplasmic side. Note=AP-2 appears to be excluded from internalizing CCVs and to disengage from sites of endocytosis seconds before internalization of the nascent CCV.

Similarity:
Belongs to the adaptor complexes large subunit family.

SWISS:
O95782

Gene ID:
161

Database links:

Entrez Gene: 515216 Cow

Entrez Gene: 784636 Cow

Entrez Gene: 160 Human

Entrez Gene: 161 Human

Entrez Gene: 11771 Mouse

Entrez Gene: 11772 Mouse

Entrez Gene: 308578 Rat

Entrez Gene: 81637 Rat

Omim: 601026 Human

Omim: 607242 Human

SwissProt: Q0VCK5 Cow

SwissProt: O94973 Human

SwissProt: O95782 Human

SwissProt: P17426 Mouse

SwissProt: P17427 Mouse

SwissProt: P18484 Rat

Unigene: 2041 Cow

Unigene: 19121 Human

Unigene: 6877 Mouse

Unigene: 34928 Rat



adaptin α参与披网格蛋白小泡组装的一种蛋白质, 在披网格蛋白小泡组装中与受体的细胞质结构域相互作用, 起衔接作用.
产品图片
Sample: Cerebrum (Rat) Lysate at 40 ug Primary: Anti-alpha Adaptin (bs-1228R) at 1/2000 dilution Secondary: IRDye800CW Goat Anti-Rabbit IgG at 1/20000 dilution Predicted band size: 103 kD Observed band size: 103 kD
Sample: Brain (Mouse) Lysate at 40 ug Primary: Anti-alpha Adaptin (bs-1228R) at 1/300 dilution Secondary: IRDye800CW Goat Anti-Rabbit IgG at 1/20000 dilution Predicted band size: 103 kD Observed band size: 103 kD
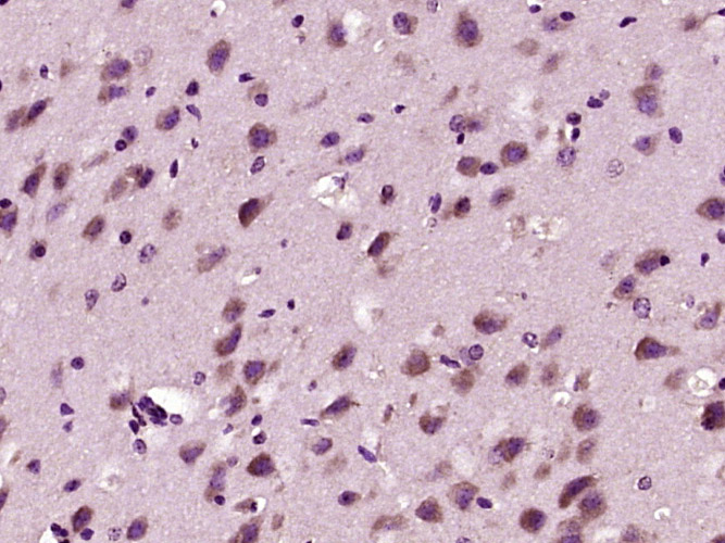
Paraformaldehyde-fixed, paraffin embedded (mouse brain tissue); Antigen retrieval by boiling in sodium citrate buffer (pH6.0) for 15min; Block endogenous peroxidase by 3% hydrogen peroxide for 20 minutes; Blocking buffer (normal goat serum) at 37°C for 30min; Antibody incubation with (alpha Adaptin) Polyclonal Antibody, Unconjugated (bs-1228R) at 1:400 overnight at 4°C, followed by operating according to SP Kit(Rabbit) (sp-0023) instructionsand DAB staining.
版权所有 2004-2026 www.bioss.com.cn 北京博奥森生物技术有限公司
通过国际质量管理体系ISO 9001:2015 GB/T 19001-2016    证书编号: 00124Q34771R2M/1100
通过国际医疗器械-质量管理体系ISO 13485:2016 GB/T 42061-2022     证书编号: CQC24QY20047R0M/1100
京ICP备05066980号-1         京公网安备110107000727号