扫码关注公众号           扫码咨询技术支持           扫码咨询技术服务
  
客服热线:400-901-9800  客服QQ:4009019800  技术答疑  技术支持  质量反馈  人才招聘  关于我们  联系我们
产品中心-北京博奥森生物技术有限公司
首页 > 产品中心 > 一抗 > 产品信息
ADIPOR2/PAQR2 Rabbit pAb (bs-0611R)  
订购热线:400-901-9800
订购邮箱:sales@bioss.com.cn
订购QQ:  400-901-9800
技术支持:techsupport@bioss.com.cn
50ul/1180.00元
100ul/1980.00元
200ul/2800.00元
大包装/询价

产品编号 bs-0611R
英文名称 ADIPOR2/PAQR2 Rabbit pAb
中文名称 脂联素受体2抗体
别    名 ACDCR2; PAQR2; 1110001I14Rik; ADCR2; D6Ucla1e; PAQR2_HUMAN; ADIPOR2; Progestin and adipoQ receptor family member 2; Progestin and adipoQ receptor family member II; adiponectin receptor 2  
Specific References  (8)     |     bs-0611R has been referenced in 8 publications.
[IF=6.43] Morad, Vivian, Annelie Abrahamsson, and Charlotta Dabrosin. "Estradiol affects extracellular leptin: adiponectin ratio in human breast tissue in vivo." The Journal of Clinical Endocrinology & Metabolism (2014).  IHC-P ;  Human.  
[IF=5.037] Annamária Schaffer. et al. The ontogenies of endometrial and myometrial leptin and adiponectin receptors in pregnant rats: Their putative impact on uterine contractility. Life Sci. 2022 May;297:120465  WB ;  Rat.  
[IF=4.75] Guo et al. Effect of telmisartan on the expression of adiponectin receptors and nicotinamide adenine dinucleotide phosphate oxidase in the heart and aorta in type 2 diabetic rats. (2012) Cardiovasc.Diabetol. 11:94  IHC ;  Rat.  
[IF=3.776] Guoying Zhu. et al. Celecoxib-mediated attenuation of non-alcoholic steatohepatitis is potentially relevant to redistributing the expression of adiponectin receptors in rats. HELIYON. 2022 Jul;8:e09872  WB ;  Rat.  
[IF=3.54] Hsu, Ying-Jung, et al. "Effects of Fenofibrate on Adiponectin Expression in Retinas of Streptozotocin-Induced Diabetic Rats." Journal of diabetes research 2014 (2014).  WB ;  
[IF=2.59] Liu, Su, et al. "The ameliorating effect of rosiglitazone on experimental nonalcoholic steatohepatitis is associated with regulating adiponectin receptor expression in rats." European journal of pharmacology 650.1 (2011): 384.  WB ;  Rat.  
[IF=2.51] Ji, Hongfei, et al. "The effect of resveratrol on the expression of AdipoR1 in kidneys of diabetic nephropathy." Molecular Biology Reports: 1-9.  IHC-P ;  Rat.  
[IF=1.69] Zhou et al. Associations of adiponectin receptor 2 (AdipoR2) gene polymorphisms and AdipoR2 protein expression levels with the risk of colorectal cancer: A case-control study. (2017) Mol.Med.Rep. 16:3983-3993  IHC-P ;  Human.  
研究领域 细胞生物  免疫学  生长因子和激素  细胞膜受体  糖尿病  内分泌病  
抗体来源 Rabbit
克隆类型 Polyclonal
交叉反应 Human,Mouse,Rat (predicted: Pig,Cow,Chicken,Dog)
产品应用 WB=1:500-2000,IHC-P=1:100-500,IHC-F=1:100-500,IF=1:100-500,Flow-Cyt=1μg /test
not yet tested in other applications.
optimal dilutions/concentrations should be determined by the end user.
理论分子量 44kDa
检测分子量 43
细胞定位 细胞膜 
性    状 Liquid
浓    度 1mg/ml
免 疫 原 KLH conjugated synthetic peptide derived from human Adiponectin receptor 2: 315-340/386 
亚    型 IgG
纯化方法 affinity purified by Protein A
缓 冲 液 0.01M TBS (pH7.4) with 1% BSA, 0.02% Proclin300 and 50% Glycerol.
保存条件 Shipped at 4℃. Store at -20℃ for one year. Avoid repeated freeze/thaw cycles.
注意事项 This product as supplied is intended for research use only, not for use in human, therapeutic or diagnostic applications.
PubMed PubMed
产品介绍 The adiponectin receptors, ADIPOR1 (MIM 607945) and ADIPOR2, serve as receptors for globular and full-length adiponectin (MIM 605441) and mediate increased AMPK (see MIM 602739) and PPAR-alpha (PPARA; MIM 170998) ligand activities, as well as fatty acid oxidation and glucose uptake by adiponectin (Yamauchi et al., 2003 [PubMed 12802337]).[supplied by OMIM, Mar 2008]

Function:
Receptor for globular and full-length adiponectin (APM1), an essential hormone secreted by adipocytes that acts as an antidiabetic. Probably involved in metabolic pathways that regulate lipid metabolism such as fatty acid oxidation. Mediates increased AMPK, PPARA ligand activity, fatty acid oxidation and glucose uptake by adiponectin. Has some intermediate-affinity receptor activity for both globular and full-length adiponectin.

Subunit:
May form homo and heteromultimers.

Subcellular Location:
Membrane; Multi-pass membrane protein. Note=Localized to the cell membrane and intracellular organelles.

Tissue Specificity:
Highly expressed in skeletal muscle, liver and placenta. Weakly expressed in brain, heart, colon, spleen, kidney, thymus, small intestine, peripheral blood leukocytes and lung.

Similarity:
Belongs to the ADIPOR family.

SWISS:
Q86V24

Gene ID:
79602

Database links:

Entrez Gene: 79602 Human

Entrez Gene: 68465 Mouse

Entrez Gene: 404694 Pig

Entrez Gene: 312670 Rat

Omim: 607946 Human

SwissProt: Q86V24 Human

 



脂联素与受体结合后具有增强胰岛素敏感性,抗高血糖,抗动脉粥样硬化等生物学效应,任何增加或减少脂联素及其受体表达的方法都影响这些疾病的发生和发展。
脂联素受体(AdipoR1和AdipoR2)同属于PAQR家族,具有七次跨膜蛋白的特有结构.
产品图片
Sample: Lane 1: Heart (Mouse) Lysate at 40 ug Lane 2: Skeletal muscle (Mouse) Lysate at 40 ug Lane 3: Heart (Rat) Lysate at 40 ug Lane 4: Skeletal muscle (Rat) Lysate at 40 ug Lane 5: 293T (Human) Cell Lysate at 30 ug Primary: Anti-Adiponectin receptor 2 (bs-0611R) at 1/1000 dilution Secondary: IRDye800CW Goat Anti-Rabbit IgG at 1/20000 dilution Predicted band size: 44 kD Observed band size: 43 kD
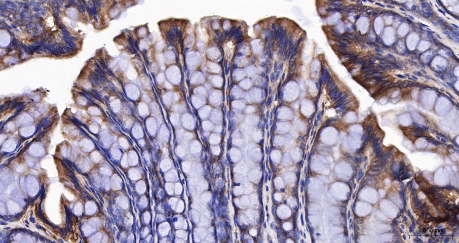
Paraformaldehyde-fixed, paraffin embedded Human Small Intestine; Antigen retrieval by boiling in sodium citrate buffer (pH6.0) for 15 min; The section was incubated with Adiponectin receptor 2 Polyclonal Antibody, Unconjugated (bs-0611R) at 1:200 overnight at 4°C, followed by conjugation to the bs-0295G-HRP and DAB (C-0010) staining.
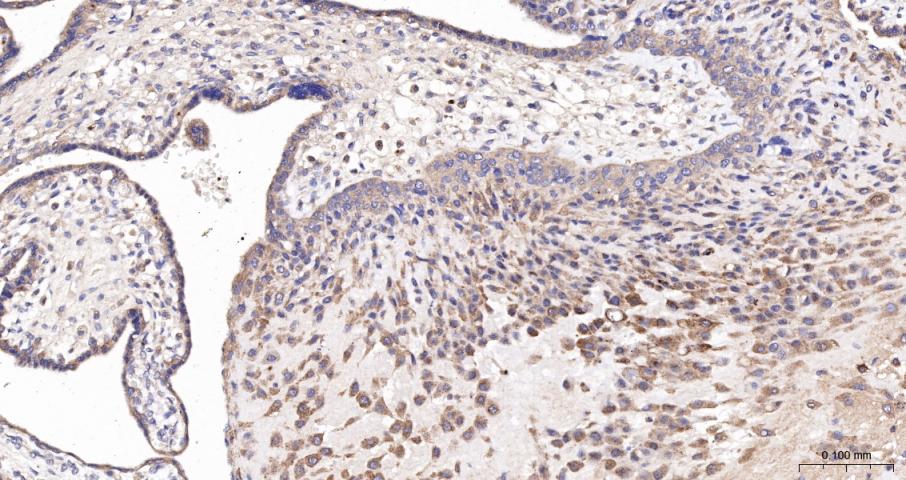
Paraformaldehyde-fixed, paraffin embedded Mouse Placenta; Antigen retrieval by boiling in sodium citrate buffer (pH6.0) for 15 min; The section was incubated with Adiponectin receptor 2 Polyclonal Antibody, Unconjugated (bs-0611R) at 1:200 overnight at 4°C, followed by conjugation to the bs-0295G-HRP and DAB (C-0010) staining.
Paraformaldehyde-fixed, paraffin embedded Human Placenta; Antigen retrieval by boiling in sodium citrate buffer (pH6.0) for 15 min; The section was incubated with Adiponectin receptor 2 Polyclonal Antibody, Unconjugated (bs-0611R) at 1:200 overnight at 4°C, followed by conjugation to the bs-0295G-HRP and DAB (C-0010) staining.
Paraformaldehyde-fixed, paraffin embedded Mouse Skeletal muscle; Antigen retrieval by boiling in sodium citrate buffer (pH6.0) for 15 min; The section was incubated with Adiponectin receptor 2 Polyclonal Antibody, Unconjugated (bs-0611R) at 1:200 overnight at 4°C, followed by conjugation to the bs-0295G-HRP and DAB (C-0010) staining.
Paraformaldehyde-fixed, paraffin embedded Human Skeletal muscle; Antigen retrieval by boiling in sodium citrate buffer (pH6.0) for 15 min; The section was incubated with Adiponectin receptor 2 Polyclonal Antibody, Unconjugated (bs-0611R) at 1:200 overnight at 4°C, followed by conjugation to the bs-0295G-HRP and DAB (C-0010) staining.
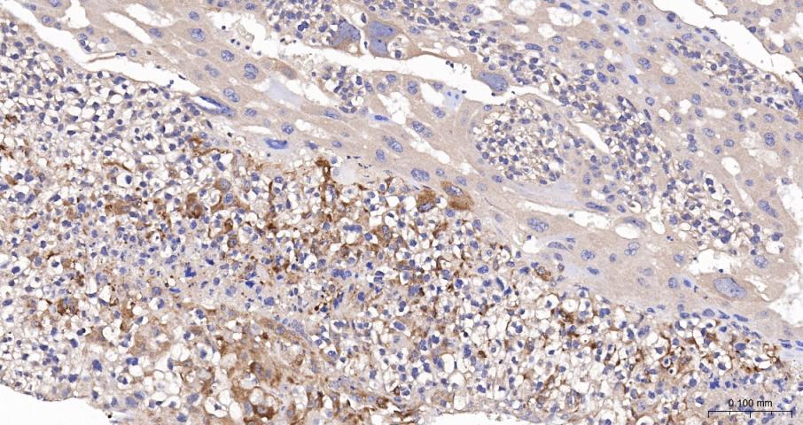
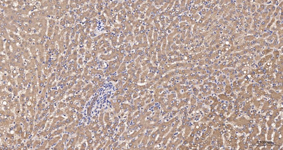
Paraformaldehyde-fixed, paraffin embedded Human Liver; Antigen retrieval by boiling in sodium citrate buffer (pH6.0) for 15 min; The section was incubated with Adiponectin receptor 2 Polyclonal Antibody, Unconjugated (bs-0611R) at 1:200 overnight at 4°C, followed by conjugation to the bs-0295G-HRP and DAB (C-0010) staining.
Paraformaldehyde-fixed, paraffin embedded Mouse Heart; Antigen retrieval by boiling in sodium citrate buffer (pH6.0) for 15 min; The section was incubated with Adiponectin receptor 2 Polyclonal Antibody, Unconjugated (bs-0611R) at 1:200 overnight at 4°C, followed by conjugation to the bs-0295G-HRP and DAB (C-0010) staining.
Paraformaldehyde-fixed, paraffin embedded Human Heart; Antigen retrieval by boiling in sodium citrate buffer (pH6.0) for 15 min; The section was incubated with Adiponectin receptor 2 Polyclonal Antibody, Unconjugated (bs-0611R) at 1:200 overnight at 4°C, followed by conjugation to the bs-0295G-HRP and DAB (C-0010) staining.
Paraformaldehyde-fixed, paraffin embedded Rat Heart; Antigen retrieval by boiling in sodium citrate buffer (pH6.0) for 15 min; The section was incubated with Adiponectin receptor 2 Polyclonal Antibody, Unconjugated (bs-0611R) at 1:200 overnight at 4°C, followed by conjugation to the bs-0295G-HRP and DAB (C-0010) staining.
Paraformaldehyde-fixed, paraffin embedded Mouse Kidney; Antigen retrieval by boiling in sodium citrate buffer (pH6.0) for 15 min; The section was incubated with Adiponectin receptor 2 Polyclonal Antibody, Unconjugated (bs-0611R) at 1:200 overnight at 4°C, followed by conjugation to the bs-0295G-HRP and DAB (C-0010) staining.
Paraformaldehyde-fixed, paraffin embedded Rat Kidney; Antigen retrieval by boiling in sodium citrate buffer (pH6.0) for 15 min; The section was incubated with Adiponectin receptor 2 Polyclonal Antibody, Unconjugated (bs-0611R) at 1:200 overnight at 4°C, followed by conjugation to the bs-0295G-HRP and DAB (C-0010) staining.
Paraformaldehyde-fixed, paraffin embedded Rat Cerebrum; Antigen retrieval by boiling in sodium citrate buffer (pH6.0) for 15 min; The section was incubated with Adiponectin receptor 2 Polyclonal Antibody, Unconjugated (bs-0611R) at 1:200 overnight at 4°C, followed by conjugation to the bs-0295G-HRP and DAB (C-0010) staining.
Paraformaldehyde-fixed, paraffin embedded Rat Colon; Antigen retrieval by boiling in sodium citrate buffer (pH6.0) for 15 min; The section was incubated with Adiponectin receptor 2 Polyclonal Antibody, Unconjugated (bs-0611R) at 1:200 overnight at 4°C, followed by conjugation to the bs-0295G-HRP and DAB (C-0010) staining.
Paraformaldehyde-fixed, paraffin embedded (human colon); Antigen retrieval by boiling in sodium citrate buffer (pH6.0) for 15min; Block endogenous peroxidase by 3% hydrogen peroxide for 20 minutes; Blocking buffer (normal goat serum) at 37°C for 30min; Antibody incubation with (Adiponectin receptor 2) Polyclonal Antibody, Unconjugated (bs-0611R) at 1:200 overnight at 4°C, followed by operating according to SP Kit(Rabbit) (sp-0023) instructionsand DAB staining.
Tissue/cell: human rectal tissue; 4% Paraformaldehyde-fixed and paraffin-embedded; Antigen retrieval: citrate buffer ( 0.01M, pH 6.0 ), Boiling bathing for 15min; Block endogenous peroxidase by 3% Hydrogen peroxide for 30min; Blocking buffer (normal goat serum,C-0005) at 37℃ for 20 min; Incubation: Anti-Adiponectin Receptor 2 Polyclonal Antibody, Unconjugated(bs-0611R) 1:300, overnight at 4°C, followed by conjugation to the secondary antibody(SP-0023) and DAB(C-0010) staining
Tissue/cell: rat pancreas tissue; 4% Paraformaldehyde-fixed and paraffin-embedded; Antigen retrieval: citrate buffer ( 0.01M, pH 6.0 ), Boiling bathing for 15min; Block endogenous peroxidase by 3% Hydrogen peroxide for 30min; Blocking buffer (normal goat serum,C-0005) at 37℃ for 20 min; Incubation: Anti-Adiponectin Receptor 2 Polyclonal Antibody, Unconjugated(bs-0611R) 1:200, overnight at 4°C, followed by conjugation to the secondary antibody(SP-0023) and DAB(C-0010) staining
Blank control: HepG2(blue). Primary Antibody:Rabbit Anti-Adiponectin receptor 2 antibody (bs-0611R,Green); Dilution: 1μg in 100 μL 1X PBS containing 0.5% BSA; Isotype Control Antibody: Rabbit IgG(orange) ,used under the same conditions; Secondary Antibody: Goat anti-rabbit IgG-FITC(white blue), Dilution: 1:200 in 1 X PBS containing 0.5% BSA. Protocol The cells were fixed with 2% paraformaldehyde for 10 min at 37℃. Primary antibody (bs-0611R, 0.2μg /1x10^6 cells) were incubated for 30 min at room temperature, followed by 1 X PBS containing 0.5% BSA + 1 0% goat serum (15 min) to block non-specific protein-protein interactions. Then the Goat Anti-rabbit IgG/FITC antibody was added into the blocking buffer mentioned above to react with the primary antibody at 1/200 dilution for 40 min at room temperature. Acquisition of 20,000 events was performed.
版权所有 2004-2026 www.bioss.com.cn 北京博奥森生物技术有限公司
通过国际质量管理体系ISO 9001:2015 GB/T 19001-2016    证书编号: 00124Q34771R2M/1100
通过国际医疗器械-质量管理体系ISO 13485:2016 GB/T 42061-2022     证书编号: CQC24QY20047R0M/1100
京ICP备05066980号-1         京公网安备110107000727号